DISTÚRBIO DO MOVIMENTO 2 Flashcards

(241 cards)

1
Q

DOENÇA DE HUNTINGTON

  • FAIXA ETÁRIA TÍPICA DE INICIO:
  • PARA A NORMAL, JUVENIL e TARDIA
  • TEMPO MÉDIO DE SOBREVIDA:
A

NORMAL: 35 - 45 ANOS
TARDIA: > 50 ANOS
JUVENIL: < 20 ANOS

SOBREVIDA MÉDIA: 14 - 17 ANOS

How well did you know this?
1
Not at all
2
3
4
5
Perfectly
2
Q

DOENÇA DE HUNTINGTON
- SINTOMAS MOTORES PRINCIPAIS (4)

menos frequentes: rigidez (acabam desenvolvendo), sintomas piramidais, tremor, mioclonia, bradicinesia (tardio)

A

COREIA (90%)
- Impersistência motora
- Inicia extremidades e generaliza
- Vão se tornando mais lentos: caráter atetoide e depois distônico
DISARTRIA: Precoce
DISFAGIA: Tardio
DESORDEM DA MOVIMENTAÇÃO OCULAR
- Lentificação da sácades
- Dismetria das sácades

How well did you know this?
1
Not at all
2
3
4
5
Perfectly
3
Q

DOENÇA DE HUNTINGTON

ALTERAÇÕES PSIQUIÁTRICAS E COGNITIVAS PODEM PRECEDER ALTERAÇÃO MOTORA
V OU F

A

VERDADEIRO

  • A presença de sintomas psiquiátricos entre os pacientes com DH varia de 35% a
    73%, sendo uma multiplicidade de distúrbios relatada: alterações de personalidade,
    transtornos do humor, psicoses, entre outros,
How well did you know this?
1
Not at all
2
3
4
5
Perfectly
4
Q

SINAL DA ORDENHA

  • ASSOCIADO COM:
A

DOENÇA DE HUNTINGTON

How well did you know this?
1
Not at all
2
3
4
5
Perfectly
5
Q

COREIA DE HUNTINGTON NÃO É O NOME MAIS ADEQUADO POR QUÊ?

A

PORQUE HÁ UMA CONSTELAÇÃO DE SINAIS E SINTOMAS
- MOTORES; COGNITIVOS E PSIQUIÁTRICOS

How well did you know this?
1
Not at all
2
3
4
5
Perfectly
6
Q

DOENÇA DE HUNTINGTON É UMA AFECÇÃO DE CARÁTER GENÉTICO AUTOSSÔMICO …
REPETIÇÕES DO … ACIMA DE …. CAUSAM PENETRÂNCIA COMPLETA.
ENTRE … E … HÁ ZONA DE PENUMBRA

A

AUTOSSÔMICA DOMINANTE

REPETIÇÕES DO CAG ACIMA DE 40 CAUSAM PENETRÂNCIA COMPLETA

ENTRE 36 E 39 É A ZONA DE PENUMBRA

How well did you know this?
1
Not at all
2
3
4
5
Perfectly
7
Q

QUANTO MAIOR A REPETIÇÃO DE CAG MAIS CEDO É O INÍCIO DA DOENÇA DE HUNTINGTON
V OU F

A

VERDADEIRO

> 60: INVARIAVELMENTE INÍCIO JUVENIL

How well did you know this?
1
Not at all
2
3
4
5
Perfectly
8
Q

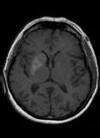
QUAL ACHADO TÍPICO DA RNM DA DOENÇA DE HUNTINGTON?

A

ATROFIA DO CAUDADO E PUTÂMEN

How well did you know this?
1
Not at all
2
3
4
5
Perfectly
9
Q

DOENÇA DE HUNTINGTON
- AUSÊNCIA DE HF EXCLUI DIAGNÓSTICO
V OU F

A

FALSO
- PODE OCORRER EM FAMÍLIA COM ANTECEDENTE DE PENETRÂNCIA REDUZIDA, entre outras.

How well did you know this?
1
Not at all
2
3
4
5
Perfectly
10
Q

PACIENTE COM DOENÇA COREICA NA JUVENTUDE É ORIENTADO DESCARTAR:

A

DOENÇA DE WILSON
- Pelo menos pedir uma ceruloplasmina

How well did you know this?
1
Not at all
2
3
4
5
Perfectly
11
Q

PACIENTE ADULTO COM QUADRO COREICO CRÔNICO PROGRESSIVO (c/ ou s/ HF) E AUSÊNCIA DE EXPANSÃO DO CAG
- ABRE O LEQUE PARA QUAIS DIAGNÓSTICOS DIFERENCIAIS?

