Upper GI tract Flashcards

(47 cards)

1
Q

What are Z lines and T lines?

A
How well did you know this?
1
Not at all
2
3
4
5
Perfectly
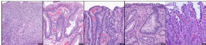
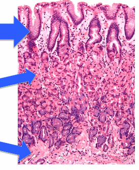
2
Q

Label

A
How well did you know this?
1
Not at all
2
3
4
5
Perfectly
3
Q

Label

A
How well did you know this?
1
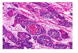
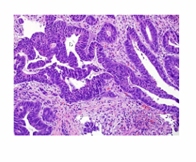
Not at all
2
3
4
5
Perfectly
4
Q

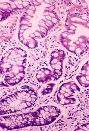
What is this? Label it.

A
How well did you know this?
1
Not at all
2
3
4
5
Perfectly
5
Q

Label

A
How well did you know this?
1
Not at all
2
3
4
5
Perfectly
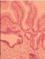
6
Q

What is this?

A

Normal dudodenum

Glandular epithelium with goblet cells (intestinal type epithelium)
Villous architecture
villous:crypt ratio of >2:1

How well did you know this?
1
Not at all
2
3
4
5
Perfectly
7
Q

What is this?

A

Epithelium - full of neurtohips

Acute oesophagitis

How well did you know this?
1
Not at all
2
3
4
5
Perfectly
8
Q

What is the commonest cause of oesophagitis

A

GORD

How well did you know this?
1
Not at all
2
3
4
5
Perfectly
9
Q

What are the complications of reflux oesophagitis?

A
How well did you know this?
1
Not at all
2
3
4
5
Perfectly
10
Q

What is Barretts’ oesophagus? What are the 2 types?

A
How well did you know this?
1
Not at all
2
3
4
5
Perfectly
11
Q

What is this?

A

Columnar lined oesophagus

How well did you know this?
1
Not at all
2
3
4
5
Perfectly
12
Q

What is this?

A

columnar lined oesophagus with intestinal metaplasia

How well did you know this?
1
Not at all
2
3
4
5
Perfectly
13
Q

What is this?

A

Barrett’s oesophagus

How well did you know this?
1
Not at all
2
3
4
5
Perfectly
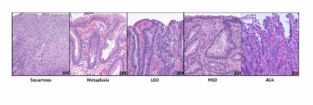
14
Q

What is this sequence?

A

Metaplasia-dysplasia - cancer pathway
LGD: low grade dysplasia
HGD: high grade dysplasia
ACA: adenocarcinoma

How well did you know this?
1
Not at all
2
3
4
5
Perfectly
15
Q

What is adenoma of the oesophagus associated with?

A
How well did you know this?
1
Not at all
2
3
4
5
Perfectly
16
Q
A

Adenocarcinoma of the oesophagus

How well did you know this?
1
Not at all
2
3
4
5
Perfectly
17
Q

What is SCC of the oesophagus associated with?

A
How well did you know this?
1
Not at all
2
3
4
5
Perfectly
18
Q
A

SCC of oesophagus - make keratin

How well did you know this?
1
Not at all
2
3
4
5
Perfectly
19
Q

What is the prognosis of oesophageal carcinoma?

20
Q

What is this

A

Oesophageal varices - caused by crirrhosis and portal vein thrombosis

21
Q

What is gastritis? what are the types?

22
Q

What are the causes of acute gastritis?

23
Q

What are the causes of chronic gastritis?

24
Q

What is this? What causes it? What is the outcome?

25
What is Helicobacter infection associated with? What is cag-A-positive H.pylori?
26
What are the other causes of gastritis?
27
Why should we worry about gastritis?
28
What is this
Gastric ulcer.
29
What are the complications of ulcers?
30
What is this?
* As in the oesophagus: * intestinal metaplasia in gastric mucosa in response to long term damage * Increased cancer risk
31
What is this?
Gastric epithelial dysplasia | Distinction between metaplasia and cancer: no invasion through basement membrane
32
What is this
Gastric cancer | Bottoms: liver
33
What are the types of gastric cancers?
34
What are the other 5% of gastric cancers?
35
What is this?
36
What is duodenitis, duodenal ulcer and H.pylori infection?
Most commonly caused by H.pylori
37
38
What are the other pathogens causing duodenal ulcers?
39
Giardia lamblia infection
40
What is this?
Dots: lymphocytes
41
What is going on here?
42
How do we diagnose coeliac disease?
43
What are patients with coeliac disease more likely to get?
44
Duodenal MALToma.
45
T or F
NO
46
Villous atrophy, increased epithelial lymphocytes
47
Metabolic disease