Bindweefsel Flashcards

(67 cards)

1
Q

Wat zijn de vier hoofdcomponenten van alle typen bindweefsel?

A
  • cellen
  • vezels
  • tussenstof
  • weefselvloeistof
How well did you know this?
1
Not at all
2
3
4
5
Perfectly
2
Q

Wat is de functie van weefselvloeistof?

A

transport van voedingsstoffen vanuit bloed naar cellen, en van afvalstoffen van cellen naar bloed

How well did you know this?
1
Not at all
2
3
4
5
Perfectly
3
Q

* Welk weefsel bevat, relatief gezien, meer cellen: losmazig of vezelig bindweefsel?

A

losmazig bindweefsel

How well did you know this?
1
Not at all
2
3
4
5
Perfectly
4
Q

Welk type vetweefsel geeft vorm aan het lichaam?

A

wit vetweefsel

How well did you know this?
1
Not at all
2
3
4
5
Perfectly
5
Q

Welke twee soorten vezelig bindweefsel worden onderscheiden?

A
  • regelmatig vezelig bindweefsel
  • onregelmatig vezelig bindweefsel
How well did you know this?
1
Not at all
2
3
4
5
Perfectly
6
Q

* Het losmazig bindweefsel in de dermis bevat relatief veel cellen. Welke cellen zijn dit voor het grootste deel?

A

fibroblasten

How well did you know this?
1
Not at all
2
3
4
5
Perfectly
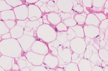
7
Q

Welk weefsel is hier zichtbaar?

Wees zo volledig mogelijk in je antwoord.

A

wit vetweefsel

How well did you know this?
1
Not at all
2
3
4
5
Perfectly
8
Q

* Welke twee typen vezels zijn aanwezig in de dermis?

A

collageen en elastisch

How well did you know this?
1
Not at all
2
3
4
5
Perfectly
9
Q

Welke twee krachten zijn van invloed op de hoeveelheid water die vanuit de capillairen in het omringende bindweefsel terechtkomt?

A
  • hydrostatische druk
  • osmotische druk
How well did you know this?
1
Not at all
2
3
4
5
Perfectly
10
Q

Alle typen bindweefsel bevatten 4 componenten.

Welke componenten vormen samen de extracellulaire matrix?

A

vezels, tussenstof en weefselvloeistof

How well did you know this?
1
Not at all
2
3
4
5
Perfectly
11
Q

Welk type vezel, aanwezig in bindweefsel, is gespecialiseerd in het bieden van ondersteuning aan organen met weinig interne structuur?

A

reticulaire vezels

How well did you know this?
1
Not at all
2
3
4
5
Perfectly
12
Q

Uit welk type collageen zijn reticulaire vezels opgebouwd?

A

collageen type III

How well did you know this?
1
Not at all
2
3
4
5
Perfectly
13
Q

Op welke twee manieren kan kraakbeen groeien?

A
  • appositionele groei
  • interstitiële groei
How well did you know this?
1
Not at all
2
3
4
5
Perfectly
14
Q

Bij de indeling van bindweefsel wordt onderscheid gemaakt tussen:

  • bindweefsel in engere zin
  • gespecialiseerd bindweefsel
  • steunweefsel

Welke 5 soorten bindweefsel zijn gespecialiseerd bindweefsel?

A
  • vet
  • elastisch
  • reticulair
  • mucoïd
  • hematopoietische en lymfatisch
How well did you know this?
1
Not at all
2
3
4
5
Perfectly
15
Q

Welk bindweefsel bevat relatief meer cellen: losmazig of vezelig bindweefsel?

A

losmazig bindweefsel bevat relatief meer cellen dan vezelig bindweefsel

How well did you know this?
1
Not at all
2
3
4
5
Perfectly
16
Q

Welke drie typen kraakbeen zijn er?

A
  • hyalien
  • elastisch
  • vezelig
How well did you know this?
1
Not at all
2
3
4
5
Perfectly
17
Q

In botweefsel komen osteocyten, osteoclasten en osteblasten voor.

Welke van deze celtypen zorgen voor onderhoud van het botweefsel?

A

osteocyten

How well did you know this?
1
Not at all
2
3
4
5
Perfectly
18
Q

Heb je suggesties voor vragen die aan deze set kunnen worden toegevoegd?

