Unit 3 Pictures Flashcards

(152 cards)

1
Q

This is a picture of a rumen. What lesion is shown here?

A

Acute, multifocal to coalescing ulcerative ruminitis

How well did you know this?
1
Not at all
2
3
4
5
Perfectly
2
Q

This is a liver. What lesion is shown here?

A

multifocal hepatic abscesses

How well did you know this?
1
Not at all
2
3
4
5
Perfectly
3
Q

This is the stomach of a horse. What lesion is shown here?

A

equine gastric ulceration

How well did you know this?
1
Not at all
2
3
4
5
Perfectly
4
Q

What lesion is shown here?

A

enamel hypoplasia

How well did you know this?
1
Not at all
2
3
4
5
Perfectly
5
Q

What lesion is shown here?

A

enamel hypoplasia with a retained deciduous tooth

How well did you know this?
1
Not at all
2
3
4
5
Perfectly
6
Q

What lesion is shown here?

A

enamel hypoplasia

How well did you know this?
1
Not at all
2
3
4
5
Perfectly
7
Q

What lesion is shown here?

A

enamel hypoplasia in cattle due to fluorine toxicosis

How well did you know this?
1
Not at all
2
3
4
5
Perfectly
8
Q

What are the arrows pointing to here?

A

ulceration of the tongue and oral mucosa due to sharp enamel points

How well did you know this?
1
Not at all
2
3
4
5
Perfectly
9
Q

What is shown here?

A

cleft palate

How well did you know this?
1
Not at all
2
3
4
5
Perfectly
10
Q

What lesions are shown here?

A

oral vesicles and ulcers

How well did you know this?
1
Not at all
2
3
4
5
Perfectly
11
Q

What lesion is shown here?

A

oral necrobacillosis due to fusobacterium necrophorum

How well did you know this?
1
Not at all
2
3
4
5
Perfectly
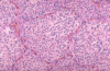
12
Q

What disease process are these lesions associated with?

A

Uremia

How well did you know this?
1
Not at all
2
3
4
5
Perfectly
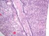
13
Q

What are these lesions associated with?

A

a fungal infection

How well did you know this?
1
Not at all
2
3
4
5
Perfectly
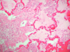
14
Q

What causes these lesions?

A

Orf - contagious ecthyma

How well did you know this?
1
Not at all
2
3
4
5
Perfectly
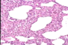
15
Q

What lesions are shown here?

A

eosinophilic granulomas

How well did you know this?
1
Not at all
2
3
4
5
Perfectly
16
Q

What is the causative agent of these lesions?

A

Actinobacillus lignieresii

How well did you know this?
1
Not at all
2
3
4
5
Perfectly
17
Q

What lesions are shown here?

A

gingival hyperplasia

How well did you know this?
1
Not at all
2
3
4
5
Perfectly
18
Q

What lesions are shown here?

A

peripheral odontogenic fibroma

How well did you know this?
1
Not at all
2
3
4
5
Perfectly
19
Q

What lesions are shown here?

A

oral squamous cell carcinoma

How well did you know this?
1
Not at all
2
3
4
5
Perfectly
20
Q

What lesion is shown here?

A

oral malignant melanoma

How well did you know this?
1
Not at all
2
3
4
5
Perfectly
21
Q

What lesion is shown here?

A

oral fibrosarcoma

How well did you know this?
1
Not at all
2
3
4
5
Perfectly
22
Q

What lesions are shown here?

A

Acanthomatous ameloblastoma

How well did you know this?
1
Not at all
2
3
4
5
Perfectly
23
Q

What lesion is shown here?

A

esophageal obstruction with associated ulceration of theesophageal mucosa

How well did you know this?
1
Not at all
2
3
4
5
Perfectly
24
Q

What lesion is here and what is the causative agent?

A

ulcerative esophagitis due to mucosal disease (BVD)