A

Huntington-Like tipo 1 ao 4
Neuroacantocitose
Ataxia espinocerebelar 17
Ataxia de Friedreich
Doenças por acúmulo de ferro
Atrofia dentato-rubro-pálido-luisiana

How well did you know this?
1
Not at all
2
3
4
5
Perfectly
12
Q

DOENÇA DE HUNTINGTON

HÁ TRATAMENTO?

A

APENAS SINTOMÁTICO
- Antagonistas dopaminérgicos para coreia (ex: olanza, risperidona)
- Antidepressivos
- Não há estudos sobre o uso de medicamentos para demência como Memantina
- Suporte fisioterápico, fonoaudiológico etc…

How well did you know this?
1
Not at all
2
3
4
5
Perfectly
13
Q

DOENÇA DE HUNTINGTON-LIKE TIPO 1 (HDL1) É UMA ENFERMIDADE RARA RESULTANTE DE MUTAÇÃO DE UMA PROTEÍNA PRIÔNICA
V OU F

A

VERDADEIRO

How well did you know this?
1
Not at all
2
3
4
5
Perfectly
14
Q

DOENÇA DE HUNTINGTON-LIKE TIPO 1 (HDL1) RESULTA EM QUAL CLÍNICA?

A

*ALTERAÇÃO DE PERSONALIDADE SEGUIDA POR COREIA, RIGIDEZ, DISARTRIA E MIOCLONIA
- Ataxia e crise epiléptica pode
ocorrer

*ADULTOS JOVENS ATÉ MEIA IDADE

How well did you know this?
1
Not at all
2
3
4
5
Perfectly
15
Q

DOENÇA DE HUNTINGTON LIKE TIPO 2 (HDL2) É O TIPO MAIS FREQUENTE DE HL E QUE MAIS SE ASSEMELHA A DH

  • CONSISTE EM EXPANSÃO NO CTG/CAG NO CROMOSSOMO 16, GENE DA JUNTOFILINA-3
  • TODOS PACIENTES POSSUEM ANCESTRAIS AFRICANOS
  • V OU F
A

VERDADEIRO

  • Manifesta na terceira ou quarta década de vida.
  • Diversos distúrbios do movimento, que incluem coreia, distonia ou parkinsonismo.
  • Déficit cognitivo e alterações comportamental.
How well did you know this?
1
Not at all
2
3
4
5
Perfectly
16
Q

DRPLA (Atrofia dentato-rubro-pálido-luisiana)

qual a clínica?

(distúrbio de repetição de trinucleotídeo)

A

Atrofia dentato-rubro-pálido-luisiana (uma espécie de SCA)
- doença muito rara aut.dominante / Mais frequente em pessoas de origem japonesa
- **coreia e mioclonias, além de ataxia, distonia e demência em jovens **(DD de DH juvenil)
- atrofia do cerebelo e tronco encefálico

Início dessa enfermidade é inversamente proporcional ao número de repetições do CAG=> aumento de repetições do CAG

How well did you know this?
1
Not at all
2
3
4
5
Perfectly
17
Q

CORÉIA HEREDITÁRIA BENIGNA (CHB)
- é uma doença autossômica …
- mutação no gene NKX2.1 (fator 1 tiroidiano)
- Causa qual clínica?

A

DOENÇA AUTOSSÔMICA DOMINANTE! (HF É COMUM)

  • CAUSA COREIA DE INÍCIO NA INFÂNCIA, além de retardo mental e hipotireoidismo congênito e distúrbios respiratórios (síndrome cérebro-pulmão-tireoide) em alguns casos.

obs: costuma melhorar com o passar dos anos em muitas situações

How well did you know this?
1
Not at all
2
3
4
5
Perfectly
18
Q

NEUROACANTOCITOSE
(COREIA-ACANTOCITOSE)

causa COREIA +?

