Breed
condition
model

Lee-Sung pig
congenital anophthalmia
circadian rhythm in blindness
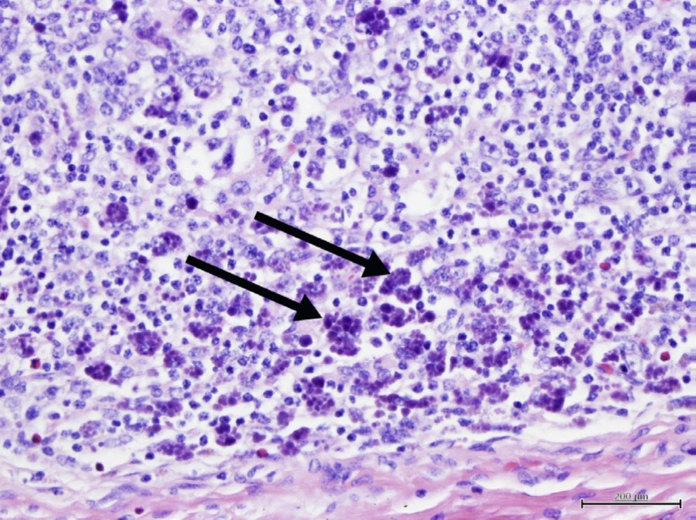
Name the structure.
Causative agent

Botryoid inclusion (intracytoplasmic)
Porcine Circovirus 2
Types of agents that can cause this
Porcine Circovirus 2 - non-enveloped RNA virus
PRRS - single-stranded RNA virus classified in the order Nidovirales, family Arteriviridae, and genus Arterivirus.
PPV-1, a single-stranded DNA virus classified in the genus Parvovirus, family Parvoviridae. (SMEDI)
Name of condition
cause

Porcine Dermatitis and Nephropathy Syndrome
Porcine Circovirus 2
immune complex deposition
Gross description
Cause
Disease Name

Thoracic and perotoneal fibrinoserositis
Haemophilis parasuis
Glasser’s Disease
Other clinical signs that may occur
Causative agent

fever of 40–42°C; anorexia; depression; stiff, stilted gait; sitting posture; abortion; and sudden death
Erisypelothrix rhusiopathiae
Causative agent
Pathogenesis
Associated co-infection

Bordatella bronchiseptica, Pasteurella multocida, Haemophilis parasuis
Turbinate atrophy due to Pasteurella Multocida Toxin, Dermonecrotic toxin (Bordatella), atrophic effects of H. parasuis
Porcine cytomegalovirus
describe
cause

Mycoplasma hyopneumoniae.
Consolidated and red apical lung lobes
describe
causative agent

The intestine is diffusely thickened and there is fibrinonecrotic debris adherent to the lumenal surface
Lawsonia intracellularis
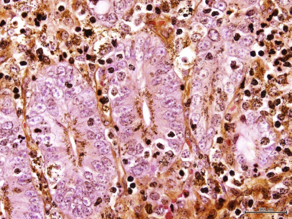
Causative agent
Describe histo

Lawsonia intracellularis, proliferative enteritis. Organisms are present within the apical cytoplasm of intestinal glandular enterocytes.
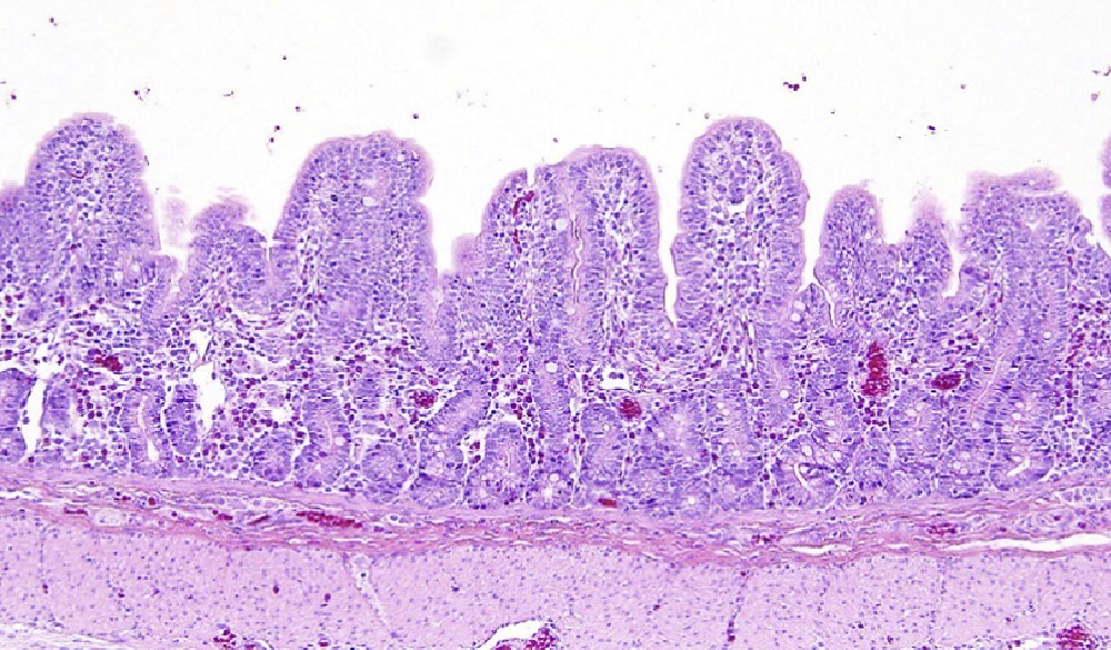
Describe
Causeative agent

Villi of the small intestine are markedly shortened.
Porcine Coronavirus. Transmissible gastroenteritis.
Pathogenesis

Exfoliative toxins target stratum granulosum
Differential Dx
Family, genus
Which are reportable?

Foot and Mouth Disease virus: family Picornaviridae, genus Aphthovirus (R)
Vesicular stomatitis virus; family Rhabdoviridaegenus, genus Vesiculovirus (R)
Swine vesicular virus; family Picornaviridae, genus Enterovirus
Vesicular exanthema of swine virus; family Caliciviridae, genus Vesivirus
Classical swine fever; family Flavivirus, genus Pestivirus