Caries Interpretation Flashcards

(124 cards)

1
Q

One of the most prevalent human diseases:

A

caries

How well did you know this?
1
Not at all
2
3
4
5
Perfectly
2
Q

What date did decreasing prevalence of caries finally occur?

A

1980s

How well did you know this?
1
Not at all
2
3
4
5
Perfectly
3
Q

Dental caries is considered a disease of :

A

civilized societies

How well did you know this?
1
Not at all
2
3
4
5
Perfectly
4
Q

Dental caries are associated with:

A

highly refined sugar and retentive food diets that remains prevalent in lower socio-economic groups

How well did you know this?
1
Not at all
2
3
4
5
Perfectly
5
Q

Dental caries is the greatest cause of:

A

tooth loss in people aged 35 and younger

How well did you know this?
1
Not at all
2
3
4
5
Perfectly
6
Q

Explain the pathophysiology of dental caries:

A

related to bacterial adhesion to tooth surfaces and plaque formation

How well did you know this?
1
Not at all
2
3
4
5
Perfectly
7
Q

Plaque is composed of _____ with ____ that attach to tooth surfaces

A

polysaccharides/enzyme matrix; bacterial colonies

How well did you know this?
1
Not at all
2
3
4
5
Perfectly
8
Q

Bacteria metabolize ____ producing acid byproducts that lower pH below ___ to decalcify teeth

A

dietary carbohydrate; 5.5 threshold

How well did you know this?
1
Not at all
2
3
4
5
Perfectly
9
Q

The predisposing factors of dental caries include: (5)

A
  1. bacteria
  2. diet
  3. plaque retention
  4. OH compliance
  5. saliva
How well did you know this?
1
Not at all
2
3
4
5
Perfectly
10
Q

Discuss bacteria as a predisposing factor of dental caries:

A

bacteria varies and is dependent on host

How well did you know this?
1
Not at all
2
3
4
5
Perfectly
11
Q

What are three common types of bacteria that are considered predisposing factors to caries?

A
  1. lactobacillus casei
  2. streptococcus mutant
  3. actinomyces viscosus
How well did you know this?
1
Not at all
2
3
4
5
Perfectly
12
Q

What component of a diet may be a predisposing factor for dental caries?

A

glucose

How well did you know this?
1
Not at all
2
3
4
5
Perfectly
13
Q

Discuss how saliva may be a predisposing factor to dental caries:

A

varies based on concentration of salivary glycoproteins and immunoglobulins

How well did you know this?
1
Not at all
2
3
4
5
Perfectly
14
Q

Dental caries signs range from:

A

slight demineralization to gross coronal decay

How well did you know this?
1
Not at all
2
3
4
5
Perfectly
15
Q

How would you describe this image?

A

slight demineralization

How well did you know this?
1
Not at all
2
3
4
5
Perfectly
16
Q

How would describe this image?

A

gross coronal decay

How well did you know this?
1
Not at all
2
3
4
5
Perfectly
17
Q

Dental signs of caries: Defects appear as violations of: (2)

A
  1. Smooth surfaces- usually at inaccessible areas
  2. Pit and fissures of occlusal and occasional proximal surfaces
How well did you know this?
1
Not at all
2
3
4
5
Perfectly
18
Q

Dental caries are-

  1. easy to:
  2. not so easy to:
  3. harder to:
A
  1. diagnose
  2. stage
  3. treatment plan
How well did you know this?
1
Not at all
2
3
4
5
Perfectly
19
Q

What type of radiographs are preferred to diagnose interproximal caries?

A

horizontal bitewings (standard)

How well did you know this?
1
Not at all
2
3
4
5
Perfectly
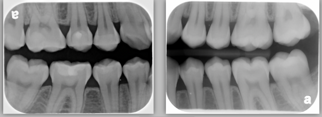
20
Q

What type of radiograph is seen in the following images?

A

horizontal bitwings

How well did you know this?
1
Not at all
2
3
4
5
Perfectly
21
Q

Does the following image show correct or incorrect angulation for a bitewing?

A

correct

How well did you know this?
1
Not at all
2
3
4
5
Perfectly
22
Q

Does the following image show correct or incorrect angulation for a bitewing?

A

incorrect

How well did you know this?
1
Not at all
2
3
4
5
Perfectly
23
Q

Does the following image show correct or incorrect angulation for a bitewing?

A

correct

How well did you know this?
1
Not at all
2
3
4
5
Perfectly
24
Q

Does the following image show correct or incorrect angulation for a bitewing?

