Breast Flashcards

(57 cards)

1
Q

What is the presentation of breast disease

A

—Breast lump.—

Abnormal screening mammogram.

—Nipple discharge.

How well did you know this?
1
Not at all
2
3
4
5
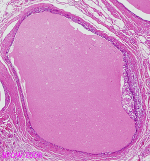
Perfectly
2
Q

How do we investigate breast disease?

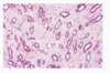
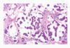
A
  • —Clinical examination.
  • —Imaging- Sonography, mammography & MRI—
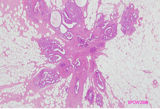
  • Pathology (cytopathology and/or histopathology).
    • ——Lesion aspirated by a 16/18gauge needle
How well did you know this?
1
Not at all
2
3
4
5
Perfectly
3
Q

Describe the cytopathology of breast disease.

A
  • —Cells spread across a slide and stained.—
  • Good cellular detail & quick to prepare but no architecture.
  • In breast disease used in the investigation of nipple discharge and palpable lumps.—
  • Aspirates of breast lumps are coded C1-5:—
    • C1 = inadequate—
    • C2 = benign—
    • C3 = atypia, probably benign—
    • C4 = suspicious of malignancy—
    • C5 = malignant
How well did you know this?
1
Not at all
2
3
4
5
Perfectly
4
Q

What does cytopathology ‘C5’ denote?

A

Malignancy

How well did you know this?
1
Not at all
2
3
4
5
Perfectly
5
Q

Describe the histopathology of breast disease.

A

—Intact tissue removed, fixed in formalin, embedded in paraffin wax, thinly sliced, stained with H&E.—

Core biopsies, surgical excisions.—

Takes 24 hours to process.—

Architectural & cellular detail.

How well did you know this?
1
Not at all
2
3
4
5
Perfectly
6
Q

Describe duct ectasia. How does it present?

A
  • —Inflammation and dilation of large breast ducts.—
  • Aetiology unclear.—
  • Usually presents with nipple discharge.—
  • Sometimes causes breast pain, breast mass and nipple retraction.—
  • Cytology of nipple discharge shows proteinaceous material and inflammatory cells only.—
  • Benign condition with no increased risk of malignancy.
How well did you know this?
1
Not at all
2
3
4
5
Perfectly
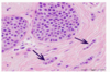
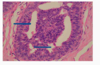
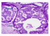
7
Q

What is this?

A

Duct ectasia

Enlarged 20x. Sometimes need to aspirate or excise.

How well did you know this?
1
Not at all
2
3
4
5
Perfectly
8
Q

Describe acute mastitis. How does it present? How is ti treated?

A

—Acute inflammation in the breast.—

Often seen in lactating women due to cracked skin and stasis of milk.—

May also complicate duct ectasia.—S

taphylococci the usual organism.

—Presents with a painful red breast.—

Drainage & antibiotics usually curative.

How well did you know this?
1
Not at all
2
3
4
5
Perfectly
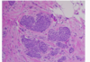
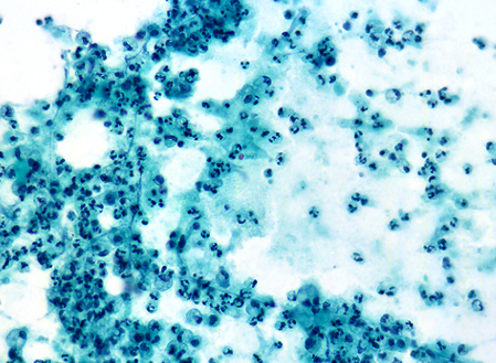
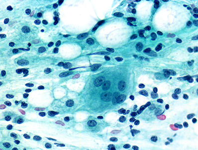
9
Q

Describe the image

A

Acute mastitis

Dark trinucleated cells - polymorphs - neutrophils. Inflammatory cells

How well did you know this?
1
Not at all
2
3
4
5
Perfectly
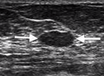
10
Q

What is this?

A

US of breast. Dark mass could be a cyst.

