Biometría hemática Flashcards

(37 cards)

1
Q

Características de la BH

A
  • Se considera como 1 solo examen de laboratorio
  • Valora 3 líneas celulares de funciones diferentes
    • Todas producidas en la médula ósea
How well did you know this?
1
Not at all
2
3
4
5
Perfectly
2
Q

g/dL

Valores normales de la hemoglobina

Hombre y mujer

A
  • Hombre: 15.5 - 13.5
  • Mujer: 14 - 12

Más de dos desviaciones estandar de diferencia es patológico

How well did you know this?
1
Not at all
2
3
4
5
Perfectly
3
Q

%

Valores normales del hematocrito

Hombre y mujer

A
  • Mujer: 41- 36
  • Hombre: 47 - 41

Más de dos desviaciones estandar de diferencia es patológico

How well did you know this?
1
Not at all
2
3
4
5
Perfectly
4
Q

Valores normales de la cuenta de globulos rojos

Hombre y mujer

A
  • Mujer: 4.6 - 4.0
  • Hombre:5.2 - 4.5

Más de dos desviaciones estandar de diferencia es patológico

How well did you know this?
1
Not at all
2
3
4
5
Perfectly
5
Q

fL

Valores normales de MCV

A

90 - 80

How well did you know this?
1
Not at all
2
3
4
5
Perfectly
6
Q

pg

Valores normales de MCH

A

30 - 26

How well did you know this?
1
Not at all
2
3
4
5
Perfectly
7
Q

g/dL

Valores normales de MCHC

A

34 - 31

How well did you know this?
1
Not at all
2
3
4
5
Perfectly
8
Q

Diferencias entre BH y Frotis

A
  • BH: cantidad de células, estudia si la médula ósea produce una cantidad suficiente de células madre
  • Frotis: morfología de las células, si el desarrollo de las células hematopoyéticas es cualitativamente normal
How well did you know this?
1
Not at all
2
3
4
5
Perfectly
9
Q

Compone la determinación de los índices eritrocitarios primarios y secundarios

A

Serie roja

How well did you know this?
1
Not at all
2
3
4
5
Perfectly
10
Q

¿Cuales son los indices eritrocitarios primarios y a partir de que se determinan?

A

-Hb, Hto, eritrocitos
Se determinan directamente a partir de la muestra de sangre total del p

How well did you know this?
1
Not at all
2
3
4
5
Perfectly
11
Q

Los índices eritrocitarios primarios son….

A

Cuantitativos: normalidad, anemia o policitemia

How well did you know this?
1
Not at all
2
3
4
5
Perfectly
12
Q

¿Cuales son los índices eritrocitarios secundarios?

4

A
  • Volumen corpuscular medio (VCM)
  • Hemoglobina corpuscular media (HCM)
  • Concentración media de la Hb corpuscular (CMHC)
  • Ancho de distribución eritrocitaria (ADE)
How well did you know this?
1
Not at all
2
3
4
5
Perfectly
13
Q

Como se calcula y que indica el VCM

A
  • Indica microcitosis o macrocitosis

Hematocrito (L/L) / Eritrocitos (x10*12 /L)

How well did you know this?
1
Not at all
2
3
4
5
Perfectly
14
Q

¿Qué indica y como se calcula la HCM?

A
  • Indica si ay hipercromía o hipocromía

Hemoglobina (g/L) / Eritrocitos (x10*12 /L)

How well did you know this?
1
Not at all
2
3
4
5
Perfectly
15
Q

¿Qué indica y como se mide la CMHC?

A
  • Indica el tamaño y contenido de la Hb en la población de eritrocitos estudiados

Hemoglobina (g/L) / Hematocrito (L/L)

How well did you know this?
1
Not at all
2
3
4
5
Perfectly
16
Q

¿Qué indica el ADE?

A

Indica el espacio entre cada eritrocito (simetria) e indicaría si todos tienen la misma morfología o si son irregulares

17
Q

Anisocitosis

A

Tamaño muy distinto entre eritrocitos

18
Q

Precursor de eritrocito maduro

A

Reticulocitos

Antes de perder el núcleo

19
Q

¿Qué se puede valorar a traves de la presencia de reticulocitos en serie roja?

