Pelvis-Image Pack Flashcards

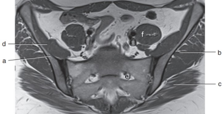
(21 cards)

1
Q

Label a-d

A

a. Rt SI joint
b. Rt lateral mass (sacrum)
c. Sacral foramina
d. Lt ilium

How well did you know this?
1
Not at all
2
3
4
5
Perfectly
2
Q

Label a-f

A

a. Ala (Rt Ilium)
b. Lt gluteus medius
c. Lt gluteus maximus
d. Rt iliacus
e. Lt sacral foramen
f. Lt psoas

How well did you know this?
1
Not at all
2
3
4
5
Perfectly
3
Q

Label a,b,c,e,g,h,i,j

A

a=Rt iliacus
b=Rt psoas
c=Rt iliac body
e=Lesser trochanter (Rt femur)
g=Rt femoral head
h=Rt femoral neck
i=Rt ischium
j=Rt gluteus minimus

How well did you know this?
1
Not at all
2
3
4
5
Perfectly
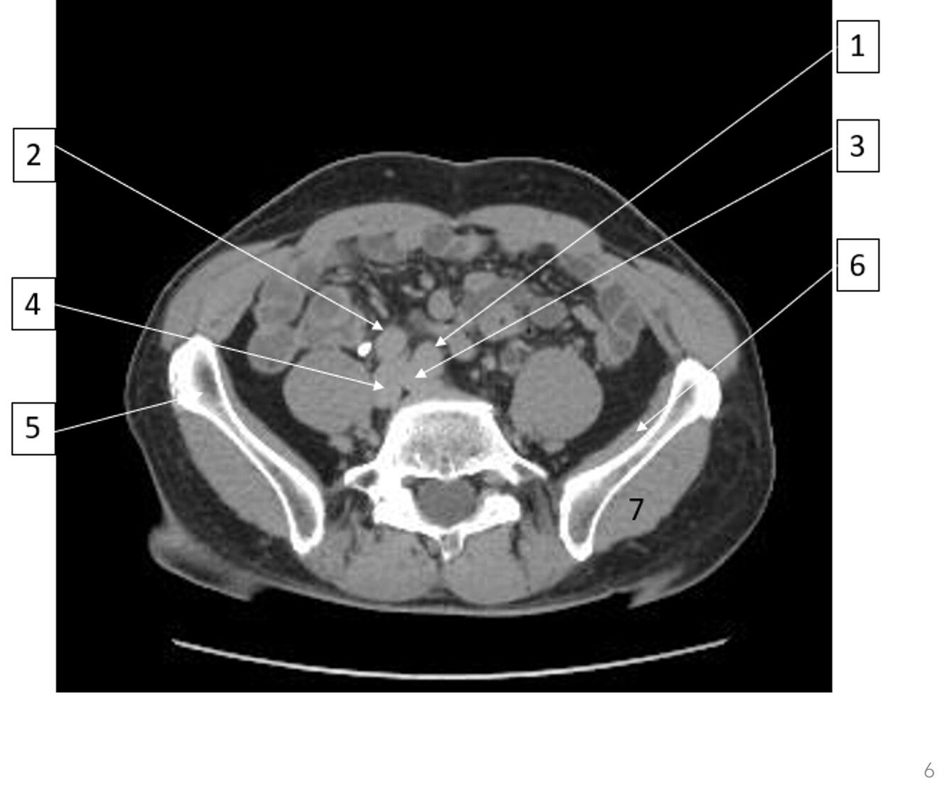
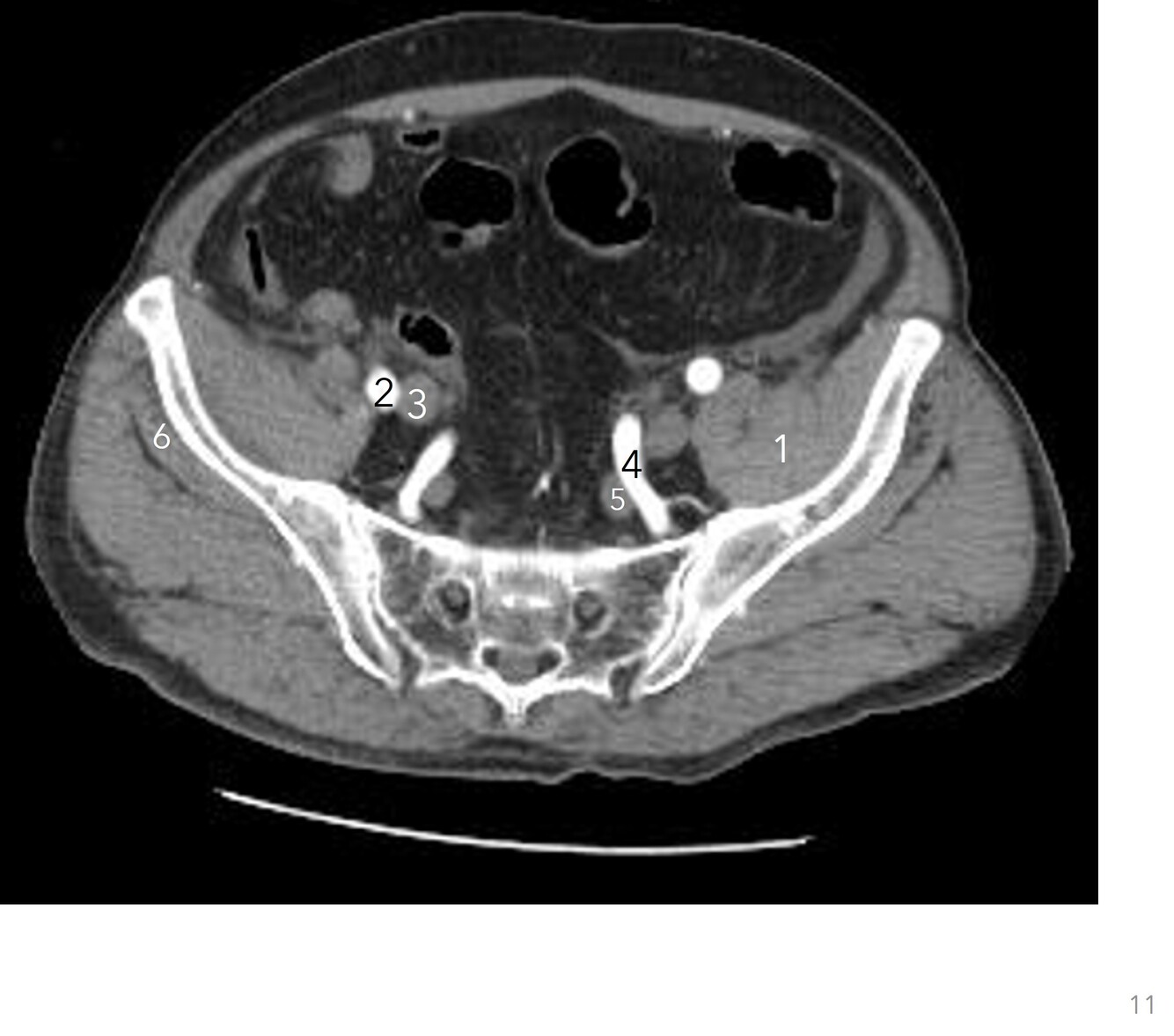
4
Q

