CEFALEIA Flashcards

(295 cards)

1
Q

Quais as causas de cefaleia secundária?

A

MNEMONICO: SNOOP

How well did you know this?
1
Not at all
2
3
4
5
Perfectly
2
Q

Como podemos questionar um paciente sobre cefaleia thunderclap?

A

Perguntando se a cefaleia era muito forte e foi de ‘‘0 - 100’’ em menos de um minuto

How well did you know this?
1
Not at all
2
3
4
5
Perfectly
3
Q

Qual é a principal causa de cefaleia em thunderclap recorrente?

A

Síndrome da vasoconstricção cerebral reversível

*HSA é a principal causa de thunderclap isolada

ATENÇÃO!!
- CT e Punção lombar vão vir normal!!
- Requer RNM e/ou PAG

How well did you know this?
1
Not at all
2
3
4
5
Perfectly
4
Q

SINDROME DA VASOCONSTRICÇÃO CEREBRAL REVERSIVEL
Como é a cefaleia?

A

THUNDERCLAP e recorrente
- Principal causa
- CT e LCR geralmente normais
*15% com PRES associado

How well did you know this?
1
Not at all
2
3
4
5
Perfectly
5
Q

SINDROME DA VASOCONSTRICÇÃO CEREBRAL REVERSIVEL
Como é a cefaleia?

A

THUNDERCLAP e recorrente
- Principal causa
- CT e LCR geralmente normais (o que pode afastar HSA)
*15% com PRES associado

How well did you know this?
1
Not at all
2
3
4
5
Perfectly
6
Q

Quais as causas de cefaleia thunderclap?

A

HSA

Sind. vasoconstricção reversivel

dissecção

TVC

outros: Hipotensão intracraniana espontânea; apoplexia hipofisária; cisto coloide do terceiro; crise hipertensiva aguda

How well did you know this?
1
Not at all
2
3
4
5
Perfectly
7
Q

Para maioria das causas secundárias de cefaleia o método de imagem de escolha é:

A

RNM

(com estudo de vaso se suspeita de doença cerebrovascular)

How well did you know this?
1
Not at all
2
3
4
5
Perfectly
8
Q

QUAIS OS ACHADOS DA RNM DA HIPERTENSÃO INTRACRANIANA IDIOÁTICA?

A
How well did you know this?
1
Not at all
2
3
4
5
Perfectly
9
Q

HIPOTENSÃO INTRACRANIANA
- Quais os achados da RNM?

A

Espessamento da paquimeninge: principalmente
Aumento da hipófise
Derrame subdural
Redução da distância mamilopontina
Achatamento do tronco encefálico

MNEMONICO:
S: subdural fluid collections
E: enhancement of the pachymeninges
E: engorgement of the venous sinuses
P: pituitary hyperemia
S: sagging brain

How well did you know this?
1
Not at all
2
3
4
5
Perfectly
10
Q

SCORE PARA HIPOTENSÃO INTRACRANIANA ESPONTÂNEA
- Em relação aos achados de imagem
A partir de quantos pontos é alto risco?

A

5 PONTOS

How well did you know this?
1
Not at all
2
3
4
5
Perfectly
11
Q

Cefaleia Tensional

Qual é o diagnóstico?

A

2 dos seguintes:
- Localização bilateral
- pressão ou aperto
- Fraca ou Moderada
- Não agravada por atividade física

Ambos:
- ausência de náusea ou vômito
- apenas fotofobia ou fonofobia

CEFALEIA DO NÃO

How well did you know this?
1
Not at all
2
3
4
5
Perfectly
12
Q

cefaleia tensional
- quando é considerada crônica?

A

> ou igual a 15/mês

Na cefaleia tensional crônica pode ter foto ou fonofobia ou náusea leve

How well did you know this?
1
Not at all
2
3
4
5
Perfectly
13
Q

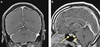
cefaleia tensional
quando é indicado a profilaxia?

A

Ataques frequentes* e incapacitantes

*>2 ou 3 dias por semana por 6 - 12 meses

How well did you know this?
1
Not at all
2
3
4
5
Perfectly
14
Q

Cefaleia tensional
- quais os fármacos para profilaxia?

A

Amitriptilina
Venlafaxina
Mirtazapina

How well did you know this?
1
Not at all
2
3
4
5
Perfectly
15
Q

A maioria dos pacientes que procuram o médico por cefaleia
possuem:

A

MIGRÂNEA

How well did you know this?
1
Not at all
2
3
4
5
Perfectly
16
Q

CRITÉRIO DIAGNÓSTICO PARA MIGRÂNEA SEM AURA
- QUAL É?

A

Ao menos 5 episódios

How well did you know this?
1
Not at all
2
3
4
5
Perfectly
17
Q

Cefaleia em pressão, bilateral, moderada intensidade, piora com atividade
- com fonofobia

qual o diagnóstico?

A

Provável migrânea

(muitos poderiam confundir com tensional)

How well did you know this?
1
Not at all
2
3
4
5
Perfectly
18
Q

Cefaleia em pressão, bilateral, moderada intensidade, piora com atividade
- com fonofobia

qual o diagnóstico?

A

Provável migrânea

(muitos poderiam confundir com tensional)

How well did you know this?
1
Not at all
2
3
4
5
Perfectly
19
Q

Migrânea
- É comum haver fadiga, alteração do humor e alteração da concentração horas a dias antes da cefaleia.
V ou F

A

VERDADEIRO

Assim como cervicalgia, sintomas parassimpáticos (congestão nasal e lacrimejamento)

How well did you know this?
1
Not at all
2
3
4
5
Perfectly
20
Q

MIGRÂNEA COM AURA

QUAL O CRITÉRIO DIAGNÓSTICO?

A

Achados típicos:
o Duração 5 - 60 minutos
 Fenômenos Visuais (+ comum)
 Escotomas cintilantes (positivo) l Manchas cegas (negativo)
 Parestesias
 Disfasia

How well did you know this?
1
Not at all
2
3
4
5
Perfectly
21
Q

Qual é a aura típica da migrânea?

A

** Visual, sensitiva e/ou fala/linguagem**
- Não motor ou tronco ou retinal (mas também pode fazer parte da aura - só não é a clássica)

Visuais: + comum
 Escotomas cintilantes (positivo) l Manchas cegas (

How well did you know this?
1
Not at all
2
3
4
5
Perfectly
22
Q

Migrânea crônica
- quando?

A

Cefaleia 15 dias ou mais por mês por mais de 3 meses
- paciente com diagnóstico prévio de migrânea
- pelo menos 8 episódios por mês com características de migrânea

How well did you know this?
1
Not at all
2
3
4
5
Perfectly
23
Q

Migrânea crônica
- pode ter cefaleia tensional like?

A

SIM!!
- Fica toda mexida
- Por isso o diagnóstico de migrânea crônica exclui o diagnóstico de cefaleia tensional

How well did you know this?
1
Not at all
2
3
4
5
Perfectly
24
Q

Como diferenciar migrânea crônica de migrânea por abuso de analgésico, tendo em vista que é comum o abuso de medicação nesse perfil de paciente?

A

Uma dica é:
melhorou com retirada/desmame de medicação = cefaleia por abuso de analgésico

