Interstitial Lung Disease Signs and DDx

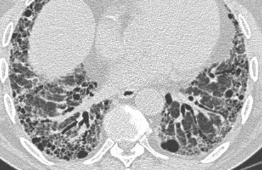
Usual Interstitial Pneumonia
Fx on HRCT:
DDx:
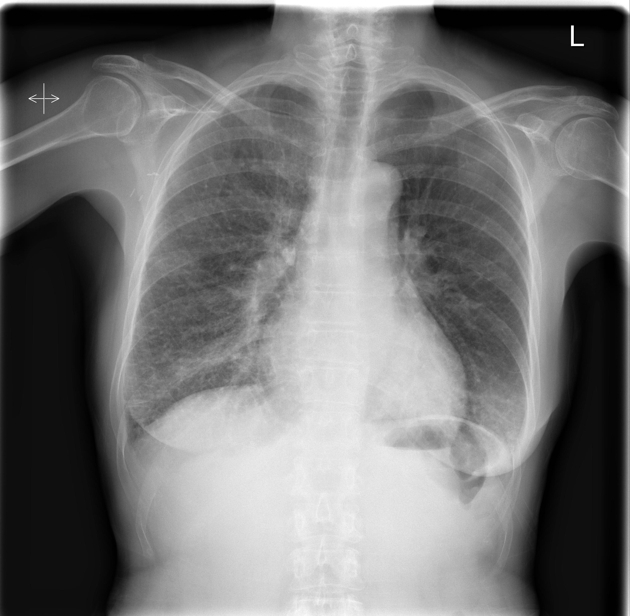
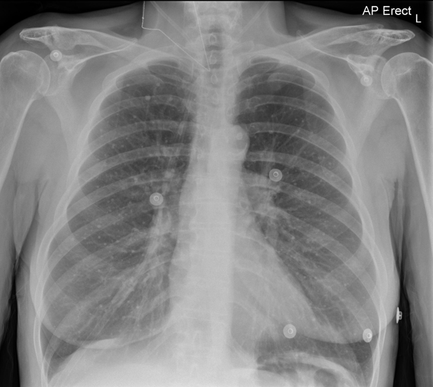
CXR: Interstial Lung Disease DDx

Lymphangitic Carcinomatosis:
Usually arises from adenocarcinomas such as:
Findings:
DDx: (these are also for interlobar septal thickening)
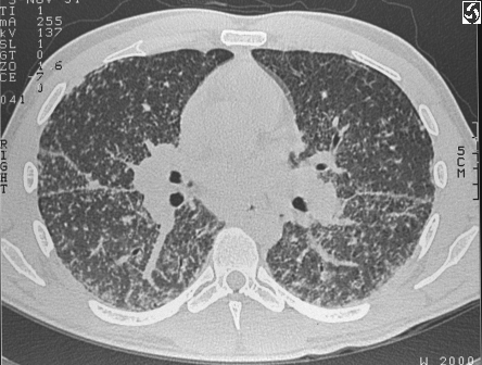
HRCT Interstial Lung Disease

Sarcoidosis
HRCT Fx:
Common Findings
Uncommon findings:
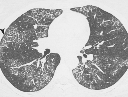
What is this Sign and DDx?

Crazy Paving
Refers to reticular opacificaties superimposed on areas of ground-glass opacity.
DDx:
Remember the “Ps”
59yr old with left arm pain on abduction

SUBCLAVIAN STEAL SYNDROME
This condition is due to stenosis of the subclavian artery resulting in “stealing” of blood to the arm by retrograde flow in the ipsilateral vertebral artery
The commonest cause is atherosclerotic disease. Other acquired causes include:
Further Management:
CT to identify:
Surgical or interventional radiology referral for:
CXR: Hyperdense Nodules DDx

Healed Varicella Pneumonia
DDx:

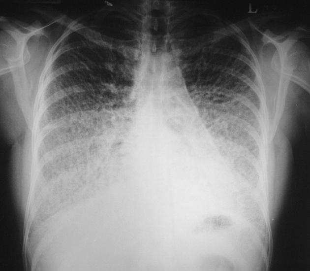
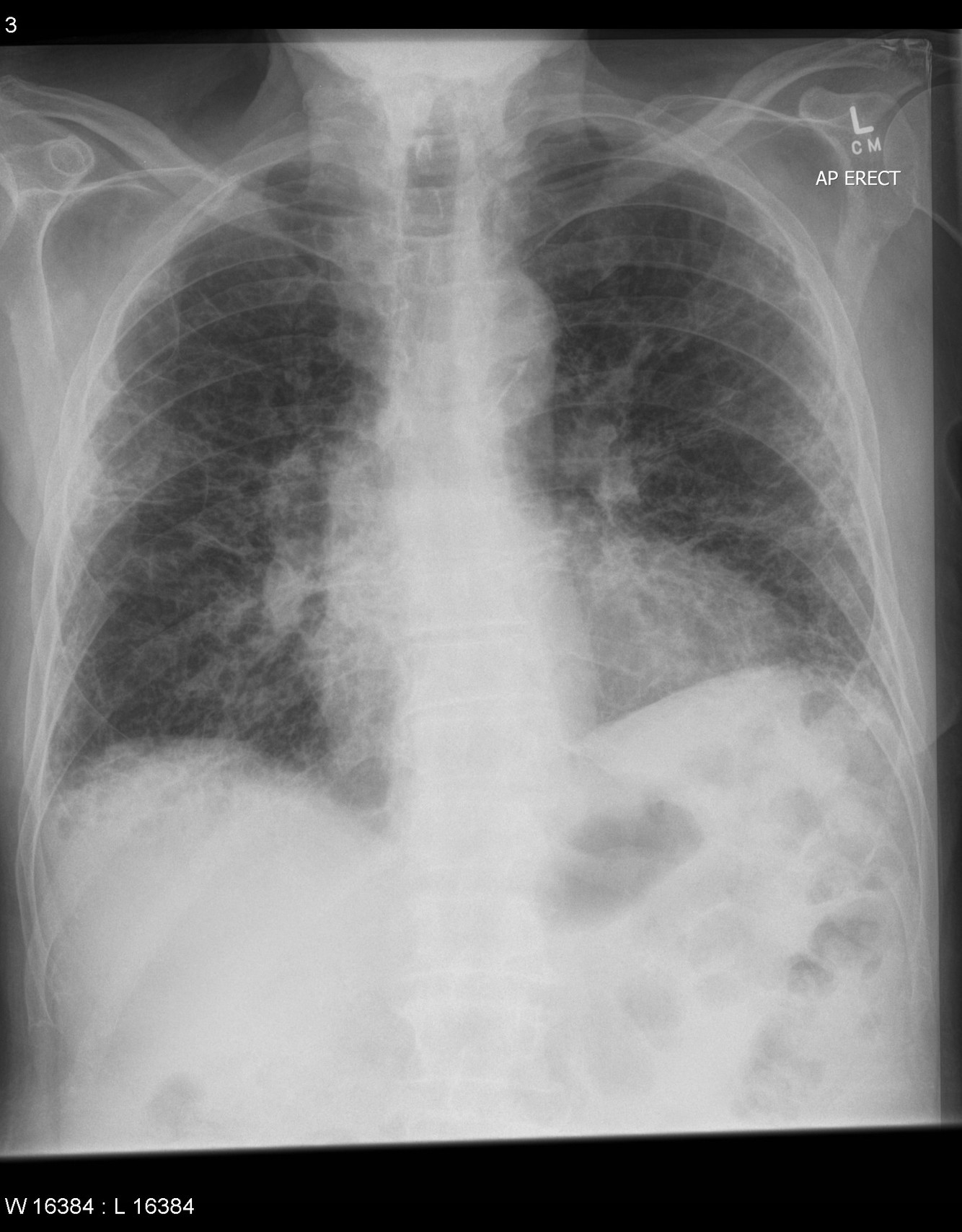
CXR: Lower Zone Fibrosis

DDx: