where does urothelium line from
renal pelvis and calyces right down to urethra
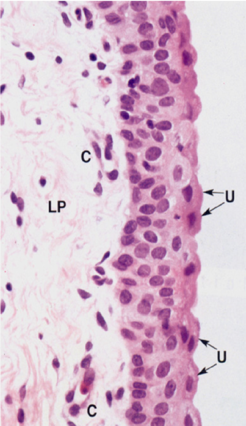
what are the cells at the luminal surface of urothelium called
umbrella cells - domed surface

name 2 special properties of urothelium
what are 90% of bladder tumours
TCC
risk factors for TCC
what age are they most common
5th decade of life
presentation
which region of the bladder do most TCC occur in
trigone - can cause ureteric obstruction
papillary TCC


carcinoma in situ - TCC

stage 0a and 0is

what stage is stromal and detrusor muscle invasion

recurrence of TCC?
investigations
how may the appearance of papillary tumours be described
stippled

what proportion of bladder tumours do squamous ones make up
9%
how can SCC be caused
risk factors for SCC
what developmental defect can lead to adenocarcinoma of the bladder
embryonal rhabdomyosarcoma
the most common malignant bladder tumour in children, malignant cells resemble developing skeletal muscle of child
treatment of superficial cancer
transurethral resection of bladder tumour or local diathermy
treatment of cancer that has invaded into the detrusor muscle (T2)
radical cystectomy