Mousepox
ECTV, orthopoxvirus
ECTV resistance
A, BC, DBA/1, DBA/2, and CBA susceptible, B6 resistant (natural);
BALB/c, A, DBA/2, C3H susceptible, AKR and SJL moderate, and B6 highly resistant (experimental)
Transmission: mousepox
Direct contact and skin abrasions, highly stable at room temp, virus excretion lasts for around 3 weeks

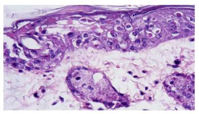
Ectromelia, intracytoplasmic inclusions

ECTV - White spots on liver (necrosis), splenic necrosis - mosaic pattern
Inclusion bodies - ECTV
A type (Marchal body) - well demarcated, acidophilic, primarily in epithelial cells of skin or mucous membranes
B type - basophilic, found in all ectromelia-infected cells (difficult to visualize)

ECTV vaccination “Take”, uses hemagglutinin-deficient strain to scarify skin on dorsum of tail
ECTV diagnosis
Serum from vaccinated mice may react by ELISA but should not react with HAI
Herpesvirus - mouse
Subfamily - betaherpesvirinae, genus Muromegalovirus, two species - MHV1 (MCMV) and MHV3 (MTV)

MPV
MCMV
Betaherpesvirus, subclinical in adult, lethal in neonates
Persistent infection - saliva, urine, tears
Limited to enlarged cells with eosinophilic intranuclear/cytoplasmic inclusions with lymphoplasmacytic interstitial inflammation, esp. in cervical salivary gland
Can suppress immune responses
MTV
Mouse thymic virus
Natural infection is subclinical
Excretion of virus in saliva
Severe diffuse necrosis of thymus and lymphoid tissue with tropism for CD4+ T cells, intranuclear inclusions
MVM
DNA, protoparvovirus, species - rodent protoparvovirus 1
VP1/2 are virus specific for differentiation between MVM and MPV
Natural infection - subclinical
Mouse is only known host, oronasal exposure, not PI

MAV B
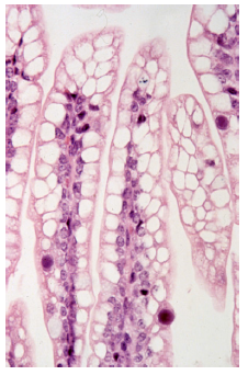
Intranuclear adenoviral inclusions in SI of infant mouse
Vacuolated enterocytes (typical of normal neonatal mouse bowel)
MPV-3
Close to a hamster parvovirus isolate
MPV
Causes PI
Enters through mucosa of intestine - virus replication
No histo
Provoke immune dysfunction
MAV-1
Nonenveloped DNA virus
Murine mastadenovirus A (or FL)
Can cause severe dz in infant mice, wasting, death, necrosis (brown fat, myocardium, adrenal cortex, salivary gland, kidney), intranuclear inclusions
Low prevalence
MAV-2
Murine mastadenovirus B (K87)
Enterotropic and responsible for virtually all naturally occuring infections, usually subclinical
Amphophilic, intranuclear inclusions in intestinal epithelium (distal SI)
MAV-2 antigen should be used for serological detection regardless of assay
PyV
Polyoma virus, DNA, Murine polyomavirus
Tumor induction, neuro dz, and wasting can occur in immunodeficient mice
Transmission via respiratory, PI in infant mice
B6 most resistent to PyV oncogenesis
Tumors of both epithelial and mesenchymal origin
K virus
Absent in modern times, vascular endothelium, PI

SV
Consolidation
Necrotizing bronchiolitis
Intersitial pneumonia
LDV
Lactate dehydrogenase-elevating virus (only LDH-V isotype)
RNA virus, Arteriviridae, PI, wild mice
Subclinical, poliomyelitis
Transmission through mechanical transfer (bite wounds)
Selectively targets F4/F8-positive macrophages
Homozygousity for the Fv-1n
Fv-1n
Permits replications of endogenous N-tropic ectropic murine leukemia virus
LCMV
Arenaviridiae, RNA
Dz due to host immune response
ZOONOTIC
Natural infection - “late disease”, weight loss, death
Exp. infection - Sudden death, runting, neuro
Viscerotropic - conjunctivitis, ascites, somnolesscence, death
Mice, hamsters, GP, NHP
In adult mice with acute LCMV virus multiples in DCs, B cells, macrophages (T cells resistant)