Mail ze naar:

s.vanblokland@erasmusmc.nl

A

Alvast bedankt!

How well did you know this?
1
Not at all
2
3
4
5
Perfectly
19
Q

Welk soort bindweefsel is hier donker aangekleurd, en welke functie heeft dit?

A

reticulair bindweefsel, geeft steun aan organen die van zichzelf weinig stevig zijn

How well did you know this?
1
Not at all
2
3
4
5
Perfectly
20
Q

Welke twee vormen van botvorming bestaan er?

A
  • intramembraneuze botvorming (= desmale verbening)
  • enchondrale botvorming
How well did you know this?
1
Not at all
2
3
4
5
Perfectly
21
Q

* Welke vezels zijn aanwezig in het mesenterium?

A

collageenvezels (type I) en elastische vezels

How well did you know this?
1
Not at all
2
3
4
5
Perfectly
22
Q

In botweefsel komen osteocyten, osteoclasten en osteblasten voor.

Welke van deze celtypen zorgen voor resorptie en remodelering van het botweefsel?

A

osteoclasten

How well did you know this?
1
Not at all
2
3
4
5
Perfectly
23
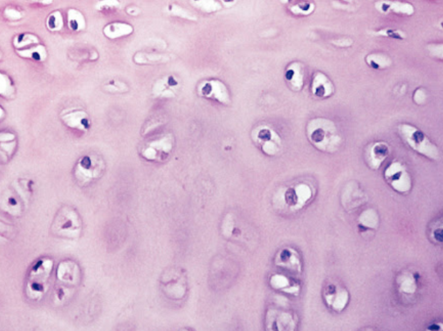
Q

Dit is een coupe, waarop een HE-kleuring is uitgevoerd.

Welk weefsel is dit?

A

hyalien kraakbeen

How well did you know this?
1
Not at all
2
3
4
5
Perfectly
24
Q

In vezelig bindweefsel zijn de vezels de overheersende component. Hoe zit dit bij losmazig bindweefsel?

