Effusions Flashcards

(39 cards)

1
Q

Effusion

A

Accumulation of fluid within anatomic space
* pleural: thorax
* peritoneal/ascites: abdomen
* pericardial: heart

How well did you know this?
1
Not at all
2
3
4
5
Perfectly
2
Q

Pleural Effusion Removal

A

Thoracocentesis
* removal of fluid from chest
* go between 7-8th intercostal space (avoids intercostal vessel)
* do prior to taking rads - gives better vision, helps patient feel better, starts diagnostics

How well did you know this?
1
Not at all
2
3
4
5
Perfectly
3
Q

Abdominal Effusion Removal

A

Abdominocentesis
* removal of fluid from abdomen
* go right of and cranial to umbilicus (best if ultrasound guided)
* perform rads or ultrasound first - ensures fluid is there and something else is not being poked

How well did you know this?
1
Not at all
2
3
4
5
Perfectly
4
Q

Effusion Sample Collection

A
  • IV catheter placed in site (decreases trauma)
  • Use of 3-way stop-cock beneficial
  • Sedation normally not required (may be contraindicated due to being compromised)
How well did you know this?
1
Not at all
2
3
4
5
Perfectly
5
Q

Effusion Sample Testing

A
  • Place some sample into EDTA tube - prevents clotting and allows for further testing
  • Place some in No Additives tubes - culture
  • Make fresh smear directly from fluid
How well did you know this?
1
Not at all
2
3
4
5
Perfectly
6
Q

Effusion Analysis

A
  • Protein content
  • TNCC
  • Types of cells present
    (inflammatory vs neoplastic)
How well did you know this?
1
Not at all
2
3
4
5
Perfectly
7
Q

Protein Count

A

Done with Refractometer
* same way that would do with blood

How well did you know this?
1
Not at all
2
3
4
5
Perfectly
8
Q

TNCC

A

Can do either automated or manual method
* count and differentiate 100 nucleated cells
* nucleated cells: leukocytes and mesothelial cells

How well did you know this?
1
Not at all
2
3
4
5
Perfectly
9
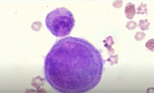
Q

Identify Cell

A

Mesothelial Cell
* lines the body cavities
* large cells

How well did you know this?
1
Not at all
2
3
4
5
Perfectly
10
Q

Types of Fluids

A
  • Transudate
  • Modified Transudate
  • Exudate
How well did you know this?
1
Not at all
2
3
4
5
Perfectly
11
Q

Transudate
Basic

A
  • Low Protein
  • Low TNCC
How well did you know this?
1
Not at all
2
3
4
5
Perfectly
12
Q

Modified Transudate
Basic

A
  • High Protein
  • Low-Mod TNCC
How well did you know this?
1
Not at all
2
3
4
5
Perfectly
13
Q

Exudate
Basic

A
  • High Protein
  • High TNCC
How well did you know this?
1
Not at all
2
3
4
5
Perfectly
14
Q

Normal Fluid

A
  • Hard to get due to being scant amounts
  • Colorless / Clear / Odorless
  • Protein: <2.5 g/dL
  • TNCC: <3000 /uL
  • Mix of macrophages, lymphocytes, and mesothelial cells
How well did you know this?
1
Not at all
2
3
4
5
Perfectly
15
Q

Transudate

A
  • Large amount (or normal fluid)
  • Clear / Colorless or Red-tinged
  • Protein: <2.5 g/dL
  • TNCC: <1500 /uL
  • Mix of macrophages, lymphocytes, mesothelial cells (normal or reactive)
  • Happens when blocked blood flow or lymphatic chanel; low protein or pressure
How well did you know this?
1
Not at all
2
3
4
5
Perfectly
16
Q

Modified Transudate

A
  • Variable amount
  • Variable color, usually clear
  • Protein: 2.5-7 g/dL
  • TNCC: 1000-7000 /uL
  • Mostly lymphocytes, some mesothelial cells, non-degenerate neutrophils
  • See with chylous or lymphatic effusions
17
Q

Exudate

A
  • Variable amount
  • Turbid, white or slightly yellow
  • Protein: >3 g/dL
  • TNCC: >7000 /uL
  • Neutrophils, macrophages, lymphocytes, eosinophils
  • See with inflammation response - increasing permeability of capillaries (infection, necrosis)
18
Q

