hwat is the Origin of bone marrow malignancies?

what are the different types of Myeloid Malignancy?
Acute Myeloid Leukaemia (AML)
Chronic Myeloid Leukaemia (CML)
Myelodysplastic Syndromes (MDS) - one of a group of cancers in which immature blood cells in the bone marrow do not mature, so do not become healthy blood cells
Myeloproliferative Neoplasms (MPN) - a group of rare blood cancers in which excess red blood cells, white blood cells or platelets are produced in the bone marrow

what is the difference between Acute vs Chronic Myeloid Leukaemia?
Acute - Bane marrow fills with cells that are failing to differentiate
Chronic - In chronic can produce end cells

what are the Sub groups of Acute Leukaemia?
Acute Myeloblastic Leukaemia (AML)
Acute Lymphoblastic Leukaemia (ALL)
describe wht can be seen here?
Normal bone marrow under low power
Lots of different cells as it is a bone marrow producing everything you need e.g. neutrophils, myelocyte, early cells, lymphocytes, nucleated red cells
Healthy bone marrow

what is seen here?

acute leukaemia replacing the bone marrow leads to bone marrow failure
what are the clinical features of AML?
BONE MARROW FAILURE (Triad)
Elderly man
No obvious trauma to arm
Severe thrombocytopenia due to acute myeloid leukaemia

Man with acute myeloid leukaemia
Bitten tongue slightly
Leads to ulcer and haematoma around it
Thrombocytopenia and neutropenia

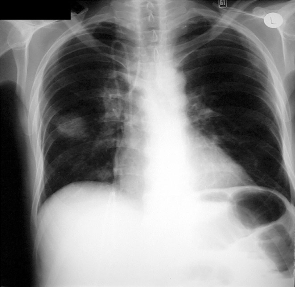
Fungal pneumonia in AML-CXR
Area of consolidation on right side

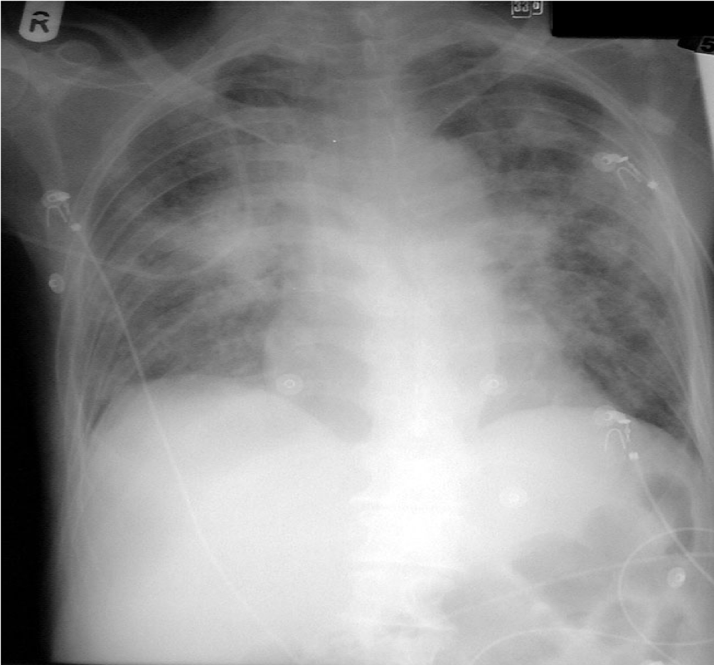
Fungal pneumonia in AML – CXR 24 hours later
Rapid dissemination

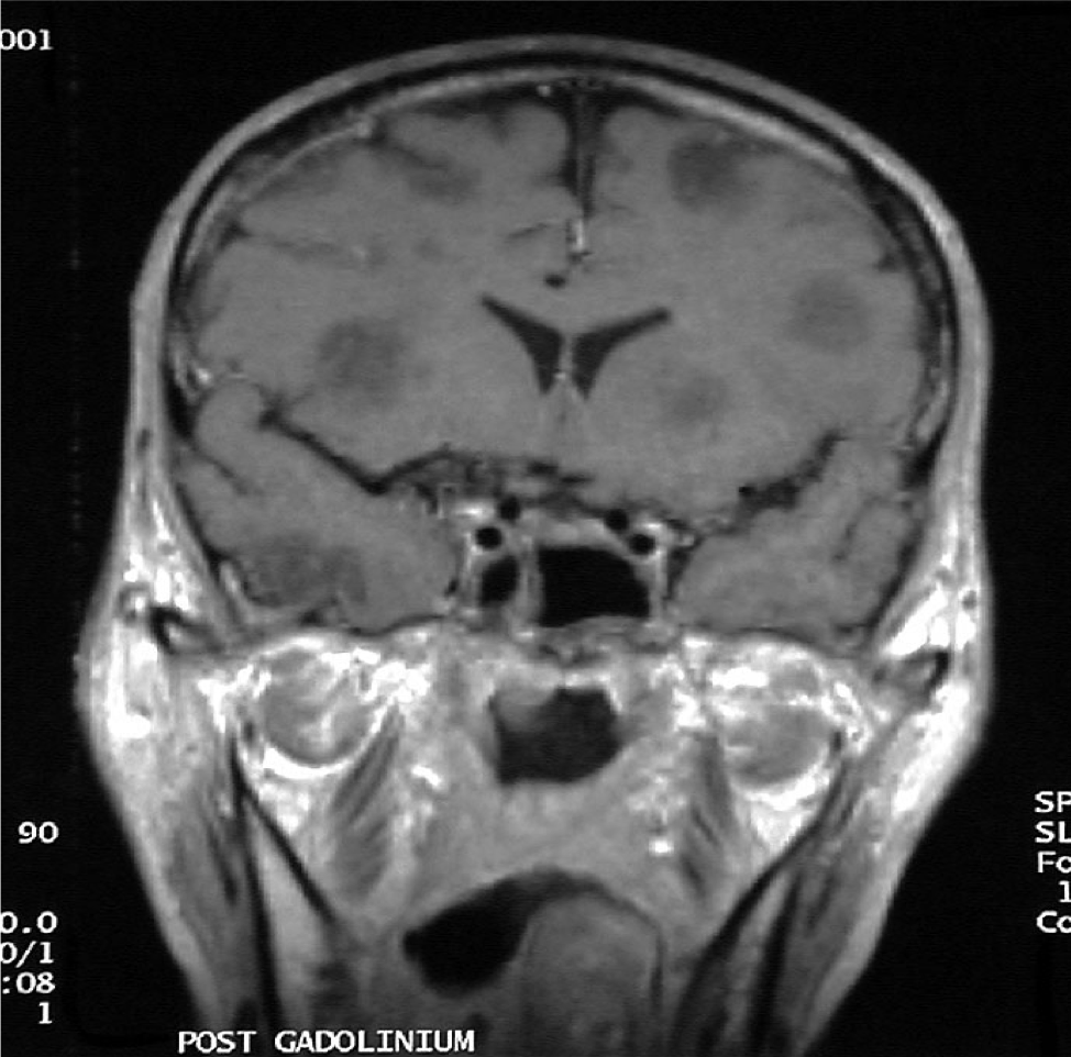
Multiple fungal abscesses in AML – Brain MRI scan

