Label 1-5
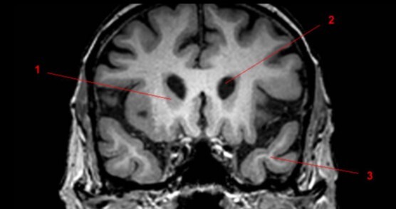
Label 1-3
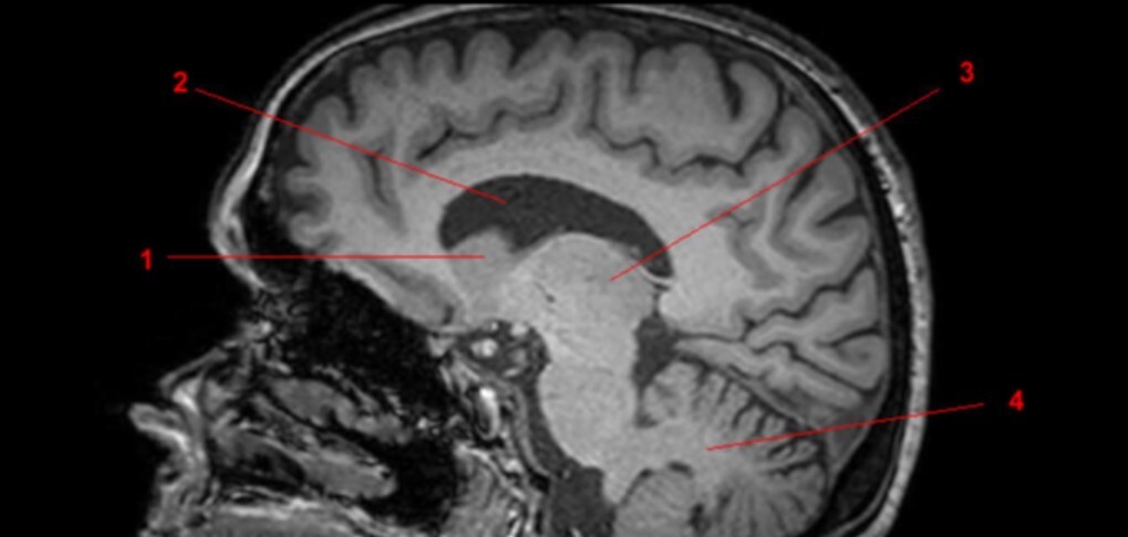
Label 1-4
Label 1-6
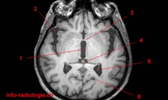
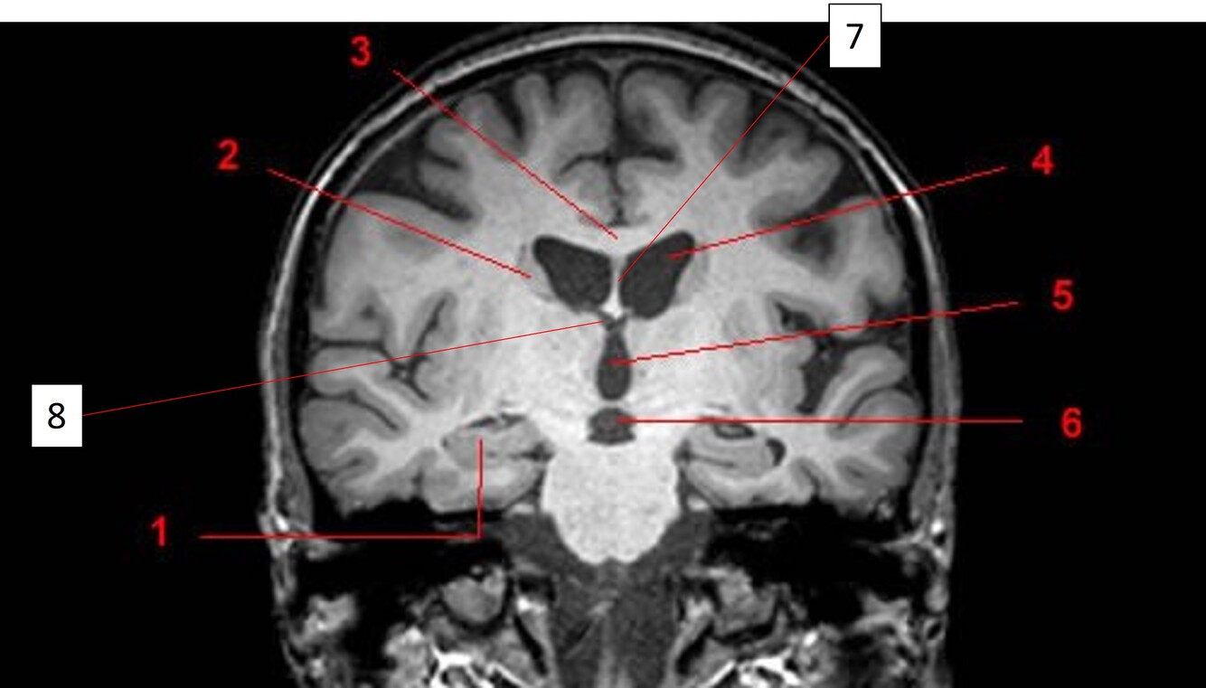
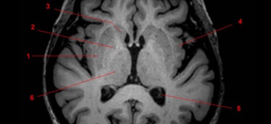
Label 2,3,4,5,7,8
2=Rt Caudate nucleus
3=Corpus callosum
4=Lt lateral ventricle
5=Third ventricle
7= Septum Pellucidum
8= Rt Interventricular foramen
Label 1-4
Label 1-4
Label 1-5
Label 1-5
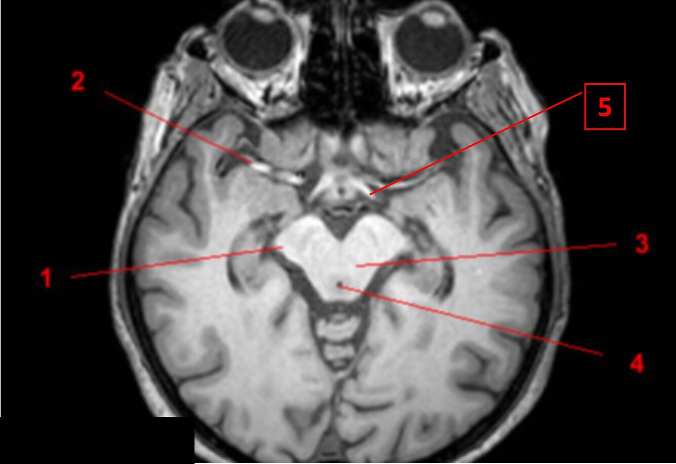
Label 1,3,4,5,7
1=3rd ventricle
3-Anterior commissure
4=Pineal gland
5=Choroid plexus
7=Posterior commissure
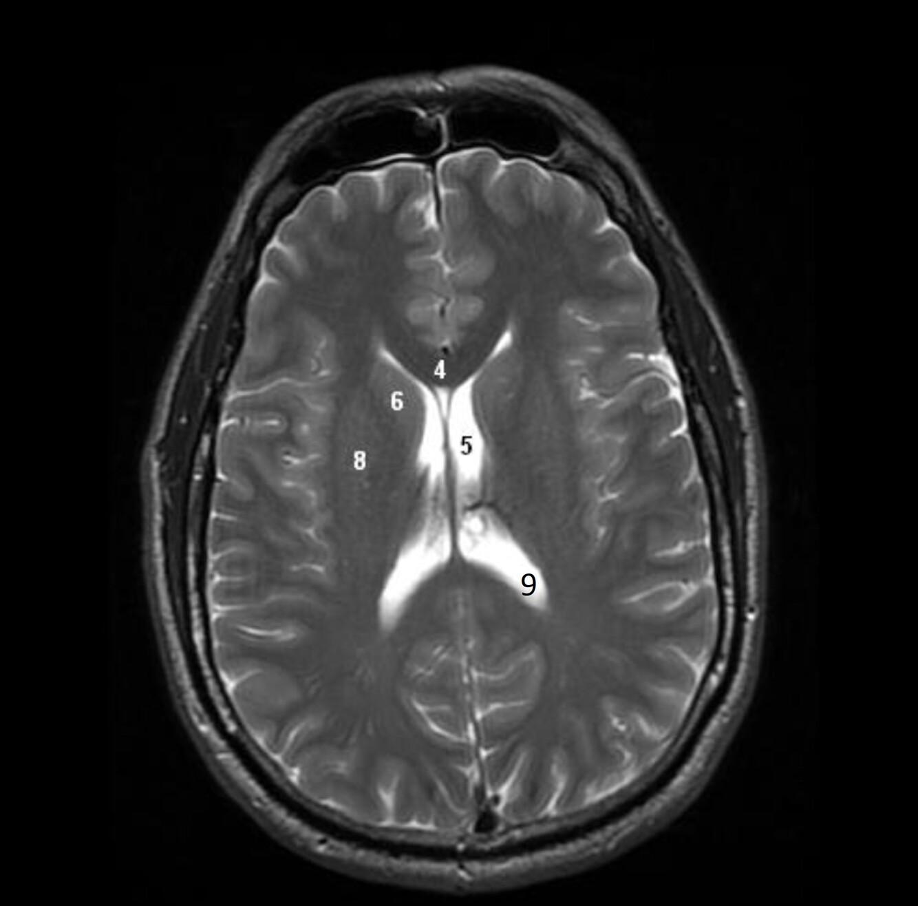
Label 4,5,6,8,9
4=Genu, CC
5=Lt lateral ventricle (body)
6=Head of Rt caudate nucleus
8-Rt Lentiform nucleus
9=Lt lateral ventricle (post. horn)
Label 2,18,19,21
2=Rt internal capsule
18=Frontal sinus
19=Septum pellucidum
21=Lt external capsule