A

Valoración de la producción de eritrocitos en la médula ósea

20
Q

¿Cuando pasan los eritroblastos a reticulocitos?

A

Cuando los eritroblastos se liberan del núcleo se transorman en reticulocitos y se liberan en la sangre periférica

21
Q

¿Cuanto tiempo tardan en convertirse en eritrocitos maduros?

Reticulocitos

22
Q

Niveles normales de reticulocitos en serie roja

23
Q

¿Que significa la presencia de reticulocitos o eritroblastos en frotis sanguínea?

A

Indica la compensación de alguna otra patología en el cuerpo

24
Q

Los reticulocitos nos permiten clasificar el tipo de anemia desde 2 puntos fisiopatológicos

A
  • Arregenerativa: no tiene la capacidad de regenerar lo que está perdiendo
  • Regenerativa: envia células, aunque sea reticulocitos
25
Reticulocitos corregidos
Ajustar el porcentaje de reticulocitos al hematocrito del paciente
26
Valores enn anemia hemolítica compensada
- Hb: normal - Hto: normal - Reticulocitos: aumentados
27
Valores en leucemia aguda
- Hb: baja - Hto: bajo - Eritrocitos: bajos - Reticulocitos: bajos o normales - No hay respuesta de la médula ósea
28
Valores en recuperación por tx o anemia hemolitica descompensada
- Hb: baja - Hto: bajo - Eritrocitos: bajos - Reticulocitos aumentados
29
3 determinaciones principales de los leucocitos
- Cuenta total de leucocitos (automatizada) - Cuenta diferencial de leucocitos (manual) - Valores absolutos: la suma de todos siempre tiene que dar 100%
30
Neutrófilos normales
- 35 al 70% - 1500 - 8,000 /mm3
31
Linfocitos normales
- 20 a 50% - 1000 a 5000 /mm3
32
Caso clínico: - Leucocitos 2500 - Linfocitos 65% (1625) - Neutrofilos 35% (900)
- Linfocitos normales dentro del rango 1000 a 5000 - Neutrofilos bajos (900) rango normal es de 1500 a 8000 **Diagnóstico: neutropenia**
33
Caso clínico - Femenino de 5 años de edad
- Serie roja: toda la serie esta baja, con eso se puede determinar anemia microcítica hipocrómica - Serie blanca: leucocitos aumentados, casi todos son neutrófilos, banda en 8% (indica proceso infeccioso) **Diagnóstico: pielonefritis + anemia por deficiencia de hierro**
34
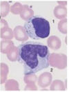
Caso clínico - Masculino de 4 años de edad - Hb: 8 - Hto: 23.5 - VCM: 81 - CMH: 27 - CMHC: 34 - Leucocitos 35,000 - Neutrófilos 9% (3150) - Linfocitos 90% (31,500) - Plaquetas 8000 | Linfoblaastos
- Hemoglobina baja - Niveles corpusculares normales - Leucocitos aumentados - Neutrófilos muy disminuidos - Casi todos son linfocitos (linfoblastos en frotis) - Plaquetas muy bajas - Pancitopenia **Diagnóstico: leucemia aguda**
35
3 líneas afectadas (bajas)
Pancitopenia
36
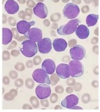
Caso clínico - Masculino de 5 años de edad - Hb: 9.5 - Hto: 27.3 - VGM: 80.5 - CMH: 28 - CMHC: 35 - Leucocitos: 20,000 - Neutrófilos: 29% (5800) - Linfocitos 60% (12000) - Monocitos 11% - Plaquetas 90,000 | Linfocito atípico
- Anemia normocítica normocrómica - Leucocitosis con predominio de linfocitos atípicos - Monocitosis - Trombocitopenia - Con frotis periférico y aspiración MO se confirmó el dx **Diagnóstico: mononucleosis infecciosa**
37
La bicitopenia es una indicación para
Realizar un aspirado de médula ósea