Panoramic Positioning Errors Flashcards

(66 cards)

1
Q

What protective measure can not be used in a panoramic radiograph?

A

thyroid collar

How well did you know this?
1
Not at all
2
3
4
5
Perfectly
2
Q

Before taking a pano, have patients remove:

A
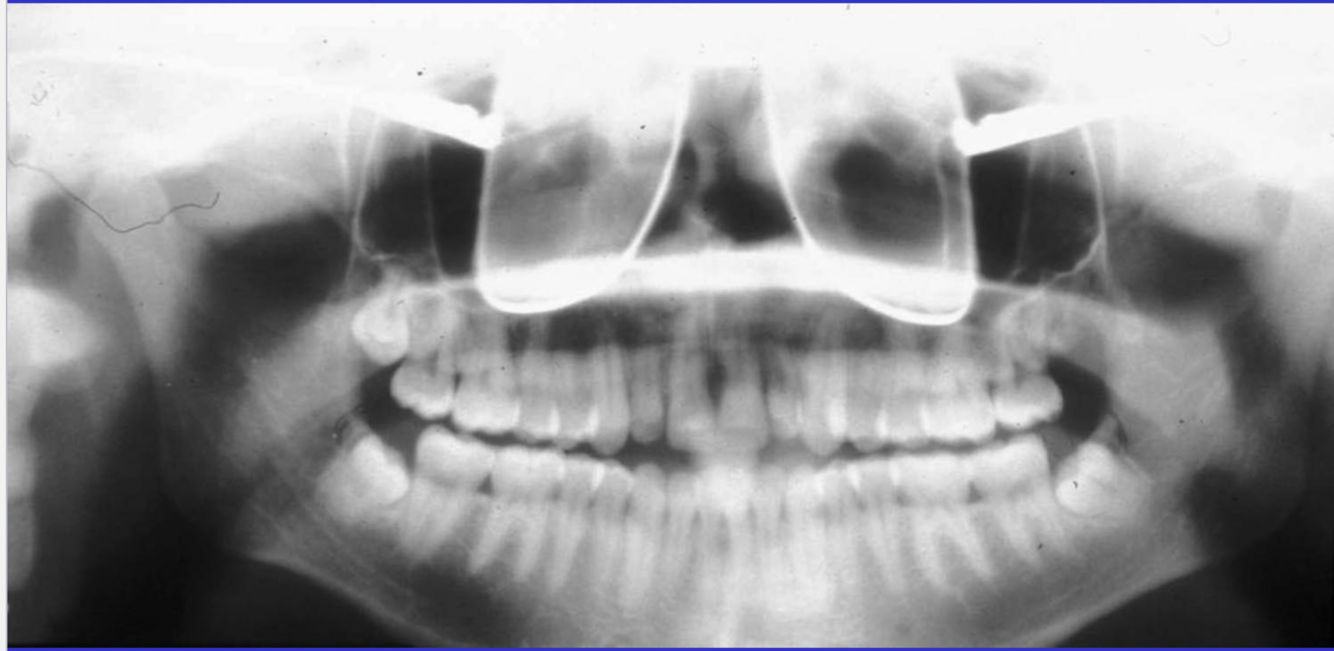
  1. dental appliances
  2. earrings
  3. necklaces
  4. hairpins
  5. glasses
How well did you know this?
1
Not at all
2
3
4
5
Perfectly
3
Q

What error is seen in this pano?

A

glasses left on

How well did you know this?
1
Not at all
2
3
4
5
Perfectly
4
Q

What error is seen in this pano?

A

earrings left on

How well did you know this?
1
Not at all
2
3
4
5
Perfectly
5
Q

What error is seen in this pano?

A

necklace left on

How well did you know this?
1
Not at all
2
3
4
5
Perfectly
6
Q

What error is seen in this pano?

A

hairpins left in

How well did you know this?
1
Not at all
2
3
4
5
Perfectly
7
Q

What error is seen in this pano?

