Epitheel Flashcards

(50 cards)

1
Q

Is overgangsepitheel eenlagig of meerlagig?

A

meerlagig

How well did you know this?
1
Not at all
2
3
4
5
Perfectly
2
Q

Welke vormen kunnen epitheelcellen van bedekkende epithelia hebben?

A

plaveisel

kubisch

cilindrisch

How well did you know this?
1
Not at all
2
3
4
5
Perfectly
3
Q

Noem de 5 cellagen van de epidermis in de juiste volgorde.

Begin met de laag met delende cellen.

A
  • str. basale (of germinativum)
  • str. spinosum
  • str. granulosum
  • str. lucidum
  • str. corneum
How well did you know this?
1
Not at all
2
3
4
5
Perfectly
4
Q

Welke cellen in de epidermis produceren melanine?

A

melanocyten

How well did you know this?
1
Not at all
2
3
4
5
Perfectly
5
Q

* Welke klierepitheelcellen (sereus of muceus) kleuren het sterkst aan wanneer een kleuring voor RNA wordt uitgevoerd, en waarom?

A
  • sereus
  • daar wordt veel eiwit gemaakt, dus er vindt veel veel transcriptie en translatie plaats
How well did you know this?
1
Not at all
2
3
4
5
Perfectly
6
Q

In welk orgaan is overgangsepitheel aanwezig?

A

blaas

How well did you know this?
1
Not at all
2
3
4
5
Perfectly
7
Q

Noem vier celtypen die in de huid aanwezig zijn.

A
  • keratinocyten
  • Langerhans cellen
  • melanocyten
  • cellen van Merkel
How well did you know this?
1
Not at all
2
3
4
5
Perfectly
8
Q

Uit welk type epitheel bestaat de epidermis?

Wees zo volledig mogelijk.

A

meerlagig verhoornend plaveiselepitheel

How well did you know this?
1
Not at all
2
3
4
5
Perfectly
9
Q

* Hoe worden de structuren in de pancreas genoemd waar insuline en glucagon worden gemaakt?

A

eilandjes van Langerhans

How well did you know this?
1
Not at all
2
3
4
5
Perfectly
10
Q

Hoe wordt exocrien klierweefsel genoemd waar sterk geglycosyleerde, hydrofiele eiwitten worden gemaakt?

A

muceus

How well did you know this?
1
Not at all
2
3
4
5
Perfectly
11
Q

Welk type epitheel is in de darm aanwezig?

A

eenlagig cilindrisch epitheel

How well did you know this?
1
Not at all
2
3
4
5
Perfectly
12
Q

In welke cellen in de epidermis is melanine aanwezig?

A

in melanocyten en in keratinocyten

How well did you know this?
1
Not at all
2
3
4
5
Perfectly
13
Q

Wat weet je van de doorbloeding van bedekkend epitheel?

A

bedekkend epitheel is niet doorbloed

How well did you know this?
1
Not at all
2
3
4
5
Perfectly
14
Q

Hoe wordt het epitheel genoemd dat in de trachea aanwezig is?

A

pseudomeerlagig trilhaarepitheel

How well did you know this?
1
Not at all
2
3
4
5
Perfectly
15
Q

* Waar komt insuline terecht, dat in de eilandjes van Langerhans wordt geproduceerd?

A

in het bloed

How well did you know this?
1
Not at all
2
3
4
5
Perfectly
16
Q

Welk type epitheel is aanwezig in de slokdarm?

Wees zo volledig mogelijk.

A

meerlagig niet-verhoornend plaveiselepitheel

How well did you know this?
1
Not at all
2
3
4
5
Perfectly
17
Q

In exocriene klieren kunnen epitheelcellen als een druiventrosje geformeerd liggen.

Hun product scheiden ze in het centrum van het trosje uit, vanwaar het kan worden afgevoerd.

Hoe wordt zo’n ‘druiventrosje’ genoemd?

A

acinus (meervoud = acini)

How well did you know this?
1
Not at all
2
3
4
5
Perfectly
18
Q

Waar in het lichaam is dit type epitheel aanwezig?

A

slokdarm

How well did you know this?
1
Not at all
2
3
4
5
Perfectly
19
Q

Hoe wordt de, met de lichtmicroscoop zichtbare, laag genoemd, die de verbinding vormt tussen het epitheel en het bindweefsel?

A

basaalmembraan (niet: basale lamina! = EM-structuur)

How well did you know this?
1
Not at all
2
3
4
5
Perfectly
20
Q

* In welk orgaan zijn eilandjes van Langerhans aanwezig?

A

pancreas

How well did you know this?
1
Not at all
2
3
4
5
Perfectly
21
Q

* In welke structuur van de pancreas wordt glucagon geproduceerd?

A

eilandjes van Langerhans

22
Q

Naar welk type epitheel wijzen de pijlen?

