Cardiovascular Flashcards

(73 cards)

1
Q

leading cause of mitral valve stenosis and valve replacement in adults in the US

A

rheumatic fever

How well did you know this?
1
Not at all
2
3
4
5
Perfectly
2
Q

rheumatic fever develops in peds following what infxn

A

pharyngitis w. group A beta-hemolytic strep

How well did you know this?
1
Not at all
2
3
4
5
Perfectly
3
Q

most important virulence factor for GAS in humans

A

M protein

How well did you know this?
1
Not at all
2
3
4
5
Perfectly
4
Q

_ abs against the streptococcal infection may cross react with heart tissue

A

anti M abs

How well did you know this?
1
Not at all
2
3
4
5
Perfectly
5
Q

age group mc affected by rheumatic fever

A

5-15

How well did you know this?
1
Not at all
2
3
4
5
Perfectly
6
Q

major jones criteria

A

jones
joint pain (polyarthritis)
(o) carditis
nodules (subcutaneous)
erythema marginatum
sydenham’s chorea

How well did you know this?
1
Not at all
2
3
4
5
Perfectly
7
Q

minor jones criteria (5)

A

arthralgia
elevated ESR or CRP
fever
prolonged PR
leukocytosis

How well did you know this?
1
Not at all
2
3
4
5
Perfectly
8
Q

pt w. rheumatic fever may develop what arrhythmia

A

afib

How well did you know this?
1
Not at all
2
3
4
5
Perfectly
9
Q

tx for rheumatic fever

A

pcn
asa

How well did you know this?
1
Not at all
2
3
4
5
Perfectly
10
Q

7 pediatric heart defects to know

A

ASD
coarctation of the aorta
HOCM
kawasaki dz
PDA
TOF
VSD

How well did you know this?
1
Not at all
2
3
4
5
Perfectly
11
Q

-hyperdynamic precordium w. prominent right ventricular heave
-grade III/IV systolic ejection murmur in 2nd left ICS w. early to mid systolic rumble and split S2

A

ASD

How well did you know this?
1
Not at all
2
3
4
5
Perfectly
12
Q

ASD is caused by a patent

A

foramen ovale

How well did you know this?
1
Not at all
2
3
4
5
Perfectly
13
Q

what diagnosis makes you think ASD in a kiddo

A

failure to thrive

How well did you know this?
1
Not at all
2
3
4
5
Perfectly
14
Q

is ASD cyanotic

A

no!

How well did you know this?
1
Not at all
2
3
4
5
Perfectly
15
Q

gs dx for ASD

A

passing a catheter thru the defect

How well did you know this?
1
Not at all
2
3
4
5
Perfectly
16
Q

tx for ASD (4)

A

diuretics
ACEI
digoxin
surgical closure

How well did you know this?
1
Not at all
2
3
4
5
Perfectly
17
Q

wide, fixed, split S2
systolic ejection murmur at 2nd ICS
early to mid systolic rumble

A

ASD

How well did you know this?
1
Not at all
2
3
4
5
Perfectly
18
Q

8 yo M who tires easily and c/o leg weakness - PE is mostly normal but LE are slightly atrophic and mottled - he also has weak/delayed femoral pulses - he has a late systolic ejection murmur

A

coarctation of the aorta

How well did you know this?
1
Not at all
2
3
4
5
Perfectly
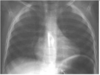
19
Q

what is this showing

A

figure of 3 sign -> coarctation of the aorta

How well did you know this?
1
Not at all
2
3
4
5
Perfectly
20
Q

t/f: coarctation of the aorta is NON cyanotic

A

t!

How well did you know this?
1
Not at all
2
3
4
5
Perfectly
21
Q

what pt pop makes you think of coarctation of the aorta

A

teens/twenties w. HTN

How well did you know this?
1
Not at all
2
3
4
5
Perfectly
22
Q

hallmark finding of coarctation of the aorta

A

elevated BPin arms
low BP in legs

How well did you know this?
1
Not at all
2
3
4
5
Perfectly
23
Q

ejection murmur in aortic area and LSB that radiates to the left axilla and left back