A

denture left in

How well did you know this?
1
Not at all
2
3
4
5
Perfectly
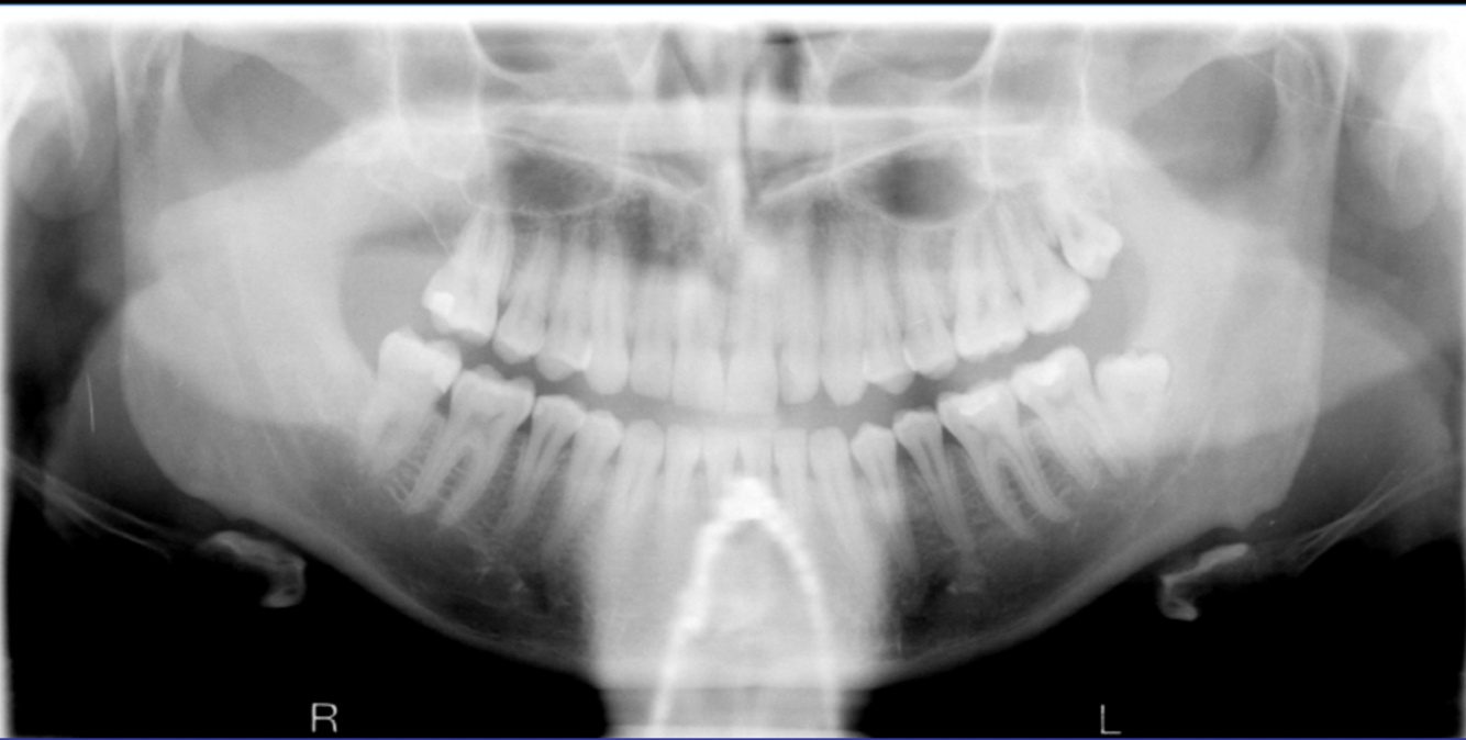
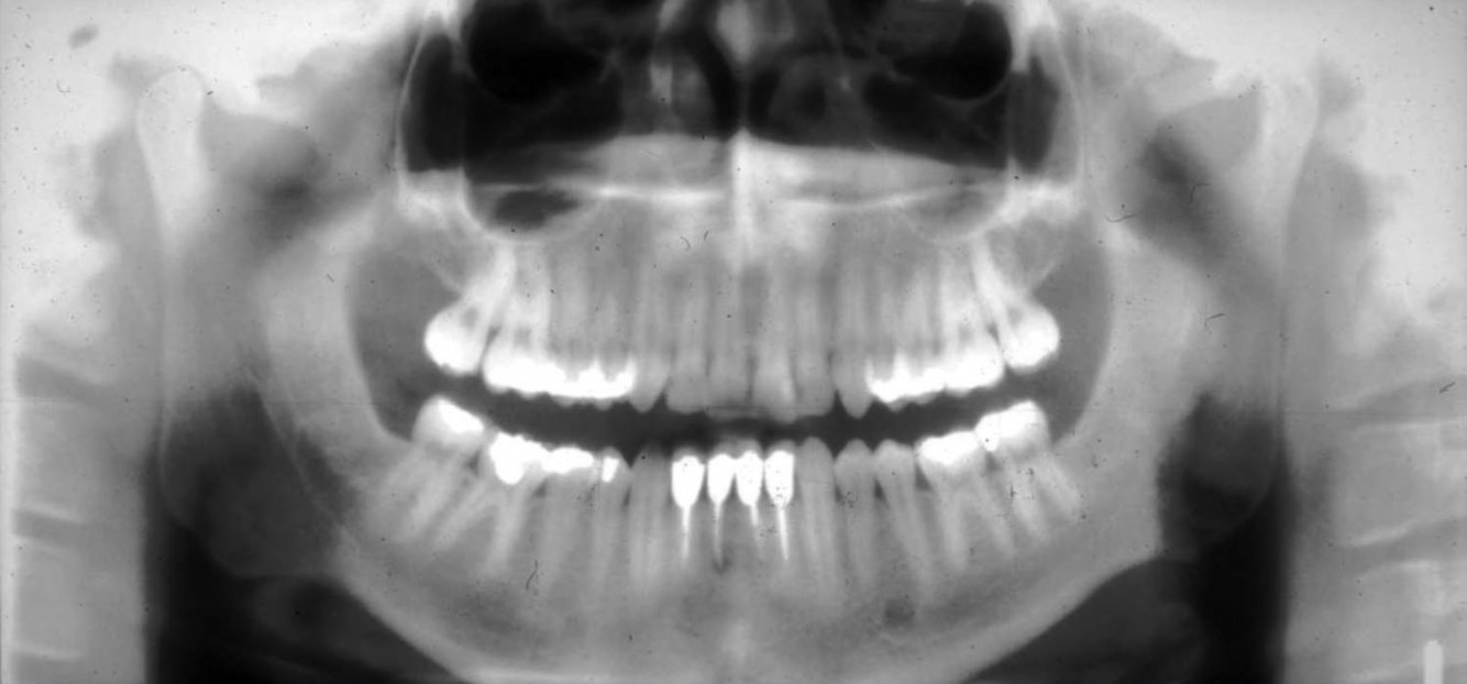
8
Q

