List 3 IHC markers that would confirm a diagnosis of small cell carcinoma
Deborah Dalmeida MD
Chromogranin
Neuron specific enolase
Synaptophysin
Deborah Dalmeida MD
Which of the following points represents a restrictive lung disease?
Deborah Dalmeida MD

D
Deborah Dalmeida MD
Features of carcinoid syndrome
Deborah Dalmeida MD
Bronchospasm
Flushing
Diarrhea
Right sided heart murmur
Deborah Dalmeida MD
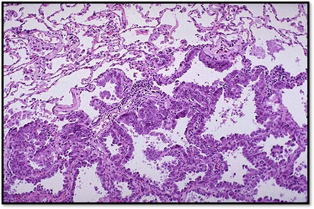
Where do the tumor cells grow in bronchioloalveolar carcinoma?
Deborah Dalmeida MD
along the walls of pre existing alveoli – lepidic pattern
Deborah Dalmeida MD

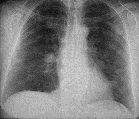
What’s your diagnosis?
List the 3 most common conditions responsible for this appearance.
Deborah Dalmeida MD

Cannon ball metastases
Commonest primary sites: Breast > colon>renal
Deborah Dalmeida MD
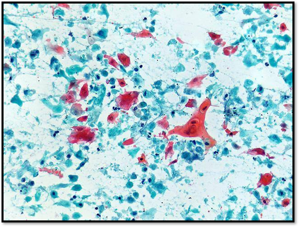
What’s the cell of origin of these tumor cells?
Deborah Dalmeida MD

Neuroendocrine Kulchitsky cells
Deborah Dalmeida MD
Highly malignant neoplasm a/w heavy exposure to asbestos
Deborah Dalmeida MD
Mesothelioma
Deborah Dalmeida MD
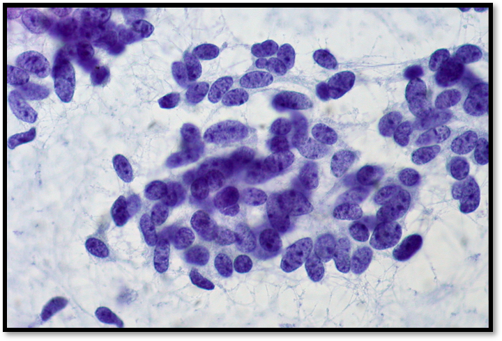
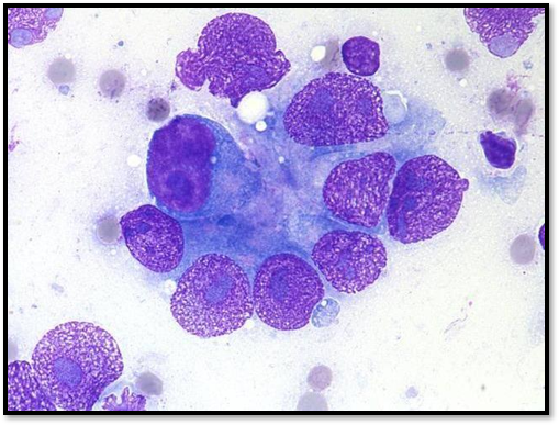
What’s your diagnosis?
Central mass
Light microscopy: organoid arrangement of tumor cells
Electron microscopy - dense-core granules
Flushing
Diarrhea
Deborah Dalmeida MD
Carcinoid Tumor
Deborah Dalmeida MD
Tall, thin males around the age of 20
Smoking
Deborah Dalmeida MD

Primary spontaneous Pneumothorax
Deborah Dalmeida MD
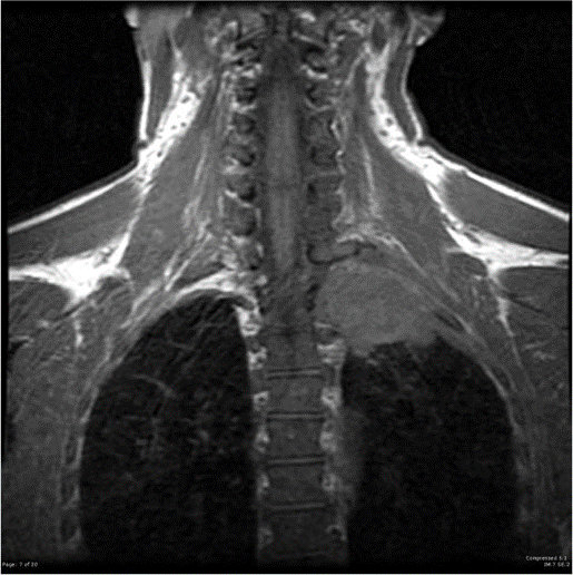
List the possible structures that may be possibly involved in Pancoast tumor.
Deborah Dalmeida MD

Deborah Dalmeida MD
central tumor
organoid, trabecular, palisading, ribbon, or rosette-like arrangements of cells separated by a delicate fibrovascular stroma
Electron microscopy shows dense core granules
Deborah Dalmeida MD
Carcinoid Tumor
Deborah Dalmeida MD
Deborah Dalmeida MD
Deborah Dalmeida MD
Central mass
small round or polygonal cells in clusters with salt and pepper pattern of nuclear chromatin
Electron microscopy- dense core neurosecretory granules
Deborah Dalmeida MD
Small cell carcinoma (Oat cell carcinoma)
Deborah Dalmeida MD
peripheral, solitary, well circumscribed,
solitary coin lesion on the CXR
Deborah Dalmeida MD

Pulmonary Hamartoma
Deborah Dalmeida MD
Why would you get Horner Syndrome secondary to a lung tumor?
Features of Horner Syndrome?
Deborah Dalmeida MD
Involvement of sympathetic ganglia
Ptosis, miosis, anhydrosis, enophthalmos, loss of cilisospinal reflex
Deborah Dalmeida MD
Which of the following points represents an obstructive disease?
Deborah Dalmeida MD

A
Deborah Dalmeida MD
central mass
association with smoking
gray white
tendency to cavitate
Deborah Dalmeida MD

Squamous cell carcinoma
Deborah Dalmeida MD

Deborah Dalmeida MD
Deborah Dalmeida MD
peripherally located mass
non smokers, women
positive for thyroid transcription factor-1 (TTF-1)
80% contain mucin.
Deborah Dalmeida MD

adenocarcinoma
Deborah Dalmeida MD

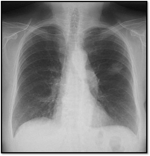
List 3 causes for the condition shown in the attached image
Deborah Dalmeida MD

Deborah Dalmeida MD
What is this ?
Periosteal new bone formation, Clubbing, Arthritis
Deborah Dalmeida MD

Hypertrophic osteoarthropathy
Deborah Dalmeida MD
Xaxis represents number of breaths per minute
Y axis represents the work of breathing
Does this graph represent a restrictive or an obstructive effect?
Deborah Dalmeida MD

Restrictive defect
Deborah Dalmeida MD
Xaxis represents number of breaths per minute
Y axis represents the work of breathing
Does this graph represent a restrictive or an obstructive effect?
Deborah Dalmeida MD

Obstructive
Deborah Dalmeida MD