Bone Development Lab Flashcards

(13 cards)

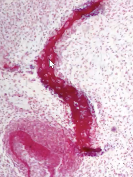
1
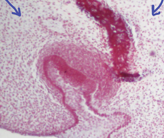
Q

ID the red in the center

A

Bone

How well did you know this?
1
Not at all
2
3
4
5
Perfectly
2
Q

ID

A

Undifferentiated mesenchyme

How well did you know this?
1
Not at all
2
3
4
5
Perfectly
3
Q

ID

A

Bone next to tooth = intramembranous cavity

How well did you know this?
1
Not at all
2
3
4
5
Perfectly
4
Q

What is this process?

A

Intramembranous ossification

How well did you know this?
1
Not at all
2
3
4
5
Perfectly
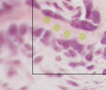
5
Q

What are the green dots?

A

Osteoid

How well did you know this?
1
Not at all
2
3
4
5
Perfectly
6
Q

ID blue star and green star

A

Blue: osteocyte
Green: osteoblast

How well did you know this?
1
Not at all
2
3
4
5
Perfectly
7
Q

Is this young/woven or mature/lamellar?

A

Young

How well did you know this?
1
Not at all
2
3
4
5
Perfectly
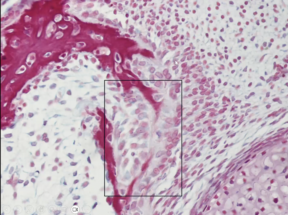
8
Q

ID

A

Mixed spicule

How well did you know this?
1
Not at all
2
3
4
5
Perfectly
9
Q

ID pink, blue and green stars

A

Pink: undifferentiated hyaline cartilage
Blue: Proliferative zone
Green: Hypertrophy zone

How well did you know this?
1
Not at all
2
3
4
5
Perfectly
10
Q

Clearly labeled zones

A

Zones labeled

How well did you know this?
1
Not at all
2
3
4
5
Perfectly
11
Q

ID

A

Mixed spicule (not in intramembranous because theres no cartilage)

How well did you know this?
1
Not at all
2
3
4
5
Perfectly
12
Q

ID the black boxes

A

Osteoclast in a lecuna

How well did you know this?
1
Not at all
2
3
4
5
Perfectly
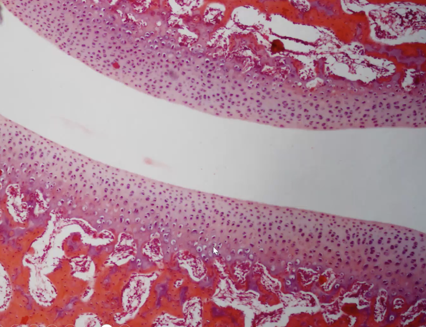
13
Q

What type of cartilage

A

Articular cartilage

How well did you know this?
1
Not at all
2
3
4
5
Perfectly