Unilateral breast mass
bloodly nipple discharge
Fixation to underlying chest wall
Gross: firm to hard , irregular border
Microscopy: extensive desmoplasia, tubules, solid clusters or single infiltrating cells with necrosis and atypical mitoses

Invasive Ductal Carcinoma
Mechanism responsible for this appearance

Dermal lymphatic invasion by malignant tumor cells
6th decade
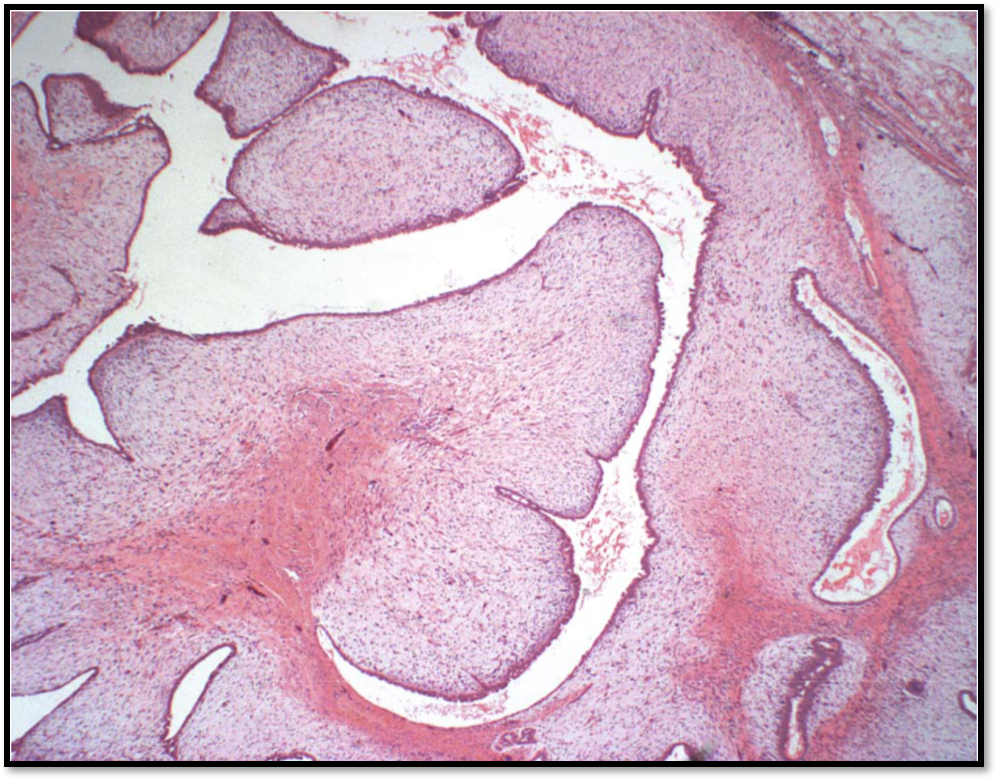
unilateral breast mass
Gross: Bulbous protrusions
Microscopy: increased stromal cellularity and overgrowth –> leaflike architecture

Phyllodes Tumor
List 4 causes for pathologic gynecomastia
Cirrhosis MCC
Klinefelter syndrome
spironolactone, ketoconazole
Leuprolide
List 4 causes for galactorrhea
Physiologic
Prolactinoma
Primary hypothyroidism
Drugs-eg: H2-receptor blockers
vitamin A deficiency associated with smoking
keratinizing squamous metaplasia of the nipple ducts
painful erythematous subareolar mass
Periductal Mastitis
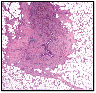
30 year old female
discrete movable, painless breast mass
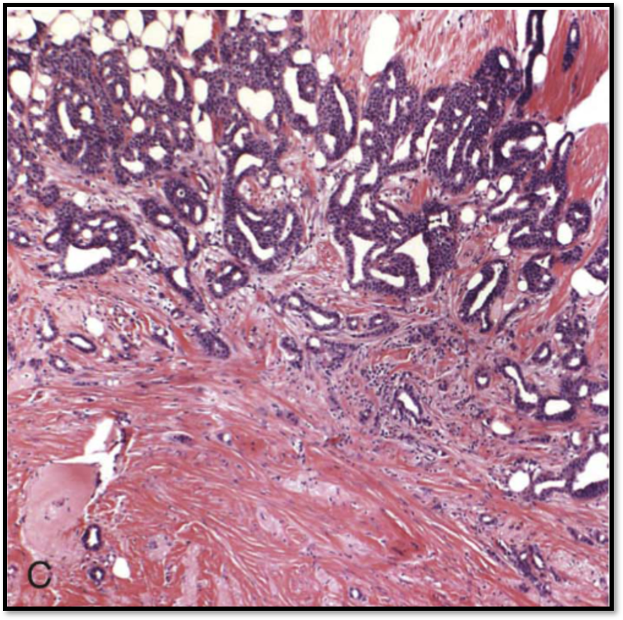
Gross: well-circumscribed, rubbery, grayish white nodules that bulge, slitlike spaces
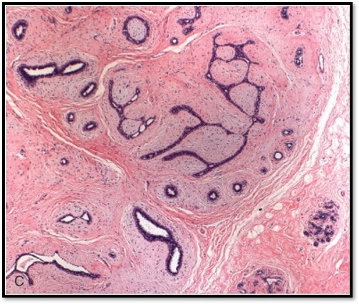
Microscopy: See attached image