A

1) DISTONIA ppt oral
2) TIQUES (2/3)
3) DISCINESIAS AUTOMUTILANTES ORO-MANDIBULO-LINGUAIS
4) COREIA

outros:
- PARKINSONISMO mais tardio, DEMÊNCIA e CRISES CONVULSIVAS (por Ctcg)
- ALTERAÇÕES COMPORTAMENTAIS/PQU: geralmente antecedem

How well did you know this?
1
Not at all
2
3
4
5
Perfectly
19
Q

NEUROACANTOCITOSE É UM GRUPO DE DOENÇAS CARACTERIZADO POR:

A

DEGENERAÇÃO DO SISTEMA NERVOSO + MANIFESTAÇÕES NEUROMUSCULARES + ACANTOCITOSE NO ESFREGAÇO

How well did you know this?
1
Not at all
2
3
4
5
Perfectly
20
Q

QUAIS AS 3 DOENÇAS DO ESPECTRO DA NEUROACANTOCITOSE?

A

ABETALIPROTEINEMIA: Clínica diferente

COREIA-ACANTOCITOSE: PROTÓTIPO

SÍNDROME DE MCLEOD

How well did you know this?
1
Not at all
2
3
4
5
Perfectly
21
Q

DIAGNÓSTICO DE COREIA-ACANTOCITOSE É BASEADO NO RECONHECIMENTO DE ACANTÓCITOS + CLÍNICA TÍPICA + Lipidograma normal

V ou F

A

VERDADEIRO

  • DETECÇÃO DE MUTAÇÃO BIALÉLICA NO VPS13A CONFIRMA
How well did you know this?
1
Not at all
2
3
4
5
Perfectly
22
Q

COREIA ACANTOCITOSE E ABETALIPROTEINEMIA POSSUEM CLINICAS INDISTINGUÍVEIS

V OU F

A

FALSO

COREIA ACANTOCITOSE É MUITO SIMILAR A SÍNDROME DE MCLEOD

  • MAS TODAS AS 3 FAZEM PARTE DO ESPECTRO DA NEUROACANTOCITOSE
How well did you know this?
1
Not at all
2
3
4
5
Perfectly
23
Q

AS COREIAS PODEM SER CLASSIFICADAS EM 7 CLASSES
QUAIS?