If the teeth and jaws are sharply depicted in a pano, this tells you:

A

proper position achieved- teeth and jaws are in focal trough

How well did you know this?
1
Not at all
2
3
4
5
Perfectly
9
Q

If there is a slight curvature of the occlusal plane in a pano, this tells you:

A

proper positions achieved- vertical head position is correct

How well did you know this?
1
Not at all
2
3
4
5
Perfectly
10
Q

If there is equal magnification on the left and right side of a pano, this tells you:

A

proper position achieved- head was not turned to the left or right

How well did you know this?
1
Not at all
2
3
4
5
Perfectly
11
Q

If there is not airspace obstructing the view of the maxillary roots in a pano, this tells you:

A

proper position achieved- patients tongue is flat on the roof of the mouth

How well did you know this?
1
Not at all
2
3
4
5
Perfectly
12
Q

If there is no ghost image of the cervical spine in the midline of the pano, this tells you:

A

proper position achieved- patient is standing up straight with neck straight

How well did you know this?
1
Not at all
2
3
4
5
Perfectly
13
Q

Some patients can’t stand up straight tsyou will know ahead of time that there will be:

A

ghost image of cervical spine

How well did you know this?
1
Not at all
2
3
4
5
Perfectly
14
Q

What do we notice about the cervical spine and ramus in the following radiograph?

A

They NOT overlapping= good - patient was standing up straight

How well did you know this?
1
Not at all
2
3
4
5
Perfectly
15
Q

In a pano, if the anterior teeth are narrowed and blurred, what is the positioning error?

A

Too far forward

How well did you know this?
1
Not at all
2
3
4
5
Perfectly
16
Q

In a pano, if the cervical spine is superimposed on the ramus causing a double real image of the cervical spine, what is the positioning error?

A

too far forward

How well did you know this?
1
Not at all
2
3
4
5
Perfectly
17
Q

What errors can be seen in the following radiograph? What is the cause of these errors?

A
  1. Anterior teeth are narrowed and blurred
  2. Cervical spine is superimposed on ramus ( double real image of cervical spine)

Cause: Too far forward

How well did you know this?
1
Not at all
2
3
4
5
Perfectly
18
Q

What errors can be seen in the following radiograph? What is the cause of these errors?

A

Anterior teeth are narrowed and blurred

(notice posterior teeth appear normal)

Cause: Too far forward

How well did you know this?
1
Not at all
2
3
4
5
Perfectly
19
Q

In a pano, if the anterior teeth are widened and blurred what is the positioning error?

A

too far back

How well did you know this?
1
Not at all
2
3
4
5
Perfectly
20
Q

In a pano, if the inferior turbinates and meati spread across maxillary sinuses, what is the positioning error?

A

too far back

How well did you know this?
1
Not at all
2
3
4
5
Perfectly
21
Q

In a pano, if condyles are close to, or cut off the side of the image, what is positioning error?

A

too far back

How well did you know this?
1
Not at all
2
3
4
5
Perfectly
22
Q

What errors are caused by the patient being positioned too far forward? (2)

A
  1. anterior teeth narrowed and blurred
  2. cervical spine superimposed on ramus (double real image of cervical spine)
How well did you know this?
1
Not at all
2
3
4
5
Perfectly
23
Q

What errors are caused by the patient being positioned too far back? (3)

A
  1. anterior teeth widened and blurred
    2 inferior tubercles and meati spread across maxillary sinuses
  2. condyles close to or cut off side of image
How well did you know this?
1
Not at all
2
3
4
5
Perfectly
24
Q

What are the errors in this radiograph? What is the cause of these errors?

A
  1. anterior teeth widened and blurred
  2. inferior tubercles and meati spread across maxillary sinuses
  3. condyles close to or cut off side of image

