ENT Flashcards

(100 cards)

1
Q

AOM is mc caused by

A

1. strep pneumo
2. h. flu
3. m. cat

How well did you know this?
1
Not at all
2
3
4
5
Perfectly
2
Q

classification of AOM

A

acute: < 3 weeks
chronic: > 3 mos
recurrent: 3 episodes x 6 mos OR 4 w.o clearing in between
chronic: > 3 mos of serous fluid in middle ear w.o s/sxof infxn

How well did you know this?
1
Not at all
2
3
4
5
Perfectly
3
Q

do you use abx for chronic AOM

A

no!

How well did you know this?
1
Not at all
2
3
4
5
Perfectly
4
Q

2 key findings of AOM

A

bulging of TM
limited mobility of the TM

How well did you know this?
1
Not at all
2
3
4
5
Perfectly
5
Q

1st line tx for AOM

A

amoxicillin
vs
augmentin
vs
cephalosporin

< 2 yo: 10 days
> 2 yo: 5-7 days

How well did you know this?
1
Not at all
2
3
4
5
Perfectly
6
Q

tx for AOM if pcn allergy

A

macrolide

How well did you know this?
1
Not at all
2
3
4
5
Perfectly
7
Q

2 complications of AOM

A

mastoiditis
bullous myringitis

How well did you know this?
1
Not at all
2
3
4
5
Perfectly
8
Q

mcc of acute pharyngotonsillitis

A

adenovirus

How well did you know this?
1
Not at all
2
3
4
5
Perfectly
9
Q

EBV triad

A

fever
sore throat
LAD

How well did you know this?
1
Not at all
2
3
4
5
Perfectly
10
Q

recent sexual encounter + non resolving pharyngitis

A

gonorrhea pharyngitis

How well did you know this?
1
Not at all
2
3
4
5
Perfectly
11
Q

consider _ pharyngitis in pt’s using ICS

A

fungal

How well did you know this?
1
Not at all
2
3
4
5
Perfectly
12
Q

centor criteria

A

absence of cough
exudates
fever > 100.4
cervical LAD

2-3 = rapid strep
4 = empiric tx

How well did you know this?
1
Not at all
2
3
4
5
Perfectly
13
Q

what 3 sx are NOT suggestive of strep pharyngitis

A

coryza
cough
hoarseness

How well did you know this?
1
Not at all
2
3
4
5
Perfectly
14
Q

gs dx for strep pharyngitis

A

throat culture

How well did you know this?
1
Not at all
2
3
4
5
Perfectly
15
Q

gs tx for strep pharyngitis

A

pcn

pcn allergy: azithromycin

How well did you know this?
1
Not at all
2
3
4
5
Perfectly
16
Q

2 complications of strep pharyngitis

A

rheumatic fever
psgn

How well did you know this?
1
Not at all
2
3
4
5
Perfectly
17
Q

for EBV, how long do pt’s need to avoid contact sports

A

3 weeks from symptom onset
strenuous sports: 4 weeks

How well did you know this?
1
Not at all
2
3
4
5
Perfectly
18
Q

tx for gonorrhea pharyngitis

A

IM ceftriaxone
PLUS
azithromycin

How well did you know this?
1
Not at all
2
3
4
5
Perfectly
19
Q

what is this showing

A

edematous, bluish nasal mucosa ->
allergic rihinitis

How well did you know this?
1
Not at all
2
3
4
5
Perfectly
20
Q

what are these showing

A

transverse nasal crease
allergic shiners

allergic rhinitis

How well did you know this?
1
Not at all
2
3
4
5
Perfectly
21
Q

allergic rhinitis is _ mediated mast cell _ release

A

IgE
histamine

How well did you know this?
1
Not at all
2
3
4
5
Perfectly
22
Q

what is rhinitis medicamentosa

A

rebound congestion from using intranasal decongestants > 3-5 days

How well did you know this?
1
Not at all
2
3
4
5
Perfectly
23
Q

mc cause of viral and bacterial conjunctivitis

A

viral: adenovirus
bacterial: s.aureus, strep pneumo

How well did you know this?
1
Not at all
2
3
4
5
Perfectly
24
Q

what pathogens do you think of when you see copious, purulent conjunctival discharge not responsive to conventional tx