A

coarctation of the aorta

How well did you know this?
1
Not at all
2
3
4
5
Perfectly
24
Q

what malformation is seen in 50% of coarctation pt’s

A

bicuspid valve

How well did you know this?
1
Not at all
2
3
4
5
Perfectly
25
coarctation increases the risk for
berry aneurysm
26
dx for coarctation of the aorta
1. echo 2. EKG 3. CXR
27
what is this showing
figure of 3 sign -> **rib notching -> coarctation of the aorta**
28
EKG finding of coarctation of the aorta
LVH
29
tx for coarctation of the aorta
prostaglandins E1 **surgical repair w. balloon dilation**
30
HOCM is a _ genetic condition
autosomal dominant
31
25 yo F presents w. syncopal episode and loss of consciousness x 3 over the past year, each occurring just after PA - normal vitals - systolic ejection murmur heard best at LSB
HOCM
32
the HOCM murmur increases w. _ (2) and decreases w. _
increaes: standing, valsalva decreases: squatting
33
EKG finding of HOCM (2)
diffused increased QRS voltage LVH
34
3 sx of HOCM
SOB CP syncope after exertion
35
what heart sound is associated w. HOCM
S4
36
the HOCM murmur increases in intensity w. any maneuver that
decreases preload
37
tx for HOCM
bb + disopyramide CCB
38
_ should be avoided in HOCM tx
diuretics (decrease preload)
39
5 yo presents to ED w. 5 days of fevers, morbilliform rash, bilat conjunctivitis, bright red tongue, and swollen hands/feet
kawasaki dz
40
4 lab elevations associated w. kawasaki dz
ESR CRP WBC PLT +/- LFTs
41
kawasaki is autoimmune destruction of the
arteries -> vasculitis
42
hallmark first sign of kawasaki
persistent fever in kids < 5 yo
43
what does crash and burn fever make you think of
**kawasaki dz:** conjunctival injxn (spares limbus, non purulent) rash (all body, desquamating) adenopathy (cervical, assymetric, nontender) strawberry tongue/red cracked lips hand/foot rash burn: fever >/= 5 days unresponsive to antipyretics
44
25% of kawasaki dz pt's have what sequelae (3)
coronary artery aneurysm myocarditis MI
45
dx criteria for kawasaki dz
4/5 of CRASH PLUS high fever >/= 5 days
46
definitive dx for kawasaki dz
vasculitis in coronary arteries
47
all pt's w. suspected kawasaki should get
echo: at time of dx 2-6 weeks later
48
tx for kawasaki
IVIG asa *to reduce risk of cardiac complications* self limited in 6-8 weeks regardless of tx
49
2 week old infant w. PMH prematurity presents w. pink torso and UE plus blue LE
PDA
50
murmur associated w. PDA
rough, continuous machinery heard over LSB at 2nd ICS
51
sx of PDA
tachypnea diaphoresis poor feeding no weight gain **in 3-6 mo old**
52
2 PE findings of PDA
bounding pulses widened pulse pressure
53
what substance keeps ductus arteriosus patent
prostaglandin e2 (alprostadil)
54
tx for PDA
NSAIDs/indomethacin (blocks PG e2 -> closes PDA)
55
transient loss of consciousness/postural tone 2/2 to acute decrease in cerebral blood low w. rapid recovery
syncope
56
2 mcc of syncope
**vasovagal** idiopathic
57
6 red flags w. syncope
during exertion multiple recurrences in short time murmur/structural heart dz old age significant injury during event fam hx undexpected death
58
5 types of syncope
vasovagal cardiac orthostatic cerebral vascular dz noncardiogenic
59
cardiac syncope is associated w.
arrhythmia
60
defect in vasomotor reflexes
orthostatic hypotn
61
orthostatic hypotn is common in what pt pops (3)
elderly diabetics taking diuretics/vasodilating meds
62
workup for syncope (5)
ECG glucose pulse ox echo tilt table
63
2 week old infant w. sudden loss of consciousness during feeding - lips are cyanotic - hypotensive
TOF
64
grade 3/6, holosystolic, harsh, decrescendo/crescendo ejection murmur heard best at left left USD
TOF
65
what is this showing
small, boot shaped heart -> **TOF**
66
hallmark symptom of TOF
**tet spell**: cyanosis and loss of consciousness w. crying
67
what does PROV stand for
4 features of TOF: pulmonary stenosis right ventricular hypertrophy overriding aorta ventricular septal defect
68
TOF murmur radiates to the
back
69
4 yo M who is easily fatigued - has loud, harsh, holosystolic murmur at left lower sternal border w. NO radiation to the axillae
ventricular septal defect
70
mc pathologic murmur in peds
ventricular septal defect
71
complication of VSD
pulmonary HTN
72
t/f: VSD is cyanotic
f!
73
t/f: small-med VSD's may self resolve
t! *most close by 6 yo*