ESSE É UM DIAGNÓSTICO MUITO FÁCIL DE SER CONFUNDIDO

How well did you know this?
1
Not at all
2
3
4
5
Perfectly
25
CEFALEIA por abuso de analgésico qual o critério diagnóstico?
**Cefaleia > ou igual a 15 dias por mês** + **abuso de analgésico por > 3 meses**
26
QUANTOS DIAS SERIA CONSIDERADO ABUSO PARA ANALGÉSICOS SIMPLES (AINE, dipirona e paracetamol)? E PARA OS OUTROS?
DIPIRONA, AINE, PARACETAMOL: **> 15 DIAS POR MES** OUTROS: **>10 DIAS POR MÊS** (Ex: derivados ergóticos e triptanos, opióide, combinados) - são considerados DIAS de uso!
27
ENXAQUECA COMPLICADA Quando considerada?
>24 HORAS oftalmoplegica basilar plégica
28
ENXAQUECA COMPLICADA Quando considerada?
>24 HORAS: Estado enxaquecoso oftalmoplegica, basilar
29
O que é o estado enxaquecoso?
**Cefaleia > 72h** crises álgicas incapacitantes, perdura por períodos superiores a 72 horas e apresenta‐se de maneira contínua sem remissão e não responsiva aos tratamentos habituais.
30
O que é pósdromo?
Ocorre após a cefaleia - principalmente dificuldade de concentração e cansaço
31
MIGRANEA COM AURA BASILAR ou TRONCO ENCEFÁLICO Quando suspeitar?
Ataque de: - vertigem - disartria - diplopia - ataxia particularmente em conjunto com cefaleia (a maioria das vezes antecede a cefaleia)
32
MIGRANEA COM AURA BASILAR OU TRONCO - SEMPRE OCORRE MAIS DE UMA AURA? SE SIM, QUAIS AS AURAS POSSÍVEIS?
VERDADEIRO - AO menos duas: vertigem; diplopia; ataxia; disartria; zumbido; hipoacusia; RNC
33
A presença de aura com sintomas motores faz parte da migranea basilar?
FALSO - Já afasta (fala a favor da hemiplégica)
34
A presença de aura com vertigem isolada aponta para:
migranea vestibular (não basilar)
35
QUAL O CRITÉRIO DIAGNÓSTICO PARA MIGRANEA BASILAR OU TRONCO?
**Ataque de migranea com aura** (critério a parte) + **ao menos 2:** - disartria; vertigem; zumbido; hipoacusia; diplopia; ataxia; RNC +** ausência de sintomas motores/retinianos**
36
Qual o prognóstico da migranea com aura basilar/tronco?
SÃO Autolimitadas e ataques podem remitir ou ficar mais leve ou virar migranea comum
37
Verapamil e Topiramato são os principais fármacos para profilaxia de migrânea com aura basilar/tronco V ou F
VERDADEIRO
38
Migranea vestibular é raro V ou F
FALSO - os estudos vem mostrando prevalência importante
39
Migrânea vestibular quais os principais sintomas referidos?
Vertigem: interna e externa; desequilibrio; cabeça vazia
40
Migrânea com aura basilar qual a duração média da aura?
5 - 60 minutos (mas há relato de até dias)
41
Migrânea com aura vestibular qual a duração da aura?
5 minutos até 72 horas.
42
Migrânea vestibular qual o critério diagnóstico?
Migrânea vestibular: A. Pelo menos 5 episódios preenchendo os critérios C e D. B. História atual ou pregressa de migrânea sem aura ou de migrânea com aura C. Sintomas vestibulares de moderada ou forte intensidade, com duração de 5 minutos a 72 horas D. No mínimo 50% dos episódios estão associados a pelo menos um dos três aspectos de migrânea: Cefaleia com características migranosas fotofobia e fonofobia aura visual E. Não pode ser explicada por outra forma de cefaleia ou outra síndrome vestibular
43
Migrânea vestibular - é mandatório ter cefaleia
FALSO A. Pelo menos 5 episódios preenchendo os critérios C e D. B. História atual ou pregressa de migrânea sem aura ou de migrânea com aura C. Sintomas vestibulares de moderada ou forte intensidade, com duração de 5 minutos a 72 horas D. No mínimo 50% dos episódios estão associados a pelo menos um dos três aspectos de migrânea: Cefaleia com características migranosas fotofobia e fonofobia aura visual E. Não pode ser explicada por outra forma de cefaleia ou outra síndrome vestibular
44
Migrânea hemiplégica Quais as etiologias?
HEREDITARIO (50%): **migrânea hemiplégica familiar** - Vários genes envolvidos (exemplo FHM1, 2...) ESPORÁDICO (50%)
45
Migrânea hemiplégica sua prevalência é alta?
NÃO É uma doença rara
46
Migrânea hemiplégica Qual o critério diagnóstico?
**2 ataques de migrânea com aura** + **aura consistindo de:** tem que ter 2 tipos de aura - **fraqueza motora reversível** +1 DESSES:: **aura visual, sensitiva ou de linguagem.**
47
Maioria dos pacientes com migrânea hemiplégica não possuem cefaleia V o uF
FALSO - A maioria tem cefaleia com cada ataque (geralmente durante a aura)
48
Migranea hemiplégica - somente a presença da aura motora + cefaleia fecha diagnostico V ou F
FALSO - Tem que ter outro tipo de aura associado
49
Migranea hemiplégica - somente a presença da aura motora + cefaleia fecha diagnostico V ou F
FALSO - Tem que ter outro tipo de aura associado
50
Migranea hemiplegica os sintomas podem durar horas - dias V ou F
VERDADEIRO, mas geralmente < 72 horas - Pode causar até coma, encefalopatia em casos mais graves e raros
51
Aura retiniana o que é?
Crises de distúrbio **MONOCULAR:** **cintilações, escotomas ou amaurose** reversível + durando **5 - 60 minutos** + acompanhada de cefaleia dentro de 60 minutos
52
Aura retiniana qual a complicação?
perda visual permanente - em estudo demonstrou 43% de ocorrência
53
Quais as indicações clássicas de profilaxia na migrânea?
**>=4 episódios leve /mês** ou **>=2 graves/mês** **enxaqueca complicada**
54
Quais os objetivos da profilaxia migranea?
reduzir frequencia principalmente (em 50% ou mais é bom) - reduzir morbidade se possivel
55
Quais os principais fármacos utilizados para profilaxia de migrânea?
Propanolol/Metoprolol Venlafaxina Topiramato Amitriptilina Ácido valproico
56
Quais fármacos possuem nível de evidência A para profilaxia de migrânea?
**Topiramato Ácido valproico meto/propanolol** amitriptilina e venlafaxina é B You better BAT -> Beta-bloqueador; Ácido valproico; Topiramato.
57
Nortriptilina pode ser utilizada para profilaxia de migrânea?
É menos estudada - nivel de evidencia desconhecido *mas frequentemente prescrita por ser melhor tolerada do que sua "irmã"
58
Notriptilina pode ser utilizada para profilaxia de migrânea?
É menos estudada - nivel de evidencia desconhecido *mas frequentemente prescrita por ser mais bem tolerada do que sua irmã
59
Um dos problemas da venlafaxina é a síndrome de sua retirada V ou F
VERDADEIRO
60
Paciente com insônia - qual profilaxia para migranea pode ser uma boa opção?
Amitriptilna
61
Paciente com sintomas depressivos - qual profilaxia para migranea pode ser uma boa opção?
Venlafaxina e amitriptilina
62
Paciente obeso - qual profilaxia para migranea pode ser uma boa opção?
Topiramato
63
Paciente hipertenso - qual profilaxia para migranea pode ser uma boa opção?
betabloqueadores e verapamil
64
Betabloqueadores (migranea) - a dose deve ser titulada e mantida por ao menos 03 meses antes de se considerar falha V ou F
VERDADEIRO Pode levar semanas ate melhorar a dor de cabeça
65
Profilaxia para migrânea em quem deseja gestar quais?
amitriptilina propranolol: primeira linha
66
Verapamil é uma boa opção para profilaxia em migrânea com aura V ou F
VERDADEIRO - E bem tolerado
67
Anticorpos monoclonais para enxaqueca - são bons?
ANTICORPO MONOCLONAL CGRP - EFICAZES - POUCOS EFEITOS ADVERSOS - INFUSÃO MENSAL OU QUADRIMESTRAL - Baixa interação medicamentosa = pode manter a outra profilaxia farmacologica PROBLEMA: CUSTO E BAIXA DISPONIBILIDADE
68
anticorpos monoclonais CGRP - Migrânea qual sua limitação?
O CUSTO E DISPONIBILIDADE
69
anticorpos monoclonais CGRP - Migrânea Quando indicar?
**************SUGERE-SE AVALIAR NOS CASOS:** Pacientes que **NÃO TOLERAM** ou **NÃO RESPONDEM AO MENOS 2 TERÁPIAS** CONVENCIAIS EM UM TRIAL DE 6 SEMANAS CADA ou **POSSUEM CONTRAINDICAÇÃO PARA USAR OS MEDICAMENTOS**
70
Profilaxias bem estabelecidas para migrânea crônica - quais são?
**Topiramato Onabotulinumtoxina Anticorpo monoclonal CGRP** *Ácido valproico, amitrptilina, gabapentina parece que são bons também
71
Como manejar abuso de analgesico?