How well did you know this?
1
Not at all
2
3
4
5
Perfectly
25
What legion is shown here and what is the causative agent?
ulcerative esophagitis due to MCF
26
What lesion is shown here and what is the causative agent?
linear ulcerations due to reflux esophagitis
27
What lesion is shown here?
esophageal stricture
28
What lesion is shown here and what is the causative agent?
esophageal granuloma due to spirocerca lupi
29
What lesion is shown here and what is the causative agent?
esophageal osteosarcoma due to spirocerca lupi
30
What lesion is shown here and what is the causative agent?
severe fibrinosuppurative pericarditis due to hardware disease
31
What lesion is shown here?
necrobacillosis due to Fusobacterium necrophorum
32
What clinical syndrome is shown here?
bloat
33
What are these?
bots
34
What lesion is shown here?
gastric dilation-volvulus
35
What lesion is shown here and what is the causative agent?
severe, chronic, disseminated nodular, abomasitis due to Ostertagia
36
This is a stomach. What lesion is shown here?
gastric ulceration
37
What lesion is shown here?
gastric carcinoma
38
This is the stomach of a cat. What lesion is shown here?
feline gastric lymphoma
39
What lesion is shown here? (The slide is from an intestine)
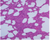
atrophic enteritis
40
What lesion is shown here?
ulcerative entercolitis due to salmonella typhimurium Increased vascular permeability led to this lesion
41
What lesions are shown here?
distension of villus lacteals accompanied by distension of submucosal, serosal, and mesenteric lymphatis due to intestinal lymphagiectasia
42
What lesion is shown here and what is the causative agent?
segmental hemorrhagic enteritis due to Clostridium perfringens
43
What lesion is shown here and what is the causative agent?
necrohemorrhagic enteritis +/- emphysema due to Clostridium perfringens type C
44
What lesion is shown here?
segmental necrohemorrhagic enteritis due to Clostridium perfringens
45
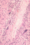
What lesion is shown here?
fibrinonecrotic enteritis
46
What lesion is shown here?
fibrinonecrotic enteritis
47
What is the pathogenesis of Salmonella infection?
See picture
48
What lesion is shown here and what is the cause?
fibrinonecrotic (ulcerative) enterocolitis due to Salmonella
49
What lesion is shown here and what is the cause?
Fibrinonecrotic (ulcerative) colitis due to salmonella
50
What lesion is shown here?
fibrinonecrotic (ulcerative) enterocolitis
51
What lesion is shown here?
the proliferative form of Lawsonia intracellularis infection
52
What lesion is shown here?
the proliferative and necrotizing form of Lawsonia intracellularis infection
53
What lesion is shown here?
The proliferative and hemorrhagic form of Lawsonia intracellularis infection
54
This is the ileum. What lesion is shown here and what is the causative agent?
A thickened, corrugated ileum due to Jonhe's disease
55
Which one of these is due to Lawsonia intracellularis and which one is due to Johne's disease?
Top: Lawsonia intracellularis Bottom: Jonhe's disease
56
What is the causative agent of these lesions?
Coronavirus
57
What lesion is shown here and what is the causative agent?
'paintbrush' serosal hemorrhages and entertitis caused by Parvovirus
58
What lesion is shown here and what is the causative agent?
Congested mucosa with hemorrhagic contents - due to parvovirus
59
What causative agent causes these lesions?
BVD
60
What lesion is shown here and what is the causative agent?
intestinal plaques due to ovine coccidiosis
61
What lesion is shown here and what is the causative agent?
proliferative and ulcerative colitis due to coccidiosis
62
What lesion is shown here and what is the causative agent?
fibrinonecrotic enteritis due to coccidiosis
63
This is from a horse. What lesion is shown here and what is the cause?
arteritis and strongylus vulgaris
64
This is from a horse. What lesion is shown here and what is the cause?
focal infarction due to strongylus vulgaris
65
This is from a 2 year old Mare with a 1-day history of colic. What could cause the multifocal segmental small intestinal changes?
strongylus vulgaris
66
What lesion is shown here?
intestinal neoplasia
67
What lesion is shown here?
intestinal carcinoma
68
What lesion is shown here?
intussusception
69
What lesion is shown here?
intussusception with a venous infarction and compression of mesenteric veins
70
What lesion is shown here?
segmental intestinal venous infarction due to a volvulus
71
What lesion is shown here?
a colon torsion causing a venous infarction
72
What lesion is shown here?
pedunculated lipoma
73
What lesion is shown here?
intestinal strangulation due to a pedunculated lipoma
74
What lesion is shown here?
an internal hernia
75
What lesion is shown here?
inguinal hernia
76
What lesion is shown here?
umbilical hernia
77
What lesion is shown here?
peritonitis with hyperemia of serosal surfaces and fibrin on serosal surface
79
What is the pathogenesis of FIP?
See picture
80
What lesion is shown here and what is the causative agent?
multifocal pyogranulomas in the intestinal serosa and omentum due to FIP - the wet form
81
These are all lesions from a cat. What are they associated with?
FIP the dry form
82
This is from a cat. What lesion is shown here?
pancreatic tumor with peritoneal implantation
159
What lesion is shown here?
Perotinitis due to an intestinal rupture
160
What lesion is shown here?
Fibrinopurulent rhinotracheitis due to IBR
161
What lesion is shown here?
Fibrinonecrotic rhinitis and tracheitis
162
What lesion is shown here? (picture on the right)
Necrosis of the airway epithelium
163
What lesion is shown here?