A

in losmazig bindweefsel is geen van de componenten overheersend

How well did you know this?
1
Not at all
2
3
4
5
Perfectly
25
Welk type vetweefsel bestaat voor een groot deel uit uniloculaire vetcellen?
wit vetweefsel
26
Welke twee typen vezels zijn aanwezig in elastisch kraakbeen?
* elastische vezels * collageen type II
27
Welke typen vezels zijn aanwezig in vezelig kraakbeen?
collageen type I en collageen type II
28
Wat zijn de drie hoofdtypen vezels die geproduceerd worden door de fibroblast?
* collagene vezels * reticulaire vezels * elastische vezels Let op: de collagene en reticulaire vezels worden gevormd door eiwitten uit de collageenfamilie; elastische vezels worden gevormd door de eiwitten elastine en fibrilline.
29
Welke twee soorten botweefsel kunnen macroscopisch worden onderscheiden?
* compact botweefsel * spongieus botweefsel
30
Welk type vetweefsel is uniloculair?
wit vetweefsel
31
Welk type vetweefsel is gespecialiseerd in warmteproductie?
bruin vetweefsel
32
Hoe wordt groei van kraakbeen vanuit het perichondrium genoemd?
appositionele groei
33
Welk type collageen is aanwezig in botmatrix?
collageen type I
34
Welke cel in het bindweefsel zorgt voor de aanmaak van de vezels?
fibroblast
35
\* Noem een plek waar vezelig regelmatig bindweefsel aanwezig is, en koppel dit type weefsel aan de functie
pezen, grote weerstand tegen krachten die in 1 richting op de pees worden uitgeoefend
36
Welk type kraakbeen komt in het menselijk lichaam het meest voor?
hyalien kraakbeen
37
Welk soort vetweefsel bestaat uit multiloculaire vetcellen?
bruin vetweefsel
38
\* Je bekijkt een coupe van botweefsel onder de microscoop, en ziet meerkernige cellen tegen de botbalkjes aanliggen. Zie 'A' in de afbeelding. Welke cellen zijn dit?
osteoclasten
39
Welke twee soorten vetweefsel bestaan er?
* wit vetweefsel * bruin vetweefsel
40
Hoe noemen we botvorming vanuit kraakbeen?
enchondrale verbening
41
Welk type collageen komt het meest voor in hyalien kraakbeen?
collageen type II
42
Bij cellen in de verschillende bindweefsels zoals kraakbeen en bot maken we onderscheid tussen -blasten en -cyten. Wat betekent dit verschil?
Blasten zijn metabool en synthetisch actieve cellen, -cyten zijn rustende cellen.
43
Welk type vetweefsel is het meest belangrijk voor energieopslag?
wit vetweefsel
44
Welke cellen zorgen voor de vorming van botmatrix?
osteoblasten
45
\* In dit weefsel zijn verschillende vezels aanwezig. Welke zijn de dunne, paarse, vertakkende vezels?
elastische vezels
46
Bloed valt ook onder het bindweefsel. Welke factor in bloed vertegenwoordigt de vezelcomponent?
fibrinogeen
47
Welke cellen liggen in de verkalkte botmatrix, en zijn belangrijk bij onderhoud van het bot?
osteocyten
48
Wat is de functie van de type I collagene vezels in vezelig kraakbeen?
het weerstaan van trekkrachten
49
Welke drie soorten macromoleculen zijn aanwezig in de tussenstof?
* glycosaminoglycanen (GAGs) * proteoglycanen * multi-adhesieve glycoproteinen
50
Welk soort vezels is het meest aanwezig in vezelig bindweefsel?
type I collagene vezels
51
Wat is de functie van reticulaire bindweefsel?
geven van stevigheid / ondersteuning in organen die van zichzelf week zijn
52
In botweefsel komen osteocyten, osteoclasten en osteblasten voor. Welke van deze celtypen zorgen voor matrixproductie?
osteoblasten
53
Wat is het verschil tussen een fibroblast en een fibrocyt?
* de fibroblast is een actieve cel * de fibrocyt is een rustende cel
54
Wat is de functie van canaliculi in lamellair bot?
transport van nutriënten vanuit de bloedvaten naar octeocyten en - via aanwezig cytoplasmatische uitlopers - communicatie tussen osteocyten onderling
55
\* Welk type vezels zijn vooral in vezelig bindweefsel aanwezig?
type I collagene vezels
56
\* Welk type bindweefsel is in het meer oppervlakkige deel van de dermis aanwezig, en welk type in het diepere deel?
oppervlakkig: losmazig bindweefsel; dieper: onregelmatig vezelig bindweefsel
57
Welke cellen zorgen voor resorptie van gevormde botmatrix?
osteoclasten
58
Welk type vetweefsel bevat veel mitochondriën?
bruin vetweefsel
59
Uit welke voorlopercellen ontstaan osteoclasten?
Osteoclasten ontstaan door fusie van meerdere monocyten (of eigenlijk vooral eerdere voorlopers).
60
Glycosaminoglycanen, een van de soorten macromoleculen in bindweefseltussenstof, is sterk hydrofiel. Wat betekent dit?
het heeft een sterke waterbindende capaciteit
61
Welk type vezel, aanwezig in bindweefsel, kan bundels vormen die optimaal trekkracht kunnen weerstaan?
collagene vezels, en met name type I collagene vezels
62
Welke van de 4 bindweefselcomponenten overheerst in vezelig bindweefsel?
vezels
63
Hoe wordt dit type bindweefsel genoemd? Geef je antwoord zo volledig mogelijk.
regelmatig vezelig bindweefsel
64
Wat onderscheidt een fibroblast van een fibrocyt?
een fibroblast produceert vezels en tussenstofmoleculen, een fibrocyt is in rust
65
Drie soorten macromoleculen in bindweefseltussenstof zijn glycosaminoglycanen, proteoglycanen en multi-adhesieve glycoproteinen. Van welke van deze drie soorten is laminine een voorbeeld?
multi-adhesieve glycoproteinen
66
Bij de indeling van bindweefsel wordt onder andere gesproken over bindweefsel 'in engere zin' (connective tissue proper). Welke twee soorten bindweefsel in engere zin kunnen worden onderscheiden?
* losmazig bindweefsel * vezelig bindweefsel
67
Op welke manier of manieren groeit gewrichtskraakbeen, en waarom is dat zo?
alleen interstitieel, want er is geen perichondrium aanwezig