Describe ulcerative colitis?
What can a severe fulminant exacerbation of UC result in?
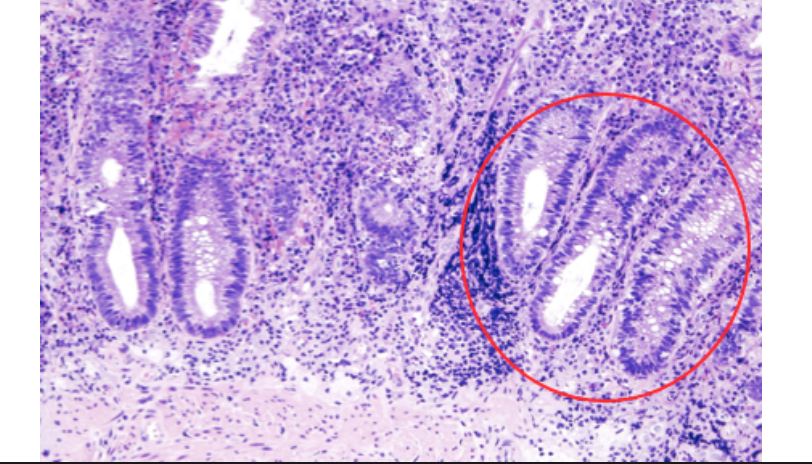
What is pictured here?

Describe the pathophysiology of ulcerative colitis?
Risk factors for UC?
What is backwash ileitis?
Describe the differences between UC and Crohns?

What are the clinical features of UC?
Describe the grading of UC?

Describe the extra-intestinal manfiestations of UC?
What is PSC?
Chronic inflammation and fibrosis of the bile ducts
Differentials for UC?
Investigations into someone with suspected UC?
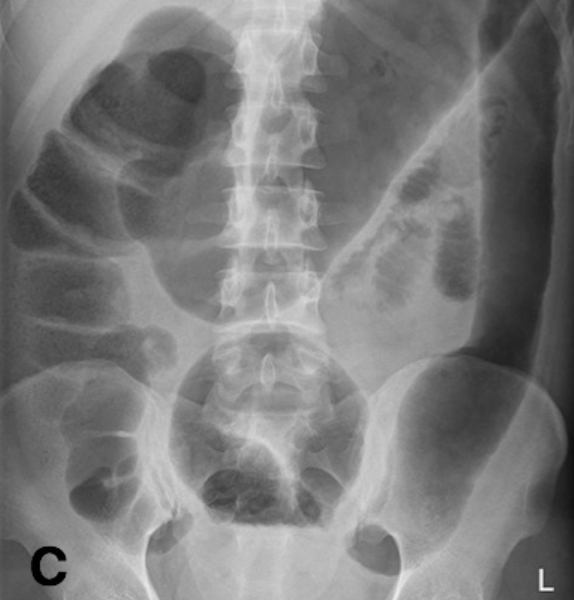
What are the AXR features of UC flares?

Describe the management of UC?
Describe the step wise approach for inducing remission in UC?

What are the indications for acute surgical treatment of UC?
Describe the surgical management of UC?
Complications of UC?
Describe toxic megacolon as a complication of UC?