Integument (Largest organ in body)
Functions
Breakdown into what 2 large sections?
What is the hypodermis
Epidermis and Hypodermis
Subcutaneous fascia
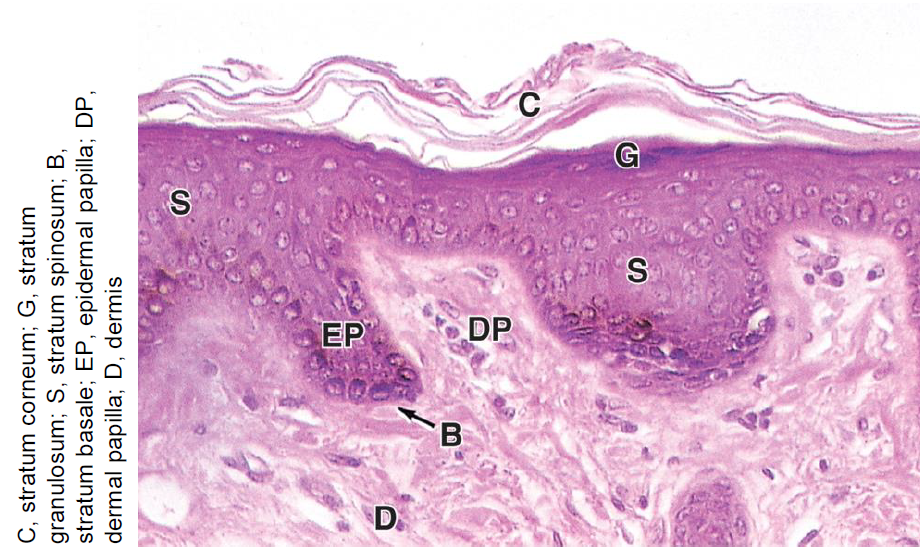
Epidermis
What type of cell classification?
What are the layers (superficial to deep)?
Comprised of what cells?
Keratinized Stratified Squmous
Keratinocytes; Melanocytes; Merkel Cells (Sensation); Langerhans Cells (Immune)

Thick vs Thin Skin
Location
Number of Layers
Which layer is specific to Thick Skin
Which skin type would fingerprints be found? Glands/hair follicles?
General appearance after staining?
Translucent staining

Stratum Basale
Single layer of what?
What classification of cells?
What other cell type is in this level?
Bound apically to Spinosum via what?
Bound basally to Dermis via what?
Keratinocytes with SCs interspersed
Mitotically active cuboidal/low columnar cells
Melanocytes (produce melanin)
Desmosomes
Hemidesmosomes

Stratum Spinosum
Contains what type of keratinocytes?
The layer thickens with external pressure to produce what?
Polyhedral keratinocytes with spiny processes
Corns and Calluses

Stratum Granulosum
Thickest layer of which portion of the epidermis?
What do keratinocytes contain in this layer? and what is it a precursor to?
Non keratinized portion of epidermis
Keratohyalin granules –> Filaggrin (assembles keratin into bundles)

Stratum Lucidum
Subdivision of which layer?
What type of skin is it well seen?
This layer does not contain what?
Stratum Corneum
Thick Skin
No organelles or nuclei

Stratum Corneum
Characteristics of these cells?
Filled with what substance?
Significance of plasma membrane coated w/ EC layer of lipids?
Anucleate cells, lose nucleus and orangelles
Mature keratin
Forms water barrier

What is the predominant cell type of the epidermis?
What do they produce?
What do they participate in?
Keratinocytes
Keratins
Epidermal water barrier

Keratinization and Desquamation
What do basal cells do (stratum basale)?
What happens in spinous cells (statum spinosum)?
What do granular cells do (stratum granulosum)?
What causes the cells in the stratum corneum to lose their organelles?
Synthesize intermediate (keratin) filaments; grouped into bundles (tonofibrils)
Keratin synthesis continues, begin synthesis of keratohyalin granules and glycolipid containing lamellar bodies
Discharge lamellar bodies –> water barrier
pH decreases

Melanocytes
Derived from what?
What layer are they located in?
What is produced and where does it go?
What is melanin?
What is an Epidermal-Melanin unit?
Neural crest
Stratum basale
Melanin transfered to keratinocytes
Pigment protein protecting nuclei from UV radiation
One melanocytes maintains association with number of keratinocytes

Melanin Production
What reaction creates melanin?
What is unique about the enzyme?
Where do the reactions occur?
What happens as more melanin is produced?
What is this process called?
Oxidation of Tyr into DOPA via Tyrosinase; DOPA polymerized into melanin
UV Sensitive
Premelanosomes in melanocytes
Premelanosomes –> Melanosome –> extends into cell processes and transfer melanin to keratinocytes via phagocytosis
Pigment donation