A

HEREDITÁRIA

METABÓLICA

IMUNOLÓGICA

INFECCIOSA

VASCULAR

ESTRUTURAIS

SECUNDÁRIAS AO USO DE FÁRMACOS

How well did you know this?
1
Not at all
2
3
4
5
Perfectly
24
Q

COREIA FAMILIAR BENIGNA (CFB)
- É UM TIPO DE COREIA HETEDITÁRIA AUTOSSÔMICA DOMINANTE RELACIONADA AO GENE NKX2

CARACTERIZADO POR QUADRO PROGRESSIVO E COM COMPROMETIMENTO MENTAL IMPORTANTE

V OU F

A

FALSO

COREIA NA INFÂNCIA COM AUSÊNCIA DE COMPROMETIMENTO MENTAL IMPORTANTE E POUCO PROGRESSIVA
- ASSOCIADO AO GENE NKX2

  • Pode ter ataxia, disartria, sinais piramidais
  • Hipotonia pode haver no início da infância, assim como TDAH
How well did you know this?
1
Not at all
2
3
4
5
Perfectly
25
QUAIS SÃO AS CAUSAS DE COREIA HEREDITÁRIA?
1)HUNTINGTON 2)HUNTINGTON-LIKE 3)COREIA FAMILIAR BENIGNA 4)atrofia dentato- rubropálido-luisiana (DRPLA)
26
COREIA SENIL É UM TIPO DE COREIA QUE OCORRE EM MAIORES DE 60 ANOS SEM ETIOLOGIA INDETERMINADA E COMPROMETIMENTO COGNITIVO V OU F
VERDADEIRO - ENVOLVE OS MEMBROS E, POSTERIORMENTE, PODE SE GENERALIZAR. - NÃO HÁ HISTÓRIA FAMILIAR PS: The term "senile chorea" is applied to cases of sporadic chorea with onset after the age of 50 years. The causes of senile chorea are numerous and include drugs, medications, cerebrovascular disease, genetic and sporadic neurodegenerations, and a range of systemic (hematological, metabolic, immune) disorders. The cause of senile chorea can be determined after systematic investigation in most cases.
27
COREIA GRAVÍDICA O QUE É?
MAIS FREQUENTE EM MULHERES COM ANTECEDENTES COREICOS - METADE É IDIOPÁTICO - FEBRE REUMATICO 2º - SAAF 3º CAUSA MAIS PROVÁVEL: Reativação dos núcleos da base, resultante de encefalopatia reumática anterior.
28
COREIA de origem VASCULAR Tanto lesões no núcleo subtalâmico como nas vias que envolvem os núcleos da base, como as vias corticoestriatal e subtalamopalidal, podem causar coreia ou balismo A clínica é abrupta? duração prolongada?
1) Várias são as etiologias vasculares: isquemia, hemorragia e MAV 2) Início abrupto e reversão até 4 semanas (tipicamente)
29
HIPERGLICEMIA e HIPOGLICEMIA SÃO CAUSAS DE COREIA DE HEMIBALISMO?
SIM!
30
COREIA METABÓLICA - HIPERGLICEMIA NÃO CETÓTICA COMO É A CLÍNICA TÍPICA?
UNILATERAL e não generalizada - glicemia varia entre 500 - 1000 geralmente - as vezes o movimento pode se manifestar após o episódio hiperglicemia (dias - semanas)
31
ALÉM DA COREIA POR HIPERGLICEMIA QUAL O OUTRO DISTÚRBIO DO MOVIMENTO QUE PODE OCORRER NESTE ESTADO?
HEMIBALISMO TRANSITÓRIO - 2ª CAUSA MAIS COMUM DE HEMIBALISMO
32
PACIENTE COM ESSA RNM + DM PENSAR EM QUAL DISTURBIO DO MOVIMENTO?
COREIA METABÓLICA - HIPERGLICEMIA NÃO CETÓTICA TC: HIPERDENSIDADE ESTRIATAL RNM: HIPERSINAL NO T1 c/ t2 e flair variáveis (geralmente hipo)
33
HIPERTIREOIDISMO É CAUSA DE COREIA V OU F
VERDADEIRO - Tende a desaparecer com o controle
34
HIPOPARATIREOIDISMO - É MAIS COMUM CAUSA DE COREIA OU PARKINSONISMO?
PARKINSONISMO - MAS PODE CAUSAR OS DOIS incerto se essa sintomatologia decorre do metabolismo anormal do cálcio e fósforo ou secundária à calcificação dos gânglios da base
35
COREIA INDUZIDA POR DROGAS - Anticonvulsivantes (fenitoina ppt) - ADT - Cocaína e Anfetamina - Neurolépticos qual é importante e não foi citado?
ANTICOLINÉRGICOS! Como o triexifenidil
36
Os neurolépticos podem causar diversos distúrbios do movimento cuja natureza depende principalmente do tempo de uso e da dose; no caso das coreias, é o que se denomina:
**DISCINESIA TARDIA** caracteriza predominantemente pela instalação, em mulheres mais idosas, de movimentos involuntários e mastigatórios do tipo coreico na boca e língua. A suspensão do neuroléptico, se possível, pode trazer benefícios, mas não é garantia de que o movimento pare
37
Qual a principal causa da Coreia em crianças?
- PARALISIA CEREBRAL Seguido por Coreia de Sydenham
38
