Cefaleia Flashcards

(32 cards)

1
Q

Classificação

Cefaleias Primárias

Cefaleia é a Doença

A
  • Migrânea
  • Tensional
  • Trigemiais
  • Outras
How well did you know this?
1
Not at all
2
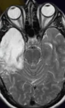
3
4
5
Perfectly
2
Q

Classificação

Cefaleia Secundária

Um Sintoma

A
  • AVC
  • TCE
  • Vascularização
  • Uso de subst
  • Transtornos de cabeça e pescoço
  • Distúrbios psiquiátricos
How well did you know this?
1
Not at all
2
3
4
5
Perfectly
3
Q

Diferenciação de primária e secundária

A
  • Anamnese e EF(Tipo de dor, recorrência, intensidade, freq, duração, mais prolongada, características comparadas com as anteriores, outros fatores)
  • EF ver sinais de défit neurológico focal
How well did you know this?
1
Not at all
2
3
4
5
Perfectly
4
Q

Cefaleias Primárias

Migrânea

A
  • Segunda maior causa de cefaleia
  • 15% da pop
  • M >H, história familiar
  • Incapacitante e impactos socioeconômicos
  • Cefaleia unilateral pulsátil de moderada a forte, náuseas ou vômitos ou fotofobia
  • Pode ter aura ou não
  • Crônica se >=15d de dor no mês por 3 meses
  • Piora com esforço
How well did you know this?
1
Not at all
2
3
4
5
Perfectly
5
Q

Cefaleias Primárias

Tensional

A
  • Mais comum
  • Dor pericraniana bilateral em aperto ou pressão de 30min a 7 dias.
  • Fraca a moderada intensidade
  • Sem aura normalmente
  • Não piora com atividades
  • Episódica infrequente 1d ao mês
  • Episódica frequente 1-14d ao mês
  • Crônica >=15d no mês por 3 meses
  • COM OU SEM DOLORIMENTO PERICRANIANO (contraturas mm)
How well did you know this?
1
Not at all
2
3
4
5
Perfectly
6
Q

Cefaleias Primárias

Trigêmeo-Autonômicas

A
  • H > M
  • Cefalia intensa unilateral em crises ou salvas
  • Dura semanas ou meses com períodos de remissão
  • Sintomas trigeminais: Irritação conjutival, miose, sudorese, ptose, lacrimejamento, congestão
How well did you know this?
1
Not at all
2
3
4
5
Perfectly
7
Q

Cefaleias Secundárias

Causas

A
  • AVC
  • Arterite temporal
  • Meningote
  • TCE
  • TVC
  • PRES
  • HIC
  • Tumores de SNC
  • Encefalite
  • HSA
  • Dissecção arterial
How well did you know this?
1
Not at all
2
3
4
5
Perfectly
8
Q

Cefaleias Secundárias

Snoop 10

S

A
  • Sintomas Sistêmicos
  • (Febre Isolada-> Nasofaringe, sinusite
  • Défits focais ou meníngeos-> meningite ou encefalite)
  • Perda de Peso -> Neoplasia, infecç oportunista
  • Claudicação de mandíbula -> Neuropatia óptica isquêmica anterior - Noia arterítica - Perda visual súbita, suspeitar de arterite temporal
How well did you know this?
1
Not at all
2
3
4
5
Perfectly
9
Q

Cefaleias Secundárias

Snoop 10

N

A
  • Sintomas Neurológicos
  • Distúrbios de fala, visuais, conciência, comportamental… ( Encefalite)
  • Sinais meníngeos, crises convulsiva
How well did you know this?
1
Not at all
2
3
4
5
Perfectly
10
Q

Cefaleia Secundárias

Snoop 10

OO

A
  • Onset ou Início (perguntar a velocidade para atingir pico da dor)
  • Início súbido ou agudo -> Thunderclap -> Vascular
  • Older ou Idade -> > 50 anos de idade não é comum sinalisar cefaleia nova
  • Persistente ou progressiva, início de HIC por tumor
How well did you know this?
1
Not at all
2
3
4
5
Perfectly
11
Q

Cefaleia Secundária

Snoop 10

p10

A
  1. Painkiller Overuse ( Cefaleia >=15 dias no mês)- Refratariedade ao tratamento
  2. Progressão (Abrupta ou Piorante)
  3. Padrão temporal (Aguda ou Crônica, antiga ou recente) -> Nova( Sec), Antiga (Primária)
  4. Papiledema -> HIC, hemorragias, palidez de papila(Mielite óptica)
  5. Posicional -> HIC, hipotensão liquórica (Fístula Liquórica)
  6. Puerpério
How well did you know this?
1
Not at all
2
3
4
5
Perfectly
12
Q