Descontinua-los (na USP usamos clorpromazina) - e iniciar profilaxia logo após - (ppt topiramato e onabotulinumtoxina)
72
Migrânea crônica - além do tratamento farmacológico o que podemos fazer?
Tratar comorbidades psiquiatricas, SAOS, praticar atividade física
73
Quais os tratamentos não farmacológicos propostos para migrânea?
Mudança dos habitos de vida Suplementos nutricionais: magnesio, VitB12, Coenzima Q10 Terapia comportamental: TCC, Meditação etc.... Acupuntura
74
Hipertensão mal controlada não contraindicada venlafaxina?
é uma CI relativa
75
EXISTE TRATAMENTO PARA PARESTESIA V ou F
FALSO
76
Quais tratamentos farmacológicos possuem alta evidencia para migranea (aguda)?
**STEP 1**: ANALGÉSICOS SIMPLES/ANTI-INFLAMATÓRIO +- Antieméticos para dor **STEP 2**: Triptanos (indicados >6 anos o rizatriptano, sumatriptano >8 anos) +- ANTI-INFLAMATÓRIO **STEP 3**: TRIPTANOS + NAPROXENO Outros (ausência de evidência robusta): Ergotamina, Clorpromazina, ácido valproico, ondansentrona em associação. **paracetamol dipirona Aspirina Naproxeno Ibuprofeno Triptanos Diclofenaco Anti-eméticos: melhora gastroparesia (ajuda absorção do fármaco), efeito farmacológico ** *ergoticos e opioides não
77
Opioides são primeira linha para tratar migranea V ou F
FALSO have limited use in migraine, and evidence suggests that use of these products is likely to cause more harm than benefit in people with migraine
78
Quais os principais AINE's para migranea?
Ibuprofeno Diclofenaco Aspirina Naproxeno
79
Quais as principais contraindicações aos triptanos?
**História de doença cardiovascular ou cerebrovascular** (hipertensão descontrolada, DAOP, arritmia, migranea hemiplégica, etc...)
80
Tem que aguardar quanto tempo após uso de ergotico para usar triptano?
24H no inverso deve-se aguardar 6 horas (usou triptano e quer usar ergotico)
81
Uma ótima opção é associar triptano com paracetamol ou AINE V ou F
VERDADEIRO - Há inclusive uma formula com sumatriptano e naproxeno (Sumax Pro - 50 + 500 mg - vem com dois comprimidos).
82
Uma das limitações ao triptano é que é recomendado usar no inicio dos sintomas V ou F
VERDADEIRO e deve-se aguardar ao menos 2 horas para repetir (cuidado com a dose máxima diária)
83
Quanto utilizar um triptano devemos escolher entre suas características, exemplo inicio de ação mais rápido em crises de inicio mais intenso ou medicações com maior meia-vida em crises mais prolongadas V ou F
VERDADEIRO - Naratriptano é uma boa opção para quadros mais prolongados e não é muito sintomático no inicio - Rizatriptano possui inicio e pico precoce - boa opção para quem é muito sintomático no inicio
84
Quanto utilizar um triptano devemos escolher entre suas características, exemplo inicio de ação mais rápido em crises de inicio mais intenso ou medicações com maior meia-vida em crises mais prolongadas V ou F
VERDADEIRO - Naratriptano é uma boa opção para quadros mais prolongados e não é muito sintomático no inicio - Rizatriptano possui inicio e pico precoce - boa opção para quem é muito sintomático no inicio
85
Só temos triptanos na formulação oral V ou F
FALSO Oral, spray nasal, subcutâneo | Sumatriptano; Naratriptano; Razatriptano; Zolmotriptano
86
Qual o problema dos derivados ergotamínicos?
**Maior efeitos colaterais: fenitoína da migrânea** nausea, vomiting, and cardiovascular effects + **biodisponibilidade errática** | Tem que aguardar 6 horas se usou triptano previamente
87
deve-se evitar os derivados ergotamínicos nos:
pacientes com doença cardiovascular, vascular periférica e hipertensão descontrolada
88
Lasmitidan (novo fármaco) é uma boa opção porque tem poucos efeitos colaterais
VERDADEIRO - Tem uma eficácia moderada para abortar crise de migrânea e poucos efeitos adversos (mesmo em vasculopatas) - Recomendado utilizar apenas 1 vez ao dia
89
Lasmitidan pode ser indicado em quais casos?
Intolerância/contraindicação ou baixa resposta ao triptano
90
O que são GEPANTS e qual seu uso?
Antagonistas do CGRP (Calcitonin gene-related peptide) - Importante papel na migrânea USO: Abortivo na migrânea Quando: pacientes que não podem ou falharam com uso do triptano. Menos efeitos adversos | rimegepant e ubrogepant
91
Paciente com alto risco cardiovascular - quais medicações novas para migranea aguda podem ser boas opções?
TIDAN ou GEPANT
92
Quais opções não farmacológicos para a crise aguda de migranea?
neuromodulação técnicas comportamentais
93
... são usados como primeira linha para abortar ataques de migranea severos
TRIPTANOS Aines são a primeira linha para leve/moderado
94
AURA PERSISTENTE SEM INFARTO - O QUE É? - TRATAMENTO?
Paciente com migranea com aura prévia, porém com aura se estendendo muito (geralmente > 1 semana) + imagem sem evidencia de infarto lamotrigina é uma opção
95
O QUE É O INFARTO MIGRANOSO?
Paciente com aura típica > 60 minutos + neuroimagem demonstrando infarto
96
> 60 minutos de aura devemos investigar:
**infarto migranoso** Maioria ocorre apenas com alteração visual! território de circulação posterior (80%) importante causa de AVC em jovem
97
Infarto migranoso -trat e profilaxia
Lamotrigina e AAS
98
O que é migralepsia?
**Crise epiléptica ocorrendo durante ou até 1 hora após migrânea com aura** *dar preferência aos FAC como profilaxia
99
Qual o tratamento do status migranoso?
**Hidratação EV**  Geralmente necessita de **politerapia** - Medicações sinérgicas ** Sulfato de Magnésio**: é uma opção acessível e com poucos efeitos colaterais  **Metoclopramida / Clorpromazina**: cuidado com essas duas associações, mas é uma boa opção (difenidramina antes) ** AINE**: Melhor opção é o cetorolaco  **Corticoide**: para reduzir recorrência****
100
Quais são as cefaleias trigeminais autonômicas
Salvas Hemicrania paroxística SUNA SUNCT Hemicrania continua
101
Cefaleias trigeminais autonômica em geral, qual sua localização e sintomas?
Dor em território de **V1** Intensa e baixa duração (exceto hemicrania continua) Sintomas autonômicos associados
102
Cefaleias trigeminais autonômica quais são os principais sintomas autonômicos?
Ptose Miose Lacrimejamento Edema periorbital Rinorreia Sudorese Vermelhidão
103
Pode ocorrer características migranosas nas Cefaleias trigeminais autonômica V ou F
VERDADEIRO Náusea, foto/fonofobia
104
Cefaleia em salvas qual a clínica?
**UNILATERAL**: frontal, temporal, periorbital **Sintomas autonômicos ipsilaterais** e/ou **Agitação** **Fortissima intensidade** **Ritmo circanual / circadiano** **15 - 180 minutos** (*quando nao tratado)*
105
Cefaleia em salvas Algumas pessoas experimentam cefaleia ''interictal'' ou continua em menor intensidade V ou F
VERDADEIRO
106
Cefaleia em salvas Quando pensamos em episódica? Quando pensamos em crônica?
Episódica: remissão dura 3 meses ou mais Crônica: remissão dura menos do que 3 meses
107
Cefaleia em Salva - o que seria o ritmo circadiano e circanual?
- **Ritmo Circadiano: **No geral tem de 2 – 4 crises ao dia; ***mais no período noturno e madrugada * - **Ritmo Circanual**: *tendência a piorar durante alguns períodos do ano*
108
O que pode desencadear ou exacerbar a cefaleia em salvas?
Álcool Privação do sono
109
Cefaleia em salvas qual a duração?
15 - 180 minutos
110
Cefaleia em salvas é muuito mais comum em homens V ou F
FALSO (Antes acreditava-se que era até 7:1) 2 - 3 : 1 idade mais acometida: 20 - 50 anos
111
Cefaleia em salvas - tende a ser ''side switching'' v ou f
falso - tende a pegar o mesmo lado (mas não sempre)
112
Na suspeita de cefaleia em salvas devemos pedir...
Neuroimagem!! excluir outras causas: exemplo dissecção, TVC
113
CEFALEIA EM SALVAS - QUAL O/OS TRATAMENTO(S) AGUDO?
SUMATRIPTANO SC Zolmitriptano spray nasal OXIGENOTERAPIA: 10 - 15L/min via máscara não reinalante, paciente sentado e fletido para frente
114
CEFALEIA EM SALVAS - QUAL O INTUITO DO CORTICOIDE?
