
Virchow’s nodule with Trosier’s sign: Enlarged and Hardened left Supraclavicular lymph node indicating abdominal metastesis

Mallory Weiss tear:
Longtitudinal tear in the mucous membrane, or inner lining, at the GEJ that can can cause significant bleeding and Painful Hematemesis. Associated w Boorhave syndrome.
Usually due to Alcohol or Bulemia

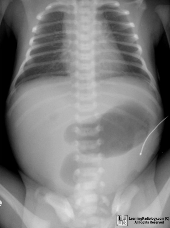
Duodenal atresia:
Failure of recanalization of the Duodenum in early gestation
Double bubble-sing on x-ray; dilated stomach and promximal duodenum
Most common GI abnormality associated with Down Syndrome
vomit contains BILE

Diverticulosis:
occurs due to excessive colonic contractions that cause increased intraluminal pressure forcing mucosa and submucosa to herniate through muscularis.
Complications include diverticular bleeding and diverticulitis (inflammation of outpouchings)
risk factors: diet high in fat and red meat, low in fiber, obesity, smoking, inactivity

Eosinphilic Esophagitis
Infiltration of eosinophils in the esophagus
Esophagel rings and furrows seen on endoscopy
typically UNRESPONSIVE to GERD therapy

Crypt Abscess:
Ulcerative Colitis- Continuous colonic lesions, always with rectal involvement

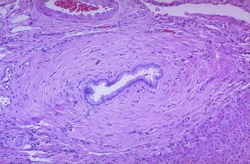
Primary sclerosing cholangitis:
showing onion skin fibrosis of bile duct
Stong Assoc. with Ulcerative Colitis. P-ANCA
increased IgM. incr risk of cholangiocarcinoma

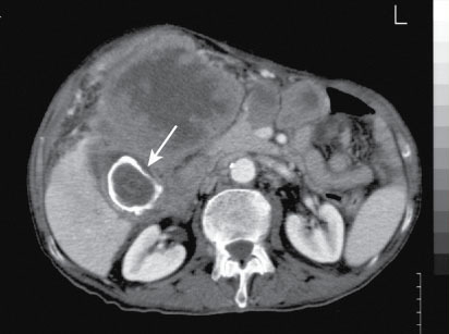
Porcelain Gallbladder
thickened gallbladder wall with a rim of patchy calcification

Hepatic Metasteses
multinodular appearance
affects whole organ

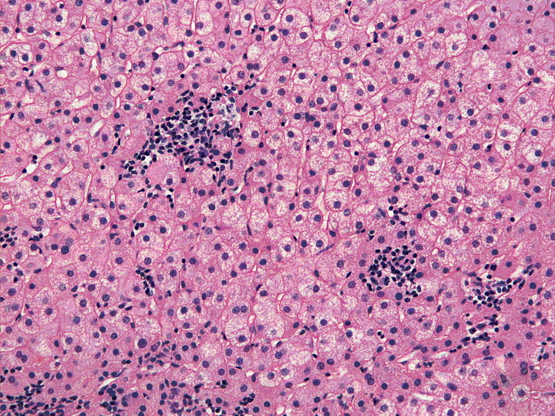
Hepatitis A liver Biopsy
Hepatocyte swelling, ballooning degenration,
Councilman bodies

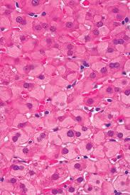
Hepatitis B liver Biopsy
Ground Glass appearance, Granular

Hepatitis C liver biopsy
Lymphoid Aggregates,
focal areas of macrovasiculart steatosis