Chronic bronchopneumonia with bronchiectasis
164
What lesion is shown here?
Bronchiolitis obliterans
165
What lesion is shown here?
Atelectasis
166
What lesion is shown here?
Thoracic effusion filling up the ventral aspect of chest leading to ventral atelectasis.
167
What lesion is shown here?
Extensive atelectasis due to thoracic effusion
168
What lesion is shown here?
pulmonary edema
169
What lesion is shown here?
Emphysema
170
What lesion is shown here?
Interstitial bullous emphysema
171
What lesion is shown here?
Interstitial pneumonia
172
What lesion is shown here?
moderate interstitial pneumonia
173
What lesion is shown here?
Severe interstitial pneumonia
174
What lesion is shown here?
Subacute Atypical Interstitial Pneumonia: Extensive Type II pneumocyte hyperplasia
175
What lesion is shown here?
Diffuse interstitial pneumonia due to bacterial septicemia
176
What lesion is shown here?
Chronic diffuse interstitial pneumonia due to PRRSV
177
What lesion is shown here?
Chronic diffuse interstitial pneumonia due to ovine progressive pneumonia virus
178
What lesion is shown here?
Chronic diffuse pyogranulomatous interstitial pneumonias due to Blastomyces dermatitidis
179
What lesion is shown here?
Hematogenous - embolic pneumonia due to Trueperella pyogenes in a pig
180
What lesion is shown here?
Hematogenous - embolic pneumonia due to Corynebacterium pseudotuberculosis in a ewe
181
What lesion is shown in this slide?
Aspiration pneumonia - note the plant material in the airway
182
What lesion is shown here?
Bronchopneumonia
183
What lesion is shown here?
acute bronchopneumonia
184
What lesion is shown here?
Acute cranioventral hemorrhagic bronchopneumonia and fibrinous pleuritis
185
What lesion is shown here?
Acute fibrinopurulent bronchopneumonia with hyperemia
186
What lesion is shown here?
Chronic cranioventral bronchopneumonia: anteroventral lung is tan, compressed, very firm, and nodular
187
What lesion is shown here?
Chronic cranioventral bronchopneumonia
188
What lesion is shown here?
Nasal adenocarcinoma in a dog
189
What lesion is shown here?
Primary pulmonary carcinoma in a dog
190
What lesion is shown here?
hemothorax with atelectasis
191
What lesion is shown here?
Pleuritis and pericarditis due to Haemonchus parasuis
192
What lesion is shown here?
Diffuse fibrinopurulent pleuritis with atelectasis
193
What lesion is shown here?
Severe, shipping fever pneumonia
194
What lesion is shown here?
chronic fibrosing pleuritis
195
This is a picture of the thoracic cavity. What lesion is shown here?
Mesothelioma
196
What lesion is shown here?
collapsing trachea
197
What lesion is shown here?
Interstitial pneumonia in the posterior portion Bronchopneumonia in the anteroventral region
198
What lesion is shown here?
Pypgranulomatous and hemorrhagic pleuritis due to Nocardia asteroides with moderate atelectasis
199
What lesion is shown here?
Lunh lobe torsion and a collapsed lung from thoracic effusion
200
What lesion is shown here?
Moderate turbinate atrophy with slight deviation of the median septum
201
What lesion is shown here?
Marked turbinate atrophy with moderate deviation of the median septum
202
What lesion is shown here?
secondary bronchopneumonia due to swine influenza
203
What lesion is shown here?
mild, patchy, AV consolidation due to Mycoplasma hyopneumoniae
204
What lesion is shown here?
Bacterial bronchopneumonia due to Mycoplasma hyopneumoniae with a secondary bacterial infection
205
What lesion is shown here
Hemorrhagic and necrotizing pleuropneumonia due to Actinobacillus pleuropneumonia
206
What agent causes this characteristic lesion?
Actinobacillus pleuropneumonia
207
What is the pathogenesis of Actinobacillus pleuropneumonia infection?
See image
208
What lesion is shown here?
Intersitial pneumonia due to feline calicivirus infection AND bronchopneumonia due to bordatella bronchiseptica
209
What lesion is shown here?
pyogranulomatous rhinitis due to cryptococcosis
210
What lesion is shown here?
fibrinopurulent pleuritis
211
What lesion is shown here?
Pleural effusion and pyogranulomatous pleuritis due to feline infectious peritonitis
212
What lesion is shown here?
a nasopharyngeal polyp
213
What lesion is shown here?
Aspiration penumonia (a type of bronchopneumonia)
214
What lesion is shown here?
bronchial adenocarcinoma
215
What lesion is shown here?
Strangles caused by strep equi
216
What lesion is shown here?
guttural pouch empyema
217
What lesion is shown here?
an ethmoid hematoma in a horse
218
What lesion is shown here?
guttural pouch mycosis
219
What lesions are shown here?
caseating pyogranulomas (abscesses) due to rhodococcus equi
220
What lesion is shown here?
fibrinopurulent pleuritis in a horse
221
What lesion is shown here?
fibrinonecrotic laryngitis due to Fusobacterium necrophorum
222
What lesion is shown here?
Acute fibrinous and hemorrhagic bronchopneumonia and pleuritis due to Mannheimia hemolytica
223
What lesion is shown here?
acute interstitial pneumonia
224
What lesion is shown here?
miliary, anteroventral, airway-associated caseonecrotic pneumonia due to Mycoplasma bovis
225
This is a lung from a cow. What are these lesions due to?
bovine respiratory syncytial virus
226
This is a lung from a lamb. What lesion is shown here?
bronchopneumonia in a lamb due to mannheimia hemolytica
227
This is a lung from an ovine. What lesion is shown here?
Chronic interstitial pneumonia due to ovine lentivirus
228
This is a slide from an ovine. What lesion is shown here?
Chronic diffuse lymphocytic interstitial pneumonia with perivascular lymphoid cuffs due to ovine progressive pnuemonia
229
What lesion is shown here?
enzootic nasal adenocarcinoma