Cell Cytology

A
  • Use fresh direct sample
  • If low TNCC (<5000/uL), use fluid sediment
  • Stain slide
  • Note predominant cell type, distribution of other cell types, any microorganisms
19
Q

Neutrophil Morphology Change

A
  • Non-septic inflammation
  • Aging neutrophils
  • Septic inflammation
20
Q

Non-septic Inflammation

Neutrophil Morphology Change

A
  • Fairly normal appearance
  • Inflammation without bacteria
21
Q

Aging Neutrophils

Neutrophil Morphology Change

A
  • Hypersegmented
  • Pyknotic
22
Q

Septic Inflammation

Neutrophil Morphology Change

A
  • Bacterial infection along with inflammation
  • Neutrophils dying quickly
  • Karyolysis
23
Q

Lymphocytes

A
  • Appear as they do in blood
  • Lymphoblasts may be seen
24
Q

Identify Cell
(not myeloblasts)

A

Lymphoblasts
* Large size and nucleolus
* Not normal to be seen in effusions

25
Identify Cell
Plasma Cells * Similar to small lymphocytes * Nuclear chromatin more dense * Cytoplasm is blue and abundant * Golgi apparatus (perinuclear clear zone)
26
Identify Cell
Macrophage * monocytes in blood, macrophages in tissue * round / oval nucleus * may have nucleolus * light blue, usually vacuolated cytoplasm * eat debris from surroundings and other cells; may see this or microorganisms within cell
27
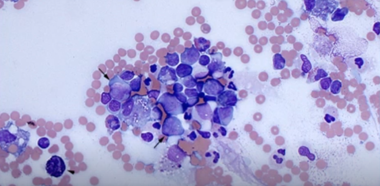
Lymph Node Aspirates
If enlarged, need to do a FNA to diagnose * reactivity - hyperplasia or inflammation * neoplasia - primary or metastatic
28
What is this from? Normal or Not?
Normal Lymph Node * small mature lymphocytes are 3/4th TNCC * small numbers of immature lymphocytes, lymphoblasts, and macrophages * occasional plasma cells * tell it is lymph tissue by the lymphoglandular bodies - small cytoplasmic fragments in background
29
Identify Cell
Mott Cell * "plasma cell on steroids" * filled with immuno-globulins * creates vacuoles
30
What is this from? Normal or Not?
Reactive LN * responding to antigentic stimulation * still mainly small mature lymphocytes * but more medium lymphocytes, lymphoblasts, and plasma cells * inflammatory cells may be present
31
What is this from? Normal or Not?
Malignant Neoplasia (Lymphoma) * primary lymphoid neoplasia * mainly has lymphoblasts with mitotic figures
32
Normal or Not?
Malignant Neoplasia - Metastatic LN Associated * large clusters * may see "granulation" within the cluster
33
Normal or Not?
Malignant Neoplasia - Metastasis LN associated * Mast Cells * nucleus/nucleolus within cell * abundant cytoplasm * small granuoles throughout
34
Normal Synovial Fluid Color and Turbidity
* Light yellow color * Non-turbid * Increased turbidity caused by cells, protein, or cartilage
35
Normal Synovial Fluid Viscosity
Quality and concentration of hyaluronic acid (joint lubrication) * assess prior to EDTA additive (degrades HA) * normal: 1-2 inch before breaking * decreased = septic or significant effusion
36
Normal Synovial Fluid Cellularity
90% mononuclear cells * lymphocytes, monocytes (nonvaculated and non-phagocytic) <10% neutrophils
37
What is this from? Normal or Not?
Normal synovial fluid - Background mucin * gives eosinophilic granular background * cells align in direction of smear (windrow) * fluid is so viscous, cells pulled in same direction
38
Synovial Fluid Normal or Not?
Abnormal - infectious arthropathy * windrow (cells pulled in one direction) * neutrophils predominant * culture recommended if neutrophils seen
39
Synovial Fluid Identify Cells
Non-Infectious Arthropathy - Rheumatoid Arthritis * increased neurophils * arrows: vacuolated / phagocytic macrophages * arrowhead: lupus erythematous cells (nuclear chromatin within neutrophils)