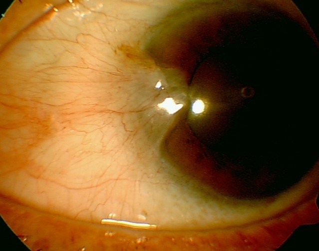
Myop, bruker månedslinser -2,5. Har fjernet linsene forskriftsmessig om natten og renset dem nøye. Nylig vært i Spania på ferie, og et par dager etter hjemkomst irritasjon i høyre øye. Hun fjernet da linsene, men fikk etter noen dager sterke smerter og renning fra samme øye. Hun fikk øyedråper med steroider og antibiotika av en annen lege på kontoret: Spersadex med kloramfenikol. Imidlertid har dette ikke gitt bedring og hun kommer derfor tilbake. Diagnose og tiltak?

Pasienten har ingen symptomer, men er myop -5,0 på dette høyre øyet. Det er tatt bilder hos optiker som viser en pigmentert “flekk” i netthinnen. Hva gjøres videre?

Pasienten henvises til øyelege som gjør en oftalmoskopi for å være sikker på diagnosen, og for å utelukke at dette dreier seg om et pigmentert hull i retina. Det ble også gjort en Fluorescein angiografi av retina. Diagnose er benign pigmentepitel hyperplasi. Behandles ikke. Dette er et tilfeldig funn uten betydning for funksjon, men hun skal følges opp med nye bilder hos øyelege om 1-2 år.
Dere er seks medisinstudenter på smågruppe på Ullevål sykehus. Dere får beskjed om å øve oftalmoskopering på hverandre. Hos en av jentene på gruppa gjør dere et funn.

Medisinstudenten har en liten linseuklarhet på høyre øye. Hun spiller aktivt håndball på fritiden og har flere ganger fått kraftige slag mot hodet/øyet. Lesjonen er mulig traumatisk betinget. Små linseuklarheter kalles vanligvis ikke katarakt dersom de ikke gir nedsatt visus. Traumer er den vanligste årsaken til unilateral katarakt hos unge mennesker.
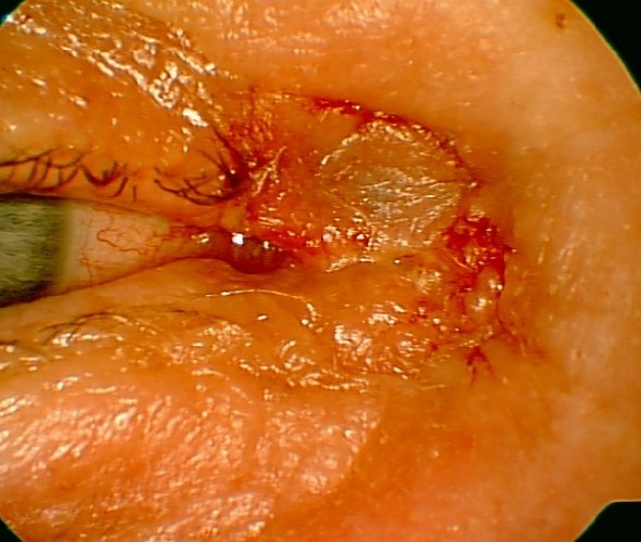
Han ble angrepet av stor ugle da han kikket på et reir med ugleunger, med skader fra klør og nebb mot ve side av ansiktet, dypeste lesjoner mot mediale kant av ve. øye, ved tårepunktet. En flik av konjunktiva ses hengende over nedre øyelokk. Litt hevelse ve side av ansiktet. Hvordan går du frem videre?

På operasjonsstuen rengjøres sårene og det gjøres gjennomskylling av nedre tårepunkt. Finner intakt tårevei. Det ble satt to suturer medialt på nedre øyelokket for å feste løs hud. Løs flik av konjunktiva ble klippet bort uten suturering. Gitt tetanusprofylakse. Diclocil 500mgx3 i 7 dager pga. sannsynlig kontaminert sår. Kloramfenikol salvebandasje første døgn og Kloramfenikol øyesalve som påsmøres riftene + i conjunctivalsekken 3x daglig i 5 dager.
Kjent asymptomatisk Bechterew (HLA B-27 positiv). Siste uken rødt og smertefullt øye med kraftig lysskyhet.
Ved undersøkelse nedsatt visus, lavere trykk sammenlignet med det friske øyet (4 mmHg vs 12 mmHg), ciliær injeksjon, kraftig korpuskulær lysvei, rikelig med presipitater på corneas bakflate, nesten komplett miotisk synechibundet pupille og fibrintråder foran linsen. Dårlig innsyn til fundus. Diagnose og behandling?

Akutt iridocyclitt. Det gis per os Prednisolon (og Novaluzid), timedrypp med Spersadex øyedråper, Ultracortenol øyesalve til kvelden og Atropin øyedråper x2.

Pasienten har flere ganger hatt regnbuehinnebetennelse og kommer nå fordi hun igjen føler lysskyhet på venstre øye. Hun har selv startet å dryppe med litt Spersadex. Hva er mest sannsynlig diagnose?