A

m cat
gonococcal

How well did you know this?
1
Not at all
2
3
4
5
Perfectly
25
-giemsa stain -inclusion body -scant mucopurulent conjunctival discharge
chlamydia (newborn) conjunctivitis
26
tx for bacterial conjunctivitis
in order: 1. gentamicin/tobramycin (tobrex) 2. erythromycin (e-mycin) 3. trimethoprim and polymixin b (polytrim) 4. cipro (clioxan)
27
pathogen and tx for conjunctivitis in contact lens wearer
pseudomonas fluoroquinolone drops (ciloxan)
28
tx for neisseria conjunctivitis
referral topical + systemic abx
29
tx for chlamydia conjunctivitis
-systemic tetracycline vs erythromycin x 3 weeks PLUS abx drops -asses for STI/child abuse
30
tx for viral conjunctivitis
eye lavage w. NS x 7-14 days antihistamine drops warm/cool compress
31
tx for allergic conjunctivitis
**systemic vs topical antihistamines or mast cell stabilizers:** **azelastine (optivar)** epinastine (elestat) emedastine difumarate (emadine) levocabastine (livostin)
32
stridor, restless, cough, dyspnea, fever, dysphagia, drooling, tripod/sniffing dog posture, neck extended
epiglottitis
33
3 d's of epiglottitis
dysphagia drooling distress - respiratory
34
mcc of epiglottitis
Hib
35
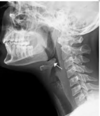
what is this showing
thumbprint sign -> **epiglottitis**
36
abx for epiglottitis
ceftriaxone
37
mc site for anterior nosebleed
kesselbach's plexus (little's area)
38
kesselbach's plexus includes (4)
anterior ethmoid a superior laial a sphenopalatine a greater palatine a
39
mc location for posterior nosebleeds
woodruff's plexus
40
woodruff's plexus includes _ artery
sphenopalatine a
41
most nosebleeds are anterior and respond to
**1. direct pressure x 10-15 min seated/leaning forward** 2. decongestants: afrin, phenylephrine, cocaine? 3. petroleum jelly or abx ointment inside the nostril bid x 4-5 days
42
all pt's who get nasal packing for epistaxis must be treated with _ to prevent _
cephalosporin toxic shock syndrome
43
t/f: pt w. anterior nasal packing for epistaxis must return to the clinic to have it removed
t!
44
management of pt who needs posterior balloon packing for epistaxis
consult admit
45
you must rule out what 2 conditions in a pt w. recurrent epistaxis
htn hypercoagulable d.o
46
classifications of hearing loss
conductive sensorineural mixed
47
for the weber test, sound lateralizes to the affected ear in _ hearing loss and to the unaffected ear in _ hearing loss
affected: conductive unaffected: sensorineural
48
for the rinne test: BC > AC = AC > BC =
BC > AC: conductive AC > BC: sensorineural
49
mcc of conductive hearling loss
otitis media
50
trick to remember weber and rinne results
we**b**er: hear in **b**ad ear rinne: BC > AC (think rhino = bone)
51
mcc of sensorineural hearing loss
presbycusis
52
gradual, symmetric hearing loss associated w. aging
prebycusis
53
moi for presbycusis
degeneration of sensory cells and nerve fibers at the base of the cochlea
54
8 causes of sensorineural hearing loss
**presbycusis** noise infxn drugs congenital meniere CNS lesions
55
8 causes of conductive hearing loss
**cerumen impaction** **otitis media** otitis externa exotoses TM perforation otosclcerosis neoplasms
56
what are exotoses
bony outgrowths of external auditory canal caused by exposure to cold water - "surfers ear"
57
what is this showing
anterior/inferior displacement of the auricle -> **mastoiditis**
58
mastoiditis is a complication of
acute otitis media
59
5 pathogens associated w. mastoiditis
strep pneumo h.flu m.cat s. aureus s.pyogenes
60
dx for mastoiditis
CT w. contrast
61
tx for mastoiditis
ceftriaxone
62
10 month old boy w. friable white plaques on the tongue that bleed when scraped
oral thrush
63
what is this showing
oral thrush
64
oral thrush is caused by what fungus
candida albicans
65
white plaques that bleed when scraped
oral thrush
66
dx and tx for oral thrush
dx: KOH smear -> budding yeast and pseudohyphae tx: nystatin vs oral fluconazole
67
what is this showing
orbital cellulitis
68
proptosis, pain w. eye movements, inability to adduct or abduct the eye
orbital cellulitis
69
periorbital cellulitis is infxn of the _ orbital cellulitis is infxn of the _
periorbital: skin orbital: muscles and fat behind the eye
70
orbital cellulitis can be a complication of
sinusitis
71
_ is a rare symptom of orbital cellulitis
decreased vision
72
PE exam of suspected orbital cellulitis should focus on
assessment of extraocular movements
73
tx for orbital cellulitis
admit vancomycin
74
what is this showing
otitis externa - swimmers ear
75
what 2 actions increase pain w. otitis externa
movement of the tragus eating
76
what discharge is associataed w. otitis externa
cheesy white
77
rinne testing suggestive of otitis externa
BC > AC
78
pathogens associated w. otitis externa: simmer's ear vs digital trauma
swimmers: pseudomonas digital trauma: s.aureus
79
what pt pop does malignant otitis externa make you think of
diabetics
80
tx for otitis externa
abx drops: aminoglycosides vs fluoroquinolones +/- steroids
81
tx for otitis externa if perforated TM
cipro drops PLUS dexamethasone drops
82
tx for malignant otitis externa
admit IV abx
83
what pathogen is associated w. malignant otitis externa
aspergillus
84
pruritis, weeping pain, hearing loss, swollen, moist appearance
fungal otitis externa: aspergillus vs candida
85
tx for fungal otitis externa
2% acetic drops clotrimazole drops oral itraconazole
86
fever hot potato voice trismus
peritonsillar abscess
87
what is this showing
peritonsillar abscess
88
peritonsillar abscess is mc caused by
strep pyogenes
89
tx for peritonsillar abscess (3)
aspiration I&D IV abx +/- tonsillectomy
90
abx for peritonsillar abscess (3)
amoxicillin augmentin clindamycin
91
strabismus is defined as
any form of ocular misalignment
92
what is this showing
out-turning of eye -> **exotropia**
93
what is this showing
in-turning of eye -> **esotropia**
94
PT test for strabismus
cover/uncover
95
indications for referral for strabismus
constant intermittent > 6 mo
96
what exercise is used in strabismus management
patch exercises
97
complication of strabismus if treated after age 2
amblyopia
98
2 causes of TM perf
AOM barotrauma/direct impact/explosion
99
management of TM perf
usually self resolve keep dry surgery if persists > 2 mo +/- abx drops
100
only abx ear drop that is not ototoxic
floxin