Cardiovascular Flashcards

(208 cards)

1
Q

classification of bacterial endocarditis

A

acute
subacute

How well did you know this?
1
Not at all
2
3
4
5
Perfectly
2
Q

25 yo F w. hx IVDU - previous tx for osteomyelitis - febrile with new systolic murmur best heart at left sternal border

A

bacterial endocarditis

How well did you know this?
1
Not at all
2
3
4
5
Perfectly
3
Q

what valve do you think of w. bacterial endocarditis:
IVDU
non IVDU

A

IVDU: tricuspid
non IVDU: mitral

How well did you know this?
1
Not at all
2
3
4
5
Perfectly
4
Q

pathogen associated w. acute bacterial endocarditis and drug users:

pathogen associated w. subacute bacterial endocarditis:

A

acute/IVDU: staph aureus
subacute: strep viridans

How well did you know this?
1
Not at all
2
3
4
5
Perfectly
5
Q

duke’s criteria

A

2 major
1 major, 3 minor
5 minor

major:
cultures x 2
positive echo findings
new regurgitant murmur

minor:
risk factor
fever 100.5
immunologic signs
positive culture x 1
positive echo not meeting major criteria

How well did you know this?
1
Not at all
2
3
4
5
Perfectly
6
Q

vascular phenomena associated w. bacterial endocarditis

A

splinter hemorrhages
janeway lesions

How well did you know this?
1
Not at all
2
3
4
5
Perfectly
7
Q

immunologic phenomena associated w. bacterial endocarditis

A

osler node
roth spots

How well did you know this?
1
Not at all
2
3
4
5
Perfectly
8
Q

what does from jane stand for

A

classic signs of endocarditis:

fever
roth spots
osler nodes
murmur
janeway lesions
anemia
nail bed hemorrhage
emboli

How well did you know this?
1
Not at all
2
3
4
5
Perfectly
9
Q

what are these

A

osler nodes: ouchy nodules

How well did you know this?
1
Not at all
2
3
4
5
Perfectly
10
Q

what are these

A

janeway lesions: painless macules

How well did you know this?
1
Not at all
2
3
4
5
Perfectly
11
Q

what are these

A

splinter hemorrhages

How well did you know this?
1
Not at all
2
3
4
5
Perfectly
12
Q

what are these

A

roth spots

How well did you know this?
1
Not at all
2
3
4
5
Perfectly
13
Q

tx for bacterial endocarditis

empiric:
prosthetic valve:

A

empiric: IV vanco OR ampicillin/sulbactam PLUS aminoglycoside

prosthetic valve: add rifampin

How well did you know this?
1
Not at all
2
3
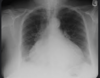
4
5
Perfectly
14
Q

prophylactic tx for bacterial endocarditis for high risk pt’s pre procedure

A

amoxicillin

How well did you know this?
1
Not at all
2
3
4
5
Perfectly
15
Q

what is this showing

A

clubbing

How well did you know this?
1
Not at all
2
3
4
5
Perfectly
16
Q

chest pain/discomfort/heaviness/ pressure/squeezing/tightness that is increased w. exertion or emotion

A

stable angina

How well did you know this?
1
Not at all
2
3
4
5
Perfectly
17
Q

stable angina is relieved w.

A

rest
nitro

How well did you know this?
1
Not at all
2
3
4
5
Perfectly
18
Q

stress test findings of stable angina

A

-reversible wall motion abnormalities
-ST depressions > 1mm

How well did you know this?
1
Not at all
2
3
4
5
Perfectly
19
Q

definitive dx for angina

A

angiography

How well did you know this?
1
Not at all
2
3
4
5
Perfectly
20
Q

tx for angina

A

bb
nitro
angioplasty
bypass

How well did you know this?
1
Not at all
2
3
4
5
Perfectly
21
Q

previously stable/predictable sx of angina that become more frequent/intense/present at rest

