Respiratory DDx Flashcards

(3 cards)

1
Q

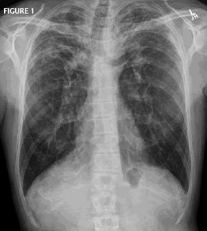
CXR: What is the finding and DDx?

A

UPPER ZONE FIBROSIS:

DDx: CHARTSs

  1. Chronic Extrinsic Allergic Alveolitis
  2. Histocytosis X (No volume Loss)
  3. Ankylosing Spondylitis
  4. Radiation
  5. TB
  6. Sarcoidosis
  7. Silicosis
How well did you know this?
1
Not at all
2
3
4
5
Perfectly
2
Q

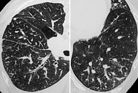
DDx for Tree - in - Bud

A

Tree in Bud Infective bronchiolitis:

INFECTIVE BRONCHIOLITIS

  • Mycobacterium: TB; Mycobacterium Avium Complex (MAC)
  • Viral pneunomia
  • Fungal pneumonia,
  • ABPA
  • Pneumocystis pneumonia (PCP)

BRONCHIECTASIS

  • Cystic Fibrosis
  • ABPA
  • Immotile Cilia Syndrome (Kartagener Syndrome)

Rare: NEOPLASM:

  • Bronchioalveolar Carcinoma
  • Pulmonary lymphoma

1.

How well did you know this?
1
Not at all
2
3
4
5
Perfectly
3
Q

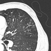
Aeitiology of bronchiectasis include ?

A
How well did you know this?
1
Not at all
2
3
4
5
Perfectly