Investigação

Cefaleia

A
  • tem sempre? muda forma? como começou a dor? Usa medicamento para dor? melhora? Já teve que perder atividade pela dor?
How well did you know this?
1
Not at all
2
3
4
5
Perfectly
13
Q

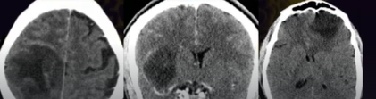
Cefaleia

Pressão Intracraniana

A
  • PPC = PAM - PIC
  • Complicações: Herniações
  • Rebaixamento da conciência
  • Vômito em jato
  • Cefaleia
  • Defit neurológico focal
  • HAS, bradicardia, arritmia respiratória -> Sinais de descompensação
Desvio de Linha Média Apagamento de Sulcos e Giros Apagamento de Ventrículo
How well did you know this?
1
Not at all
2
3
4
5
Perfectly
14
Q
A
How well did you know this?
1
Not at all
2
3
4
5
Perfectly
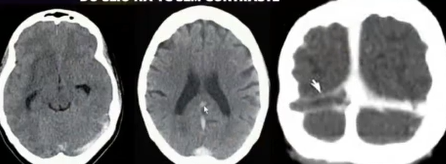
15
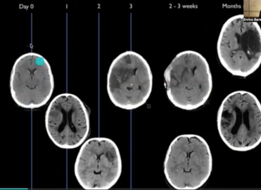
Q

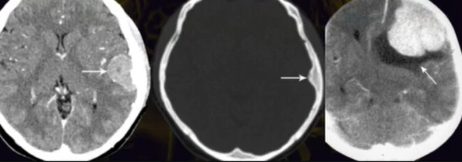
Cefaleia

AVCi Maligno

A
  • AVCi de grande extensão que leva a edema de efeito de massa
  • Invisível nas primeiras horas
  • Hiperdensidade da cerebral média
  • Perda de diferenciação corticosubcortical
  • TC APENAS EXCLUI SANGRAMENTO(CEFALEIA + COMUM NO hemorrágico)
How well did you know this?
1
Not at all
2
3
4
5
Perfectly
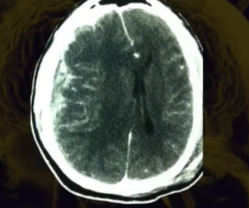
16
Q

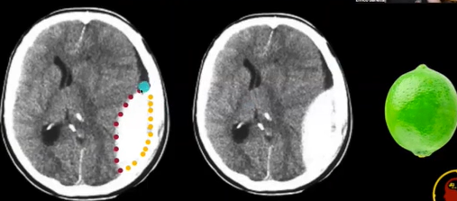
Cefaleia

Trombose Venosa Cerebral

A
  • Hiperdensidade assimétrica na topografia na TC sem contraste
  • Cefaleia refratária secundária com mudança de padrão em mulheres jovens
  • Angiotomografia
  • Sinal do delta vazio = TVC da cofluência dos seios
Hiperdensidade no trajeto do seio Cofluencia do seio hiperdensa Seio Reto Hiperdenso
17
Q

Cefaleia

Trombose V de Seio Cavernoso

A
  • Proptose + Exoftalmia + Oftalmoplegia
  • Dor
  • Perda de visão
  • Papiledema
  • Febre
  • Hiperemia ocular
  • Causa infecciosa no geral
18
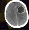
Q

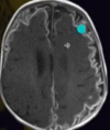
Cefaleia

Massas

Lesão isodensa com edema vasogênico
A
  • Lesão bem definida
  • EDEMA VASOGÊNICO na substância branca
  • JOGAR CONTRASTE
  • Lesão hiperdensa, hipodensa ou mista bem delimitado
  • Edema vasogênico perilesional

MAGIC DR L
Metástase, abscesso, glioblastoma, isquemia, contusão, desmielinização, radionecrose, linfoma, neurotoxoplasmose

19
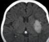
Q

Massas

Gliomas

Glioma de baixo Grau
A
  • Mais comum: Glioblastoma
  • CAPTANTE DE CONTRASTE e heterogêneo com edema perilesional
  • Gliomas de baixo grau: Pouco captante e com apagamento de sulcos locais, segue anatomia, insidiosos
20
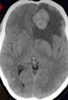
Q

