Rosh Material Flashcards

(201 cards)

1
Q

what is this showing

A

fluid behind the retina
discrete hyperechoic retina line

retinal detachment

How well did you know this?
1
Not at all
2
3
4
5
Perfectly
2
Q

4 sx of retinal detachment

A

floaters - cobweb appearance
photopsia (flashes of light
visual field defect
hazy retina w. white folds

How well did you know this?
1
Not at all
2
3
4
5
Perfectly
3
Q

what is this visual field defect

A

retinal detachment

How well did you know this?
1
Not at all
2
3
4
5
Perfectly
4
Q

US finding: mixed granular and linear echogenicities in the posterior eye

A

posterior vitreous hemorrhage

How well did you know this?
1
Not at all
2
3
4
5
Perfectly
5
Q

US finding: granular echogenic debris in the posterior eye that swirls and settles w. eye movement

A

washing machine sign -> vitreous hemorrhage

How well did you know this?
1
Not at all
2
3
4
5
Perfectly
6
Q

tx for retinal detachment

A

stat ortho consult

How well did you know this?
1
Not at all
2
3
4
5
Perfectly
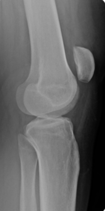
7
Q

what is this showing

A

patela alta -> patella tendon rupture

How well did you know this?
1
Not at all
2
3
4
5
Perfectly
8
Q

forced hyperflexion of DIP -> unable to extend the DIP

A

mallet finger

How well did you know this?
1
Not at all
2
3
4
5
Perfectly
9
Q

tx and complication of mallet finger

A

tx: volar splint of DIP in extension x 6-8 weeks

complication: swan neck deformity

How well did you know this?
1
Not at all
2
3
4
5
Perfectly
10
Q

branches of the common peroneal n

A

deep peroneal n
superficial peroneal n

How well did you know this?
1
Not at all
2
3
4
5
Perfectly
11
Q

damage to the common peroneal nerve happens with injury at the

A

proximal fibula (fibular head)

How well did you know this?
1
Not at all
2
3
4
5
Perfectly
12
Q

2 PE findings of damage to the common peroneal nerve

A

foot drop
numbness in web space btw 1st/2nd toes

How well did you know this?
1
Not at all
2
3
4
5
Perfectly
13
Q

sensory and motor fxn of the deep peroneal n

A

sensory: first and second toe
motor: tibialis anterior -> foot dorsiflexion/inversion, great toe extension

How well did you know this?
1
Not at all
2
3
4
5
Perfectly
14
Q

sensory and motor fxn of the superficial peroneal n

A

motor: ankle eversion
sensory: dorsum of foot

How well did you know this?
1
Not at all
2
3
4
5
Perfectly
15
Q

what nerve controls plantar flexion of the ankle

A

tibial

How well did you know this?
1
Not at all
2
3
4
5
Perfectly
16
Q

2 rf for common peroneal n injury

A

leg cast
prolonged lying

How well did you know this?
1
Not at all
2
3
4
5
Perfectly
17
Q

describe pain w. OA:
describe pain w. RA:

A

OA: worse with activity
RA: better w. activity

How well did you know this?
1
Not at all
2
3
4
5
Perfectly
18
Q

what is pathognomonic for OA

A

heberden’s nodes -> bony hard swelling of DIP

How well did you know this?
1
Not at all
2
3
4
5
Perfectly
19
Q

joints mc affected by OA

A

DIP
CMC
knees
hips

How well did you know this?
1
Not at all
2
3
4
5
Perfectly
20
Q

XR finding of periarticular bone loss

A

RA

How well did you know this?
1
Not at all
2
3
4
5
Perfectly
21
Q

2 joints mc affected w. RA

A

MCP
PIP

How well did you know this?
1
Not at all
2
3
4
5
Perfectly
22
Q

2 mc presenting sx of autoimmune hemolytic anemia

A

fatigue
pallor

How well did you know this?
1
Not at all
2
3
4
5
Perfectly
23
Q

drug mc associated w. drug induced immune hemolytic anemia

A

cephalosporins

How well did you know this?
1
Not at all
2
3
4
5
Perfectly
24
Q

two types of autoimmune hemolytic anemia, including abs type

A

warm: IgG
cold: IgM

How well did you know this?
1
Not at all
2
3
4
5
Perfectly
25
tx for warm autoimmune hemolytic anemia (3)
steroids immunosuppression splenectomy
26
tx for cold autoimmune hemolytic anemia (3)
warm pt immunosuppression plasmapharesis
27
"sniffing position" (jaw thurst forward) sore throat fever stridor
epiglottitis
28
order of tx for thyroid storm
1. bb 2. methimazole 3. 1 month later: radioiodine vs surgery
29
characteristics of histrionic pd
**praise me:** provocative behavior relationsips considered more intimate attention influenced easily speech - impressionistic emotions - rapidly shifting make up exaggerated emotions
30
unstable mood/relationships impulsivity self harm/suicidality splitting
borderline pd
31
primary immune thrombocytopenia is same same
idiopathic thrombocytopenic purpura
32
sx of primary immune thrombocytopenia (aka ITP)
petechiae gingival bleeding epistaxis menorrhagia GI bleed ICH
33
mc rf for immune thrombocytopenia
viral infxn
34
what is this showing
**bent inner tube:** sigmoid volvulus
35
tx for for sigmoid volvulus
sigmoidoscopy -> decompress +/- surgery
36
3 rf for sigmoid volvulus
advanced age bedbound chronic constipation
37
what type of volvulus is more common in young people
colonic volvulus
38
holosystolic murmur w. radiation to the axilla loud/blowing
chronic mitral regurgitation
39
mid-systolic click followed by mid-late dystolic murmur
MVP
40
harsh midsystolic murmur best heard at apex radiates to the base
acute mitral regurgitation
41
acute mitral regurg radiates to the: chronic mitral regurg radiates to the:
acute: base chronic: axilla
42
8 drugs that cause serotonin syndrome
SSRIs/SNRIs MAOIs TCAs tramadol lithium linezolid triptans dextromethorphan
43
triad of serotonin syndrome
cognitive: AMS autonomic: htn, tachy neuromuscular: hyperreflexia, myoclonus
44
tx for serotonin syndrome (3)
supportive: hydration/coolin benzos cyprohepatadine
45
2 relative contraindications for triptans
uncontrolled HTN CVD
46
what is this showing
a flutter
47
tx for rate control of rapid a flutter in stable pt (2)
non dihydropyridine CCB bb
48
5 rf for a flutter
COPD PE thyrotoxicosis mitral valve dz etoh
49
two types of priaprism which is associated w. pain
low flow: painful high flow: painless
50
tx for low flow vs high flow priaprism
low flow: emergency -> aspiration, intracavernous phenylephrine high flow: obs vs arterial embolization +/- aspiration at 2 or 10 o'clock
51
2 rf for low flow priaprism
SSA ED meds, CCB, trazodone
52
what is this showing what is the tx
afib w. RVR bb vs ccb
53
tx for afib w. rvr if sx persist past 48 hr
1. anticoagulate x 21 days 2. cardioversion
54
order of tx for acute gout
1. naproxen and ice 2. prednisone 3. triamcinolone injxn 4. arthrocentesis 5. colchicine
55
3 urate lower drugs used for gout prevention
allopurinol probenecid pegloticase
56
order of management for anterior epistaxis (5)
1. direct pressure leaning forward 2. oxymetazoline vs phenylephrine 3. silver nitrate only if vessel is visualized 4. silver nitrate cautery 5. packing w. 48 hr f/u
57
what is this showing
2nd degree type 1 - wenckebach/mobitz 1
58
how might wenckebach be described in words
grouped beating
59
notched p wave
left atrial enlargement
60
classic presentation of hyperosmolar hyperglycemic state (HHS) (2)
critical signs of dehydration decreased consciousness
61
pathway of HHS
1. decreased renal clearance 2. hyperglycemia/decreased insulin sensitivity 4. hyperosmolar state 5. fluid shifts intracellular -> extracellular +/- ketosis
62
3 hallmark findings of HHS
BG > 600 pH < 7.3 negative ketones (can be mildly elevated)
63
tx for HHS
isotonic fluids IV insulin lytes monitoring
64
4 drugs associated w. SJS
sulfas antiepileptics allopurinol NSAIDs
65
pathogen associated w. SJS
mycoplasma
66
3 disorders associated w. positive nikolsky sign
SJS/TEN pemphigus vulgaris staph scalded skin syndrome
67
hall mark finding of neisseria gonorrhea conjunctivitis
hyperpurulent discharge
68
management of neisseria gonorrhea in newborn
admit single dose ceftriaxone IV/IM PLUS cefotaxime
69
mc cause of neonatal chemical conjunctivitis
erythromycin
70
what conjunctivitis in newborns is assocaited w. minimal eyelid swelling
chlamydia
71
complication of gonorrhea vs chlamydia conjunctivitis
gonorrhea: corneal rupture, vision loss chlamydia: PNA
72
management of adrenal crisis (2)
crystalloid fluids hydrocortisone
73
hallmark lab findings of adrenal crisis (2)
hyponatremia hyperkalemia
74
postpartum pituitary necrosis
sheehan syndrome
75
management of acute closed angle glaucoma
1. topical timolol 2. apraclonidine 3. pilocarpine 4. acetazolamide 5. iridotomy
76
what is this showing
fixed, dilated pupil hazy cornea **acute closed angle glaucoma**
77
anterior cord syndrome symptoms
loss of motor fxn below lesion loss of pain/temp below lesion preservation of position/vibratory fxn
78
sx of central cord syndrome
loss of senosory AND motor deficit UE > LE
79
anterior cord syndrome is mc caused by what type of injury
flesion injury
80
anti-D immuen globulin must be administered w.in _ hr to be effective
72
81
pathway of Rh incompatability: first pregnancy/second pregnancy
**first pregnancy:** -dad: Rh+ -mom: Rh- -fetus Rh+ **second pregnancy:** -mom: Rh- -> produces Rh abs -fetus: Rh+ -> hemolytic dz of newborn -> hydrops fetalis
82
5 sensitizing events for Rh incompatability
-any type of abortion or intrauterine fetal death -trauma -amniocentesis -delivery of Rh+ baby -ectopic pregnancy
83
steps in thrombosed external hemorrhoid excision
1. anesthesize 2. make an elliptical incision 3. remove
84
management of COPD exacerbation
1. SABA 2. ipratropium 3. prednisone 4. NPPV 5. macrolide vs doxy 6. vaccinations
85
2 indications for abx w. COPD exacerbation
1. mechanical ventilation 2. acute worsening of at least 2 cardinal sx (coughing, sputum, dyspnea etc)
86
SpO2 goal for supplemental O2 in COPD exacerbation
88-92%
87
management of von willebrand dz
1. minor bleeding: desmopressin 2. worse bleeding: desmopressing -> activates release ov von Willebrand factor 3. severe bleedig: cryoprecipitate (von Willebrand factor recombinant)
88
labs in von Willebrand
elevated: aPTT normal: platelets, PT
89
2 hallmark signs of von Willebrand dz
mucosal bleeding postpartum bleeding
90
painful, inflamed mass in midline superior natal cleft, no surrounding erythema
pilonidal cyst/abscess
91
managemet of pilonidial abscess
1. I&D w. outpt surgery f/u 2. abx if cellulitis *do not pack the incision*
92
what malignancy is hashimoto a rf for
non-hodgkin lymphoma
93
2 characteristic findings of benzo toxicity
coma/CNS dpn w. normal vitals midposition pupils
94
t/f: benzos affect pupil size
f!!
95
management of cellulitis: simple vs MRSA
simple: keflex, amoxicillin, dicloxacillin MRSA: bactrim, doxy, clinda
96
tx for RSV: nonsevere vs severe
nonsevere: nasal suctioning, hydration severe: SABA, high flow nasal cannula, CPAP, intubation
97
3 hallmark PE findings of RSV
tachypnea polyphonic wheezing rales
98
what spider bite mimics a surgical abdomen
black widow
99
management of black widow bite
1. opioids, benzos 2. antivenom if severe
100
lab findings of DIC
low: platelets, fibrinogen elevated: aPTT, PT, ddimer, fibrin complexes, thrombin clotting time
101
mc cause of DIC
infxn
102
nerve mc injured in shoulder dislocations
axillary
103
XR findings of anterior shoulder dislocation
humeral head displaced inferiorly and medially
104
diffuse ST elevation w. reciprocal ST depression in aVR and V1
acute pericarditis
105
types of thyroiditis and tx for each