A

unstable angina

How well did you know this?
1
Not at all
2
3
4
5
Perfectly
22
Q

tx for unstable angina

A

-IV, O2 monitor
-nitro, morphine
-ASA, bb +/- LMWH
-stress test when stable

How well did you know this?
1
Not at all
2
3
4
5
Perfectly
23
Q

4 rf for angina

A

smoking
overweight/obese
DM
HTN

How well did you know this?
1
Not at all
2
3
4
5
Perfectly
24
Q

coronary artery vasospasms NOT associated w. clot

A

prinzmetal variant angina

How well did you know this?
1
Not at all
2
3
4
5
Perfectly
25
#1 rf for prinzmetal angina
**1. smoking** also cocaine
26
3 EKG findings of prinzmetal angina
U waves ST elevation T wave abnormalities
27
t/f: prinzmetal angina is associated w. preservation of exercise capacity
t!
28
tx for acute prinzmetal angina
-stress test w. myocardial perfusion imaging or CTA -nitro -ASA, statins, thrombolytics
29
tx for chronic prinzmetal angina
amlodipine long acting nitrates
30
what med is contraindicated for prinzmetal angina bc it may exacerbate vasospasms
bb
31
2 common complaints w. arrhythmias
SOB CP
32
atrial arrhythmias
PAC a fib a flutter PSVT: accessory pathway vs AVNR
33
extra beats from the atria
PAC
34
upper atrial chambers beat out of rhythm **multiple atria foci**
a fib
35
atria w. a single foci having **multiple p waves before a QRS**
a flutter
36
regular, fast arrhythmia btw 160-220 bpm begins/ends suddently originates in atria
PSVT
37
additional electrical conduction pathway btw 2 parts of the heart
PSVT: accessory pathway tacycardia
38
mc type of accessory pathway tachycardia
WPW
39
2 EKG findings associated w. WPW
shortened PR interval < .20 delta wave
40
mc type of PSVT
AVNR (AV nodal reentrant) tachy
41
HR associated w. AVNR
100-250 bpm
42
EKG finding of AVNR
late p waves that may be hidden w.in QRS
43
ventricular arrhythmias
PVCs v tach v fib
44
early, wide, bizarre QRS no p wave
PVCs
45
regular, fast, wide QRS structural heart disease increased risk of sudden death
v tach
46
-quivering ventricles that do not contract in a coordinated way -erratic rhythm w. no discernable waves
v fib
47
tx for narrow, tachy arrhythmias
rate control: adenosine bb ccb procainamide cardoversion
48
tx for wide, tachy arrhythmias
amiodarone cardioversion
49
45 yo M presents after MVA - conscious, responsive; chest wall ecchymosis, symmetrical breath sounds; unremarkable cardiac/abd exams - several broken ribs -placed on IV/O2/monitor - 2 hr later: tachy, hypotensive, elevated JVP, distant heart sounds, cool extremities, delayed cap refill
cardiac tamponade
50
buildup of fluid btw pericardial sac and the heart -> heart constricted
cardiac tamponade
51
classification of cardiac tamponade
acute slow onset
52
causes of acute onset cardiac tamponade: causes of slow onset cardiac tamponade:
acute: trauma, MI, aortic dissection, pericardial effusion slow onset: cancer, chronic inflammation, uremic pericarditis, hypothyroidism, connective tissue dz
53
3 d's of cardiac tamponade
distant heart sounds distended jugular veins decreased arterial pressure
54
beck's triad
hypotn muffled heart sounds elevated JVD
55
classic PE finding associated w. tamponade
pulsus paradoxus: drop 10 mmHg in SBP on inspiration narrow pulse pressure
56
EKG finding associated w. tamponade
electrical alternans: low voltage QRS's that alternate in height
57
what is this showing
water bottle/canteen shaped heart -> tamponade
58
tx for tamponade
pericardiocentesis
59
5 causes of acute CP
pericarditis ACS pulmonary embolism pneumothorax thoracic aneurysm/dissection
60
pericarditis is relieved by
sitting leaning forward
61
mc symptom of PE
dyspnea
62
best initial test for PE
spiral CT
63
3 PE findings of PTX
decreased tactile fremitus hyperresonance diminished breath sounds
64