REDUZIR O PERIODO DE CLUSTER (Dias - exemplo) PONTE PARA A PROFILAXIA - Verapamil PREDNISONA: 100 MG POR 05 DIAS, seguido por 03 dias com doses reduzidas em 20 mg cada
115
cefaleia em salvas profilaxia (cite-as)
**VERAPAMIL**: Principal, 40 - 80 MG 3X/D, escalonando conforme tolerância (alguns chegam a 400 mg/d ou mais) **Litio:** nível terapêutico mais estreito **Anticorpo monoclonal:** galcanezumab SC
116
verapamil na cefaleia em salvas qual o risco associado?
BAV 1º GRAU - Acompanhar com ECG (realizar a cada aumento)
117
A PROFILAXIA PARA SALVAS É PERENE V OU F
FALSO - DEVE SER MANTIDA POR ATÉ 2 SEMANAS APÓS O FIM DO CLUSTER E DEPOIS DESCONTINUADA - E retornada se necessário | Para prevenir taquifilaxia
118
Hemicrania paroxistica é uma cefaleia em salvas, com ataques mais curtos e acometendo mais mulheres V ou F
V - Possui ritmo circadiano e reposta muito boa com indometacina
119
Hemicrania paroxistica - gatilho: consumo de álcool
Não - isso é salvas aqui o típico é movimento cefálico
120
Hemicrania paroxistica - pode ser cronica ou episodica - (qual a diferença?)
3 meses ou mais de remissão é episodica Menos de 3 meses de remissao é cronica *diferente da salva **a maioria é crônica**
121
Hemicrania paroxistica - qual o critério diagnóstico?
O critério C é: 1) sintomas autonômicos ou 2) agitação/inquietude
122
qual a pegadinha no critério diagnóstico da hemicrania paroxistica?
Eles incluem resposta com indometacina *o problema é que pode ser que algumas pessoas não consigam usar por intolerancia ou contraindicação
123
QUAL O TRATAMENTO PARA HEMICRANIA PAROXISTICA E CONTINUA?
INDOMETACINA - Resposta completa com Indometacina!!  25 mg, 3x/d, por 3 dias; aumenta para 50 mg, 3x/d, por 10 dias; aumenta para 75 mg, 3x/d, por 10 dias
124
QUAL A DURAÇÃO DA DOR NA HEMICRANIA PAROXISTICA?
2 - 30 MINUTOS
125
SHORT-LASTING UNILATERAL NEURALGIFORM HEADACHE ATTACKS **(SUNHA)** quais sãos os 2 tipos?
**SUNA SUNCT** The disorder often remains unrecognized, and patients remain undiagnosed
126
O QUE SIGNIFICA SUNCT E SUNA?
o **Short-lasting unilateral neuralgiform headache attacks with conjunctival injection and tearing (SUNCT)**: lacrimejamento e edema conjuntival o **Short-lasting unilateral neuralgiform headache with autonomic symptoms (SUNA) **Apresenta apresenta um ou nenhum dos dois acima**
127
QUAL O CRITÉRIO DIAGNÓSTICO PARA SUNCT E SUNA?
conjuntival injection - hiperemia ocular
128
QUAIS OS PRINCIPAIS SINTOMAS PARA SUNHA (SUNCT E SUNA)
território de V1 + unilateral + pontada + curta duração (1 – 600 segundos) + sintomas autonômicos *parece uma neuralgia do trigemeo, mas com sintomas autonomicos
129
Qual a duração de SUNHA (SUNCT e SUNA)
1 - 600 SEGUNDOS
130
AS SUNHA (SUNCT E SUNA) - Qual o tratamento?
Geralmente são refratários:  Lidocaína EV para caso agudo (outros: corticoide, fenitoína)  Lamotrigina para controle crônico
131
Hemicrania continua qual o critério diagnóstico?
duração extremamente variavel, durando em média 30 minutos
132
as hemicranias são mais cronicas do que episodicas V ou F
VERDADEIRO
133
Das cefaleias primárias esquisitas, quais são as de maior duração?
Cefaléia Nova diária e persistente Numular
134
Quais são as cefaleias primárias com gatilho de exercício físico?
Tosse Orgástica cefaleia por exercicio fisico
135
**Cefaleia primária da tosse** como é o diagnóstico?
**2 episódios de cefaleia induzidos por tosse/valsalva (ex: risada) e ocorridos apenas por isso** - geralmente de curta duração - classicamente responde a indometacina - mas geralmente ñ necessita de tratamento - excluir outras causas: lesões da fossa posterior pode causar e hipotensão liquórica - É uma causa comum: 1% da população
136
Cefaleia primária do exercício físico como é o diagnóstico?
**2 episódios com gatilho e ocorrendo apenas no contexto de exercício** - duração < 48h (as vezes < 5 min) - 50% das vezes tem comorbidade com migranea (mas a duração é curta e pode não ter caracteristica migranosa) - necessita excluir causas secundárias = TVC/Aneurisma/Cefalgia (angina com cefaleia) - geralmente é auto limitada
137
Cefaleia primária associada a atividade sexual com é o diagnóstico?
2 cefaleias ou nucalgia associada somente a atividade sexual - Inicio pode ser com aumento da excitação, antes ou durante o orgasmo - Forte intensidade do 1 min até 24 horas *se RNC, vomito, alteração do NC ou apresentação nova -> suspeitar de causa secundaria -> principalmente HSA OUTRA: RCVS
138
Cefaleia primária associada a atividade sexual - qual a prevenção?
Posição sexual mais passiva e/ou Indometacina ou triptano antes da relação *se ataques muitos frequentes pode-se usar propranolol ou indometacina continuamente
139
Cefaleia primária por estimulo frio são 2 tipos, quais são?
Cefaleia por estimulo frio externo: exemplo mergulhar em água gelada Cefaleia atribuida a ingestação ou inalação de algo frio
140
Cefaleia primária por estimulo frio como é feito o diagóstico?
Cefaleia ocorre exclusivamente com o estimulo e se resolve em até 30 minutos após cessar estimulo externo ou 10 minutos após ingestação/inalação
141
Cefaleia primária por estimulo frio como é feito o diagóstico? qual o tratamento?
Só orientações - muito comum - migranosos possuem bastante associação
142
Cefaleia por pressão externa - o que é? - qual o diagnóstico?
Ocorre quando há algo pressionando a cabeça ex: CPAP, Máscara, óculos de natação - Cefaleia é máxima no ponto de pressão e se resolve em até 1 hora após suspensao do extimulo externo
143
Cefaleia primária em facadas - o que é? - qual o critério diagnóstico?
**Facada com duração de esgundos + ocorrendo uma à varias vezes ao dia** - dor fora do território do trigemeo em 70% - não há gatilho cutâneo como a trigeminalgia - não há sintomas autonômicos como a SUNCT/SUNA não precisa de neuroimagem se ñ tiver red flag
144
Cefaleia em trovoada (thunderclap) primária o que é?
**Cefaleia em trovoada** (abrupt onset, maximal intensity within 1 minute, and duration of at least 5 minutes) **exclusão de causas secundárias** The diagnostic approach necessitates structural neuroimaging of the brain and arteries and often examination of the CSF. The radiographic vasospasm characteristic of RCVS is often not observed before 2 to 3 weeks, so imaging findings may be normal at initial presentation Recurrent thunderclap headaches should be presumed to have a secondary cause. If the results of a neurodiagnostic evaluation are normal, patients with recurrent thunderclap headache should be initially presumed to have a clinical diagnosis of RCVS and asked about exposure to marijuana, stimulants, and serotonergic drugs known to precipitate vasoconstriction.
145
CEFALEIA HIPNICA o que é? como é o diagnóstico?
**Cefaleia ocorre ao menos 10 dias por mês por 3 meses** - **dura 15 min - 4 horas após acordar** - **classicamente inicia de madrugada** (2 -4 da manhã) - não há agitação ou sintomas autonomicos como a salvas - pode ser migraine ou tension-like - deve excluir causas secundárias
146
CEFALEIA HIPNICA Como pode-se prevenir?
**caffeine or indomethacin before sleep** lithium may help if the headache is refractory
147
CEFALEIA NUMULAR o que é? como é o diagnóstico?
**Cefaleia continua ou intermitente numa área do escalpo, geralmente leve-moderado, com as características a seguir:** -Nitidamente contornado -Fixo em tamanho e forma - Redondo ou eliptico - 1 a 6 cm de diâmetro tratado com gabapentina, se necessário
148
Cefaleia nova, diária e persistente o que é?
Imitador da tensional e migrânea dx: **cefaleia persistente, continua e sem remissão por 24 horas** - inicio claro e distinto, com Memória do início - deve ser presente por 3 meses ao menos Pode ter fenótipo tensional ou migraine-like Geralmente ñ possuem história de cefaleia Deve excluir causas secundárias
149
