Bone Development Flashcards

(45 cards)

1
Q

What type of ossification directly develops from mesenchyme?

A

Intramembranous ossification (never has a cartilage stage)

How well did you know this?
1
Not at all
2
3
4
5
Perfectly
2
Q

What type of ossification has a cartilage precursor?

A

Endochondral ossification

How well did you know this?
1
Not at all
2
3
4
5
Perfectly
3
Q

What is the process depicted in the image?

A

Intramembranous ossification

How well did you know this?
1
Not at all
2
3
4
5
Perfectly
4
Q

What protein begins ossification?

A

BMP

How well did you know this?
1
Not at all
2
3
4
5
Perfectly
5
Q

Locations of intramembranous ossification

A

Flat bones of skull and face and the scapula

How well did you know this?
1
Not at all
2
3
4
5
Perfectly
6
Q

Locations of endochondral ossification

A

Arms and legs, vertebral column, base of skull (skull is a composite of both types)

How well did you know this?
1
Not at all
2
3
4
5
Perfectly
7
Q

How many ossification centers do long bones have?

A

2: primary (forms in the center of the bone) and secondary (forms in the epiphysis)

How well did you know this?
1
Not at all
2
3
4
5
Perfectly
8
Q

How many ossification centers do short bones have?

A

1: primary

How well did you know this?
1
Not at all
2
3
4
5
Perfectly
9
Q

Endochondral Ossification Steps

A
  • fetal hyaline cartilage develops
  • cartilage calcifies and periosteal bone collar forms around diaphysis
  • primary ossification center forms in diaphysis
  • secondary ossification center forms in epiphysis
  • bone replaces cartilage (except articular and epiphyseal plates)
  • epiphyseal plates ossify and form epiphyseal lines
How well did you know this?
1
Not at all
2
3
4
5
Perfectly
10
Q

What are the 6 long bones?

A
  • femur
  • tibia
  • fibula
  • humerus
  • radius
  • ulna
How well did you know this?
1
Not at all
2
3
4
5
Perfectly
11
Q

Endochondral bone growth: lengthening

A

Interstitial growth in the epiphyseal plate

How well did you know this?
1
Not at all
2
3
4
5
Perfectly
12
Q

Endochondral bone growth: thickening

A

Appositional a little growth under the periosteum

How well did you know this?
1
Not at all
2
3
4
5
Perfectly
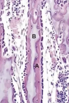
13
Q

What is a mixed spicule?

A

A transition area that possesses both cartilage and bone

How well did you know this?
1
Not at all
2
3
4
5
Perfectly
14
Q

Mixed spicule labeled components

A
How well did you know this?
1
Not at all
2
3
4
5
Perfectly
15
Q

ID

A

Mixed spicule

How well did you know this?
1
Not at all
2
3
4
5
Perfectly
16
Q

ID

A

short bone (phalanges)

How well did you know this?
1
Not at all
2
3
4
5
Perfectly
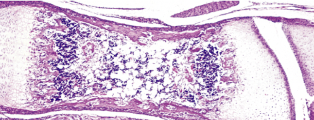
17
Q

ID

A

long bone

How well did you know this?
1
Not at all
2
3
4
5
Perfectly
18
Q

Where is the epiphyseal/growth plate located?

A

Between the primary and secondary ossification centers

How well did you know this?
1
Not at all
2
3
4
5
Perfectly
19
Q

ID

20
Q

Growth plate labeled zones and functions

21
Q

What zone are mixed spicules located?

A

Ossification zone

22
Q

Epiphyseal plate vs epiphyseal line

A

Children have a plate and adults have a line

23
Q

Why is the jaw an exception to intramembranous ossification?

A

Because it develops secondary cartilage for the condyle
*It is considered intramembranous, but with a growth plate

24
Q

If cartilage is eroded in a joint, can it be replaced?

25
Since there is no periosteum in joints, where do they receive their nutrients?
Synovial fluid
26
How long does it take to remodel bones?
3-7 years
27
How long does bone resorption take?
2-3 weeks
28
How long does bone deposition take?
2 months
29
What produces RANKL in bone?
PTH produces RANKL
30
In bone remodeling, what are the two cones?
-Cutting cone, area of remodeling bone (osteoclasts) -Closing cone, area of depositing bone (osteoblasts)
31
What is a moderate loss of bone density referred to?
Osteopenia
32
What is a severe loss of bone density referred to?
Osteoporosis
33
What causes osteoporosis?
An imbalance between osteoblasts and osteoclasts
34
T1 Osteoporosis
- post‐menopausal women due to decreased estrogen
35
T2 Osteoporosis
- elderly individuals usually 70+ and older (affects everyone)
36
T3 Osteoporosis
- secondary to drug therapy (corticosteriod) or diseases
37
Normal bone vs osteoporosis
38
Peak bone density age (men and woman)
20s-40s
39
Are osteoids mineralized?
NO
40
What secretes matrix vesicles
Osteoblasts
41
What is rickets and what causes it
- Defective mineralization of developing bones in kids - Vitamin D or calcium deficiencies
42
What is osteomalasia and what causes it
- Defective mineralization of developing bones in adults - Makes bones soft
43
How many steps in fracture repair?
4
44
What are the steps to fracture repair
- Hematoma formation: mass of clotted blood - Callus formation: soft callus (cartilaginous) splint - Bony callus formation: hard callus (spongy/bony) splint - Bone remodeling: replace spongy bone with compact bone
45
What is the mediator between osteoblast and osteoclast?
RANKL