Bone Marrow Flashcards

(38 cards)

1
Q

Bone Marrow Evaluation

Reason For

A

Peripheral blood differential counts abnormal
* persistent pancytopenia, neutropenia, or thrombocytopenia unexplained
* non-regenerative anemia
* abnormal morphology
* immature cells for no reason
* staging for neoplasia
* parasitic infections

How well did you know this?
1
Not at all
2
3
4
5
Perfectly
2
Q

Bone Marrow Collection Sites

A
  • Head of humerus
  • Femoral head
  • Can use illium, but not as common
How well did you know this?
1
Not at all
2
3
4
5
Perfectly
3
Q

Aspiration Biopsy
(BM)

A
  • Gathers fluid portion of bone marrow and cells
  • Morphology easier to read than core biopsy
  • Small amount collected and placed in dilute EDTA immediately ; smear made
How well did you know this?
1
Not at all
2
3
4
5
Perfectly
4
Q

Core Biopsy

A

Core piece of bone marrow
* better sample
* greater diagnostic info
* shows tissue relationship
* better cellularity (no blood dilution)
* parasites easier to see

How well did you know this?
1
Not at all
2
3
4
5
Perfectly
5
Q

Preparing Bone Marrow Smear

A
  • Make immediately if not mixed with EDTA
  • If mixed, make within an hour
  • Samples will be thicker and have spicules (areas that contain cells)
  • Use line, starfish, or compression
How well did you know this?
1
Not at all
2
3
4
5
Perfectly
6
Q

Reading Bone Marrow Smears

A
  • Do peripheral blood smear at same time
  • Start on Low Power - gives overall cellularity
  • Fat does not stain (will look like vacuoles)
  • High Power gives M:E ratio
How well did you know this?
1
Not at all
2
3
4
5
Perfectly
7
Q

Low Power BM Exam

A

Acellular vs Hypercellular vs Hypocellular

Look for megakaryocytes
* may be at edge of slide
* 2-10 /LPF normal
* not evenly distributed
* determines if platelets are normal or not

How well did you know this?
1
Not at all
2
3
4
5
Perfectly
8
Q

Cellularity by Age
Fat vs Nucleated Cells

A

Adults
* 50% nucleated, 50% fat

Young
* 75% nucleated, 25% fat

Old
* 25% nucleated, 75% fat

How well did you know this?
1
Not at all
2
3
4
5
Perfectly
9
Q

Define

BM Hypoplasia

A

Decreased number of cells
* <25% cellularity
* large areas of fat

How well did you know this?
1
Not at all
2
3
4
5
Perfectly
10
Q

High Power BM Exam

A
  • Percentage of erythroid and myeloid cells (M:E ratio)
  • Evalutes for hemosiderin
  • Describe morphology
How well did you know this?
1
Not at all
2
3
4
5
Perfectly
11
Q

M:E Ratio

A

Classify 500 cells
* erythroid: 80-90% rubricytes and metarubricytes
* myeloid: 80-90% metamyelocytes, bands, and segs

Normal = 0.75:1 and 2:1 (use 1:1 for class)

How well did you know this?
1
Not at all
2
3
4
5
Perfectly
12
Q

Erythroid Series
Characteristics

A
  • Darker basophilic blue cytoplasm
  • Circular nucleus
How well did you know this?
1
Not at all
2
3
4
5
Perfectly
13
Q
A

Rubriblast
* RBC series
* most immature
* large cell with large nucleus
* multiple nucleoli
* basophilic cytoplasm
* possible mitotic figures

How well did you know this?
1
Not at all
2
3
4
5
Perfectly
14
Q
A

Prorubricyte
* RBC series
* 2nd in series
* nuclear material dense and clumped
* basophilic cytoplasm

How well did you know this?
1
Not at all
2
3
4
5
Perfectly
15
Q
A

Rubricyte
* RBC series
* 3rd in line
* hemoglobin being produced
* polychromatophilic
* blue/pink cytoplasm

How well did you know this?
1
Not at all
2
3
4
5
Perfectly
16
Q
A

Metarubricyte
* RBC series
* also called nRBCs

17
Q

Myeloid Series

A
  • Lighter lavender color cytoplasm
  • Nucleus amoeboid shape
18
Q
A

Myeloblasts
* WBC steries
* most immature
* multiple nucleoli
* large nucleus
* scant cytoplasm