Fibroadenoma
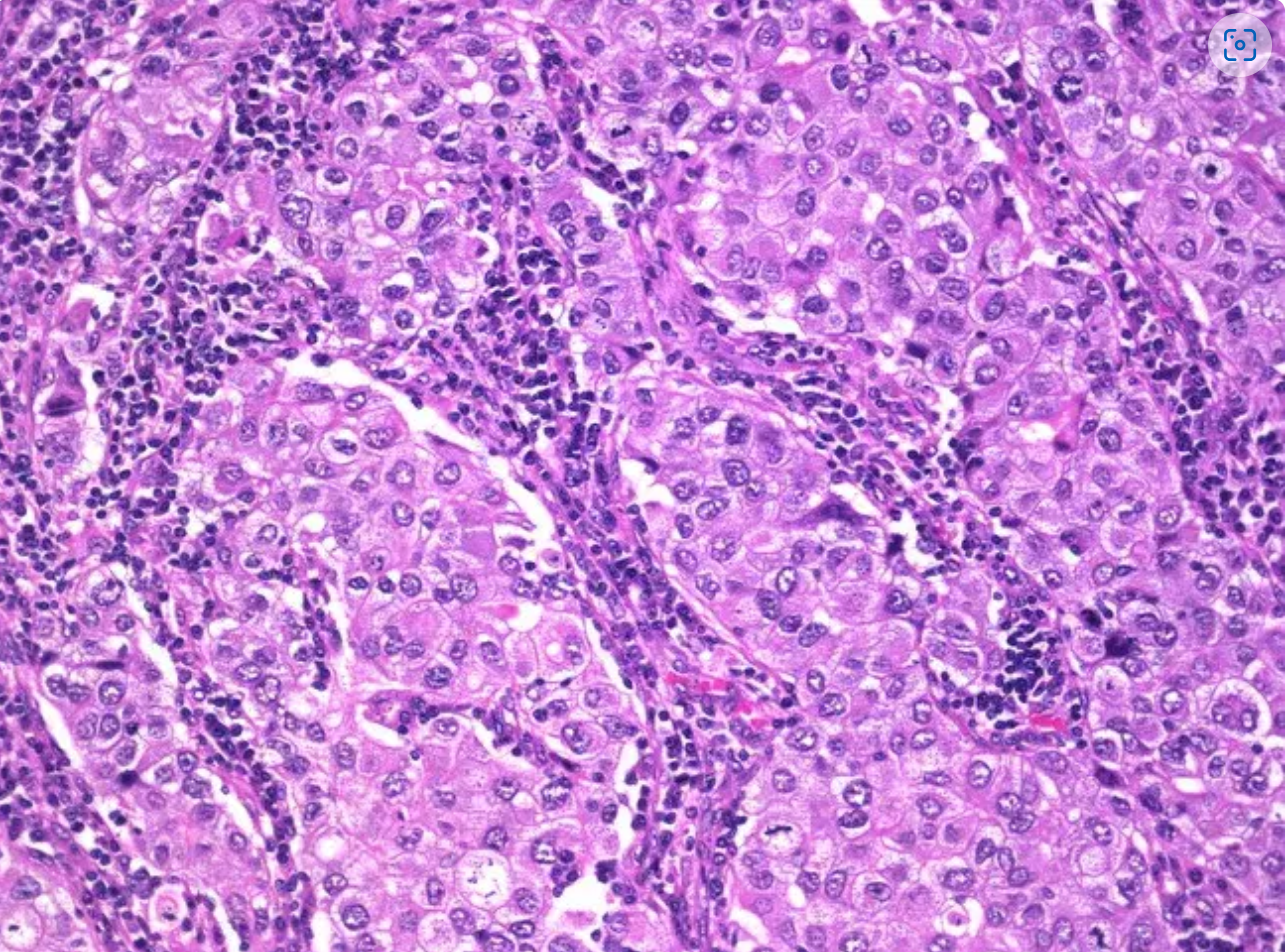
1. Diagnosis?
•malignant clonal population of cells limited to ducts and lobules by the basement membrane.
solid sheets of pleomorphic cells with “high-grade” hyperchromatic nuclei and areas of central necrosis
2. Mammography feature of this condition