Label 3,5,7,10,11,12,14,20
3=Lt frontal lobe
5=Lt Lentiform nucleus
7=Lt internal capsule
10=Insula
11=Lt Claustrum
12=Rt Thalamus
14=Splenium, CC
20=Lt Interventricular foramen
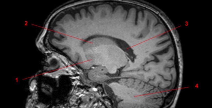
Label 1-9
1=Rostrum (CC)
2-Genu (CC)
3-Body (CC)
4=Splenium (CC)
5=Lateral ventricle
6=Thalamus
7=Midbrain
8=Pons
9-Medulla oblongata
Label 10-18
10-4th ventricle
11=Cerebellum
12=Cisterna Magna
13=Basilar artery
14=Clivus
15-Mamillary body
16=Optic chiasm
17=Infundibulum
18=Occipital bone
Label 19-27
19=Sphenoid sinus
20=Quadrigeminal cistern
21=Occipital lobe
22-Frontal lobe
23-Parietal lobe
25-Cerebral aqueduct
26-Frontal bone
27-Spinal canal
Label 1-3
1-Lt Optic nerve
2-Optic chiasm
3-Rt Optic tract
Label 1,10,12
1=Lt cerebral peduncle (midbrain)
10=Interpeduncular cistern
12=Cerebral aqueduct
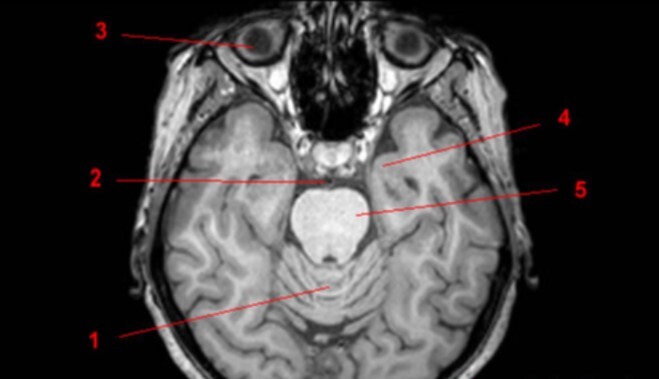
Label 7-11