19
Q
A

Promyelocyte
* WBC series
* 2nd in line
* large nucleus
* nucleoli may be present
* pink/red granules noted

20
Q
A

Myelocyte
* WBC series
* 3rd in line
* greater nucleus-to-cytoplasm ratio
* granules throughout cytoplasm
* where distinction of E, N, B

21
Q
A

Metamyelocyte
* granules present in cytoplasm
* nucleus indented or “kidney-bean” shape
* nucleus smaller than before
* cytoplasm a lighter blue

22
Q
A

Megakaryocyte
* platelet series
* multiple condensed nuclei
* large size
* not counted in M:E ratio

23
Q

Classify Aspirate

A

Inflammatory Leukogram
* almost all cells are myeloid precursors and neutrophils

24
Q

Order of Maturation

A

There should be 1 blast cell for every 16-32 mature cells

25
Classify Aspirate
Granulocytic Leukemia * Most cells are myeloblasts or promyelocytes * Few metarubricytes
26
Classify Aspirate
Erythremic Myelosis * Rubriblasts present * Some metarubricytes * Increased amount of other erythroid series cells
27
Classify Aspirate
Undifferentiated Leukemia * potential to be rubriblasts or prorubricytes * few to none mature cells
28
Classify Aspirate
Lymphoblastic Leukemia * lymphoblasts present
29
Classify Aspirate
Multiple Myeloma * b-cells (plasma cells) that become cancerous * lymphoblasts; plasma cells in origin * look for perinuclear clear zones (don't stain well)
30
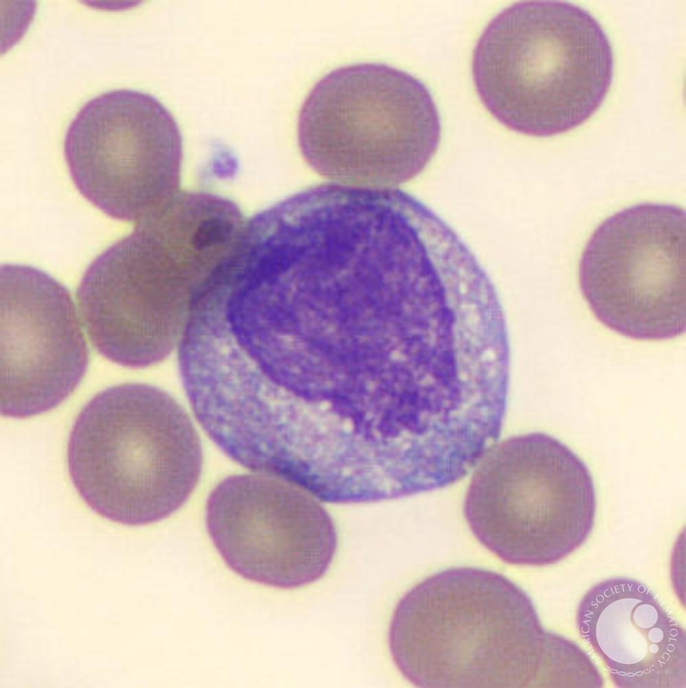
Identify Cell
Macrophages * Present in low numbers * Large cell with oval / indented nucleus * Netlike nuclear chromatin * moderate amount of cytoplasm; foamy +/- vacuoles * Contain debris or hemosiderin
31
Identify Cell
Hemosiderin * iron pigment * shows up as black granules with Romanowsky Stains * prussian blue stain best to identify * in macrophages and as free cells * cats: not identifiable * dogs: diseased or absent is significant
32
Identify Cell
Osteoclasts * normal in BM * break down bone * giant cells * multinucleated
33
Identify Cell
Osteoblasts * normal in BM * create bone
34
# Define Aplastic
No BM developement
35
# Define Dysplastic
Alteration in size, shape, and organization of cells * indicates ineffective BM developement
36
# Define Neoplastic
Abnormal developement of cells * new or abnormal growth * cell multiplication not controlled
37
# Define Hyperplasia
* >75% cellularity * Abnormal increase due to new cell formation
38
Identify Cell
Mast Cell * very low number in BM * round cells * round central nucleus * small purple granules fill cytoplasm - may hide nucleus