Diagnosis?
Bloody nipple discharge
See attached image

Intraductal papilloma
What is the mcc of this lesion?
Localized, firm breast mass
M/E: irregular steatocytes with no peripheral nuclei
pink amorphous necrotic material and inflammatory cells
foreign body giant cells
lipid laden macrophages

breast trauma or prior surgery.
List the morphologic changes assoc with fibrocystic change
Cystic change
apocrine metaplasia
Fibrosis
Adenosis
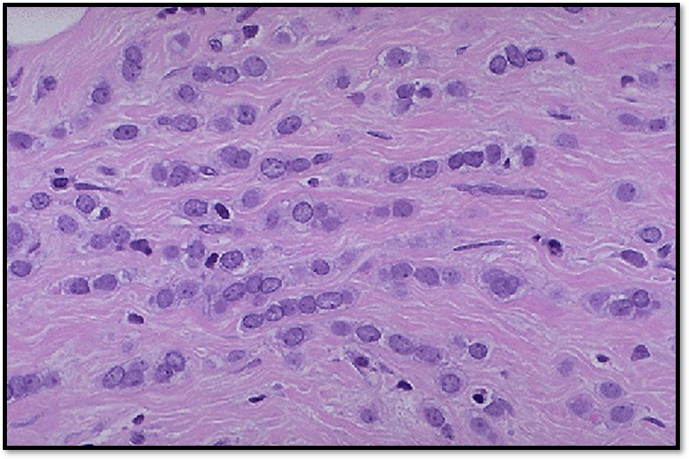
1. Diagnosis?
Breast mass
dyscohesive infiltrating tumor cells, in single file or in loose clusters or sheets
minimal desmoplasia

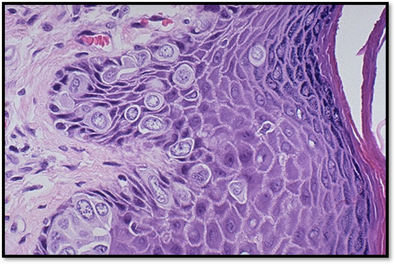
unilateral erythematous eruption with a scale crust
bloody nipple discharge
pruritus+/-

Paget disease

Mammary Duct Ectasia
Causes for granulomatous mastitis
Silicone implants
Sarcoidosis
Wegner’s granulomatosis
Mycobacterial/ fungal infections
Breastfeeding new mother
Infant with cleft palate
Mother presents with erythema and pain in the breast, has fever
Acute mastitis
Most important prognostic factor for breast carcinomas in the absence of distant metastasis
Axillary lymph node status
Gene mutated in lobular carcinoma
CDH1
**Identify this subtype of breast carcinoma: **
Well-circumscribed, minimal desmoplasia,
Pushing borders, solid sheets of pleomorphic tumor cells withmarked lymphoplasmacytic infiltrate.
Triple negative status
Medullary carcinoma
**Identify this subtype of breast carcinoma: **
Soft, pale-gray blue gelatin appearance and consistency
Tumor cells in clusters within large lakes of mucin
Mucinous carcinoma
Normal function of BRCA genes
required to repair double-stranded DNA breaks through a process called homologous recombination
Major risk factors for breast carcinoma based on relative risk statistics
Increasing age, high penetrance germline mutations (BRCA1, BRCA2,CDH1, TP53,PTEN), Strong family history (>1 first-degree relative, young age, multiple cancers), early menarche (age<12),late menopause (>55y), late first pregnancy (>35 y)
Why does overexpression of HER2 lead to worse prognosis for patients with breast cancer?
HER2 codes for human epidermal factor receptor with tyrosine kinase activity in the intracellular domain and activates pathways thyat control epithelial growth and differentiation. Tumors that overexpress HER2 show increased proliferation and resistance to apoptosis.
Of the two types of genes that increase malignant potential (proto-oncogenes, tumor suppressor genes), which one is BRCA1, BRCA2?
Tumor suppressor genes- theri inactivation (rather than overexpression) leads to tumor development