Chondroblasts
Chondrocytes
Matrix
Fibers
Ground Substance
Immature cells secreting cartilage matrix
Mature cells in lacunae surrouned by matrix
Territorial vs Interterriotorial matrix
Type II Collage predominant (Type I present in Fibrocartilage and outer Perichondrium) and Elastin fibers present in Elastic Cartilage
Hyaluronic Acid, Chondroitin Sulfate, Keratin Sulfate, Aggrecan
Hyaline Cartilage
Surrounded by?
Collage type?
Location?
Chondrocytes found in what?
Perichondrium (Articular cartilage lacks Perichondrium)
Type II Collagen
Articular Cartilage, Larynx, Trachea, Ribs, Embryonic development
Isogenous groups

Cartilage Matrix
Territorial Matrix
Interterritorial Matrix
Moderately staining, consisting of Type II collagen around isogenous groups
Less intensely staining, consisting of Type II collagen between isogenous groups

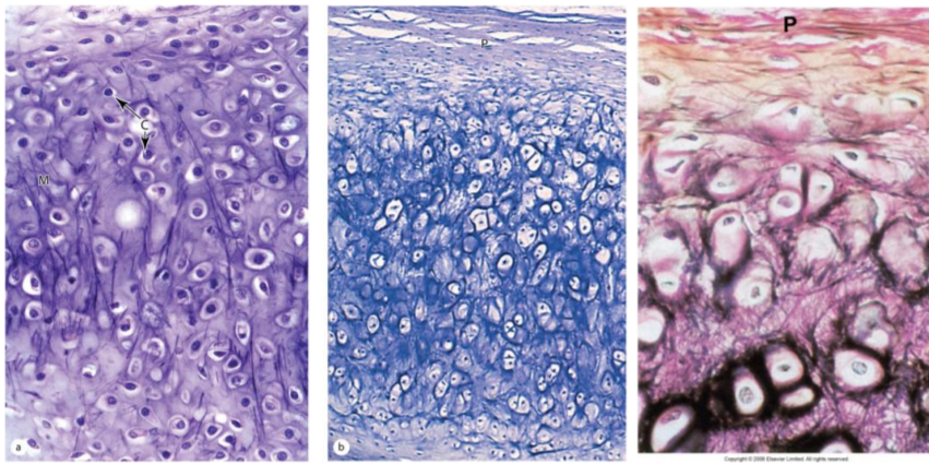
Perichondrium
Type of tissue
What types of cartilage?
Fibrous Layer
Chrondrogenic Layer
Dense Irregular CT (with vascular supply)
Hyaline and Elastic Cartilage only
Outer layer (produces type I collagen and elastin) - transitional zone between cartilage and surrounding general CT
Inner layer that differentiates into chondroblasts (produces type II collagen)

Elastic Cartilage
Components making up this type of cartilage
Function
Location
Hyaline cartilage and elastic fibers
Retains shape after deformation and elastic fibers allow for recoil/rebound
External ear, epiglottis

Fibrocartilage
Combination of what two components?
Collagen types
Location
Fiber orientation
Function
Hyaline cartilage and dense regular CT
Type I predominant (some Type II)
IV Discs, Pubic Symphysis, TMJ
Direction of functional stress
Withstand shearing and compression forces

Osteoarthritis
Superficial layer of articular cartilage disrupted
Destruction of cartilage extends to bone
Articular Cartilage
Collagen fiber orientation
Superficial Zone
Intermediate Zone
Deep Zone
Calcified Zone
Run perpendicular to tissue surface and bend gradually to form an arc
Chondrocytes small, flattened parallel along with collagen fibers
Chondrocytes (alone/isongenous groups) larger, collagen runs obliquely through matrix
Large chondrocytes in radial columns oriented perpendicular along with collagen fibers
Rests on cortex of bone, stains slightly darker than other matrix

Synoviocytes
Type A Macrophage-like synovial cells
Type B Fibroblast-like synovial cells
Phagocytic (lysosomes clearing articular cavity of debris)
Produce synovial fluid and hyaluronate (lubricates articular cartilage)
Synovial Joints
Articular Capsule
Synovial Membrane
Articular cartilage
Outer fibrous layer made of dense regular CT
Lines joint cavity (except articular cartilage) and produces synovial fluid
Avascular hyaline cartilage that reduces friction
Cartilage Repair
Repair cartilage forms when what happens?
Perichondrium is involved (healing of bone fracture)
Appositional Growth
Process?
Growth of new chondrogenic cells from the inner layer of the perichondrium (chondrogenic layer)

Interstitial Growth
Process
Chondrocytes divide within lacunae and isongenous groups