what things are involved in the Normal Haemostatic Mechanisms?
what is the Normal Haemostatic Response?
•Primary - Platelet Plug Formation
•Secondary - Fibrin Plug Formation
When vessel wall is initially damaged the platelets stick to the collagen and the platelets then get sticky and stick to each other
Activators of coagulation released from damaged tissue is tissue factor and it activated the cascade of dominoes of coagulation factors leads to a stable fibrin plug on the platelet plug you formed
what does Diathesis mean?
Diathesis is a person’s predisposition or vulnerability to a medical condition, which can be a psychological or physical disorder

what is Haemorrhagic Diathesis?
Any quantitative or qualitative abnormality
Inhibition of function
what are some important points you want to cover in your bleeding history?
what are some good things to ask about in relation to a history of bleeding?
what is important to think about in relation to the severity of bleeding?
Hit with a baseball bat and bled – appropriate for the level of trauma that was experienced
Bruise after vaccine = normal
Massive haematoma = not normal
Massive haematoma after IM injection – then ask questions especially if on more than one occasion
Man standing and suddenly bleeding into knee = Spontenous bleeding = could be haemaphilia especially if the person is doing absolutely nothing
what is an important question to ask when you are trying to determine the severity of a bleed?
Ask the question – what does it take to make you bleed? If nothing then a severe disorder
Severe patters are way more obvious than mild patterns
Depending on what part of the coagulation pathway isn’t working then you get a different _______ of __________
pattern
bleeding
what are the different patterns of bleeding?
•Platelet type
•Coagulation Factor
what is shown here?

Classical picture of bruises
Flecks aswell – bleeds into the dermis
When you see this patients ask and push one of the lesion and see if it blanches and this one shouldn’t
what is shown here?

Severe haemophilia
Picture of old haemophilia
Haemophilic athropathy
Inflammatory response in macrophages resulting in synovitis
Inflammation synovium prevents repair
what is shown here?

Big haematoma in thigh
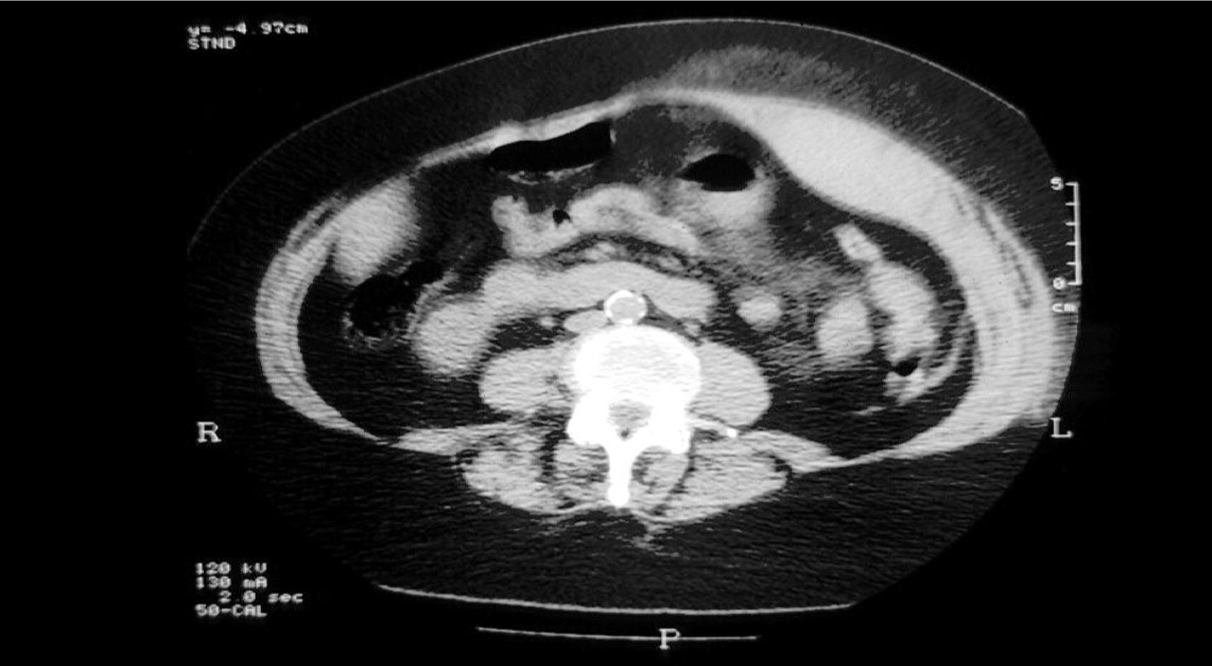
what is shown here?

Rectus Sheath Haematoma
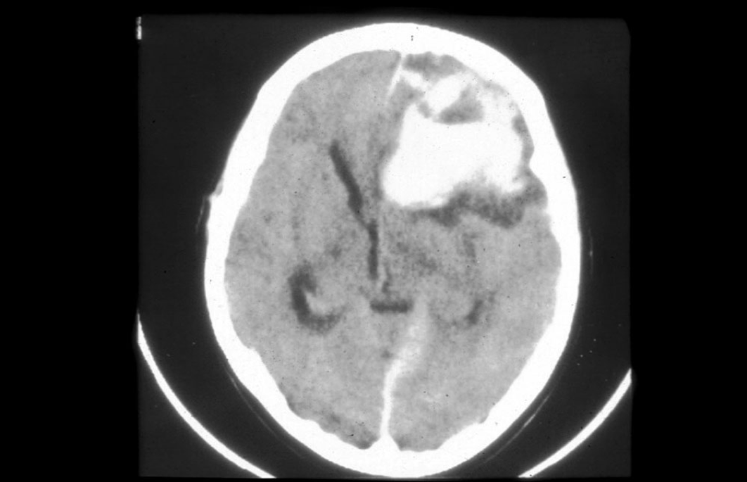
what is shown here?

Intracranial Haemorrhage in Haemophilia
Used to be the commonest cause of death in severe haemophilia
Dense area of bleeding
Midline shifted – not a good outcome
how do you determine if a bleeding disorder is congeital or aquired?
Ask about previous episodes – especially of trauma and surgical episodes, even if it was 20 years ago and want to know if they have abnormal bleeding as if they didn’t then unlikely it is a congenital bleeding disorder they are presenting with now and more likely to be acquired
how do you determine if it is a hereditary disorder?
what is shown here?
Classic family tree for a X linked disorder
Circle = women
Square = men
Black square = affected men
Victoria had a mutation in her factor 9 gene
Boy on right - X chromosome from mum and happens to be the one with the disorder one it and Y chromosome from dad – died at age of 31

what is shown here?

Autosomal dominant pattern
vWF diseases tend to be autosomal dominant inheritance
what is Haemophilia A and B?
Haemophilia is a mostly inherited genetic disorder that impairs the body’s ability to make blood clots, a process needed to stop bleeding. This results in people bleeding for a longer time after an injury, easy bruising, and an increased risk of bleeding inside joints or the brain.
Type A, the most common type, is caused by a deficiency of factor VIII. Type B hemophilia is caused by a deficiency of factor IX
what are the different severities of haemophilia?
what are the clinical features of Haemophilia?
what is shown here?

•Haemarthrosis (haemorrhage into a joint space)
what is shown here?

Injury
Man hit with tennis ball
Severe injury for being hit with tennis ball
haemophilia