cause: patient too far back

How well did you know this?
1
Not at all
2
3
4
5
Perfectly
25
What are the errors in this radiograph? What is the cause of these errors?
1. anterior teeth widened and blurred 2. inferior tubercles and meati spread across maxillary sinuses 3. condyles close to or cut off side of image cause: patient too far back
26
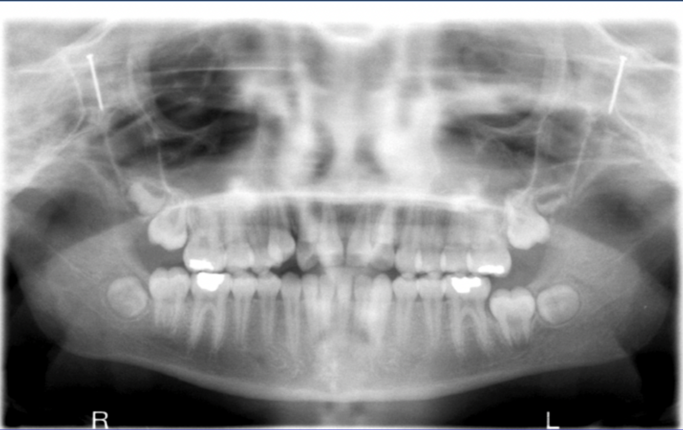
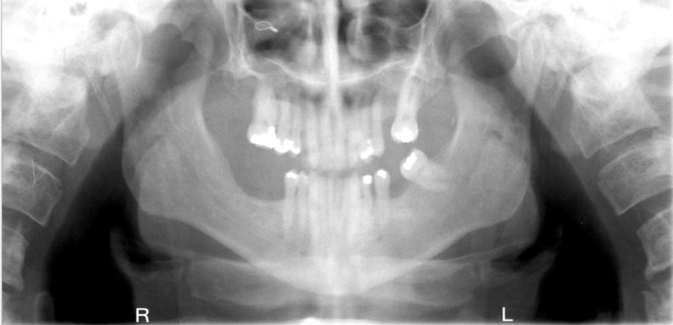
What is the MAIN error in this radiograph? What is the cause?
Inferior tubercles and meati spread across maxillary sinuses
27
What positioning error cause excessive curvature of the occlusal plane?
chin down
28
What positioning error causes roots of mandibular anterior teeth to be blurred?
chin down
29
What positioning error causes the rami/condyles tipped inward?
chin down
30
What positioning error causes condyles close to or cut off the top of image?
chin down
31
What positioning error causes they hyoid bone to be superimposed on the mandible?
chin down
32
What errors are caused by the chin being too far down? (5)
1. excessive curvature of the occlusal plane 2. roots of mandibular anterior teeth are blurred 3. rami/condyles tipped inward 4. condyles close to or cut off top of image 5. hyoid bone superimposed on mandible
33
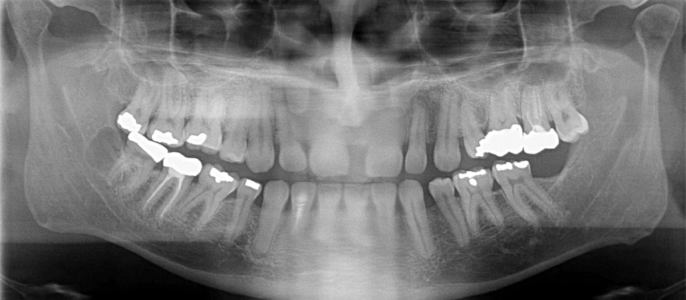
What errors can be seen in the following radiograph? What is the cause?
1. excessive curvature of the occlusal plane 2. roots of mandibular anterior teeth are blurred 3. rami/condyles tipped inward 4. condyles close to or cut off top of image 5. hyoid bone superimposed on mandible cause: chin down
34
What errors can be seen in the following radiograph? What is the cause?
1. rami tipped inward 2. excessive curvature of occlusal plane cause chin down
35
What positioning error causes a flat occlusal plane or reverse curvature?
chin up
36
What positioning error causes the roots of maxillary anterior teeth to be blurred?
chin up
37
What positioning error causes rami/condyles tipped laterally?
chin up
38
What positioning error causes the condyles close to or cut off side of image?
chin up
39
What positioning error causes the hard palate superimposed on maxillary apices?
chin up
40
What happens to the hard palate in a pano if the chin is too upward?
the hard palate gets projected down and overlaps apices of maxillary teeth
41
What is the main reason we have to retake panos?
hard palate is superimposed on maxillary apices
42
What are some errors that can be seen in this radiograph? What is the cause?
1. flat occlusal plane or reverse curvature 2. roots of maxillary anterior teeth are blurred 3. rami/condyles tipped laterally 4. condyles close to or cut off the side of image 5. hard palate superimposed on maxillary apices cause: chin up
43
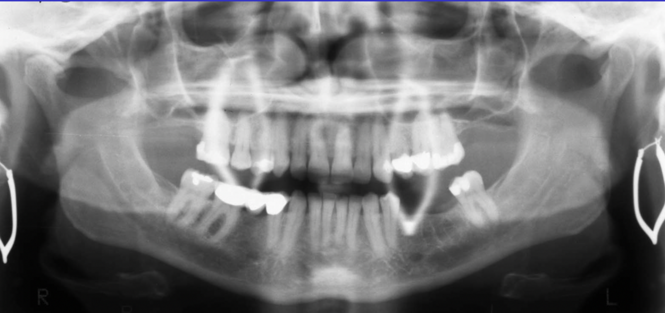
What errors can be seen in the following radiograph? What is the cause?
1. reverse curvature of occlusal plane 2. Hard palate projected downwards overlapping apices of maxillary teeth cause: chin up
44
What positioning error results in unequal magnification of left and right side (teeth, ramus)?