Cefaleia nova, diaria e persistente - se o individuo não se recordar bem do inicio e fatos relacionados - afasta o diagnóstico?
VERDADEIRO Individuals with NDPH can pinpoint the exact date their headache started. The pain is constant and lacks special characteristics
150
Cefaleia nova, diaria e persistente é facil de tratar V ou F
FALSO É uma das primárias mais refratárias
151
Qual a diferença entre neuralgia e neuropatia?
Neuralgia: dor lancinante em um dermatomo (geralmente) - em facada/choque Neuropatia: Pode ter Deficit sensitivo e dor neuropática com componentes neuropáticos (queimação, formigamento), pode ter fraqueza tbm
152
Neuralgia do trigêmeo - como é feito o diagnóstico?
Paroxismos de dor unilateral em territorio do trigêmeo apenas (1 ou mais divisões)
153
Neuralgia do trigemeo clássica e secundária qual a diferença?
clássica: compressão neurovascular (conflito neurovascular, geralmente pela cerebelar superior) outra causa: secundária (ex: EM) Idiopática: sem causa descoberta
154
Dormência/alteração sensitiva na neuralgia do trigêmeo é esperado V ou F
FALSO
155
CITE GATILHOS DA NEURALGIA DO TRIGEMEO
Manobras que ativam o trigemeo: - mastigar - comer - falar - escovar os dentes - toque na face - vento frio no rosto
156
Neuralgia do trigemeo - o que é o processo de latência?
após o gatilho há um período que o gatilho não causa dor **after severe paroxysmal pain attacks, some patients describe a refractory period, during which additional attacks either cannot be elicited or attack severity is diminished
157
Neuralgia do trigemeo - há sintomas autonômicos V ou F
NÃO É ESPERADO (pode ter, mas não chama tanto atenção) if autonomic symptoms are pronounced or frequent, it should raise clinical suspicion for a trigeminal autonomic cephalalgia such as short-lasting unilateral neuralgiform headache attacks with cranial autonomic symptoms (SUNA) or short-lasting unilateral neuralgiform headache attacks with conjunctival injection and tearing (SUNCT).
158
neuralgia do trigêmeo qual território e mais afetado? qual é menos? é normal ser bilateral?
V3 é mais comum V1 é menos cmum Bilateral é incomum = red flag para causa secundária (ex: neoplasia) Obs.: o lado DIREITO é o mais comumente acometido.
159
Neuralgia trigeminal Clássica - não há preferência por sexo - idade de inicio é 20 anos V ou F
SEXO FEMININO > MASCULINO (5:1) GERALMENTE > 50 ANOS *a secundária e idiopática pode varirar
160
Quais são as red flag para neuralgia do trigemeo?
**Bilateral Jovem Alterações sensitivas Mais refratário** ex: EM / Tumor do angulo cerebelopontino outros: MAV, Aneurisma, cisto epidermoide, infarto tronco
161
SE A DOR É ELICITADA POR ESTIULO MASTIGATÓRIO, ESCOVAR OS DENTES E NÃO COM ESTIMULO CUTANEO DEVEMOS PENSAR EM:
pensar também em CAUSA ODONTOLÓGICA E TAMBÉM AVALIAR MASSETER
162
SE O PACIENTE TEM HISTÓRIA DE RASH / ERITEMA NA ÁREA DA DOR devemos pensar em:
Neuralgia pós-herpética
163
SE A DOR DO PACIENTE É PERSISTENTE OU NEUROPÁTICA, HÁ SINTOMA SENSITIVO DEFICITÁRIO, - DEVEMOS PENSAR EM:
NEUROPATIA DO TRIGÊMEO
164
Neuralgia do trigemeo - tratamento farmacológico de primeira linha?
**Carbamazepina** 200 mg/d to 1200 mg/d ou **oxcarbamazepina** 300 mg/d to 1800 mg/d
165
Neuralgia do trigemeo - opções de tratamento farmacológico com menos evidência:
gabapentina lamotrigina onabotulinumtoxina
166
Exacerbação aguda refratária da neuralgia do trigemeo - o que podemos faer?
Avaliação cirurgica para procedimento invasivo ou Fosfeitoina ou lidocaina EV ou bloqueio periférico
167
Neuralgia do trigemeo com evidência de compressão neurovascular - qual a terapia de primeira linha? e se não houver evidência de compressão?
**Descompressão microvascular** Se não houver compressão ou refratário ao tratamento: **neuroablação** - radiocirrugia / Compressão por balão / injeção de glicerol / rizotomia sensitiva parcial
168
Neuropatia trigeminal dolorosa se manifesta como?
**Dormência em ramos do trigêmeo - pode ter parestesia - pode ter dor neuropática continua** (queimação, agulhada) *pode ter paroxismos de dor que podem confundir ocm neuralgia *pode ter alodinea e hiperalgesia em locais, mas são diferentes dos triggers da neuralgia*
169
Neuropatia trigeminal dolorosa pode ser secundária a:
**MINT** Metabólica Infecciosa Neoplásica Traumática
170
HERPES AGUDA PODE CAUSAR NEUROPATIA TRIGEMINAL DOLOROSA?
SIM - DOR NEUROPATICA EM TERRITORIOS DE TRIGEMEO + VESICULAS NA DISTRIBUIÇÃO *Pode ter dor sem vesicula - (zoster sine herpete) -> Nesse caso precisa do PCR no LCR
171
NEURALGIA POS HERPETICA O QUE É?
**dor neuropática em região acometida pelo herpes > 3 meses após tratamento/melhora da herpes** - Tratamento: gabapentina/pregabalina, amitriptilina/nortriptilina
172
Síndrome do queixo dormente - pode ser sinal de:
Neuropatia do nervo alveolar ou mental (sem associação com procedimento dentário) - pode ser sinal de malignidade sistemica ou orofacial
173
Neuralgia do nervo do ouvido - quando pensar?
dor de ouvido com investigação negativa **Neuralgia of one of the nerves to the ear (cranial nerves V, VII, IX, X; lesser occipital nerve; and great auricular nerve)**
174
Neuralgia do nervo do ouvido - quando pensar?
dor de ouvido com investigação negativa **Neuralgia of one of the nerves to the ear (cranial nerves V, VII, IX, X; lesser occipital nerve; and great auricular nerve)**
175
Neuralgia do glossofaringeo - o que é?
**Dor paroxistica (2 seg - 2 min) em choque unilateral em território do glossofaringeo** (lingua posterior, faringe, tonsila, orelha) + **provocada** -> comer, bocejar, engolir, falar | é raro
176
Neuralgia do glossofaringeo - qual pode ser a causa?
conflito neurovascular também (PICA ou AICA) ou infitração, irritação do nervo por desmielinização; tumor
177
Neuralgia do glossofaringeo tratamento?
**Carbamazepina/oxcarbamazepina Bloqueio local** **cirurgia microvascular em casos refratários** (microvascular decompression or direct sectioning of the glossopharyngeal nerve and upper rootlets of the vagus nerve,)
178
Neuralgia do nervo intermedio qual a clinica?
ramo parassimpático do facial e sensibilidade da lingua e orelha **dor paroxistica na orelha em facada + desordem de lacrimação ,salivação ou paladar + gatilhos (toque, vento frio)** | Pode se desenvolver apos paralisai de bell ou ramsay-hunt ou VZV ## Footnote Tratamento é tudo igual - farmacologico e microcirurgia em casos refratários
179
Neuralgia occipital é o que?
Dor paroxística em facada/pontada na região posterior do couro cabeludo (inervado pelo GON, LON) - é associada com distesia e/ou alodinea - associada com ponto de gatilho na emergência do nervo - pode começar na base do crânio e irradiar até o vértice
180
Tratamento da neuralgia occipital
**Antiepilepticos / ADT Bloqueios local** se falha: - pulsed radiofrequency treatment, neurolysis, onabotulinumtoxinA, or occipital nerve stimulation.69,75
181
Neuralgia occipital possiveis causas?
Lesão cervical superior MAV Desmielinização SChwannoma Malformação de chiari **MUITAS CAUSAS SECUNDÁRIAS - INVESTIGAR COM IMAGEM** MRI of the brain and cervical spine in patients with new and unexplained occipital neuralgia
182
Neuralgia occipital quando suspeitar de causa secundária?
Hipo/anestesai lcoal
183
Qual o perídoo clássico da migranea perimenstrual?
-2 até +3 dois dias antes do sangramento até 3 dias apó
184
Migranea puramente menstrual - existe?
SIM! 10% dos casos apenas a maioria tem relação com menstruação, mas não puramente na menstruação | Ataques devem ter ocorrido em pelo menos 2 dos últimos 3 ciclos
185
Tratamento agudo da migranea relacionada a menstruação
Mesma coisa - mas é mais refratário
186
Tratamento agudo da migranea relacionada a menstruação
Mesma coisa - mas é mais refratário
187
Quais são os sinais de alarme para cefaleia na gestação?