A

incorrect

How well did you know this?
1
Not at all
2
3
4
5
Perfectly
25
What type of radiography is helpful for caries detections if XCP technique is used to minimize linear distortion in the vertical dimension?
periapical radiography
26
When performing periapical radiography for caries detection, what technique must be used to minimize linear distortion in the vertical dimension?
XCP technique
27
When performing periapical radiography for caries detection, the XCP technique is used to minimize:
linear distortion in the vertical dimension
28
When performing periapical radiography, ____ must project non-overlapped contacts
horizontal angulation
29
What must be correct in order to have NON-overlapping contacts?
horizontal angulation
30
What type of radiographs are seen in the following images?
periapical radiographs
31
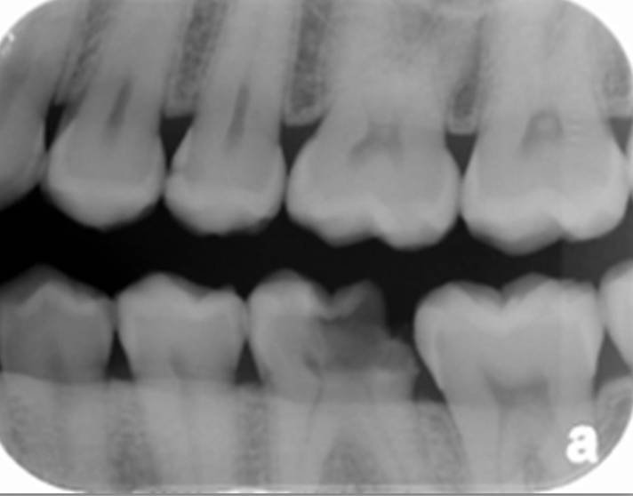
Detect the caries in the following images:
32
What type of radiographs are seen in the following image?
periapical
33
detect the caries in the following image:
34
What type of radiographs are considered "not as useful" due to technique problems from bending the film and difficulty placing film to open contacts?
vertical bitewings
35
Why are vertical bitewing radiographs considered "not as useful" to evaluate caries?
1. technique problems from bending the film 2. difficulty placing film to open contacts
36
What types of radiographs are seen in these images?
vertical bitewings
37
What type of radiographs are seen in the following images?
vertical bitewings
38
What type of radiographs are seen in the following images?
vertical bitewings
39
Factors affecting caries presentation include: (9)
1. angle of the x-ray beam 2. placement of the image receptor 3. location of the proximal carious lesion 4. degree of hypo mineralization 5. exposure factors 6. degree of cavitation 7. ambient light intensity 8. monitor contrast resolution calibration 9. selection of post processing algorithms on digital images
40
A factor affecting caries presentation is the location of the proximal carious lesion, explain what this means:
If caries is exactly cervical to the contact or slightly buccal/lingual
41
A factor affecting caries presentation is the exposure factors such as:
Low kV vs. High kV
42
Factors affecting perception of digital display include:
1. monitor resolution 2. monitor luminescence 3. background lighting affect
43
T/F: Standard commercial grade desktop monitors have been shown to be super for diagnostic medical radiography
False- they have bene show to be INFERIOR for diagnostic medical radiography
44
The caries classification used at UMKC includes: (6)
1. IC- initial caries 2. MC- moderate caries 3. AC- advanced caries 4. RSC- root surface caries 5. RC- recurrent caries 6. B/Li- buccal or lingual caries
45
Caries in the enamel layer:
initial caries
46
Initial caries range from:
a demineralization defect at the proximal surface and can extend axially to contact the DEJ
47
a demineralization defect at the proximal surface and can extend axially to contact the DEJ, this would be considered:
initial caries (IC)
48
What classification of caries are shown these images?
initial caries (IC)
49
What classification of caries are seen in the following radiograph?
Initial caries (IC)
50
Classify the caries in the following radiograph:
initial caries (IC)
51
Caries described as: spreading vertically at the DEJ and/or extending axially greater than half way in the dentin layer
moderate caries (MC)
52
The caries represented by this image are:
moderate caries (MC)
53
Classify the caries in the following radiograph:
moderate caries (MC)
54
Describe moderate caries (MC):
caries spreading vertically at the DEJ and/or extending axially greater than half way in the dentin layer
55
Moderate caries are described as greater than halfway into what layer?
dentin layer
56
Classify the caries in the following radiograph
moderate caries (MC)
57
Caries descried as greater than or equal to half way into the dentin layer and can extend axially to contact the pulp:
advanced caries (AC)
58
Advanced caries can be described as:
greater than or equal to half way into the dentin layer and can extend axially to contact the pulp
59
What type of caries are represented by the following image?
Advanced caries (AC)
60
Classify the caries seen in the following radiograph:
advanced caries (AC)
61
Classify the caries seen in the following radiograph:
advanced caries (AC)
62
Classify the caries seen in the following radiograph:
Advanced caries (AC)
63
How do root surface caries often appear?
saucerized or scooped-out
64
What type of caries has a 50% prevalence in the geriatric population?
Root surface caries (RSC)
65
Root surface caries are most common in the ____ regions followed by the ____ areas
buccal premolar; lingual & interproximal
