Bronquiolitis Flashcards

(31 cards)

1
Q

Edad

A

Frecuente en lactantes y escolares (90% de los ingresos por BA)

How well did you know this?
1
Not at all
2
3
4
5
Perfectly
2
Q

Es una causa de ingreso a

A

Urgencias y hospitalización (15% de urgencias)

How well did you know this?
1
Not at all
2
3
4
5
Perfectly
3
Q

Hoy en día en adultos puede debutar con

A

Un cuadro respiratorio grave especialmente con comorbilidades

How well did you know this?
1
Not at all
2
3
4
5
Perfectly
4
Q

Circulación estacional del VSR

A

Virus de circulación estacional pero puede estar presente todo el año.
Predilección por meses fríos

How well did you know this?
1
Not at all
2
3
4
5
Perfectly
5
Q

De acuerdo a la Academia Americana de Pediatría, se define como

A

Una infección de TRI con presencia de rinitis, taquipnea, sibilancias, tos, crepitantes, uso de musculatura accesoria y/o aleteo nasal el niños

antes de sx broncopulmonares

How well did you know this?
1
Not at all
2
3
4
5
Perfectly
6
Q

Definición

A

Primer episodio de dificultad respiratorio bronquiodistal en lactante/niño menor de 2 años precedido de síntomas catarrales

se llama bronquiolitis aguda a esta def

How well did you know this?
1
Not at all
2
3
4
5
Perfectly
7
Q

clave en la variabilidad en VSR

A

Al momento que entra en contacto con célula realiza su reconfirguración
No deja inmunidad permanente por su variabilidad antigénica (dura máximo unos 3 meses)

prot F

How well did you know this?
1
Not at all
2
3
4
5
Perfectly
8
Q

Etiología

A

VSR 90%
Rinovirus 14-30%
Bocavirus humano 14-15%
Metapneumovirus 3-12%
Enterovirus, coronavirus, influenza 1-8%

How well did you know this?
1
Not at all
2
3
4
5
Perfectly
9
Q

Puede existir coinfección en % de los casos

A

20-30%

How well did you know this?
1
Not at all
2
3
4
5
Perfectly
10
Q

Fisiopatología

A
  • Se replica desde TRS, haciendo invasión a célula epitelial nasofaríngea produciendo al inicio cuadro pseudogripal. Posteriormente se extiende a TRI
  • Inflamación y producción de moco con necrosis de células del epitelio bronquiolar.
  • Necrosis tisular causa obstrucción dle flujo aéreo, atelectasias (micro) llevan a hipoxemia severa
  • Broncoespasmo.
How well did you know this?
1
Not at all
2
3
4
5
Perfectly
11
Q

_ de cada 100 pacientes pediátricos tiene un cuadro grave de la enfermedad
_ de cada 10 de los adultos mayores con infección VSR fallecen

A

1
3

How well did you know this?
1
Not at all
2
3
4
5
Perfectly
12
Q

Clínica

A

Es un cuadro que inicia con datos pseudogripales con o sin fiebre y evoluciona rápidamente a:
* Fiebre
* Taquipnea
* Sibilancias
* Tos
* Rechazo al alimento
* Crepitantes
* Uso músculos accesorios
* Cianosis
* Insuficiencia respiratoria

How well did you know this?
1
Not at all
2
3
4
5
Perfectly
13
Q

Duración promedio del cuadro

A

Entre 7 a 14 días promedio
10% más de 4 semanas

How well did you know this?
1
Not at all
2
3
4
5
Perfectly
14
Q

Efectos del proceso inmunológico en el bronquiolo

A

Bronquiolo se llena de detritus celular y aumenta grosor de pared bronquial que genera una inadecuada respiración que puede llegar a hipoxemia. Las propias citocinas son dañinas especialmente para la pared de elastina de los bronquios.

How well did you know this?
1
Not at all
2
3
4
5
Perfectly
15
Q

Factores de riesgo

A
  • Masculino
  • Prematurez
  • Menor a 3 meses
  • Nacer en invierno
  • Displasia broncopulmonar
  • Enfermedad neurmomuscular
  • Cardiopatía congénita
  • Exposición a tabaco
  • Elevada paridad
  • Corta duración de lactancia
  • Madre adolescente
  • Asma materna
  • Bajo nivel socioeconómico
How well did you know this?
1
Not at all
2
3
4
5
Perfectly
16
Q

Diagnósticos diferenciales

A
  • Reflujo gastroesofágico
  • Traqueo o broncomalacia
  • Aspiración de cuerpo extraño
  • Anillo vascular
  • Masas o tumores mediastínicos
  • Enfermedades pulmonares congénitas
  • Miocardiopatía
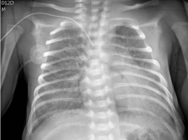
17
Q

Diagnóstico

A
    • Clínico
  • Auxiliares:
  • Panel viral PCR para detección de agente etiológico
  • BH (linfocitosis) desviación a dcha
  • Gasometría y oximetría de pulso: sobretodo para evaluar las repercusiones de la insuficiencia respiratoria y para determinar que tipo de oxígeno auxiliar vamos a poner (permite ver nivel de severidad)
  • Rx de torax
. Se ob-serva gran hiperinsuflación, compromiso inters-ticial difuso bilateral y condensación con dismi-nución de volumen y broncograma aéreo de LII (retrocardio)
18
Q

Score de Wood-Downes modificado

A

Permite determinar la severidad

no toma en cuenta la edad

19
Q

Criterios para el manejo domiciliario, en el hospital y en UCI

20
Q

Escala de Tall modificada

21
Q

Tratamiento: Oxigenoterapia

A

Se busca tener meta de Sa mayor al 92% como mínimo hasta 95%
Cánula nasal o mascarilla

22
Q

Tratamiento: Hidratación

A

Polipnea incrementa pérdidas insensibles

23
Q

Tratamiento: alimentación

A
  • Gasto metabólico basal de individuo con falla respiratoria puede gastar hasta más del 30% solo en insuficiencia respiratoria
  • Riesgo de broncoaspiración
24
Q

Tratamiento: Broncodilatadores

A

Apertura de broncoespasmo: más sencillo que las secreciones y tapones puedan ser expulsadas.
Se puede dar incluso adrenalina para romper con broncoespasmo de manera de urgencia

25
Tratamiento: esteroide
Recurso terapéutico tanto inhalado como sistémico 1-2 semanas (corto periodo de tiempo)
26
Tratamiento: Sol. hipertónica
17.7% para nebulizar al paciente. Hidratar moco por ósmosis En varios pacientes la solución hipertónica genera broncoespasmo
27
Tratamiento: antivirales
Especialmente para influenza
28
Tratamiento: Antibióticos
Solo en el caso de que exista sobreinfección bacteriana (confirmado)
29
Medidas de control de la bronquiolitis en el domicilio
30
Vacunación
Mujeres embarazadas * Se recomienda entre las semanas 32 y 36 de embarazo * La vacuna protege a los bebés durante los primeros 6 meses de vida Adultos mayores * La vacuna está dirigida a adultos mayores de 60 años, individuos con EPOC (import vacunación contra VSR!!)
31
Profilaxis pavilixumab
<2y con patología estructural o un evento de VRS con severidad