**Ortostático**: cefaleia pós-punção **Thunderclap**: RCVS, Apoplexia pituitaria, HSA **Hipertensão:**Pre-eclampsia e eclampsia **BAV:** Pre-eclampsia/eclampsia / HII / TVC **Convulsão:** Eclampsia / TVC/ PRES / RCVS **Papiledema**: TVC / HII / Massa **Déficit focal**
188
Bloqueio de nervos periféricos para cefaleia - quais são?
GON, LON, SUPRATROCLEAR, SUPRAORBITAL, AURICULOTEMPORAL Outros: infraorbital e infratroclear *GON parece ser o principal *Bloqueio é com anestesico local; associa-se com corticoide se Cefaleia em salvas no bloqueio do GON | Há a possibilidade de bloqueio do ganglio esfenoapalatino
189
Bloqueio de nervos periféricos para cefaleia QUAIS AS PRINCIPAIS INDICAÇÕES?
**MIGRANEA, CLUSTER E NEURALGIA OCCIPITAL** USADO PRINCIPALMENTE COMO: **PREVENÇÃO PARA POUCO TEMPO** (1 - 4 SEMANAS) - pode ser usado como ponte até profilaxia fizer efeito e Detox de abuso de analgésico OU - **ATAQUES AGUDOS **REFRATÁRIOS (Mas metoclopramida EV parece superior) | É SEGURO!!
190
O QUE SÃO PONTOS DE GATILHO?
**Locais de dor no músculo ou fascia ou nervo determinados no exame físico que quando irriados/comprimidos reproduzem a dor** mais encontrados na migrânea e cefaleia tensional
191
Quais são os locais mais comuns para ponto de gatilho?
**Trapézio, esternocleidomastoideo e temporal**
192
HIPOTENSÃO LIQUÓRICA ESPONTÂNEA o que é?
Relacionada com vazamento liquorico ou hipovolemia liquorica - necesita de evidencia de LCR baixo (pressão < 60 mm) ou vazamento de LCR na imagem | *pressão baixa foi vista em 40% apenas
193
HIPOTENSÃO LIQUORICA espontânea: - DEVE TER PRESSÃO BAIXA NA COLETA DO LCR -V OU F
FALSO - ESTUDO MOSTROU QUE SÓ 40% TINHAM
194
HIPOTENSÃO LIQUORICA espontânea: - DEVE TER PRESSÃO BAIXA NA COLETA DO LCR -V OU F
FALSO - ESTUDO MOSTROU QUE SÓ 40% TINHAM
195
HIPOTENSÃO LIQUORICA - CLÍNICA CLÁSSICA:
**CEFALEIA ORTOSTÁTICA** -> Piora em até 15 minutos após ficar pé ou sentado e melhora deitado (75%) *cefaleia geralmente bilateral, pode ter fenotipo migranoso* *manifestações cocleovestibulares* Mulheres 2 : 1 homem 30 - 50 anos
196
HIPOTENSÃO LIQUORICA o QUE SÃO MANIFESTAÇÕES COCLEOVESTIBULARES?
NÁUSEA, HIPOACUSIA, TONTURA, ZUMBIDO - Não são incomuns
197
HIPOTENSÃO LIQUORICA sintomas além da cefaleia:
- pode ser decorrente da mudança do posicionamento cerebral pela hipotensão liquórica sintomas vestibulococleares paralisia de nervos cranianos disturbios do movimento alteração da personalidade
198
HIPOTENSÃO LIQUORICA espontanea - possiveis causas?
Ehlers-Danlos e marfan diverticulo meningeo trauma trivial osteófitos ruptura dural fistula LCR-Veia
199
DIAGNÓSTICO DE HIPOTENSÃO LIQUORICA ESPONTÂNEA REQUER:
Ausência de trauma ou procedimento possivel de causar vazamento do LCR e evidência de hipotensão liquorica (LCR ou Imagem)
200
HIPOTENSÃO LIQUORICA - PROPEDEUTICA DE IMAGEM:
**RNM DE NEUROEIXO** - Encéfalo: sinais indireto de hipotensão liquorica - coluna: iinais de vazamento **MIELOGRAFIA DIGITAL COM SUBTRAÇÃO ou TOMOGRAFIA** - Possivel de identificar e topografar um vazamento de LCR (ex: diverticulo meningeo, ruptura meningea, Fistula LCR-Veia)
201
Hipotensão liquorica espontânea - deve ter LCR demonstrando redução da pressão V ou F
FALSO only 34% of confirmed spontaneous intracranial hypotension cases had CSF pressure less than or equal to 60 mm CSF, and 21% of patients even had CSF pressure greater than 120 mm CSF. SE HOUVER IMAGEM DE RNM SUGESTIVA, TAMBÉM NÃO PRECISA
202
Achados da RNM na hipotensão liquorica
Relacionado ao fluxo venoso e rebaixamento do parênquima
203
Qual o diagnóstico e por quê?
Hipotensão liquorica - hiperemia de pituitária - achatamento da ponte - realce paquimeningeo difuso
204
Qual o diagnóstico e por que?
Hipotensão liquorica à esquerda - redução do angulo mesencefalo-ponte - estreitamento do angulo entre veia de galeno e seio reto - achatamento da ponte - fossa posterior ''cheia''
205
QUAL O DIAGNÓSTICO?
HIPOTENSÃO LIQUORICA A) Coleção de LCR reteoespinhal B) Vazamento periradicular C e D) Coleção epidural
206
Qual a complicação mais comum da hipotensão liquorica espontanea?
**hematoma subdural** 20% to 25% of patients with spontaneous intracranial hypotension outros: siderose, amiotrofia, TVC
207
tratamento da hipotensão liquorica espontanea
NÃO HÁ UMA RECEITA DE BOLO, MAS ESSE FLUXOGRAMA AJUDA conservador: respouso, analgésico, reposição de fluido -> geralmente temporário tratamento definitivo é mais efetivo: blood patch cirurgia geralmente ára os refratários
208
Hipertensao intracraniana idiopática epidemiologia:
Mulheres obesas na fase reprodutiva *mas pode ocorrer em homens, crianças e idosos - mais raro
209
Hipertensao intracraniana idiopática quais os **sintomas**?
**CEFALEIA**: Holo e muito de manhã - mas pode ter muitos fenótipos, inclusive por abuso de analgesico - pode ou não melhorar com redução da PIC **BAV transitória** **Perda visual completa ou parcial** transitória (edema e isquemia transitoria do N.O) - visão central e acuidade tende a ser poupada **zumbido pulsátil** uni ou bilateral, continuo ou intermitente - provável pelo fluxo turbulento pelo seio transverso outros menos comuns: diplopia por paralisia do sexto, paralisia facial
210
Hipertensao intracraniana idiopática quais os **sinais?**
PAPILEDEMA: Mais importante - geralmente bilateral e simétrico - Campo visual em constrição, com acometimento central tardio INVESTIGAR PARALISIA DO SEXTO/SETIMO
211
PROPEDÊUTICA DE EXAMES PARA HII:
OFTALMOLOGICO: FUNDOSCOPIA, OCT NEUROIMAGEM: EXCLUIR OUTRAS CAUSAS LCR: Avaliar pressão de abertura
212
POSSÍVEIS ACHADOS DE IMAGEM NA RNM da hii?
inespecíficos - sela turcica vazia - dilatação e tortuosidade do nervo optico com achatamento do globo - realce do disco - estenoses do seio transverso
213
QUAL O ACHADO ESPERADO NO LCR DA HII?
AUMENTO DA PRESSÃO DA ABERTURA s/ outros componentes | normal white cell count normal protein and glucose concentrations
214
TETRACICLINA RETINOIDES (Vitamina a...) Litio podem causar sindrome clinica que mimetiza HII?
VERDADEIRO - Importante revisar medicações
215
HII - Tratamento possiveis?
**PERDA DE PESO -> Geralmente o manejo inicial em casos leves MEDICAMENTO CIRURGIA** Studies suggest that weight loss of about 6% to 10% of initial body weight is adequate to induce remission in most patients with IIH.
216
OPÇÕES FARMACOLÓGICAS PARA HII:
**ACETAZOLAMIDA (Até 2000 mg 2x/d)** associated with statistically significant improvements in mean deviation, papilledema grade, symptoms, and quality of life **TOPIRAMATO: Diamox não é tolerado ou cefaleia refratária** **furosemida**: pode ser usado sozinho ou associado para efeito sinérgico corticoide EV para apresentações fulminantes que aguardam cirurgia - fase aguda
217
quais as 3 principais cirurgias para hii?
**Derivação Liquorica:** só recomendado se a cefaleia sabidamente melhorar com redução da pressão **STENT de seio transverso** **Fenestração de nervo óptic**o
218
quando indicar fenestração do nervo óptico na HII?
Quando a visão está ameçada - faz uma fistula da cavidade orbitaria com o espaço subaracnoide
219
# HII **HIPERTENSAO INTRACRANIANA IDIOPÁTICA** a patient who has papilledema and vision loss without other symptoms and signs of increased intracranial pressure might be best treated with (1), whereas a patient with severe symptoms (eg, headache), papilledema with vision loss, and other signs (eg, sixth nerve palsy) might be best treated with (2)
1 - fenestração do n.o 2 - derivação do LCR
220
QUANDO PENSAR EM COLOCAR UM STENT NO SEIO TRANSVERSO DE PACIENTE COM HII?
**GRADIENTE DE PRESSAO NO SEIO TRANSVERSO > 8 mm Hg** + **aumento de pressãdo no SSS e outros proximais a estenose** + **paciente refratário** (been proposed that stenting will reduce cerebral venous hypertension, resulting in increased CSF absorption, reduced intracranial hypertension, and, thus, improved symptoms and signs)
221
