Species
cause
treatment

Pigeon Columba livia
poxvirus (pigeon pox)
vaccination, stringent health protoocols
pigeon dermis
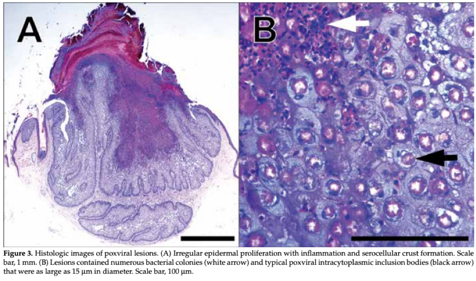
A - describe
B - black arrows

A - irregular epidermal proliferation sith inflammation, serocellular crust formation
B - intracytoplasmic inclusion bodies (Bollinger bodies)
Type of vaccination used
What is going on in B?

Modified live poxvirus labeled for chickens
Vaccine response - swellign and follicular distention