How well did you know this?
1
Not at all
2
3
4
5
Perfectly
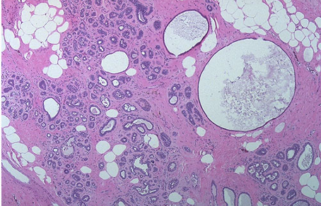
11
Q

What is fat necrosis? What is it caused by? How does it present?

A

—An inflammatory reaction to damaged adipose tissue.—

Caused by trauma, surgery, radiotherapy.—

Presents with a breast mass.—

Benign condition.

How well did you know this?
1
Not at all
2
3
4
5
Perfectly
12
Q

What is this

A

Mammogram. Section of increased density. Also some calcification - due to ageing.

How well did you know this?
1
Not at all
2
3
4
5
Perfectly
13
Q

What is this?

A

Fat necrosis

Oval cells - histiocytes

White empty spaces - fat!

How well did you know this?
1
Not at all
2
3
4
5
Perfectly
14
Q

Describe fibrocystic disease.

A
  • —A group of alterations in the breast which reflect normal, albeit exaggerated, responses to hormonal influences.—
  • Very common.—
  • Presents with breast lumpiness.—
  • No increased risk for subsequent breast carcinoma.
How well did you know this?
1
Not at all
2
3
4
5
Perfectly
15
Q

What is this?

A

Fibrocystic disease

How well did you know this?
1
Not at all
2
3
4
5
Perfectly
16
Q

Describe Fibroadenomas.

A
  • —A benign fibroepithelial neoplasm of the breast.—
  • Common.—
  • Presents as a circumscribed mobile breast lump in young women aged 20-30.—
  • Simple “shelling out” curative.
How well did you know this?
1
Not at all
2
3
4
5
Perfectly
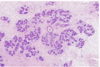
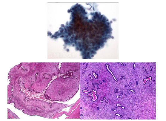
17
Q

What is this?

A

Fibroadenoma cytology and histology

  • Monolayer sheet with glandular epithelial cells on top and myoepithelium as well
  • Glands have been compressed due to proliferation of fibrous tissue
How well did you know this?
1
Not at all
2
3
4
5
Perfectly
18
Q

Describe Phyllodes tumours. How does it present? Prognosis?

A

—A group of potentially aggressive fibroepithelial neoplasms of the breast.—

Uncommon tumours.—

Present as enlarging masses in women aged over 50.—

Some may arise within pre-existing fibroadenomas.—

Vast majority behave in a benign fashion but a small proportion can behave more aggressively.

How well did you know this?
1
Not at all
2
3
4
5
Perfectly
19
Q

What is this?

A

Phyllodes - Cytology and Histology

Lots of cells in the tissue. Large nuclei, very dense monolayer sheet.

Phyllodes means leaf-like. Glandular epithelial on the outside.

Characterisation:

Benign

Borderline

Malignant

How well did you know this?
1
Not at all
2
3
4
5
Perfectly
20
Q

Describe intraductal papillomas. How do they arise and present? What is the prognosis?

A
  • —A benign papillary tumour arising within the duct system of the breast.—
  • Arise within small terminal ductules (peripheral papillomas) or larger lactiferous ducts (central papillomas).
  • —Common.—
  • Seen mostly in women aged 40-60.—
  • Central papillomas present with nipple discharge.—
  • Peripheral papillomas may remain clinically silent if small.—
  • Excision of involved duct is curative.
How well did you know this?
1
Not at all
2
3
4
5
Perfectly
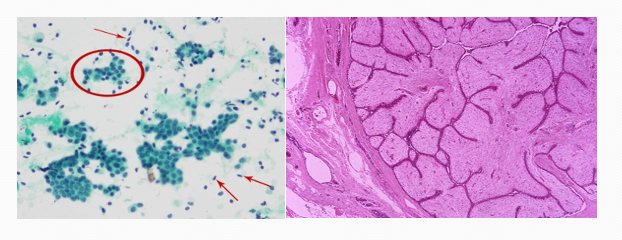
21
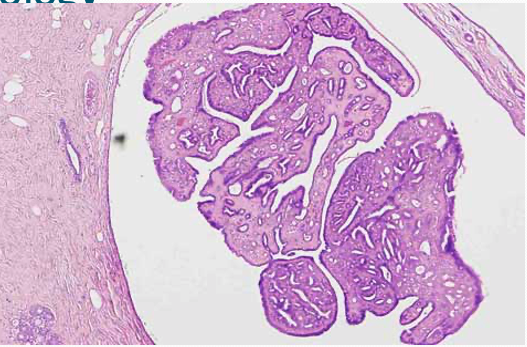
Q

What is this?

