Describe bowel obstruction?
What is a closed loop obstruction?
What is functional obstruction / paralytic ileus?
What are the most common causes of obstruction in the small bowel?
What are the most common causes of obstruction in the large bowel?
How can causes of bowel obstruction be otherwise divided?
Which cause of bowel obstruction are most commoon in children?
What cause of bowel obstruction is most common in people with crohns disease?
Intussusception
Inflammatory strictures
What are the cardinal clinical features of a bowel obstruction?
Name some findings from examination that may be present in someone with bowel obstruction?
Name some differentials for bowel obstruction?
Describe the investigations which should be performed for suspected bowel obstruction?
Why is CT imaging more useful than AXRs?
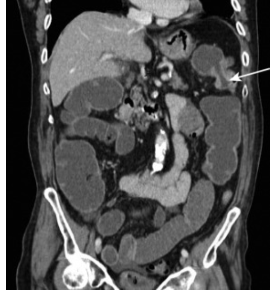
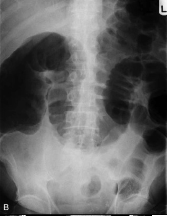
What are the AXR findings with someone who has a small bowel obstruction?
What are the AXR findings with someone who has a large bowel obstruction?
Describe the management of bowel obstruction?
How should patients with an adhesional small bowel obstruction from a previous surgery be managed?
What should be done if a patient’s bowel obstruction does not resolve within 24 hours?
When is surgical intervention indicate in bowel obstruction?
Name some complications of bowel obstruction?
Describe the digestive system components which receive blood from the Coeliac trunk? (T12)
Describe the components of the digestive system which are supplied by the SMA? (L1)
Describe the compoennts of the digestive system which are supplied by the ingerior mesenteric artery? (L3)
What is pictured here?

What is pictured here?