-hashimoto: levothyroxine -postpartum: propranolol (hyper) vs levothyroxine (hypo) -subacute (deQuervain): high dose ASA/NSAID -infectious: admit, abx, I&D
106
what is this showing what is the tx
multifocal atrial tachy: at least 3 different p wave morphologies, rate 100-180, irregular tx: supportive, CCB if e/o end organ damage
107
2 rf for multifocal atrial tachy
old COPD
108
first line pressor for septic shock
norepinephrine
109
what is this showing
large IVC diameter **plethoric inferior vena cava**
110
what is this showing
**HOCM:** left axis deviation p wave abnmormalities abnormal q waves in inferior/lateral leads
111
t/f: hypoxia is uncommon w. croup
t!
112
tx for severe RSV (2)
steroids racemic epi
113
mcc of acute urinary retention in men
bph
114
sx of bph
**hi fun** hesitancy intermittence, incontinence frequency, fullness urgency nocturia
115
management of acute urinary retention due to bph
urethral catheter
116
brachial plexus
**C5-T1** **C5-C7:** musculocutaneous -> BBC (biceps, brachialis, coracobrachialis -> forearm flexion/supination **C5-C6:** axillary -> deltoid, teres minor -> shoulder abduction **C5-T1:** radial -> triceps, extensor carpi radialis and ulnaris, supinator, extensor pollicis -> arm extension, supination, thumb abduction **C5-T1**: median -> flexor carpi radialis, palmaris longus, pronator quadratus, pronator teres, digital flexors -> thumb flexion of digits 2/3, wrist flesion/abduction, forearm pronation **C8-T1:** ulnar -> flexor carpi ulnaris, flexor digitorum profundus, abductor policis, small digital muscles -> finger adduction/abduction besides thumb, thuumb abduction, flexion of digits 4/5, wrist flexion and adduction
117
what does abof the law stand for
all intrinsic hand muscles are innervated by the **ulnar nerve** except: abof **median nerve:** abductor pollicis brevis flexor pollicis brevis opponens policis lateral lumbricals
118
what brachial plexus nerve root injury is mc with hyperextension
T1
119
tx for balanitis
topical clotrimazole
120
what is this showing
second degree heart block type II mobitz
121
what is this showing
WPW -> procainamide
122
5 clues to bacterial source of gastroenteritis
diarrheal onset high stool frequency fever > 40 grossly bloody stools severe abd pain
123
what is this showing
-bases of all metatarsals dislocated laterally -metatarsal fx **lisfranc fx**
124
pathognomonic for lisfranc fx
ecchymosis on plantar surface of foot
125
severe pain in midfoot inability to bear wt
lisfranc fx
126
what is this showing
lisfranc fx
127
mc GI ulcer
duodenal -> mcc of UGI bleeding
128
name 3 P2Y12 inhibitors
clopidogrel prasugrel ticagrelor
129
where are the majority of anal fissures located
posterior midline
130
primary anal fissure location and causes
location: posterior midline causes: trauma, constipation, diarrhea, vaginal deivery, anal intercourse
131
secondary anal fissure location and causes
location: lateral causes: crohn's, granulomatous dz, malignancy, communicable dz
132
if anal fissure is located _, search for pathologic etiologies
laterally
133
first line tx for scabies for all pt's
topical permethrin 5% nursing home: consider oral ivermectin
134
damage to which nerve is most likely
radial
135
complication of mid shaft humerus fx
**radial n palsy (wrist drop):** loss of finger/wrist/thumb extension
136
acute angle closure glaucoma is caused by
obstruction of aqueous humor outflow
137
reactivation TB appears where on CXR (2)
**apical upper lobe** superior lower lobe
138
gs dx for TB
culture for AFB
139
COPD causes respiratory _
acidosis
140
hyperventilation causes respiratory _
alkalosis
141
mc affected vessel in eschemic stroke
MCA
142
typical sx of mca ischemic stroke
**upper extremity and face** contralateral hemiparesis facial weakness/sensory loss aphasia
143
sx of aca stroke
**lower extremities** apraxia contralateral paralysis
144
pca/VBI stroke sx
loc n/v CN dysfxn ataxia visual agnosia
145
pathology of myasthenia gravis
autoimmune destruction of Ach receptors on the postsynaptic membrane
146
triad of MG
ptosis diplopia blurred vision
147
initial tx for MG
pyridostigmine later: plasma exchange vs IVIG
148
MG is associated w. what 3 conditions
thymoma thyroid dz other autoimmune d.o
149
2 first line meds for cardiogenic shock
dobutamine -> inotropic norepinephrine -> vasopressor
150
mcc of cardiogenic shock