severe, tearing, ripping, knife-like CP radiating to the back
thoracic aneurysm/dissection
65
typical work up for acute CP
ekg troponin bnp cxr cbc/cmp
66
ESR is helpful in evaluating what cause of acute CP
pericarditis
67
imaging for thoracic aneurysm
CT aortogram
68
what are the 7 conduction disorders
a fib a flutter SVT BBB v tach vfib premature beats
69
irregularly irregular rhythm with disorganized and irregular atrial activations, absence of p waves
a fib
70
regular, sawtooth pattern narrow QRS
a flutter
71
narrow complex tachycardia no discernible p waves
SVT
72
3 or more consecutive VPB's wide QRS tachyarrhythmia
v tach
73
erratic rhythm no discernable waves
v fib
74
3 types of premature beats
PVC PAC PJC
75
early wide bizarre QRS no p waves
PVC
76
abnormally shaped P wave
PAC
77
narrow QRS no p wave or inverted p wave
PJC
78
R R' in V4-V6
LBBB
79
R R' in V1-V3
RBBB
80
what is this showing
afib
81
what is this showing
a flutter
82
what is this showing
SVT
83
what is this showing
v tach
84
what is this showing
v fib
85
what is this showing
PVC
86
what is this showing
PAC
87
what are these showing
PJC
88
what is this showing
LBBB
89
what is this showing
RBBB
90
3 types of coronary heart dz
NSTEMI STEMI angina
91
troponin/CK elevation in the absence of acute ST elevation or Q waves
NSTEMI
92
NSTEMI's are _ infarcts
subendocardial *coronary artery not completely blocked*
93
what EKG findings may be present with an NSTEMI
ST depression T wave inversion
94
3 cardiac markers useful in evaluation of NSTEMI
troponin CK/CK-MB myoglobin (Mb)
95
most sensitive and specific cardiac marker
troponin
96
troponin appears at _ hr peaks at _ hr and lasts for _ days
appears: 2-4 hr peaks: 12-24 hr lasts: 7-10 days
97
CK/CK-MB appears at _ hr peaks at _ hr and normalizes w.in _ days
appears: 4-6 hr peaks: 12-24 hr normalizes: 48-72 hr
98
myoglobin appears at _ hr peaks at _ hr and normalizes w.in _ hr
appears: 1-4 hr peaks: 12 hr normalizes: 24 hr
99
tx for NSTEMI
bb nitro ASA/clopidigrel heparin ACEI statins reperfusion
100
t/f: reperfusion for NSTEMI's are less time sensitive than for STEMI's
t!
101
what cardiac markers will be elevated with a STEMI
troponin 1 OR troponin T CK
102
STEMIs are characterized by ST elevations and/or _ waves
Q waves
103
immediate tx for STEMI
ASA clopidigrel
104
CTA and reperfusion should be done w.in _ minutes of STEMI onset
90
105
_ should be done within _ hours of STEMI onset if PCI is not available
thrombolytic therapy w.in 3 hr
106
6 absolute contraindications for fibrinolytic therapy with STEMI
prior ICH structural cerebral vascular lesion malignant intracranial neoplasm ischemic stroke w.in 3 months suspected aortic dissection active bleeding/bleeding diathesis (excluding menses)
107
dyspnea on exertion should make you think of what 2 etiologies
CVD respiratory duh
108
6 cardiac causes of dyspnea on exertion
coronary heart dz CHF myocarditis pericarditis MI ACS
109
8 respiratory causes of dyspnea on exertion
asthma COPD PNA pulmonary HTN obesity/kyphosis/scoliosis ILD drugs psychogenic
110
2 drugs that cause dyspnea on exertion
MTX amiodarone
111
hematologic cause of dyspnea on exertion
anemia
112
edema should make you think of what 3 etiologies
**heart** **liver** **kidneys** *pump failure vs fluid back up* also consider: pregnancy drugs travel
113
main underlying cause of edema
Na retention
114
tx for edema (4)
reduce Na lasix compression socks elevation
115
2 meds that cause peripheral edema
CCB alpha 1 blockers (ex doxazosin)
116
4 mc causes of HF
CAD HTN MI DM
117
pathology of HF
LV remodeling -> dilation -> thinning -> mitral valve incompetence -> RV remodeling
118
sx of HF
exertional dyspnea -> dyspnea at rest chronic non productive cough fatigue paroxysmal nocturnal dyspnea night cough nocturia
