BPH

features of BPH
LUTS
latent BPH
aetiology
investigations of BPH
how does BPH appear on DRE
smooth and rubbery, enlarged
what does a raised PSA mean
not a reliable test - often raised by BPH
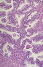
histology
proliferation of glands AND stroma - looks like trees

management
lifestyle management of BPH
drugs used in BPH
finasteride mechanism of action
decrease testosterone converstion to DHT
warning with finasteride
surgery avilable for BPH
TURP of HolEP (laser)
what is there a risk of with TURP
impotency - ≤14%
complications