Label 1-7

A
  1. Small bowel
  2. Lt common iliac artery
  3. Lt iliac crest
  4. Rt psoas
  5. Rt ureter
  6. IVC
  7. Rt common iliac artery
How well did you know this?
1
Not at all
2
3
4
5
Perfectly
5
Q

Label 1-7

A
  1. Lt common iliac artery
  2. Rt common iliac artery
  3. Lt common iliac vein
  4. Rt common iliac vein
  5. Ala (Rt ilium)
  6. Lt iliacus
  7. Lt gluteus medius
How well did you know this?
1
Not at all
2
3
4
5
Perfectly
6
Q

Label 1-4

A
  1. Lt gluteus minimus
  2. Lt gluteus medius
  3. Lt gluteus maximus
  4. Lt iliopsoas
How well did you know this?
1
Not at all
2
3
4
5
Perfectly
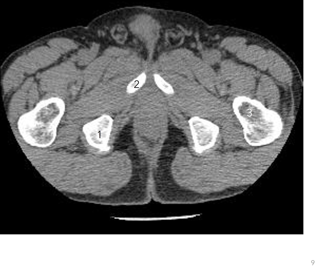
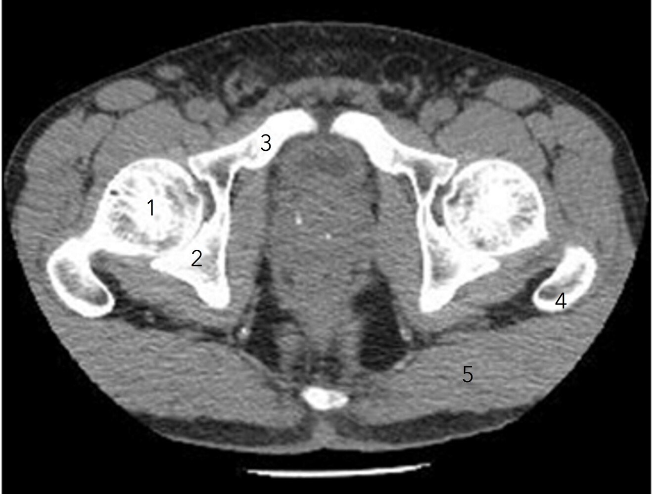
7
Q

Label 1-5

A
  1. Rt femoral head
  2. Rt ischium
  3. Rt superior pubic ramus
  4. Lt greater trochanter
  5. Lt gluteus maximus
How well did you know this?
1
Not at all
2
3
4
5
Perfectly
8
Q