119
symptom indicative of late HF
orthopnea
120
PE findings of HF (6)
cheyne stokes breathing LE edema rales (same-same crackles) S3/S4 JVP > 8 cm cold extremeties/cyanosis hepatomegaly/ascites/jaundice
121
S4 indicates _ HF
diastolic
122
S3 indicates _ HF
systolic
123
which type of HF is associated w. reduced ejection fraction
systolic
124
mechanism responsible for S3 in systolic HF
rapid ventricular refilling during early systole
125
ejection fraction is usuall normal w. _ HF
diastolic
126
3 causes of elevated BNP
advanced age renal impairment HF
127
what pt pop might have low BNP despite HF
obese
128
what is this showing
kerley lines -> CHF
129
best test to diagnose and evaluate HF
echo
130
NY HF classification
class I (<5%): no limitation of physical activity class II (10-15%): slight limitation of activity, comfortable at rest class III (20-25%): marked limitation in physical activity, comfortable at rest class IV (34-40%): discomfort prohibits physical activity, sx of HF or anginal syndrome at rest
131
tx for systolic HF (HFrEF)
ACEI bb lasix
132
tx for diastolic failure (HFpEF)
ACEI bb OR ccb
133
_ should not be used in stable chronic HFpEF (diastolic)
diuretics
134
what 2 drugs used in HF reduces preload O2
nitrates
135
what drug used in HF reduces preload
morphine
136
5 factors associated w. poor prognosis in CHF
CKD DM lower LVEF severe sx old age
137
3 types of hypertensive emergency
**emergency:** >180/120 w. impending/progressing end organ damage **urgency:** >180/120 w.o end organ damage **malignant:** DBP > 140
138
malignant HTN is associated w. what 3 sx
papilledema encephalopathy nephropathy
139
tx for the different types of HTN emergencies
**emergency:** sodium nitroprusside **urgency:** clonidine **malignant:** hydralazine
140
2 types of hypotensive emergency
hypotension cardiogenic shock
141
3 common causes of cardiogenic shock
acute MI CHF cardiac tamponade
142
5 PE findings of cardiogenic shock
SBP < 90 AMS cyanosis cool extremeties crackles
143
capillary wedge pressure > _ is indicative of cardiogenic shock
15
144
tx for cardiogenic shock (3)
fluids pressors (dopamine) treat underlying cause
145
orthostatic hypotn parameters
2-5 min after a change from supine to standing: SBP drop > 20 DBP drop > 10 pulse increase > 15
146
2 common causes of orthostatic hypotn
DM autonomic dysfxn meds
147
test if you suspect orthostatic hypotn due to DM autonomic dysfxn
tilt table
148
PE finding of orthostatic hypotn due to low blood volume
HR > 15 bpm
149
what do you think of first when you see orthopnea in the emergency setting
pulmonary edema
150
3 causes of orthopnea
cardiac pulmonary obesity
151
3 cardiac causes of orthopnea
CHF MI arrhythmias (afib)
152
3 direct causes of pulmonary orthopnea
COPD cor pulmonale pulmonary HTN
153
2 indirect causes of pulmonary orthopnea
kidney failure liver failure *backed up fluid in lungs*
154
ABG finding of orthopnea
large A-a gradient
155
pathology behind obesity related orthopnea
belly fat pushed up into the chest when lying down
156
ddx for palpitations (lots!)
anxiety lyte abnormalities hyperthyroidism ischemic heart dz stimulants meds pheochromocytoma hypoglycemia MVP afib WPW SSS PSVT
157
2 lyte abnormalities associated w. palpitations
hypokalemia hypomagnesemia
158
meds associated w. palpitations
bb ccb digoxin diuretics hydralazine minoxidil
159
64 yo f w. 5 weeks of intermittent SOB radiating from the shoulder to the chest - pain is worse w. inspiration and lying down, relieved by sitting forward - PE shows distant heart sounds - EKG shows low voltage QRS and electrical alternans
pericardial effusion
160
pericardial effusion is a complication of
pericarditis
161
PE finding of pericardial effusion
distant heart sounds