Oppbluss av iridocyclitt. Pasienten skal dryppe systematisk med steroidedråper og bruke dillaterende dråper. Det er viktig å trappe langsomt ned behandlingen for å unngå oppblussing av tilstanden. Bør søke lege og ikke starte dryppingen selv( hvis det hadde vært en herpeskeratitt f.eks)
Pasienten har tidligere nevropati og er utredet for dette. Han plages nå mer og mer med synsforstyrrelser og nedsatt leseevne. Hva ser du?

Pasienten har bilateral linseluksasjon, linsene henger løsere enn vanlig i zonulatrådene og glir derfor ned slik at trådene blir synlige.
Diagnose?

Diabetesretinopati.
En fem år gammel jente kommer til privat øyelege etter at det var påvist redusert visus på venstre øye på helsestasjon.

Papille med myeliniserte nervefibre, også kalt margholdige fibre. Hun fikk brille og lappebehandling over høyre øye for å forhindre amblyopi på venstre øye som kan tilkomme ved ulik refraksjon. Myeliniserte mervefibre kan også i seg selv gi nedsatt visus dersom fibrene dekker fovea, og pasientene kan få synsfeltutfall som for eksempel forstørret blind flekk
Hva er dette? SKal det behandles?

pterygium. Siden det har vokst noen millimeter over cornea ble han henvist til øyelege på lokal øyeavdeling som fjernet pterygiumet. Det ble limt på conjunctivalt autograft (conjunctiva fra samme øye) over defekten
Lengre tids sykehistorie. Konstant smerte bak samme venstre øye og flimring, men i tillegg synes hun at hun ser betraktelig dårligere og noen ganger dobbelt. Hun forteller også at hun er lyssky.

Oftalmoskopi etter dillatasjon: Høyre øye er normalt. Venstre øye: Godt innsyn til skarpt avgrenset papille. Aldersnormal macula. Nedad og temporalt ses en gråfarget blomkålliknende oppfylning med avløst netthinne over lesjonen. Det ble foretatt finnålsbiopsi som viste malignt melanom. Choroidalt malignt melanom er den hyppigst forekommende primærtumor i øyet. Vanligste metastase i øyet hos kvinner er spredning fra mammacancer, og den vanligste metastase hos menn er spredning fra bronchialcancer.
En ti år gammel jente kommer fulgt av sin mor til almennlege. Hun er gjennom hele året ofte plaget av røde og irriterte øyne. Hun har ingen kjente allergier, og er ellers frisk.

De nedre ciliene på begge øynene går inn på kornea. Ciliene er uregelmessige. Kongenitt epiblefaron er vanligere enn kongenitt entropium. Epiblefaron er en ekstra horisontal hudfold som går langs øyelokkranden. Øyevippene står vertikalt, ofte medialt rettet, og selv om de berører kornea gir de sjeldent ubehag. Behandling er nesten aldri indisert, for tilstanden går oftest over av seg selv. Epiblefaron skilles enkelt fra entropium ved å dra nedre øyelokksrand litt ned. Et epiblefaron vil da bli rettstilt, mens et entropium vil gjøre at hele øyelokket dras vekk fra øyeeplet.
Gammel dame med stadig dårligere syn.

Mange større og mindre hvitlige flekker og grålige forandringer rundt makula. Undersøkelsene konkluderer med såkalt tørr AMD, altså uten ødem.
Pasienten kommer til øyelege på grunn av en hvitlig forandring på det høyre øyet. Moren mener datteren har hatt den siden hun var et år gammel, men at den har vokst de siste månedene. Ellers frisk.

Dette er oculært dermoid. Det består av epidermalt vev (med strukturer som fett, hud, hårfollikler og glandler). Malign transformasjon skjer ikke. Sitter ofte nær limbus. Man skiller mellom overflatiske og dype dermoider.
En ung kvinne kommer til deg i øyelegepraksis. Hun er plaget av tåreflod og pussekresjon fra venstre øye i flere år med jevne mellomrom. Hun har blitt behandlet med antibiotika med godt, men ikke varig resultat.

injeksjon og hevelse over tåresekken, men lite smerter. Innholdet i sekken ser ut til å ha tømt seg ut gjennom huden. Ved palpasjon over tåresekken kommer det likevel litt puss ut fra punctum lacrimale inferior. Funnene er forenlige med en dacryocystitt, dvs. en betennelse i tåresekken. Dette skyldes en stenose i tåreveiene. Hos voksne oppstår passasjehindringen oftest i ductus lacrimalis. Pasienten får resept på en ny antibiotikakur og du henviser henne til øyespesialist for utredning av tåreveisstenosen. Det tas samtidig en bakteriologisk dyrkning. Pasienten settes opp til operasjon, en dacryocystorhinostomi.
En kvinne har en medfødt irislidelse på høyre øye som hun føler er kosmetisk skjemmende. Hun lurer på om det er noe som kan gjøres med dette.