Massas

Meningiomas

A
  • Relacionado às meninges - Extra-Axial
  • Grande Realce com contraste (Hiperostose ou calcificação)
  • Edema vasogênico ou vascularização centrífuga
  • Cresce de dentro para fora
  • Vascularização de dentro p fora no contraste = Maligno
Edema vasogênico, ostoscitose e fenda liquórica
21
Q

Massas

Metástase

A
  • Lesão única ou múltipla
  • EDEMA VASOGÊNICO = CONTRASTE!!!
  • 40% mama, pulmão, próstota, melanoma
  • Captam contraste geralmente
  • Comum na fossa posterior (Hidrocefalia e HIC)
  • SEMPRE PESQUISAR! TU MAIS COMUM DO SNC
Primeiro APENAS EDEMA VASOGÊNICO!!!
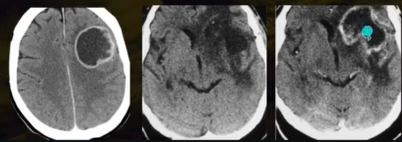
22
Q

Sangramentos

O que mostra a TC?

A
  • Sangramento extradural
  • Rotura de AA meníngea média
  • Trauma
  • Biconvexo
23
Q

O que mostra a TC?

A
  • H. subdural
  • Biconcavo
  • Alto impacto
  • Ruptura de veia ponte
  • Álcoolatras e idosos
24
Q

Sangramento

O que mostra a TC?

A
  • H. subaracnoidea traumática
  • Mais comum
  • Reabsorção espontânea
H. subaracnoidea espontanea, INVESTIGAR ANEURISMA
25
# Sangramentos O que mostra a imagem?
* AVCh * HAS * Microaneurismas * Outra causa: angiopatia amiloide
26
# Infecciosa Abscesso cerebral
* Centro necrótico + realce anelar * Sinusite, mastoidite, infec de partes moles * Pode extravazar para ventrículo * Edema vasogênico em alguns casos * CLÍNICA E LABORATORIAL
27
# Infecciosa Meningite
* TC e RM provavelmente normais * Hidrocefalia pode ter * Hiperdensidade de cisternas * Hiperdensidade na topografia das meninges * Realce das folhas cerebelares
28
# Infecciosa Meningite tuberculosa
* Hiperssinal T1 com contraste * HIV+ rebaixamento de conciência * Realce das cisternas basais
29
# Infecciosa Encefalite herpética
* Lesão em lobo temporal * **Crise convulsiva, febre, cefaleia** * Hipersinal de RM
30
# Especiais Síndrome da vaso constrição reversível
* Vasoconstrição e dilatação arterial multifocal encefálica reversível * Desrregulação temporária do tônus vascular cerebral * **Cefaleia recorrente de dias ou semanas de início súbito, alta intensidade e autolimitada (1-3 meses)** * Complicação: AVCi e h * Pode ter défit neurológico focal, convulsão e cefaleia pode estar ausênte * FR: **Farmacos ativos, farmaco, tumores secretores de catecolaminasm porifiria, feocromocitoma, maconha, crise hipertensiva e trauma, vaso constritores nasais, gestação e puerpério.** * TC pode apresentar alterações hemorrágicas * ANGIO TC e RM primeiras semanas normal ou apenas vasocs de vasos periféricos * Angio TC e RM avançada - Acometimendo de vasos centrais (Aspecto colar de pérolas) * Padrão ouro - Angiografia - Vasoconst * Confirmação diagnóstica: Repetir exame em 3 meses e busca de regressão ## Footnote DD por neuroimagem (angiotc e RM)
31
# Especiais Angeíte primária do SNC
* Homens de meia idade * Insidiosa e crônica (Cefaleia) * Comprometimento cognitivo, cefaleia ausência em alguns casos * Pode apresentar défit neurológico focal e crises convulvas * LCR linfocitose e bandas oligoclonais * Neuroimagem: Infartos prévios, angiotc ou rm acometimento de vasos centrais (Aspecto colar de contas) * Padrão ouro - Angiografia com segmentos arteriais estenosados e dilatação em outros
32
# Especiais Síndrome da encefalopatia reversível posterior
* Edema cerebral vasogênico * Podemos ver cefaléia, alteração de estado da conciência, esturpor, coma e défit neurológico focal e alterações visuais(Cegueira). * Geralmente posterior, nem sempre reversível * Na neuroimagem: Edema vasogênico (Alteração em subst branca que poupa subst cinzenta) * Hipersinal do flair na região acometida * Duas cerebrais posteriores acometidas!