Label 1-3

A
  1. Rt superior ischial ramus
  2. Rt inferior pubis ramus
  3. Lt femoral neck
How well did you know this?
1
Not at all
2
3
4
5
Perfectly
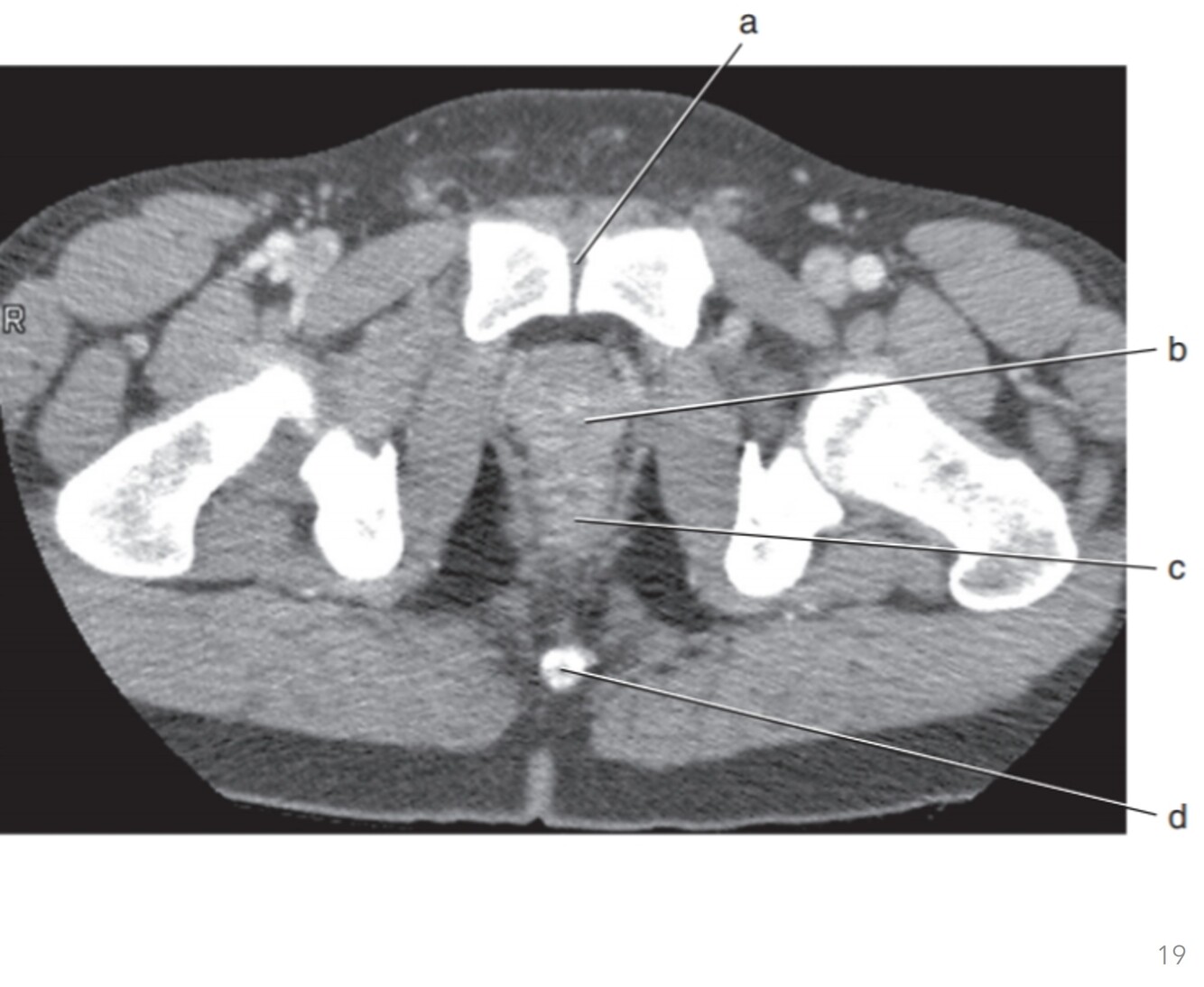
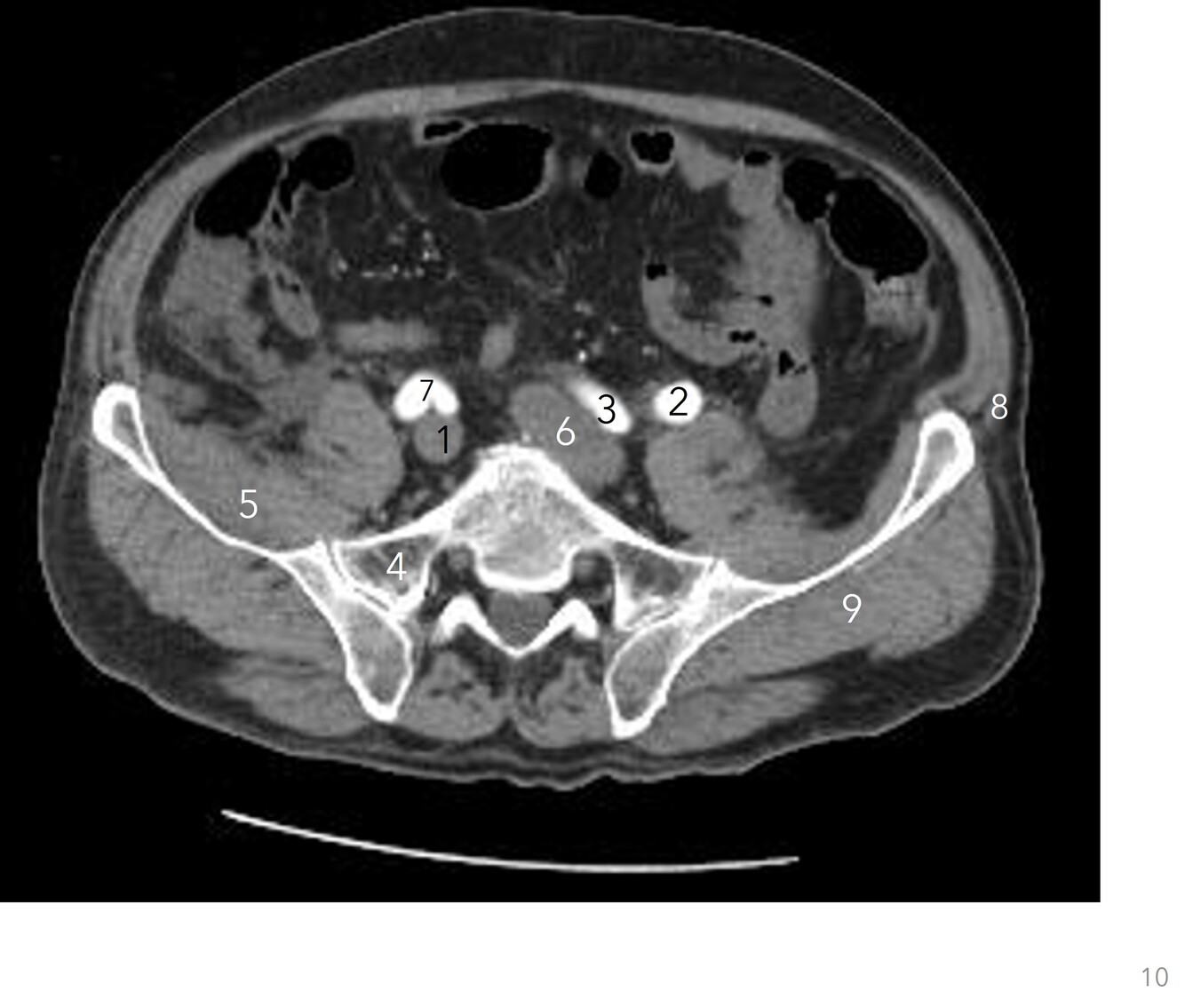
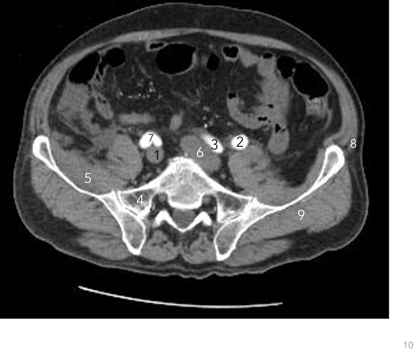
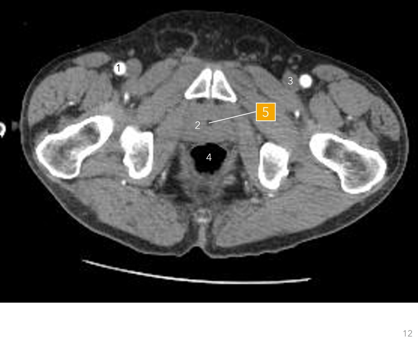
9
Q