what are essential investigations done in AML?
Blood count and blood film (Blood count will show thrombocytopenia, neutropenia, low BC etc)
Bone marrow aspirate/ trephine - (Diagnose when) Blasts > 20% of marrow cells in acute leukaemia
Cytogenetics (Karyotype) from leukaemic blasts
Immunophenotyping of leukaemic blasts (differentiate between myeloid or lymphoid blast)
CSF examination if symptoms
Targeted molecular genetics for associated acquired gene mutations - e.g. FLT3, NPM1, IDH 1 & 2
Increasing use of extended Next Generation Sequencing (NGS) myeloid gene panels in AML - multiple genes analysed
what is the treatment of AML?
Supportive care
Anti-leukaemic Chemotherapy (3 stages in anti-leukaemic chemotherapy):
Remission induction - to achieve remission (1-2 cycles):
Consolidation (1-3 cycles):
Maintenance (New) - Maintenance is where you give low levels of treatment for a long time to prevent relapse:
All-trans retinoic acid (ATRA) and arsenic trioxide (ATO) in low risk Acute Promyelocytic Leukaemia – ‘Chemo –free’ – high cure rate ~ 90%
what are some New developments in AML?
Targeted antibodies: - Gemtuzumab Ozogamicin: anti-CD33 with Calicheomycin (Mylotarg)
Targeted small molecules: - Midostaurin: tyrosine kinase inhibitor inhibiting FLT3
New chemotherapy delivery systems - CPX -351
how has the survival of AML changed?
Steady improvement in survival

More recent data
Age is important in AML

onto Chronic Myeloid Leukaemia
Proliferation with differentiation

what do you get in CML?
Anaemia - Anaemia not because of bone marrow failure but anaemia of chronic disease
Splenomegaly, often massive (proliferation in spleen)
Weight loss
Hyperleukostasis - Fundal haemorrhage and venous congestion, altered consciousness, respiratory failure.
Gout
what does the blood levels look like in CML?
A little bit anaemic
Platelets high
Not made up of blasts, most of them are other myeloid cells

what does CML look like in histology?

Looks like normal bone marrow but just a lot more of it

what are the labratory features of CML?
High WCC (can be very high )
High platelet count
Anaemia
Blood film shows all stages of white cell differentiation with increased basophils
Bone marrow is hypercellular
Bone marrow and blood cells contain the Philadelphia chromosome - t(9;22) - Nearly all patients had a Small chromosome 22
what is the philadelphia chromosome seen in CML?
Exchange of genetic material
A bit of chromosome 9 is put on chromosome 22 and a bit of 22 is put on chromosome 9 so you have a big long chromosome 9 and a short chromosome 22 and this short chromosome puts together 2 genes which shouldn’t be together
Overproduction of this abnormal fusion gene on the Philadelphia 22 (small chromosome 22) causes the disease

what is the treatment of CML?
Tyrosine Kinase Inhibitors (TKIs):
Direct inhibitors of BCR-ABL : First line in all patients nowadays
Allogeneic Transplantation (few now)- Only in TKI failures – can fail due to additional mutaitons in leukaemic cells or patients don’t take drugs
how do the Tyrosine Kinase Inhibitors (TKIs) for the treatment of CML work?
Mode of action in TKI (Imatinib) inhibition of BCR-ABL
Exactly how the tyrosine kinase inhibitors work
Uses ATP to put phosphate groups on downstream proteins - Inmatinib inhibit the blocks the phosphorylation process

what are Myeloproliferative Neoplasms
(MPN)?
Myeloproliferative neoplasms (MPN) are cancers that start in the bone marrow, where blood cells are made.
In MPN, the bone marrow makes too many of one or more types of blood cells (red blood cells, white blood cells and/or platelets). These cells change the thickness of the blood. Sometimes they don’t work properly. They also crowd the bone marrow and then it can’t make enough healthy blood cells.
There are seven types of MPN, diagnosed using blood tests and a bone marrow biopsy. Some forms can transform into other types of MPN or into acute myeloid leukaemia.

what are the types of Myeloproliferative Neoplasms
(MPN)?
Polycythaemia Vera (PV)
Essential Thrombocythaemia (ET)
Idiopathic Myelofibrosis (often advanced stage of PV and ET)