162
2 ekg findings of pericardial effusion
low voltage QRS electrical alternans
163
xray findings of pericardial effusion
water bottle heart
164
tx for pericardial effusion
pericardiocentesis
165
what is this showing
electrical alternans -> pericardial effusion
166
6 PE findings of PVD
lower extremity hair loss brittle nails pallor cyanosis claudication hypothermia ulcers
167
hallmark symptom associated w. PVD
intermittent claudication
168
ABI < _ indicates PVD
0.9
169
describe ulcers associated w. PVD (4)
pale to black well circumscribed painful lateral/distal
170
gs dx for PVD
arteriography
171
definitive tx for PVD
arterial bypass
172
pharm for PVD
antiplatelets: ASA, clopidigrel, cliostazol statins
173
transient LOC/postural tone 2/2 to acute decrease in cerebral blood flow
syncope
174
t/f: syncope is associated w. rapid recovery of consciousness w.o intervention
t!
175
2 mc cause of syncope
vasovagal idiopathic
176
red flags for syncope (6)
during exertion multiple recurrences in short time murmur/structural heart dz old age significant injury during event fam hx unexpected deat/exertional syncope
177
types of syncope (5)
vasovagal cardiac orthostatic hypotn cerebral vascular dz noncardiogenic
178
neurocardiogenic syncope is same same
vasovagal
179
3 causes of cardiac syncope (5)
AV block SSS aortic stenosis HOCM massive MI
180
3 meds that can cause syncope
bb nitrates antiarrhythmic agents
181
work up for syncope
EEG glucose pulse ox tilt table rarely imaging
182
flowchart for syncope work up
183
valvular diseases Smarty PANCE wants us to know
aortic stenosis aortic regurgitation mitral stenosis mitral regurgitation
184
harsh systolic ejection crescendo-decrescendo murmur at right USB
aortic stenosis
185
aortic stenosis murmur radiates to the _ (2) and is heard best with _ (2)
radiates: neck/apex heard best: leaning forward/expiration
186
soft, early diastolic blowing murmur along LSB
aortic regurgitation
187
aortic regurgitation murmur is best heart with the patient
leaning forward/exhaling
188
what is erb's point what murmur does it make you think of
left third intercostal space close to the sternum mitral regurgitation
189
diastolic low pitched descrescendo rumbling murmur w. opening snap heart
mitral stenosis
190
mitral stenosis murmur is heard best at _ with the pt in _ position
apex lateral decubitus
191
holosystolic high pitched blowing murmur
mitral regurgitation
192
mitral regurgitation murmur is heard best at the _ and radiates to the _
apex axilla
193
heart sound associated w. mitral regurgitation
S2
194
3 vascular dz's to know
aortic aneurysm/dissection arterial embolism/thrombosis phlebitis/thrombophlebitis
195
3 sx of aortic aneurysm
flank pain hypotn pulsatile abdominal mass
196
tx for aortic aneurysm based on size
> 5.5 cm OR expands > 0.6 cm/year: surgery > 3 cm: monitor annually > 4 cm: monitor q 6 mo
197
pharm for aortic aneurysm
bb
198
sudden onset tearing CP between scapulas diminished pulses
aortic dissection
199
what is this showing
widened mediastinum -> aortic dissection
200
2 types of aortic dissection and tx for each
-ascending OR descending w. complications: emergent surgey -descending w.o complications: bb
201
6 p's of arterial emboli
pain pallor pulselessness paresthesia paralysis poikilothermia
202
2 common causes of thrombus formation
a fib mitral stenosis
203
gs for dx of embolism/thrombosis
angiography
204
tx for acute arterial embolism
IV heparin angioplasty graft endarterectomy
205
3 common causes of phlebitis/thrombophlebitis
trauma IV/PICC lines spontaneous
206
4 sx of phlebitis/thrombophlebitis
dull pain erythema induration of vein palpable cord
207
gs dx for thrombophlebitis
duplex US
208
tx for thrombophlebitis
NSAIDs warm compress