Head turned
45
What positioning error results in increased blurring and overlapping contacts on one side?
Head turned
46
What errors in a pano are caused by chin up?
1. flat occlusal plane or reverse curvature 2. roots of maxillary anterior teeth are blurred 3. rami/condyles tipped laterally 4. condyles close to or cut off the side of image 5. hard palate superimposed on maxillary apices
47
What errors in a pano are caused by head turned?
1. unequal magnification of let and right side (teeth, ramus) 2. increased blurring and overlapping of contacts on one side
48
What errors can be seen in the following pano? What is the cause?
1. unequal magnification of let and right side (teeth, ramus) 2. increased blurring and overlapping of contacts on one side cause: head turned
49
In the following image, list what each color represents (blue, black and red):
blue: area of focal trough red: jaw position in focal trough black: head turned to right with incisors still on anatomic midline
50
When the head is turned to the right, the _____ dentition moves closer to the sensor so the teeth will project _____ on the radiographic image.
posterior left dentition; narrower
51
When the head is turned to the right, the _____ dentition moves farther from the sensor so the teeth will project _____ on the radiographic image.
posterior right dentition; wider
52
Based on the left posterior dentition appearing wider on this pano, what error is made?
Head is turned to the left, so the posterior left dentition moves further away from the sensory and the teeth project wider on the radiographic image
53
If bite causes teeth to be closer to the sensor, how will the teeth on the side closer to the sensor appear?
narrower
54
Anatomic midline shifted to the left of center of focal focal trough is referred to as:
lateral translation
55
Due to this left side shift, posterior teeth on the left side will be closer to the sensor and project ____ on the radiographic image
narrower
56
Due to the left side shift, posterior teeth on the right side will be father away from the sensor and project _____ on the radiographic image
wider
57
If the patient is slumped, what results in the pano?
ghost image of cervical spine
58
What error can be seen on the following image? What is the cause?
ghost image of cervical spine; slumped patient
59
What error can be seen on the following image? What is the cause?
ghost image of cervical spine; slumped patient
60
What error is seen in the following image? What is the cause?
palatoglossal air space; tongue NOT on roof of mouth
61
What error is seen in the following image? What is the cause?
palatoglossal air space; tongue NOT on roof of mouth
62
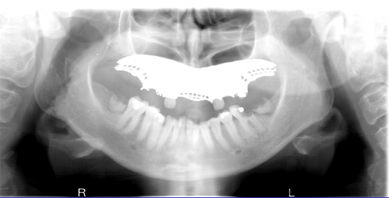
What error is seen in the following radiograph?
Lead apron artifact
63
What errors are seen in the following radiograph?
ghost image of cervical spine (due to patient hunching) and lead apron artifact
64
This pano represents:
partial panoramic image
65
What error likely caused the following pano?
patient got antz in dey pantz
66