Bone and Joint Structure Flashcards

(52 cards)

1
Q

What cells are in charge of creating bone?

A

osteoblasts

How well did you know this?
1
Not at all
2
3
4
5
Perfectly
2
Q

What do osteoblasts connect with to form the bone fluid barrier?

A

osteocytes

How well did you know this?
1
Not at all
2
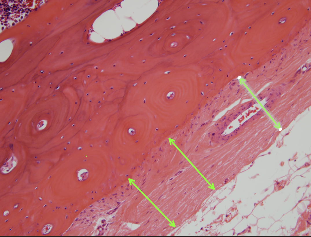
3
4
5
Perfectly
3
Q

What does the bone fluid barrier regulate?

A

minute-to-minute Ca flux

How well did you know this?
1
Not at all
2
3
4
5
Perfectly
4
Q

Where are osteocytes located?

A

in lacunae

How well did you know this?
1
Not at all
2
3
4
5
Perfectly
5
Q

What are osteoclasts?

A

bone removing cells

How well did you know this?
1
Not at all
2
3
4
5
Perfectly
6
Q

Where are osteoclasts located?

A

Howeship’s lacuna

How well did you know this?
1
Not at all
2
3
4
5
Perfectly
7
Q

What do osteoclasts attach to?

A

mineralized bone

How well did you know this?
1
Not at all
2
3
4
5
Perfectly
8
Q

How do osteoclasts resorb bone?

A

they secrete H+ to dissolve mineral and secrete metalloproteinases to break down the organic matrix

How well did you know this?
1
Not at all
2
3
4
5
Perfectly
9
Q

What type of collagen is the organic matrix made out of?

A

type 1 collagen

How well did you know this?
1
Not at all
2
3
4
5
Perfectly
10
Q

What is the purpose of type 1 collagen in the organic matrix?

A

it provides tensile strength and flexibility

How well did you know this?
1
Not at all
2
3
4
5
Perfectly
11
Q

What are the non-collagenous parts of the organic matrix?

A

various cytokines, adhesion molecules, and enzymes

How well did you know this?
1
Not at all
2
3
4
5
Perfectly
12
Q

What type of mineral is the initial deposition of mineral in bone?

A

amorphous calcium phosphate

How well did you know this?
1
Not at all
2
3
4
5
Perfectly
13
Q

What is hydroxyapatine?

A

crystalline calcium phosphate - the dominant mineral in mature bone

How well did you know this?
1
Not at all
2
3
4
5
Perfectly
14
Q

What part of bone stores calcium and phosphorus?

A

the mineral part

How well did you know this?
1
Not at all
2
3
4
5
Perfectly
15
Q

Identify this structure:

A

epiphysis

How well did you know this?
1
Not at all
2
3
4
5
Perfectly
16
Q

Identify this structure:

A

physis

How well did you know this?
1
Not at all
2
3
4
5
Perfectly
17
Q

Identify this structure:

A

metaphysis

How well did you know this?
1
Not at all
2
3
4
5
Perfectly
18
Q

Identify this structure:

A

Articular cartilage

How well did you know this?
1
Not at all
2
3
4
5
Perfectly
19
Q

Identify this structure:

A

diaphysis

How well did you know this?
1
Not at all
2
3
4
5
Perfectly
20
Q

Identify this structure:

A

cortical bone

How well did you know this?
1
Not at all
2
3
4
5
Perfectly
21
Q

Identify this structure:

A

trabecular bone

22
Q

Identify this structure:

23
Q

Identify these structures:

24
Q

Identify this region:

25
Identify these structures:
Haversian Canals
26
Identify this structure:
osteocytes
27
Identify this structure:
osteoblasts
28
Identify this structure:
cartilage
29
Identify this structure:
osteoclast
30
What is endochondrial ossification?
when bone forms in and replaces a cartilage model
31
What is required for normal chondrocyte growth?
growth hormone, insulin-like growth factors, thyroxine, and vitamin D3 metabolites
32
How many centers of ossification are there and what are they called?
2 - primary and secondary
33
Where does intramembranous ossification occur?
within fibrous tissue
34
What does woven bone turn into?
lamellar bone
35
What is woven bone?
temporary ragged and rough bone that is rapidly produced at bone at sites of periosteal injury
36
What is lamellar bone?
dense, well organized sheets of bone
37
When is lamellar bone produced?
during normal bone growth and remodeling throughout life
38
How is does bone compression stimulate bone growth?
mineral is distorted which creates piezoelectric activity which stimulates bone growth
39
What are the layers of the joint capsule?
fibrous, loose fibrovascular, and synoviocyte
40
What are the types of synoviocytes?
type a and b
41
What are type a synoviocytes and what do they do?
they are macrophage-like cells that are phagocytic, produce cytokines and inflamatory mediators
42
What are type b synoviocytes and what do they do?
they are fibroblast-like cells that produce hyaluronic acid and lubricin which is added to synovial fluid
43
Which layer of the joint capsule does not have a basement membrane?
the synoviocyte layer
44
What is articular cartilage made up of?
chondrocytes, collagen matrix, proteoglycan/GAG matrix, and water
45
What is the life-span of chondrocytes?
they are long-lived cells
46
What is the function of chondrocytes?
they have the enzymes (matrix metalloproteinases) that are able to produce and degrade matrix
47
What type of collagen is articular cartilage made out of and what is the function?
type II and IX to provie tensile/structural strength
48
What is the proteoglycan/GAG matrix made up of?
core protein with chondroitin SO4 side chains, hyaluronic acid, and hydrated gel
49
What is synovial fluid made up of?
ultrafiltrate, hyaluronic acid, and glycoproteins
50
What is the purpose of synovial fluid?
it is boundary lubricant and serves as a nutritional source for chondrocytes
51
When does squeeze film lubrication come into play and how does it work?
during joing compression and release; compression on the cartilage squeezes fluid to the surface and opposing surfaces ride on fluid film. Release from compression and the fluid is sucked back into the cartilage
52
What is the function of the nutritional pump?
it pumps out wastes and pumps in nutrients in the joint