Breast Flashcards

(17 cards)

1
Q

What is a carcinoma?

A

• Malignant tumour of epithelial origin
Subtype of carcinoma depends on organ or tissue of origin
Eg: Squamous cell carcinoma (skin, head and neck, cervix)
Adenocarcinoma = gland forming tumour/mucin producing
tumour (Gastrointestinal tract, breast, endometrium, prostate
etc)
Transitional cell (urothelial) carcinoma (urinary bladder)

How well did you know this?
1
Not at all
2
3
4
5
Perfectly
2
Q

What is a sarcoma?

A

• Malignant tumour arising from mesenchymal tissue
Examples -
Leiomyosarcoma (smooth muscle origin)
Rhabdomyosarcoma (striated muscle)
Liposarcoma (adipose tissue)
Osteosarcoma (bone)

How well did you know this?
1
Not at all
2
3
4
5
Perfectly
3
Q

What is a lymphoma?

A

• Malignancy arising in lymphoid tissue (lymph nodes)
Eg
Hodgkin’s lymphoma
Diffuse large B cell lymphoma

How well did you know this?
1
Not at all
2
3
4
5
Perfectly
4
Q

What is the normal breast histology?

A

• Grape like cluster of acini – lobule
• Lobules connect into duct
• Luminal epithelial cells
• Overlie myoepithelial cells on basement membrane

How well did you know this?
1
Not at all
2
3
4
5
Perfectly
5
Q

Normal vs benign vs malignant breast

A
How well did you know this?
1
Not at all
2
3
4
5
Perfectly
6
Q

What is a breast abscess?

A

• Usually infection acquired during breast feeding
• Staphylococcus aureus (nipple skin)
• Formation of lactational abscess
• Treat with antibiotics, continued expression of milk
• Rarely – incision and drainage

How well did you know this?
1
Not at all
2
3
4
5
Perfectly
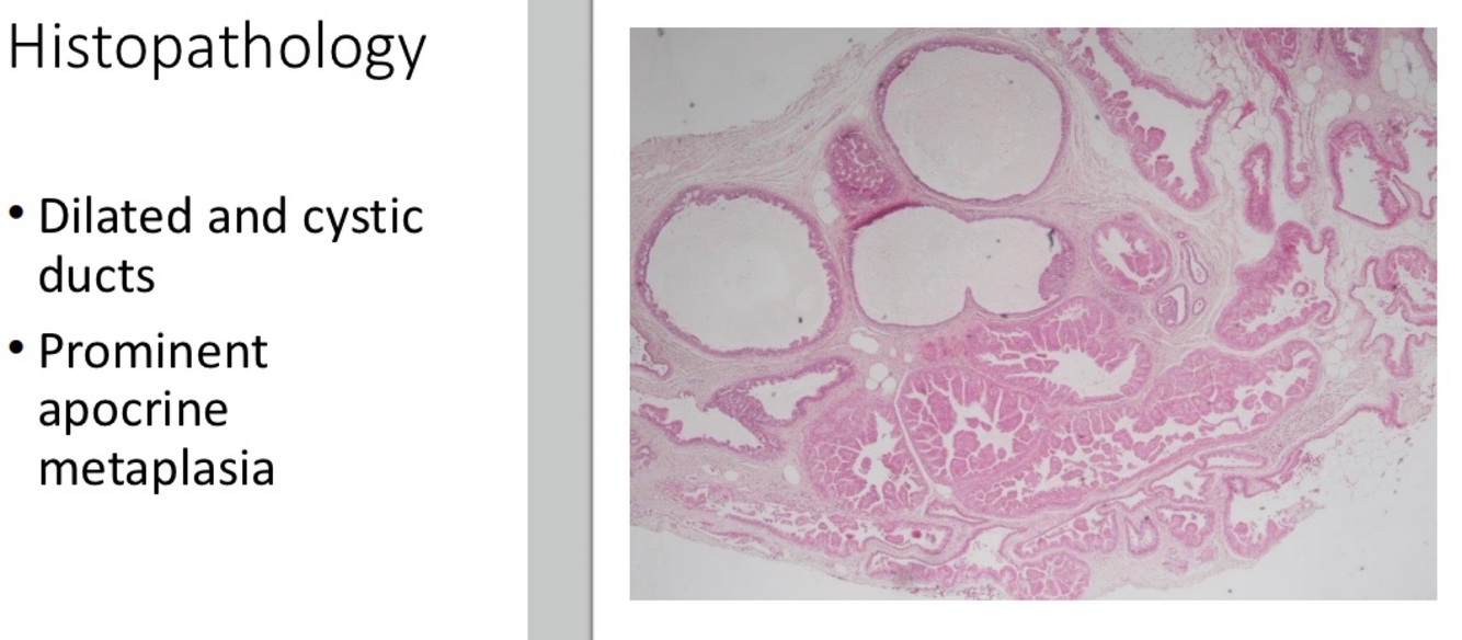
7
Q