COREIA DE SYDENHAM QUAL O PERÍODO ESPERADO PARA INÍCIO DOS SINTOMAS APÓS A INFECÇÃO PELO STREPTOCOCO BETA HEMOLÍTICO DO GRUPO A?
4 semanas - 6 meses
39
COREIA DE SYDENHAM Qual a clínica?
COREIA - Geralmente generalizada - hemi em cerca de 20% SINTOMAS PSIQUIÁTRICOS: Podem se seguir da coreia: TOC por exemplo
40
COREIA DE SYDENHAM Não há recorrencia V ou F
Falso Risco de recorrencia de 30% E metade podem ter Coreia ainda mesmo após 2 anos ** História de CS aumenta risco de Coreia gravídica
41
COREIA DE SYDENHAM É sinal cardinal de:
Febre reumática
42
COREIA DE SYDENHAM QUAL O TRATAMENTO?
Tetrabenazina; Ácido VALPROICO ou Carbamazepina Neurolepticos são segunda linha (risco de sintomas EXP) - Em casos refratários pode pensar em Imunoterapia com corticoide e até IGIV ou plex
43
COREIA PARANEOPLASICA QUAL PRINCIPAL TUMOR ASSOCIADO?
Câncer de pulmão de pequenas células
44
COREIA PARANEOPLASICA Quais os 2 principais autoanticorpos associados? Quais tumores são associados?
ANTI-HU (Anna 1): Pulmão de pequenas celulas Anti-CRPM5 - mais comum (CV2): Pulmão de pequenas celulas, seguido por timoma; linfoma raramente
45
Anti-PDE10A Novo autoanticorpos descoberto Relacionado a o que?
Síndrome neurológica paraneoplasica - associado com balismo e coreia, principalmente se usar inibidor de Checkpoint
46
ENCEFALITE IMUNOMEDIADA POTENCIALMENTE CAUSADORAS DE COREIA - QUAIS AUTOANTICORPOS?
Menos comumente causadores de coreia do que anti-HU e anti-CV2 ANTI-GAD ANTI-CASPR (associado com Isaacs e Morvan - pode ser paraneo) ANTI-LGI1 (Distonia faciobraquial) Anti-NMDA: Coreia é descrita na minoria dos pacientes
47
Anti-IgLON5 é associado com coreia em até 35% dos pacientes - Quais outros comemorativos?
Autoimune -> tem um caráter mais degenerativo (lenta evolução) - Parassonias (REM e NÃO-REM) - Disautonomia - Disfunção hipotalâmico e de tronco encefálico - pode ter doença do neurônio motor - Movimentos periódicos dos membros; estridor no sono - morte súbita no sono ou vigilia
48
COREIA NO LUPUS E SAF MUITO FREQUENTE?
COREIA PODE PRECEDER O INÍCIO DO LUPUS EM ATÉ 20% DOS CASOS Em relação a coreia LUPUS-SAF - RARO (1% dos neurolupus) - Predomínio feminino - Idade de início entre 15 - 26 anos - Unilateral e monofásico em 60% dos casos - Muita associação com anticorpos antifosfolipide
49
COREIA CRÔNICA NO ADULTO QUAIS OS PRINCIPAIS DD?
HUNTINGTON HUNTINGTON FENOCOPIAS (SCA 17, C9ORF72) NEUROACANTOCITOSE LESÃO ESTRUTURAL DOS NNBB
50
COREIA HIPERAGUDA PENSAR EM: COREIA AGUDA-SUBAGUDA PENSAR EM:
HIPERAGUDA: - VASCULAR AGUDA: - METABOLICA; AUTOIMUNE; IMUNEMEDIADA
51
DOENÇA DE WHIPPLE - Miorritmia oculomastigatória é patognomônico e encontrado na maioria dos casos V ou F
FALSO - É PATOGNOMÔNICO, MAS É ENCONTRADO NA MINORIA (< 20%)
52
DOENÇA DE WHIPPLE - ACOMETIMENTO DE SNC QUAIS SINTOMAS:
- A MAIORIA É ASSINTOMÁTICO DO SISTEMA NERVOSO (70%); MAS PODE SER O ÚNICO ACOMETIMENTO CLÍNICA POSSÍVEL: 1)PARALISIA SUPRANUCLEAR + PARKINSONISMO - PODE TER ATAXIA E MIOCLONIA - MIORRITMIA OCULOMASTIGATÓRIA NA MINORIA (20%) - PROGNÓSTICO RESERVADO NO ACOMETIMENTO NEUROLÓGICO E DX DIFÍCIL SE ISOLADO => Demanda biópsia de int.delgado para identificar treponema
53
CAUSAS DE DISTURBIO DO MOVIMENTO - INFECCIOSO QUAIS AS PRINCIPAIS?
HIV: Pode ser pelo próprio virus ou infec oportunista (TB, toxo) TOXOPLASMOSE: acometimento de NNBB TUBERCULOSE: Meningite ppt Whipple NEUROCISTICERCOSE: Ppt pela hidrocefalia obstrutiva - parkinsonismo
54
DISTONIA DEFINIÇÃO:
CONTRAÇÕES MUSCULARES frequentemente REPETITIVAS que CAUSAM POSTURAL ANORMAL e/ou MOVIMENTOS - São tipicamente PADRONIZADOS - Podem ser torcionais ou tremulantes - Frequente se inicia ou piora por ação voluntária
55
CLASSIFICAÇÃO DA DISTONIA EM RELAÇÃO A SUA DISTRIBUIÇÃO (4)
1) FOCAL: cervical, laringe, craniana, membros 2) SEGMENTAR 3) GENERALIZADA 4) MULTIFOCAL
56