A

Intraductal papilloma - cytology

Few myoepithelial cells. Form rounded clusters of cells.

How well did you know this?
1
Not at all
2
3
4
5
Perfectly
22
Q

What is this?

A

Intraductal papilloma - histology. Large ducts which is being dilated. Capillaries within them.

How well did you know this?
1
Not at all
2
3
4
5
Perfectly
23
Q

Describe radial scars. How do they range? How does it present? How do we treat them?

A
  • —A benign sclerosing lesion characterised by a central zone of scarring surrounded by a radiating zone of proliferating glandular tissue.—
  • Range in size from tiny microscopic lesions to large clinically apparent masses.—
  • Lesions >1 cm are sometimes called “complex sclerosing lesions”.
  • —Reasonably common lesions.—
  • Thought to represent an exuberant reparative phenomenon in response to areas of tissue damage in the breast.—
  • Usually present as stellate masses on screening mammograms which may closely a carcinoma.—
  • Excision is curative.
24
Q

What is this?

A

Radial scar - histology

Some hypoxia and trauma, exaggerated response. Stellate architecture. Needs to be excised as it can harbour malignant cells → tubular carcinoma

25
What is this
Normal breast tissue
26
What is this
C1
27
What does this show?
Myopethilial cells and lots of glandular tissue - Normal
28
—A benign lesion that most commonly mimicks breast cancer on radiology?
Fat necrosis and Radial scars
29
What are proliferative breast diseases?
* —A diverse group of intraductal proliferative lesions of the breast associated with an increased risk, of greatly different magnitudes, for subsequent development of invasive breast carcinoma.— * _Microscopic lesions which usually produce no symptoms._— * Diagnosed in breast tissue removed for other reasons or on screening mammograms if they calcify.
30
What is this.
Low power image of breast tissue. Terminal duct at the centre surrounded by lobules.
31
High power view. Myoepithelial cells - pumping actions by actin. Lumen in the centre.
32
What is this? Prognosis?
Usual epithelial hyperplasia. Increased proliferations → multilayering —Not considered a direct precursor lesion to invasive breast carcinoma but is a marker for a slightly increased risk (relative risk of 1.5-2.0) for subsequent invasive carcinoma.
33
What is this?
* Flat epithelial atypia/Atypical ductal carcinoma * Proliferation pronounced. Punched out margins. Some atypia * —Emerging genetic data suggests FEA may represent the earliest morphological precursor to low grade ductal carcinoma in situ. * —4 times relative risk ofdeveloping cancer
34
What is this?
In situ lobular neoplasia —Current evidence suggests that in situ lobular neoplasia is a risk factor for subsequent invasive breast carcinoma in either breast in a minority of women.—The relative risk is quoted as between 7-12 times that expected in women without lobular neoplasia.
35
Describe ductal carcinoma in-situ (DCIS)
* —A neoplastic intraductal epithelial proliferation in the breast with an inherent, but not inevitable, risk of progression to invasive breast carcinoma.— * Common.— * Incidence has markedly increased since the introduction of breast screening programmes.
36
How often are DCIS diagnosed?
—85% are detected on mammography as areas of microcalcification.— 10% produce clinical findings such as a lump, nipple discharge, or eczematous change of the nipple (**Paget’s disease of the nipple**).— 5% are diagnosed incidentally in breast specimens removed for other reasons. —Subclassified histologically into low, intermediate and high grade.
37
What is this?
Low grade DCIS - histology Size of nucleus → classification Calcification Lots of proliferation Low grade - nucleus same size
38
What is this?
High grade DCIS - histology Nuclei atypical. Higher chance of invasiveness
39
What is the treatment of DCIS? Prognosis?
* —Treatment is surgical excision. * —Complete excision with clear margins is curative. * —Recurrence is more likely with extensive disease and high grade DCIS.
40
Define invasive breast carcinomas. How common is it? What do incidence rates depend on?