What is fibrocystic disease?

A

• Most common benign breast disease
• Commonest in ages group 30 - 50 years
• Benign cysts typically mobile and rubbery on examination
• Fibrocystic change – prone to hormonal alteration
• Benign – not associated with an increased risk of malignancy

How well did you know this?
1
Not at all
2
3
4
5
Perfectly
8
Q

What is fibroadenoma?

A

• Most common benign tumour of the female breast
• Well-circumscribed, unencapsulated
• Biphasic tumour, proliferation of glandular and stromal elements
• Can occur at any age, median age of 25 years
• Management -> patient risk factors, patient preference
• Conservative management – follow-up
• Local surgical excision

How well did you know this?
1
Not at all
2
3
4
5
Perfectly
9
Q

What are the risk factors for breast carcinoma?

A
How well did you know this?
1
Not at all
2
3
4
5
Perfectly
10
Q

What are the types of breast malignancy?

A

• Greater than 95% of breast malignancies - adenocarcinomas
• In situ stage – neoplastic proliferation limited to ducts and lobules by basement membranes
• Invasive carcinoma – penetrated the basement membrane into the stroma – potential for Lymphovascular invasion and metastatic spread
• Ductal Carcinoma – arises from ducts
• Lobular carcinoma – arises from the lobules

How well did you know this?
1
Not at all
2
3
4
5
Perfectly
11
Q

What is Carcinoma in situ?

A

• Neoplastic proliferation limited to ducts and lobules by the intact basement membrane
• Ductal carcinoma in situ – Ducts , express e-cadherin (cell adhesion protein)
• Mammography - calcification
• Lobular carcinoma in situ – lobules, loss of e-cadherin expression

Histological DCIS features:
- atypical epithelial proliferation
- intact basement membrane
- come do necrosis
- calcification
- abnormal nuclear features

How well did you know this?
1
Not at all
2
3
4
5
Perfectly
12
Q

What is invasive carcinoma?

A

• Has penetrated through the basement membrane and infiltrates the stroma
• Most common - Invasive ductal carcinoma, no special type (70-80%)
• Capacity for lymphatic/vascular invasion and metastases
• If central -> nipple retraction
• Lymphatics involved/blocked – peau d’orange (orange peel appearance)
• Mammography – radiodense mass

Histological features:
- crab like infiltration of the stroma and tissues
- haphazard malignant glands infiltrating stroma
- malignant cells in Indian files

How well did you know this?
1
Not at all
2
3
4
5
Perfectly
13
Q

What is the treatment of breast cancer?

A
How well did you know this?
1
Not at all
2
3
4
5
Perfectly
14
Q

What is the breast cancer screening programme?

A

women from the age of 50 to 70 registered with a GP for screening every 3 years

How well did you know this?
1
Not at all
2
3
4
5
Perfectly
15
Q

How are breast cancers graded?

A

• Bloom Richardson System:
1) Tubule formation (1-3)
2) Nuclear Pleomorphism (1-3)
3) Mitotic activity (1-3)

3-5 Grade 1 (well differentiated)
6-7 Grade 2 (moderately differentiated)
8-9 Grade 3 (poorly differentiated)

How well did you know this?
1
Not at all
2
3
4
5
Perfectly
16
Q

What is the treatment if the target is ER vs PGR vs HER2?

17
Q

What are the draining lymph nodes of the breast?

A

• Axillary lymph nodes (75-90% of ipsilateral breast drainage)
• Infraclavicular lymph nodes
• Internal mammary (parasternal)clymph nodes