Suspeita de Neoplasia de Fígado
3 perguntas que devem ser feitas

Lesão secundária em fígado
Fontes + comuns
Neoplasia Primária em Fígado
Tipos (2)
Dê o nome da neoplasia na imagem

Cisto simples

Quando desconfiar de doença policística?
Cistos nos rins, geralmente associada a fibrose hepática; > 10 cistos;
Benigna e não evolui
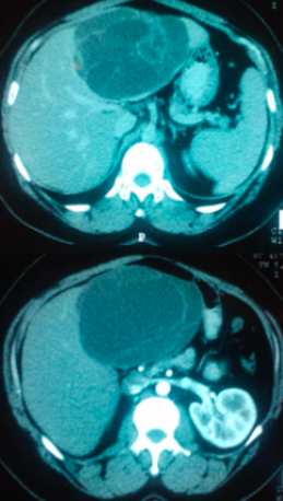
Dê o nome da neoplasia na imagem

Cistoadenoma
Exame padrão ouro
Neoplasias de fígado hipervascularizadas
Ressonância magnética
Fígado
Característica essencial do hemangioma
Circulação centrípeta com clareamento tardio

O _____ possui circulação centrípeta como característica, enquanto a hiperplasia nodular focal possui _____ _____ como característica.

Hiperplasia nodular focal (HNF)
Exame para diagnóstico
RNM com contraste hepatobiliar específico
Adenoma em Fígado
Conduta cirúrgica
Rastreio
CA de Fígado em Cirróticos
USG + dosagem de alfafetoproteina 6/6 meses
No USG: investigar se nódulo > 1 cm
Fígado
Critérios para Biópsia (3)
Child Pugh
Exames solicitados (3)

Exame utilizado para ver hipertensão portal
EDA
Fígado Cirrótico
Máximo de ressecção
> 2 segmentos, hipertensão portal, CHILD B/C, plaquetopenia, metástase: não fazer cir.
Critério de Milão (2)
Transplante se:
Tratamento Cirúrgico em Neoplasia de Fígado
Opções menos invasivas
Quimioembolização ou ablação por radiofrequência