
Koplik spots: Small, irregular red spots on buccal/lingual
mucosa with blue-white centers. Seen in Measles infections
Single stranded, negative sense, Helical, Enveloped, RNA virus
Paramyxovirus
also known as Rubeola, diagnosed by Cough, Conjunctivits, Coryza

Nevus Flammeus, port-wine stain associated with Sturge-Weber syndrome

Achilles Tendon Xanthoma seen in Familial Hypercholesterolemia. result of decreased LDL signalling

Calf pseudohypertrophy associated with Dechenne’s Muscular dystrophy. mutation in Dystrophin gene. Problem associated with HIPS

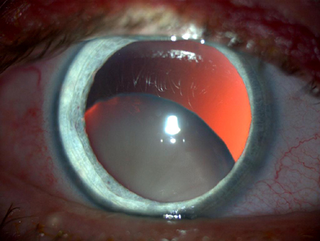
Cherry red spot on Macula:
Tay-Sachs (ganglioside accumultion) or
Neiman pick (sphyngomyelin accumulation)
central retinal artery occulsion

Alkaptonuria (Ochronosis):
Deficiency of Homogentisate oxidase
Tyrosine to Fumarate pathway
Pigment deposists in connective tissue, urine turns black on exposure to air, arthralgia
Homogentistic acid is toxic to cartilege

Cheilosis (Ribolavin deficiency):
vit b2
inflammation of lips, scaling, and fissures at the corners of the mouth
riboflavin makes FAD and FMN used as cofactor in redox reactions (succinate dehydrogenase)

Marfans Sydrome
lens subluxation,
upward and outward

Homocysteinura
ocular findings
lens subluxation,
downward and inward

Palmar xanthoma:
Type III Dysbetalipoproteinemia
defective ApoE (everything except LDL)
increased Chylomicrons and VLDL
risk of premature atherosclerosis