66
Classify the caries seen in the following radiograph:
root surface caries (RSC)
67
Classify the caries seen in the following radiograph:
recurrent caries (RC)
68
Caries that may be difficult to localize on a single view & may superimpose pulp:
B or Li caries (B/Li)
69
B/Li camis may be difficult to localize on a single view and may:
superimpose the pulp
70
Classify the caries seen in the following radiograph
B/Li caries
71
What does ICDAS stand for?
International Caries Detection and Assessment System
72
List the order of ICDAS classification:
E1, E2, D1, D2, D3
73
What ICDAS is being described? Lesion within outer 1/2 of enamel
E1
74
What ICDAS is being described? Lesion within inner 1/2 of enamel
E2
75
What ICDAS is being described? Lesion within outer 1/3 of dentin
D1
76
What ICDAS is being described? Lesion within middle 1/3 of dentin
D2
77
What ICDAS is being described? Lesion within inner 1/3 of dentin
D3
78
According to ICDAS, the following image would be classified as:
E1
79
According to ICDAS, the following image would be classified as:
E2
80
According to ICDAS, the following image would be classified as:
D1
81
According to ICDAS, the following image would be classified as:
D2
82
According to ICDAS, the following image would be classified as:
D3
83
According to ICDAS, the following image would be classified as:
E1
84
According to ICDAS, the following image would be classified as:
E2
85
According to ICDAS, the following image would be classified as:
D1
86
According to ICDAS, the following image would be classified as:
D2
87
According to ICDAS, the following image would be classified as:
D3
88
ICDAS Classification: Penetrates less than or equal to 1/2 the enamel thickness as a radiolucent notch on the outer surface of the tooth
E1
89
The ICDAS classification system is for diagnosing what type of caries?
interproximal
90
Diagnose the following radiograph according to ICDAS:
E1
91
ICDAS Classification: Penetrates greater than n1/2 the enamel thickness
E2
92
ICDAS Classification: May have an isosceles triangular outline with base at the proximal surface and DOES NOT extend to the DEJ:
E2
93
Diagnose the following radiograph according to ICDAS:
E2
94
Does ICDAS E2 classification extend into the DEJ?
NO
95
ICDAS Classification: Undermines enamel and extends into dentin at or axial to the DEJ:
D1
96
ICDAS Classification: Penetrates less than 1/3 of the outer peripheral dentin thickness
D1
97
Diagnose the following radiograph according to ICDAS:
D1
98
Diagnose the following radiograph according to ICDAS:
D1
99
Diagnose the following radiographs according to ICDAS:
D1
100
Diagnose the following radiographs according to ICDAS:
D1
101
ICDAS Classification: The dentin lesion is a more extensive dentin lesion that penetrates to mid 1/3 of the dentin thickness:
D2
102
Diagnose the following radiograph according to ICDAS:
D2
103
Diagnose the following radiograph according to ICDAS:
D2
104
Diagnose the following radiograph according to ICDAS:
D2
105
ICDAS Classification: The dentin lesion is more extensive than the enamel lesion and penetrates greater than 2/3 or inner 1/3 of the dentin thickness:
D3
106
Diagnose the following radiograph according to ICDAS:
D3
107
Diagnose the following radiograph according to ICDAS:
D3
108
Diagnose the following radiograph according to ICDAS:
D3
109
Diagnose the following radiograph according to ICDAS:
D3
110
Phenomenon in which the dentin artifact simulates caries:
Interproximal "burn out"
111
When the lesion is outlined by normal anatomic structures and is a relative radiolucency:
Interproximal "burn out"
112
Interproximal burn out occurs when a lesion is outlined by normal anatomic structures and is a:
relative radiolucency
113
What can be seen in this radiographic image?
Burnout
114
What is occurring in this radiographic image?
Burnout
115
What is represented by the red circle in the following image?
Burnout
116
Incipient occlusal caries are difficult to detect on radiographs due to:
1. small width of the lesion 2. density of superimposing enamel
117
Occlusal caries that are difficult to detect on radiographs:
incipient occlusal caries
118
Broad-based thin radiolucent zone in dentin with no changes in enamel:
moderate occlusal caries
119
How do moderate occlusal caries present?
Broad-based thin radiolucent zone
120
How would you notice a moderate occlusal caries?
Noticed as a relative increase in opacity between pulp and caries
121
What do the blue arrows indicate in the following radiograph?
moderate occlusal caries
122
Occlusal caries characterized by undermined enamel with gross loss of tooth structure
severe
123
What type of occlusal caries can be seen in the following radiograph?
severe
124
What type of occlusal caries can be seen in the following radiograph?
severe