Hva består uvea av?
Iris, corpus ciliare og choroidea.
Congenitale tilstander i uvea?
Colobom (manglende lukning av den embryologiske vesikkelen som er øyeanlegget), aniridi (manglende iris), albinisme.

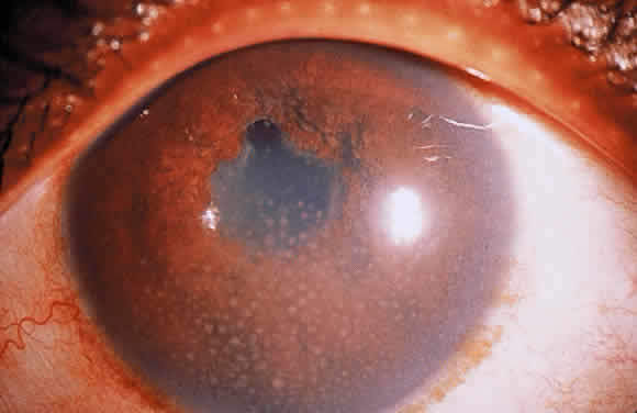
Hva er galt her?

Aniridi.
Hvilke anatomisk inndelte uveitter har vi?
Fremre, intermediær og bakre uveitt.
Hva kalles gjerne en fremre uveitt?
Iridocyklitt.
Hva er behandlingen for en akutt, fremre uveitt?
Steroidedråper og dilaterende.
Hvordan vil du skille mellom iridocyklitt, akutt glaukom og keratitt?
Smerte, visus, type injeksjon, fluorescein, pupillereaksjon, inspisere cornea, drype med anestetika, sjekke tåreflod.
Hva kalles det når iris er forskjøvet anteriort pga tidligere gjennomgått iridocyklitt og sammenvoksninger?
Iris bombé
Hva kalles det når iris har sammenvokst i hele circumferensen (360*)?
Sekvensiopupille.
Hva heter det når det er sammenvoksninger mellom iris og iris?
Bakre synekier
Hva kalles det når det er sammenvoksninger mellom iris og bakflaten av cornea, slik at det er trang eller tett vinkel?
Fremre synekier.
Hva er galt her?

Iridocyklitt. Merk synekiene.
Hva er galt her?

Iris bombé
Nevn noen årsaker til bakre uveitt?
AIDS m/choroiditt (herpes zoster, CMV), sarkoidose. Toxoplasmose (uvaskede grønnsaker, avføring fra katt) –> predileksjonssted: hjerne og øye.
Nevn noen tumores i uvea
Malignt melanom, nevus på iris, metastaser (mammae, lungekreft, nyrekreft, lymfom)