HII - Paciente com perda visual leve pode ser manejado com: - paciente com perda visual moderada pode ser manejado com: - paciente com perda visual grave pode ser manejado com:
1) perda ponderal 2) perda ponderal + medicação 3) tudo isso + cirurgia
222
Qual medicação é uma ótima opção para população pediátrica como profilaxia para migrânea?
Flunarizina - bem tolerada *Existem poucas evidências para profilaxia farmacológica de migrânea na pediatria*
223
Paciente com dor em território de triegemeo elicitado apenas por mastigação ou fala. - dor de curta duração - sem trigger tátil O que precisamos fazer?
Avaliar componente muscular em busca de bandas em território de masseter e adjacência - principalmente quando dor é apenas no estímulo "bucal". - bloqueio de masseter e outros músculos da mastigação ajudam
224
ESTUDAR CEFALEIA CERVICOGENICA
.
225
ESTUDAR CEFALEIA CERVICOGENICA
.
226
SUNCT e SUNA Também podem possuir gatilhos. V ou F
Verdadeiro
227
TRATAMENTO DO SUNCT e SUNA
Lidocaína EV na fase aguda Preventiva - Lamotrigina: primeira escolha - Topiramato - GabalenatinS
228
QUAIS OS FATORES DE RISCO PRA RCVS?
Gestante Uso de vasoconstrictores: cocaína, heroína Anfetamina Exercício físico Orgasmo Manobra valsalva
229
QUAL É O CRITERIO DISGNOSTICO PARA RCVS2?
A dor é geralmente dramática e excruciante 30-70% sem anormalidade na TC ou RNM
230
CEFALEIA CERVICOGÊNICA - O QUE É? (CONCEITO BÁSICO) - qual a principal etiologia estrutural?
CEFALEIA REFERIDA DE ESTRUTURAS ÓSSEAS E MOLES CERVICAIS O envolvimento da articulação zigapofisária C2-3 é a fonte mais frequente de cefaléia cervicogênica, respondendo por até 70 por cento dos casos - O envolvimento da articulação atlantoaxial é provavelmente a segunda fonte mais comum de cefaléia cervicogênica
231
CEFALEIA CERVICOGÊNICA - O QUE É? (CONCEITO BÁSICO) - qual a principal etiologia estrutural?
CEFALEIA REFERIDA DE ESTRUTURAS ÓSSEAS E MOLES CERVICAIS O envolvimento da articulação zigapofisária C2-3 é a fonte mais frequente de cefaléia cervicogênica, respondendo por até 70 por cento dos casos
232
3 NERVOS ESPINHAIS CERVICAIS QUE PODEM REFERIR COMO CEFALEIA, SÃO:
NERVO C1: SUBOCCIPITAL NERVO C2 e seu GÂNGLIO DA RAIZ DORSAL: e inervam as articulações zigapofisárias atlantoaxiais e C2-3 NERVO OCCIPITAL(ramo dorsal C3) : inerva a articulação zigapofisária C2-3. (referida às regiões occipital, frontotemporal e periorbital da cabeça)
233
SUGERE-SE QUE PARA O DIAGNÓSTICO PRECISO DE CEFALEIA CERVICOGÊNICA SEJA REALIZADO:
BLOQUEIOS ANESTÉSICOS controlados de estruturas cervicais ou de seu suprimento nervoso. - Porém, Alguns investigadores acreditam que o diagnóstico de cefaléia cervicogênica pode ser feito em certos casos sem a realização de um procedimento anestésico, se o diagnóstico for baseado em uma história cuidadosa, exame físico e avaliação neurológica completa.
234
paciente com suspeita de cefaleia cervicogenica, dor à palpaçãpo cervical no exame físico sugere o diagnóstico,?
Não - pode ser uma dor miofascial: secundária como consequência da amplitude de movimento restrita do pescoço. SE FOR MIOFASCIAL É UMA CEFALEIA TENSIONAL!! ''articulações cervicais superiores palpavelmente dolorosas, amplitude restrita de extensão do pescoço e comprometimento muscular caracterizado por atividade eletromiográfica reduzida nos flexores profundos do pescoço, pode distinguir a cefaleia cervicogênica da enxaqueca e cefaleia do tipo tensional. ''
235
QUANDO ACREDITA-SE QUE A DOR MIOFASCIAL CERVICAL É A CAUSA DA CEFALEIA. - É TENSIONAL OU CERVICOGÊNICA?
TENSIONAL!! pois a cefaléia cervicogênica requer disfunção dos elementos musculoesqueléticos cervicais (articulações zigapofisárias) ou nervos cervicais superiores que os inervam e, no sentido mais estrito, não é considerada um fenômeno miofascial.
236
CEFALEIA CERVICOGENICA - CRITÉRIO DIAGNÓSTICO (ASSINALE V OU F) 1) Evidência clínica e/ou imagiológica de um distúrbio ou lesão na coluna cervical ou nos tecidos moles do pescoço, sabidamente capaz de causar cefaleia 2) Evidência de causalidade demonstrada por pelo menos dois dos seguintes: *A cefaleia desenvolveu-se em relação temporal com o início do distúrbio cervical ou aparecimento da lesão *A cefaleia melhorou significativamente ou foi resolvida em paralelo com a melhora ou resolução do distúrbio ou lesão cervical *A amplitude de movimento cervical é reduzida e a dor de cabeça piora significativamente por manobras provocativas *A cefaléia é abolida após o bloqueio diagnóstico de uma estrutura cervical ou seu suprimento nervoso
TODOS VERDADEIROS Lógicamente tem o D: D) Não melhor explicado por outro diagnóstico de ICHD-3 Alguns consideram como critério diagnóstico a resposta com bloqueios locorregionais
237
BLOQUEIOS ANESTÉSICOS PARA CEFALEIA CERVICOGENICA SÃO SIMPLES E TENDEM A SER SER REALIZADOS EM CONSULTÓRIO V OU F
FALSO ''exigem habilidades e instalações especializadas, uma limitação que aumenta a dificuldade de confirmar o diagnóstico.'' - Não é aquele bloqueio mais simples, como do GON etc... FONTE: https://www.uptodate.com/contents/cervicogenic-headache?search=CERVICOGENIC&source=search_result&selectedTitle=1~14&usage_type=default&display_rank=1#H6
238
DOR CERVICAL E CEFALEIA AGUDA, QUAL UM DIAGNOSTICO DIFERENCIAL IMPORTANTE??
DISSECÇÃO ARTERIAL (VERTEBRAL OU CAROTÍDEA)
239
TRATAMENTO DA CEFALEIA CERVICOGÊNICA - MEDICAMENTOSO: - NÃO MEDICAMENTOSO:
Não há tratamento eficaz comprovado para cefaléia cervicogênic - MEDICAMENTOSO: Pregabalina (principal) outros: duloxetina; com menos evidência tem a amitriptilina e gabapentina - INJEÇÃO ANESTÉSICA: na articulação atlantoaxial lateral, na articulação zigapofisária C2-3 (e no terceiro nervo occipital sobrejacente) e/ou na articulação zigapofisária C3-4 PRINCIPALMENTE - NEUROTOMIA POR RADIO FREQUÊNCIA ou INJEÇÃO DE CORTICOIDE também são boas opções quando o diagnóstico é confirmado - NÃP MEDICAMENTOSO: FISIOTERAPIA
240
POR QUE OCORRE OS SINTOMAS TRIGEMINO-AUTONOMICOS?
CO-ATIVAÇÃO DO NUCLEO SALIVATORIO SUPERIOR DO NERVO FACIAL
241
CEFALEIA TENSIONAL - NÃO DEVE TER NAUSEA OU VOMITO - FOTO E FONOBIA NÃO PODE ESTAR PRESENTE, SOMENTE UM DOS DOIS, OU NENHUM VERDADEIRO
VERDADEIRO
242
ARTERITE DE CELULA GIGANTE - CORTICOIDE DEVE SER FEITO ANTES DA BIOPSIA VERDADEIRO OU FALSO?
VERDADEIRO : prednisone 60 to 80 mg daily - Principalmente no contexto de alterações visuais em andamento - A bx continua sendo diagnóstica se feita em até 2 semanas do início do corticoide
243
QUAL A DURAÇÃO DAA CEFALEIA DA HEMICRANIA PAROXISTICA?
2 min - 30 MINUTOS
244
DURAÇÃO DO ATAQUE DA NEURALGIA DO TRIGEMEO?
1 SEG - 2 MINUTOS
245
DURAÇÃO DO ATAQUE DA NEURALGIA DO TRIGEMEO?
1 SEG - 2 MINUTOS
246
QUAL A DURAÇÃO DA CEFALEIA DAS SUNCT E SUNA?
1 SEGUNDO - 10 MINUTOS (600s)
247
QUAL O LOCAL DA COLUNA/MEDULA MAIS COMUM DE TER 'LEAKAGE' ESPONTANEO?
COLUNA/MEDULA TORÁCICA
248
A CEFALEIA ORTOSTÁTICA É MAIS RELACIONADA COM HIPOTENSÃO LIQUÓRICA ESPONTÂNEA ou PÓS-PROCEDIMENTO?
COM A PÓS-PROCEDIMENTO - A qualidade posicional ortostática tende a ser muito mais pronunciado e imediato na cefaléia pós-punção dural
249
HIPERTENSAO INTRACRANIANA IDIOPATICA (HII) É UMA CEFALEIA PRIMARIA OU SECUNDÁRIA?
SECUNDÁRIA
250
TRATAMENTO DA HIPERTENSAO INTRACRANIANA IDIOPATICA (HII) - SE NÃO HOUVER EVIDÊNCIA DE ALTERAÇÃO VISUAL PODEMOS PRIORIZAR O QUE NO TRATAMENTO?
A CEFALEIA EM SÍ!! (Nem todos autores recomendam isso) - Se houver evidência de perda visual, inibidores da anidrase carbonica como acetazolamida ou topiramato devem ser iniciados.
251
SHUNT LOMBOPERITONEAL ou SHUNT VENTRICULOPERITONEAL AINDA PODEM SER USADOS PARA TRATAMENTO DA HIPERTENSAO INTRACRANIANA IDIOPATICA (HII) V OU F
VERDADEIRO, MAS COMO ÚLTIMO RECURSO
252