MI
151
ottawa foot/ankle rules
can not bear weight for 4 steps ttp of **distal** 6 cm of tib or fib medial or lateral malleolus ttp ttp of 5th metatarsal ttp of navicular bone
152
walking PNA is caused by
mycoplasma pneumoniae
153
walking pna is an _ respiratory illness with cough
subacute
154
hallmark sx of atypical pna
retrosternal cp
155
cxr findings of atypical pna
patchy infiltrates
156
tx for atypical pna
macrolides vs respiratory fluoroquinolones
157
atypical pna pathogens plus hx clues
**mycoplasma:** young **legionella:** smokers, aerolized droplets, GI sx, hyponatremia **chlamydophila:** close quarters, young, follows pharyngitis **coxiella burnetti:** livestock exposure, elevated LFTs **chlamydophilia psittaci:** bird exposure, hyperpyrexia, severe. HA
158
tx for ALL cases of hemophilia a and b regarding the severity
repletion of deficient factor
159
which hemophilia is christmas tree dz
b
160
hemophilias are _ linked recessive
x
161
factors associated w. hemophilia a and b
a: VIII b: IX -> christmas tree dz
162
tx for low risk vs high risk TIA based on ABCD2
low risk: score (< 4) -> ASA alone high risk: (>/=4) -> ASA + clopidogrel
163
which maneuvers move the midsystolic click of MVP later into systolic phase
**increasing prelead or afterload:** -squatting -handgrip
164
midsystolic click late systolic murmur
MVP
165
MVP murmur is increased w. _ and decreased w. _
increased: decreased preload decreased: increased preload
166
3 types of definitive airway
orotracheal tube nasotracheal tube surgical airway
167
3 cardiomyopathie
dilated hypertrophic restrictive
168
dilation and impaired contraction of one or both ventricles
dilated cardiomyopaty
169
walls of ventricles are stiff but not thickened impaired diastolic filling preserved dystolic fxn
restrictive cardiomyopathy
170
S3 gallop is associated w. which cardiomyopathy
dilated
171
mc cardiomyopathy
dilated
172
2 mcc of dilated cardiomyopathy
1. idiopathic 2. AUD
173
mc rf for placental abruption
htn
174
lab finding of placental abruption
hypofibrinogenemia
175
what is this showing
blood in suprasellar cistern blood in sylvian fissure blood in COW **subarachnoid hemorrhage**
176
2 hallmark LP finding of SAH
-first and last tubes have significant amt of RBCs -xanthochromia
177
very large difference in RBC numbers with much higher amt in first tube
traumatic tap
178
papillary muscle rupture mc occurs w. which type of MI
inferior
179
hallmark finding of papillary muscle rupture
sudden development of mitral regurgitatoin 3-5 days after inferior MI
180
tenderness at posterolateral pole of the testicle
epididymitis
181
dx for epididymitis
UA -> pyuria US -> hyperemia
182
tx for epididymitis: low risk: high risk:
low risk sexual behavior: fluoroquinolone high risk sexual behavior: ceftriaxone/fluoroquinolone
183
mcc of AOM tx for AOM
mcc: strep pneumo tx: amoxicillin
184
mc US finding of ovarian torsion
ovarian enlargement
185
-abrupt onset of pain that radiates interscapular -stroke mimic
aortic dissection
186
gs dx for aortic dissection
CTA
187
two types of aortic dissection
stanford a: ascending aorta stanford b: descending aorta
188
which type of aortic dissection is a surgical emergency
stanford a -> ascending
189
management of aortic dissection
1. aggressive bp control -> IV esmolol 2. reduce HR < 60 3. nitroprusside 4. pain control
190
4 rf for aortic dissection
old male HTN marfan
191
2 PE finding of aortic dissection
asymmetric pulses SBP difference > 20
192
bounding water hammer peripheral pulse
aortic regurgitation
193
what is de musset sign
head bobbing w. systole -> aortic regurgitation
194
what is quincke pulse
prominent nail pulsations
195
austin flint murmur
mid diastolic murmur -> sevre aortic regurgitation
196
what is duroziez sign
systolic or diastolic thrill or murmur heard over femoral arteries
197
hyperdynamic apical pulse displaced to the left
aortic regurgitation
198
5 PE findings of aortic regurgitation
bounding water hammer pulse de musset sign quincke pulse hyperdynamic apical pulse diastolic blowing murmur along LSB
199
bp management for pt presenting w. acute hypertensive emergency w. acute pulmonary edema
nitrates
200
bp control for aortic dissection
esmolol
201
bp management for hypertensive encephalopathy, ischemic stroke, AKI
nicardipine