Label 1-5

A

1-Rt common iliac vein
2-Lt external iliac artery
3-Lt internal iliac artery
4-Rt lateral mass (sacrum)
5-Rt iliacus

How well did you know this?
1
Not at all
2
3
4
5
Perfectly
10
Q

Label 6-9

A

6-Convergence of lt external and internal iliac veins
7-Bifurcation of rt common iliac artery
8-Lt external oblique
9-Lt gluteus medius

How well did you know this?
1
Not at all
2
3
4
5
Perfectly
11
Q

Label 1-6

A
  1. Lt iliopsoas
  2. Rt external iliac artery
  3. Rt external iliac vein
  4. Lt internal iliac artery
  5. Lt internal iliac vein
  6. Rt gluteus minimus
How well did you know this?
1
Not at all
2
3
4
5
Perfectly
12
Q

Label 1-5

A
  1. Rt femoral artery
  2. Prostate gland
  3. Lt femoral vein
  4. Rectum
  5. Prostatic urethra
How well did you know this?
1
Not at all
2
3
4
5
Perfectly
13
Q

Label a-e

A

a. Myometrium (uterus)
b. Rectum
c. Retropubic space
d. Pouch of Douglas/Rectouterine space
e. Bladder

How well did you know this?
1
Not at all
2
3
4
5
Perfectly
14
Q

Label f-j

A

f-Uterine cavity
g-Rectus abdominis
h-Cervix
i-Pubis symphysis
j-Vagina

How well did you know this?
1
Not at all
2
3
4
5
Perfectly
15
Q

Label b,c,e,f

A

b=Bladder
c=Uterine cavity
e=Rectum
f=Left rectus abdominis

How well did you know this?
1
Not at all
2
3
4
5
Perfectly
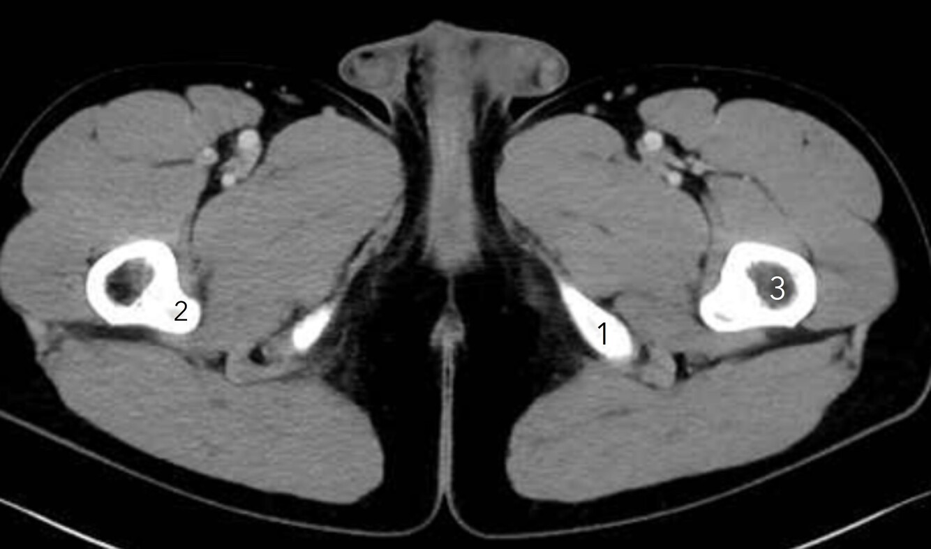
16
Q