Langerhans Cells
What are they?
What is the process of their functioning?
What layer are they identifiable in?
Antigen-presenting cells (APCs) provind defense against pathogens
Antigen phagocytized and displayed on cell surface, migrate to lymph node and activate T-lymphocytes
Stratum spinosum
Merkel Cells
What is their function?
Reside in which layer?
Associate with what?
Staining characteristic?
Acute sensory perception/Light touch
Stratum basale
Nerve endings
Pale staining cytoplasm

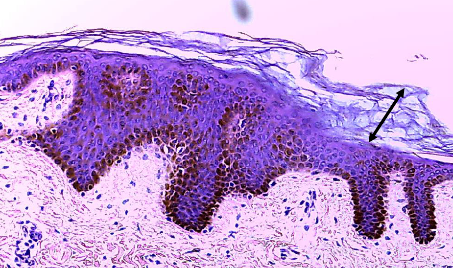
Dermal Epidermal Junction
What part of the dermis projects into the epidermis?
What are the epidermal protrusions?
What help anchor the two layers together?
Dermal papillae
Epidermal ridges
Hemidesmosomes and Focal adhesions

Layers of the Dermis
What type of CT is in the papillary layer only immediately beneath the epidermis?
Which layer has vasculature and nerve endings?
What fibers are in reticular layer?
What are regular lines of tension in the reticular layer?
Loose CT beneath epidermis (thinner collagen and elastic fibers) - rest of dermis is dense irregular CT
Papillary layer
Thick, irregular bundles of type I collagen and elastic fibers
Langer’s lines

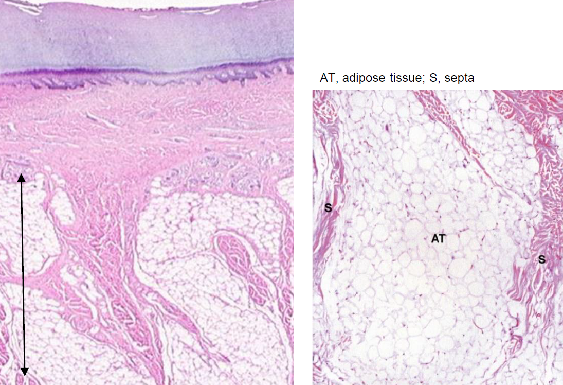
Hypodermis (Subcutaneous Fascia)
What type of tissue?
Functions?
What small muscles are used for piloerection of hair follicles?
Adipose
Energy storage, insulation
Arrector pili muscles

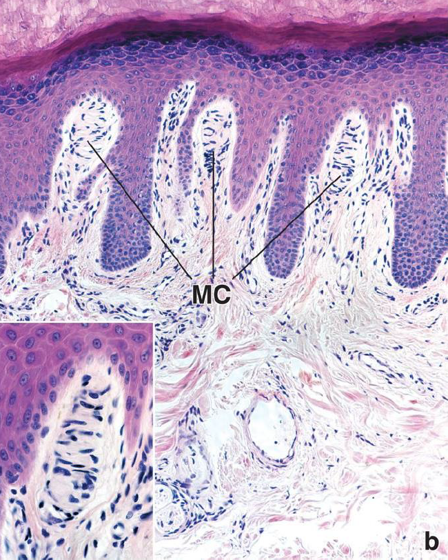
Meissner’s Corpuscle
These are touch receptors responsive to what?
Location
Low frequency stimuli
Dermal papillae just beneath epidermis (epidermal junctions)

Pacinian Corpuscle
Function?
Location?
What are they?
Detects pressure or vibration
Deeper dermis and hypodermis; also in joints, periosteum, fingerprints
Myelinated nerve ending surrounded by capsule structure

Free Nerve Endings
Which layer do they terminate in?
What modalities do they receive info for?
Surround most hair follicles and serve as what?
Terminate in Stratum Granulosum
Fine touch, heat, cold, pain
Mechanoreceptors
Differences between Glands of Skin
Eccrine/Merocrine
Holocrine
Apocrine
Secretion in membrane bound vesicles to apical surface and undergo exocytosis
Secretion accumulates within cell –> apoptosis
Release of apical portion of cell, surrounded by cytoplasm within a plasma membrane
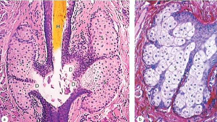
Sebaceous Glands
Abundant in which location?
Associated with what structure?
What do they produce and what type of excretion?
Sebum discharged into infundibulum (hair follicle) forming what?
Face and scalp
Hair follicle
Lipid mixture, Sebum via holocrine secretion
Pilosebaceous canal

Sweat (Sudoriferous) Glands
Eccrine/Merocrine Sweat Glands: Structure and Location?
Apocrine Sweat Glands: Location?
Entire body surface (except lips and external genitalia)
Axilla, areola, nipple, skin around anus, external genitalia
Eccrine Sweat Glands
Cell classification in ducts?
What type of cells faciliate expulsion?
Subject to what type of regulation?
How is it involved with thermoregulation?
Size of lumen in secretory ducts?
Stratified cuboidal
Myoepithelial cells
Cholinergic regulation
Evaporation of H2O from sweat on body surface
Small lumen