Dette er et kolobom. Du informerer pasienten om at behandling er tilgjengelig. Hun får tilbud om å få en kosmetisk håndmalt linse som dekker over defekten
En ung kvinne oppsøker deg på legevakten pga. tåkesyn venstre øye de siste fire dagene. Hun har nedsatt skarpsyn samme øye pga. øyesykdom for 12 år siden. Kvinnen er bekymret for at hun har en oppblussing av denne sykdommen.

Reaktivering av toxoplasmose.
Du tar i mot en liten gutt på fødeklinikken. Du undersøker ham etter fødselen og synes at øynene hans ikke ser helt ut som de skal. Etter samtale med foreldrene ser du at moren har det samme. Hun forteller at lidelsen er medfødt og at flere i hennes familie har det samme. Du tilkaller en øyelege for å se på ham.

Dette er en sjelden tilstand som kalles aniridi, dvs. mangel på iris. Den forekommer ofte bilateralt og kan deles inn i fire ulike typer: Aniridi med 1)normalt syn, 2)med dårlig syn pga. hypoplasi av fovea, 3)med Wilms’ tumor i nyrene, 4)med mentalt handikap
En kvinne oppsøker deg på legevakten der du er i praksis. De siste to dagene har hun hatt ruskfølelse på venstre øye. Øyet er smertefullt og hun synes det er ubehagelig å oppholde seg i sterkt lys. Hun er myop og har brukt kontaktlinser i 16 år uten problemer. I høst startet hun med heldøgnslinser etter råd fra sin optiker. Disse har hun hatt på konstant, og kun tatt dem av om natten hver 14. dag. Diagnose?

Øyet er injicert og smertefullt, i tillegg finnes en hvit opacitet/flekk på kornea. Dette er forenlig med en bakteriell keratitt. Pasienten bruker kontaktlinser og man bør vurdere infeksjon med Pseudomonas Aerguinosa
Diagnose?

Basalcellekarsinom.
En tidligere frisk mann er henvist til deg på øyeavdelingen en kald dag i november. Han forteller at han har hatt øyeplager siden sommerferien og at han da oppholdt seg mye i solen. Etter dette har han fått et gradvis mye dårligere syn på venstre øyet og rette linjer har en tendens til å bli bølgete.

Anamnese og funn gir mistanke om maculasykdom o.s. Det mørke området er en retinal blødning, mest sannsynlig pga. en grenvenetrombose.Fluoresceinangiografi rekvireres. Bildene viste en retinal blødning nedenfor macula (svart på angiobildet) med noe lekkasje omkring.

En eldre mann forteller at han våknet opp for en uke siden med dårlig syn på det høyre øyet. Han er siden dette plaget av tåkesyn og sorte flekker i synsfeltet, men ikke hatt smerter eller ubehag. Amblyop på venstre øye siden barnealder.

Ved oftalmoskopi av det høyre øyet er det godt innsyn til en velavgrenset papille med normal ekskavasjon. I tillegg sees det dårlig fylte kar, multiple bløte eksudater, lette krysningsfenomener og noe kaliberveksling.Det akutte forløpet kan tyde på en vaskulær lidelse, mest sannsynlig i arteriene(sentralarterieokklusjon), sykdom i venene utvikler seg vanligvis ikke like raskt. Når pasienten er hos øyelegen og det tas bilder er det allerede gått en uke siden det aktuelle, og øyebunnen har endret seg noe. Arteriell okklusjon er en klinisk diagnose som baserer seg på symptomene akutt synstap, blek macula med “cherry red spot” og en relativ afferent pupilledefekt. Pga. det forsinkede tidsaspektet vil man ikke se “cherry red spot” så tydelig på bildene nå.

En mann er henvist til deg som øyeblikkelig hjelp fra sin fastlege. Han forteller at han har hatt synsforstyrrelser med “fluer” i synsfeltet på venstre øye i ca. 14 dager. De siste dagene har han følt at det er som om en gardin ruller seg over det venstre øyet. På spørsmål fra deg sier han at det har vært noen lysglimt av og til. Har siden barnealder vært myop rundt -5. Hadde et hjerteinfarkt for 10 år siden. Har siden dette stått på Provakol og Albyl-E.

Ut i fra hans anamnese mistenker man en corpusløsning som debuterte for 14 dager siden. Dette resulterte senere i en netthinneavløsning/amotio, som er en løsning av fotoreseptorene fra pigmentepitelet.

En pasient du har kjent i over ti år kommer til kontroll på øyepoliklinikken i november -01. Han forteller at han har fått dårligere syn de siste månedene. Han beskriver det som et slags tåkesyn. Han mener det begynte i juni/ juli. Pasienten har kjent diabetes fra -91, insulinbehandlet siden -00, RA, hyperthyreose og hypertensjon.

Ved oftalmoskopi av venstre øye er innsynet klart, og du ser i hele øvre del av fundus harde og bløte eksudater, små blødninger/aneurismer, større blødninger og krysningsfenomener (ses rett over papillen). Du synes konturene er litt utviskede, særlig i maculaområdet, forenlig med ødem. Det tas bilder og fluoresceinangiografi av fundus. Funnene er forenlige med grenvenetrombose som trolig har skjedd i karkrysningen rett oppad for papillen. (Se angiobilde.)