Label 1-3

A
  1. Lt inferior pubic ramus
  2. Lesser trochanter (Rt femur)
  3. Lt femur
17
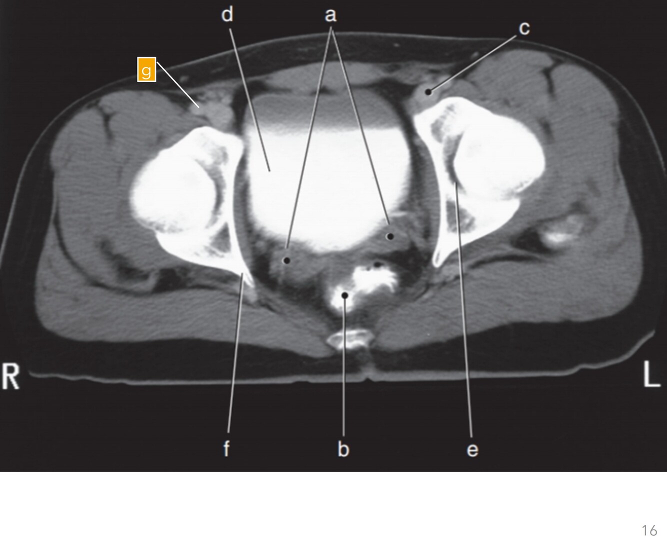
Q

Label a-g

A

a-Seminal vesicles
b-Rectum
c-Lt femoral vein
d-Bladder
e-Lt acetabulum
f-Rt ischial spine
g-Rt femoral artery

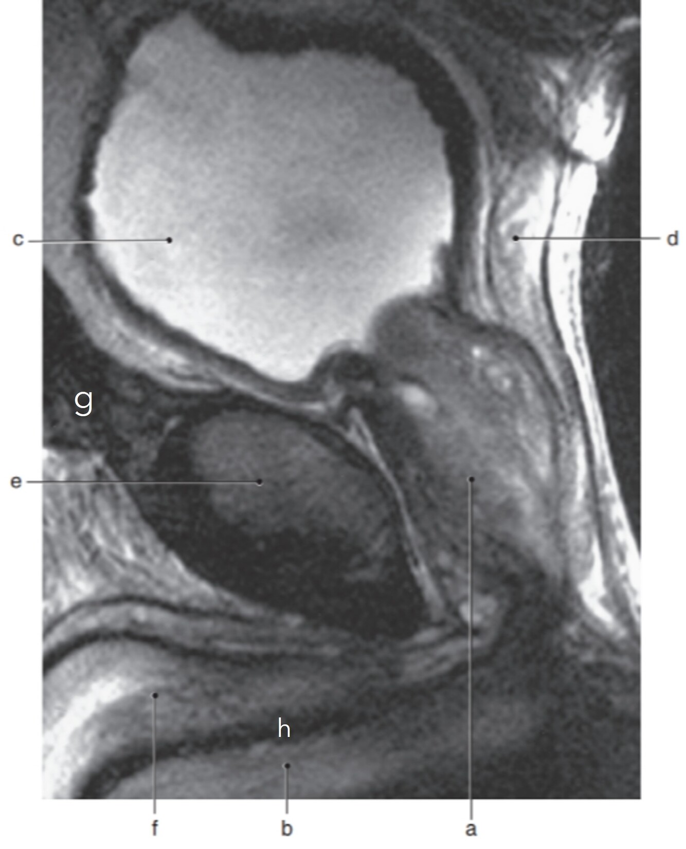
18
Q

Label a,c,d,e,g,h

A

a. Prostate gland
c. Bladder
d. Seminal vesicle
e. Pubic symphysis
g. Rectus abdominis
h. Urethra

19
Q

Label a-d

A

a. Lt SI joint
b. Lt sacral foramina
c. Lt sacral nerve
d. Lt gluteus maximus

20
Q

Label a-d

A

a. Pubic symphysis
b. Prostate gland
c. Rectum
d. Coccyx

21
Q

Label b,d,e

A

b. Bladder
d. Uterine cavity
e. Myometrium (Uterus)