PACIENTE COM CEFALEIA, LCR COM PLEOCITOSE LINFOCÍTICA, AUSENCIA DE TODOS OS OUTROS EXAMES INVESTIGATIVOS E RNM COM REALCE LEPTOMENINGEO - BX com inflamação perivascular QUAL A SUSPEITA?
PAQUIMENINGITE HIPERTRÓFICA IDIOPÁTICA - Pode se apresentar com cefaleia e outros sintomas neurológicos - É UM DIAGNÓSTICO DE EXCLUSÃO (outras causas inflamatórias e infecciosas)
253
SE HOUVER PRESENÇA DE ALGUMA FRAQUEZA MOTORA ASSOCIADA A ATAQUES DE ENXAQUECA COM AURA (A FRAQUEZA DEVE SER UNILATERAL SE MIGRANOSA), PODE SER APENAS ENXAQUECA HEMIPLÉGICA. v ou f
VERDADEIRO
254
CEFALEIA HIPNICA TIPICAMENTE COMEÇA EM JOVENS V OU F
FALSO GERALMENTE EM PESSOAS ACIMA DE 50 ANOS!
255
MUITAS VEZES PODE SER DIFÍCIL DIFERENCIAR ENTRE ENXAQUECA COM AURA E ENXAQUECA RETINIANA, MAS SE O DISTÚRBIO VISUAL FOR VERDADEIRAMENTE MONOCULAR, ENTÃO A MIGRÂNEA COM AURA RETINIANA É DIAGNÓSTICO V OU F
VERDADEIRO
256
QUAL É A CEFALEIA PRIMÁRIA MAIS PREVALENTE NA POPULAÇÃO GERAL?
TENSIONAL - embora a enxaqueca seja a mais comum para a qual os pacientes consultam um médico.
257
HÁ RISCO AUMENTADO DE AVC EM MULHERES COM MIGRANEA COM AURA, INDEPENDENTE DA IDADE V OU F
VERDADEIRO, mesmo se menor do que 45 anos
258
EM MULHERES COM MIGRANEA COM AURA, QUAIS ANTICONCEPCIONAIS SÃO CONTRAINDICADOS?
ANTICONCEPCIONAIS COM ESTROGENIO - Ainda mais se for tabagista PS: mulheres com menos de 35 anos que têm enxaqueca com aura e não-fumantes, há um risco menor aceitável de uso de anticoncepcional oral.
259
QUAL O FARMACO DE ESCOLHA PARA AURA VISUAL SEM DOR?
Lamotrigina
260
QUAL O TEMPO MÍNIMO PARA RETIRAR PROFILAXIA FARMACOLÓGICA?
3 meses, na prática são 6 messs
261
Porcentagem de pacientes que convertem para enxaqueca crônica por ano
2,5%
262
Papel do neuropeptídeo Y na migrânea
263
Papel das orexínas A e B na enxaqueca?
264
265
266
267
**PECULIARIDADES DA MIGRÂNEA NA INFÂNCIA/ADOLESCÊNCIA** Qual é a epidemiologia?
Distribuição igual em gêneros na fase pré-escolar, na fase pubere começa a ter mais acometimento no sexo feminino. Quadro crônico maior na adolescência e menor em idades mais novas.
268
AURA TEM UMA CARACTERÍSTICAS DE PROGRESSÃO (V ou F) AURA NAO DURA MAIS DO QUE 60 MINUTOS (V OU F)
Verdadeiro Falso
269
Características da aura visual:
Escotoma cintilante Espectro fortificante
270
a duração das auras podem se somar V ou F
Verdadeiro - ex: 60 minutos de aura visual, seguido por 30 minutos de aura sentitiva
271
PODE TER AURA POSDRÔMICA. V OU F
Verdadeiro, mas é RARO
272
QUAL O NOME DESSA AURA VISUAL?
ESPECTRO DE FORTIFICAÇÃO
273
**PECULIARIDADES DA MIGRÂNEA NA INFÂNCIA/ADOLESCÊNCIA** EM CRIANÇAS E ADOLESCENTES É COMUM A MIGRÂNEA SER BILATERAL V OU F
VERDADEIRO.
274
**PECULIARIDADES DA MIGRÂNEA NA INFÂNCIA/ADOLESCÊNCIA** SINTOMAS AUTÔNOMICOS AFASTAM DIAGNÓSTICO DE MIGRÂNEA V OU F
Falso
275
**PECULIARIDADES DA MIGRÂNEA NA INFÂNCIA/ADOLESCÊNCIA** QUAIS AS 3 PRINCIPAIS CARACTERÍSTICAS QUE DIFEREM A CRISE DE MIGRÂNEA DA INFÂNCIA PARA O ADULTO?
DURAÇÃO - É COMUM DURAR MENOS (< 3 HORAS) - É COMUM SER BILATERAL. - FOTO E FOTOFOBIA PODEM SER INFERIDAS PELO COMPORTAMENTO.
276
QUANTOS ATAQUES DE MIGRÂNEA COM AURA SÃO PRECISOS PARA SE TER O DIAGNÓSTICO DE MIGRÂNEA COM AURA?
2 ou mais
277
**PECULIARIDADES DA MIGRÂNEA NA INFÂNCIA/ADOLESCÊNCIA** QUANDO PENSAR EM EXAME DE IMAGEM?
FALTA DE COORDENAÇÃO SINAIS NEUROLÓGICOS LOCALIZATORIOS DORMÊNCIA E FORMIGAMENTO SUBJETIVOS DOR DE CABEÇA QUE DESPERTA DO SONO
278
**PECULIARIDADES DA MIGRÂNEA NA INFÂNCIA/ADOLESCÊNCIA** SÍNDROMES EPISÓDICAS Quais são? (4)
- VERTIGEM PAROXÍSTICA BENIGNA - MIGRÂNEA ABDOMINAL - VÔMITOS CÍCLICOS - TORCICOLO PAROXÍSTICO BENIGNO
279
QUAL NÍVEL QUE É CONSIDERADO QUE A PRESSÃO DE ABERTURA É AUMENTADA EM CRIANÇAS?
28 ou mais - ideal seria esticar as pernas pra avaliar a pressão de abertura.
280
**STREET MEDICINE** DOR EXCLUSIVAMENTE UNILATERAL QUE NÃO FECHA DIAGNÓSTICO PARA NADA, PODEMOS REALIZAR TESTE TERAPÊUTICO COM:
INDOMETACINA
281
REDUÇÃO DE DROGA USADA PARA PROFILAXIA DE ENXAQUECA EM CRIANÇAS QUAIS DICAS?
Evitar redução no período escolar + Redução lenta
282
**EQUIVALENTES MIGRANOSOS NA INFÂNCIA** MIGRÂNEA ABDOMINAL O que é?
Representa 4-15% dos problemas gastrointestinais pediátricos Raramente persiste na vida adulta - crises de dor abdominal (1-72h) - localização difusa, ou na linha média/periumbilical - moderada ou grave - dor opaca (dull) -> (sem agulhada, pontada) - pelo menos 2 dos seguintes: anorexia, náusea, vômito e palidez. Claro, deve-se descartar causas secundárias
283
**EQUIVALENTES MIGRANOSOS NA INFÂNCIA** MIGRÂNEA ABDOMINAL Acaba sendo um diagnóstico difícil V OU F
Verdadeiro - Pois ele se apresenta apenas com quadro abdominal não neurológico. - Ou seja, tem que chegar já mastigado para o neurologista, 🆘
284
**EQUIVALENTES MIGRANOSOS NA INFÂNCIA** SÍNDROME DOS VÔMITOS CÍCLICOS O que é?
Abaixo
285
**EQUIVALENTES MIGRANOSOS NA INFÂNCIA** VERTIGEM PAROXÍSTICA BENIGNA
286
**EQUIVALENTES MIGRANOSOS NA INFÂNCIA** TORCICOLO PAROXÍSTICO BENIGNO O que é?
Critérios não tão bem estabelecidos
287
**EQUIVALENTES MIGRANOSOS NA INFÂNCIA** AURA SEM MIGRÂNEA E MIGRÂNEA CONFUSIONAL O que é?
Abaixo
288
TRATAMENTO DOS EQUIVALENTES MIGRANOSOS DA INFÂNCIA - Descritos abaixo:
;)
289
PARA MENORES DE 18 ANOS, A DURAÇÃO DA DOR PARA A CEFALEIA DA MIGRÂNEA É A PARTIR DE QUANTAS HORAS?
A PARTIR DE 2 HORAS 2 - 72 HORAS
290
NEUROIMAGEM É RECOMENDADA EM CRIANÇAS COM CEFALEIA SEMPRE, SE MENOR DO QUE --- ANOS
**EM MENORES DE 6 ANOS** fonte: swaiman outros: *Exame neurológico anormal; Apresentação atípica de dor de cabeça: vertigem, vômito intratável ou dor de cabeça acordando a criança do sono; Início da dor de cabeça nos últimos 6 meses; Criança com menos de 6 anos de idade; Ausência de histórico familiar de enxaqueca e/ou dor de cabeça primária; Dor de cabeça occipital; Mudança no tipo de dor de cabeça; Início subagudo e gravidade progressiva da dor de cabeça; Dor de cabeça de início recente em uma criança imunossuprimida; Primeira e/ou pior dor de cabeça; Sintomas e sinais sistêmicos; Dor de cabeça associada a confusão, alterações do estado mental ou queixas neurológicas focais.*
291
Punção lombar pode ser indicada na avaliação de dor de cabeça em crianças. - Quando há suspeita de etiologia secundária e qualquer um dos seguintes sinais:
1 - **Primeira e/ou pior dor de cabeça** para avaliar uma hemorragia subaracnóidea, especialmente se houver alta suspeita e a tomografia computadorizada for negativa. 2 - **Dor de cabeça com febre/rigidez nucal** ou outros sinais de meningite ou meningoencefalite. 3 - **Dor de cabeça em um paciente imunossuprimido.** 4 - Avaliação de **pressão intracraniana aumentada/diminuída** (pseudotumor cerebral/hipotensão liquórica.
292
MIGRÂNEA A maioria dos especialistas recomenda um mínimo de -- dor de cabeça por semana ou ---dores de cabeça por mês para considerar a medicação preventiva.
1x/semana ou 3-4 mes - ou se o paciente tiver dores de cabeça infrequentes, mas gravemente incapacitantes.
293
MIGRÂNEA OBJETIVO QUANTITATIVO APÓS INTRODUÇÃO DA PROFILAXIA É DE:
É recomendado um objetivo de **três ou menos dores de cabeça por mês** por um período sustentado de **4 a 6 meses** - Uma vez alcançados esses objetivos, um plano para reduzir lentamente também é necessário.
294
PROFILAXIA DE CEFALEIA O INÍCIO DE AÇÃO É SEMPRE BASTANTE CURTO V OU F
FALSO - Pode levar tempo, muitas vezes várias semanas, para que o tratamento se torne eficaz. - A titulação lenta ao longo de um período de 4 a 12 semanas pode ser necessária para garantir que a criança tolere o medicamento
295
SINAIS DA HISTÓRIA E CLÍNICOS QUE PODEM SUGERIR GENERICAMENTE CAUSA TUMORAL DA CEFALEIA:
padrão progressivo crônico - PIORA COM VALSALVA ou ESFORÇO - Dores de cabeça que acordam a criança durante o sono - Êmese noturna ou matinal, com ou sem dor de cabeça - Déficits neurológicos/cognitivos progressivos