—A group of malignant epithelial tumours which infiltrate within the breast and have the capacity to spread to distant sites.— The most common cancer in women with a lifetime risk of 1 in 8.— Incidence rates rise rapidly with increasing age, such that most cases occur in older women.
41
Describe the aetiology of invasive breast carcinomas.
—Early menarche, late menopause, increased weight, high alcohol consumption, oral contraceptive use, and a positive family history are all associated with increased risk.— About 5% show clear evidence of inheritance. **BRCA** mutations cause a lifetime risk of invasive breast carcinoma of up to 85%.
42
What is the presentation of invasive breast carcinomas?
—Most cases present symptomatically with a breast lump.— An increasing proportion of asymptomatic cases are detected on screening mammography.
43
Describe the image.
Invasive ductal carcinoma - histology Empty cells - fats cells
44
Describe the image.
Invasive lobular carcinoma - histology Arrow - traberculi of tumour cells
45
What is this?
Invasive tubular carcinoma - histology Radial scars - mimics this.
46
What is this?
Invasive mucinous carcinoma - histology Nests of tumour cells. Glassy appearance.
47
What is the most common malignancy breast tumour?
Invasive ductal carcinoma.
48
Describe Basal-like carcinoma.
* —Recently described type of carcinoma discovered following genetic analysis of breast carcinomas.— . BRCA patients * Histologically characterised by sheets of markedly atypical cells with a prominent lymphocytic infiltrate. Central necrosis is common.— * Immunohistochemically characterised by positivity for “basal” cytokeratins CK5/6 and CK14.— * Often associated with BRCA mutations.— * Seem to have particular propensity to vascular invasion and distant metastatic spread.
49
What's this?
Basal-like carcinomas Dark purple Arise from basal cells
50
Describe histological grading?
51
—How many parameters are included in breast tumour grading?
3
52
What is receptor status?
* —All invasive breast carcinomas are assessed for oestrogen receptor (ER), progesterone receptor (PR) and Her2 status.— * Low grade tumours tend to be ER/PR positive and Her2 negative.— * High grade tumours tend to be ER/PR negative and Her2 positive.— * Basal-like carcinomas are often ER/PR/Her2 negative (“triple negative”).
53
What are important prognostic markers in breast cancer?
—The single most important prognostic factor is the status of the axillary lymph nodes.— Other important factors include tumour size, histological type, and histological grade.
54
Describe the NHS breast screening programme
* —The aim of screening is to pick up DCIS or early invasive carcinomas.— * Women aged 47-73 are invited for screening every three years. * —The screening test is a mammogram which looks for abnormal areas of calcification or a mass within the breast. * —About 5% of women have an abnormal mammogram and are recalled to an assessment clinic for further investigation.— * This may include more mammograms or an ultrasound followed by sampling of the abnormal area, usually by core biopsy. * —Published figures state that the NHSBSP saves about 1,250 lives each year.
55
How are core biopsies coded?
—Core biopsies taken from the breast as part of the screening programme are given a B code from 1-5.— B1 = normal breast tissue. —B2 = benign abnormality.— B3 = lesion of uncertain malignant potential.— B4 = suspicious of malignancy.— B5 = malignant (B5a = DCIS, B5b = invasive carcinoma).
56
Define Gynaecomastia.
—Refers to enlargement of the male breast.— Pubertal boys and older men aged over 50.— Idiopathic or associated with drugs (both therapeutic and recreational). —Histologically the breast ducts show epithelial hyperplasia with typical finger-like projections extending into the duct lumen. The periductal stromal is often cellular and oedematous.— Benign, no risk of malignancy.
57
Describe male breast cancer.
—Carcinoma of the male breast is rare (0.2% of all cancers).— Median age at diagnosis 65 years old.— Most present with a palpable lump.— Histologically the tumours show similar features to female breast cancers.