7=Rt Internal carotid artery
8=Optic chiasm
9=Pituitary gland
10-Lt lateral ventricle
11=Lt Cavernous sinus
Label 1-6
1=Frontal bone
2-Falx cerebri
3-Left frontal lobe
4-Left anterior cerebral artery
5-Right temporal lobe
6-Temporal horn of left lateral ventricle
Label 7-11
7=Basilar artery
8-Right posterior cerebral artery
9-Internal occipital protuberance
10-Midbrain
11-4th ventricle
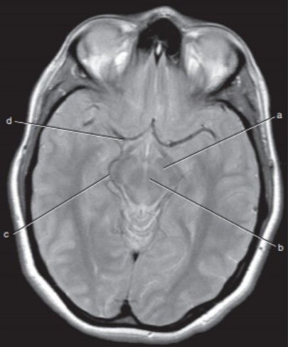
Label a,c,d
a=Left cerebral peduncle (of Midbrain)
c=Right ambient cistern (with Rt posterior cerebral artery)
d=Right middle cerebral artery
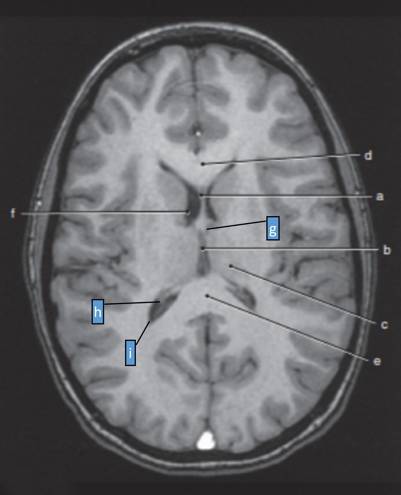
Label a,b,c,d,f,g
a-Rt lateral fissure
b=Insula
c=Quadrigeminal cistern
d-3rd ventricle
f-Cerebellum
g=Anterior horn (of rt lateral ventricle)
Label a-e
a=Septum pellucidum
b=3rd ventricle
c=Lt Thalamus
d=Genu of corpus callosum
e=Splenium of corpus callosum