A

eenlagig plaveiselepitheel

23
Q

Keratinisatie is het ophopen van keratinevezels in de epitheelcellen.

In welke laag van de epidermis vindt de grootste productie van keratinevezels plaats?

A

In het stratum spinosum.

Maar ook door epitheelcellen in het stratum basale worden al keratinevezels geproduceerd.

24
Q

Welke structuur zorgt ervoor dat epitheelcellen vastziten aan de basale lamina?

A

hemidesmosomen

25
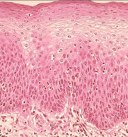
Geef zo volledig mogelijk de naam van het type epitheel dat je hier ziet.
meerlagig niet-verhoornend plaveiselepitheel
26
Epitheelcellen vertonen vaak polariteit. Hoe wordt de kant van de epitheelcel genoemd, die in contact staat met de extracellulaire matrix en bindweefsel?
basale kant
27
\* Welke laag is wel te zien in de epidermis van dikke huid, maar niet in de epidermis van dunne huid?
stratum lucidum
28
Welke cellen, die in de epitheellaag van de huid aanwezig zijn, zijn betrokken bij de totstandkoming van een immuunrespons tegen micro-organismen die via de huid zijn binnengekomen?
Langerhans cellen
29
\* Uit welk type klierepitheelcellen bestaat het exocriene deel van de pancreas?
sereuze klierepitheelcellen
30
\* In welke laag van de epidermis bevinden zich keratohyaline korrels?
in het stratum granulosum
31
Welk type epitheel is dit?
eenlagig cylindrisch epitheel
32
\* Wat is het verschil tussen het epitheel van de huid en het epitheel waarmee de slokdarm is bekleed?
bij de huid is een hoornlaag aanwezig (dus verhoornend meerlagig plaveiselepitheel), i.t.t. de slokdarm
33
Wat zijn gap junctions?
Intercellulaire kanalen: kanalen in celmembranen via welke uitwisseling van moleculen en voedingsstoffen tussen de cellen plaatsvindt.
34
\* Welke cellagen zijn wel aanwezig in meerlagig verhoornend plaveiselepitheel, maar niet in meerlaging niet-verhoornend plaveiselepitheel?
* str. granulosum * str. lucidum * str. corneum
35
\* Welke cellen in de huid maken melanine?
melanocyten
36
\* Wat is de functie van Langerhanscellen in de huid?
het opnemen van antigeen in de huid, en dit in de lymfeklier presenteren aan T-lymfocyten
37
Noem drie verbindingen die ervoor zorgen dat epitheelcellen aan elkaar vast zitten.
* tight junctions (zonula occludens) * adherent junctions (zonula adherens) * desmosomen
38
Bij bedekkend epitheel kan, op basis van _de vorm van de cellen_, onderscheid worden gemaakt tussen drie vormen. Welke drie vormen worden bedoeld?
* plaveisel * kubisch * cilindrisch
39
Met welk type epitheel is de slokdarm bekleed? Wees zo volledig mogelijk.
meerlagig niet-verhoornend plaveiselepitheel
40
Heb je suggesties voor vragen die aan deze set kunnen worden toegevoegd? Mail ze naar: s.vanblokland@erasmusmc.nl
Alvast bedankt!
41
Wat wordt bedoeld met de term 'gemengd epitheel'?
Epitheel waarin zowel sereuze als muceuze klierepitheelcellen aanwezig zijn.
42
\* Zijn de klierepitheelcellen in de eilandjes van Langerhans sereus of muceus?
sereus, er worden eiwitten geproduceerd
43
Epitheelcellen vertonen vaak polariteit. Hoe wordt de kant van de epitheelcel genoemd die vaak in contact staat met een ruimte, zoals het lumen van de darm?
apicale kant
44
Naar welk type epitheel wijst de pijl? (de pijl is klein, dus even zoeken)
eenlagig kubisch epitheel
45
Welke structuur maakt intercellulaire communicatie tussen epitheelcellen mogelijk?
gap junctions
46
In exocrien klierweefsel kunnen sereuze en muceuze klierepitheelcellen worden onderscheiden. Bij welk van deze twee wordt de kern naar de basale kant van de cel weggedrukt?
muceuze klierepitheelcellen
47
Epitheelcellen zijn d.m.v. de basaalmembraan verbonden met het onderliggend bindweefsel. Uit welke lagen bestaat deze basaalmembraan?
uit de basale lamina en de fibroreticulaire laag
48
Met welk type epitheel is de trachea bekleed?
pseudomeerlagig epitheel (pseudomeerlagig trilhaarepitheel)
49
Welk type epitheel is in de blaas aanwezig? Wees zo volledig mogelijk.
meerlagig overgangsepitheel
50
Op sommige epitheelcellen zijn microvilli aanwezig. Wat is de algemene functie van microvilli?
oppervlaktevergroting