uma característica da distonia primária é o truque sensitivo o que é?
O paciente produz um estímulo sensorial que faz com que o movimento distônico se alivie, pelo menos durante algum tempo, da realização de tal gesto. EX: Tocar a região. Utilizar roupas que pressionem a região (como o colarinho fechado de uma camisa ou um colar cervical) Realização de massagem no local.
57
as distonias se dividem em: 1) idade de início 2) distribuição topográfica 3) padrão temporal 4) movimentos anormais associados 5) etiologia V OU F
VERDADEIRO
58
Quando se considera distonia de início precoce? qual sua peculiaridade?
< 20 anos - Início tipicamente em membros inferiores e tem maior tendência para progressão e generalizar já as que iniciam na vida adulta: adulta geralmente ocorrem na metade superior do corpo e tendem a se restringir ao segmento acometido ou a propagar-se apenas para regiões contíguas.
59
A consistente padronização dos movimentos e sua consequente previsibilidade são o que difere a ____ de outros movimentos anormais, como a coreia.
DISTONIA Frequentemente, tais movimentos promovem um movimento oscilatório que pode ser classificado como tremor, o qual pode ser rítmico ou irregular com alguns espasmos ocasionais.
60
QUAIS SÃO AS 5 PRINCIPAIS CARACTERÍSTICAS CLÍNICAS DA DISTONIA?
Em alguns casos, a própria definição de distonia pode ser de difícil validação: ocomponente fásico pode ser diagnosticado como mioclonia ou tremor, enquanto o componente tônico pode ser confundido com posturas anormais produzidaspor espasmos, alterações neuromusculares ou crises tônicas. O movimento deve ser previsível e estereotipado (a postura anormal se estende a uma parte do corpo ao longo de um eixo), é sustentado no seu pico e, algumas vezes, entremeado com movimentos regulares semelhantes a um tremor. Outra característica seminal das distonias é a alteração de input sensitivo que modifica a contração, como o truque sensitivo, além do espelhamento e transbordamento
61
**DISTONIA** PODE SER PRIMÁRIA: HEREDITÁRIA OU ESPORÁDICA OU SECUNDARIA V OU F
Nas distonias secundárias, há de se considerar se é degenerativa, sintomade um agente exógeno, lesão estrutural, metabólica, vascular, autoimune ou psicogênica
62
NA DISTONIA FOCAL O TRATAMENTO DE ESCOLHA É:
TOXINA BOTULÍNICA ex: distonia cervical, blefarospasmo, disfonia espasmódica, distonia oromandibular e outras distonias focais. *porém, em alguns casos, o uso concomitante de medicamentos orais pode intensificar o alívio sintomático.
63
A L-DOPA DEVE SER O PRIMEIRO FÁRMACO INTRODUZIDO EM DISTONIA DE INÍCIO NA INFÂNCIA, COM ACOMETIMENTO DE MARCHA E SEM CAUSA DEFINIDA POR QUE?
PORQUE CASO HAJA MELHORA SIGNIFICATIVA DEVE-SE **SUSPEITAR DE DISTONIA LEVODOPA RESPONSIVA (DDR)** - quadro de herança autossômica dominante - com distonia de início na infância/adolescência, parkinsonismo e flutuação diurna dos sintomas. *A resposta típica dos pacientes com DDR é uma excelente e sustentada melhora clínica com pequenas quantidades de L-dopa (50 a 300 mg/dia). A dose inicial administrada deve ser de 25 mg, uma vez ao dia, em crianças, e 50 mg,em adultos. O incremento é gradual até atingir a melhora clínica desejada*, Os pacientes não desenvolvem wearing-off nem flutuações motoras pelo uso prolongadO de L-dopa1
64
A DDR (Distonia dopa responsiva) pode ser confundida com paralisia cerebral. Por quê?
A marcha clássica da DDR, **caracterizada por hipertonia dos membros inferiores com flexão e eversão plantar e apoio na ponta dos pés**, é muitas vezes confundida com o padrão diplégico da paralisia cerebral.
65
QUAIS SÃO AS PRINCIPAIS CLASSES DE DROGAS UTILIZADAS NO TRATAMENTO DE DISTONIA?
**LEVODOPA: **Pensando em DDR **Anticolinérgicos:** Primeira escolha na distonia generalizada **Baclofeno** eficaz na distonia primária e secundária **Tetrabenazina: **utilizada no tratamento de dist.mov hipercinéticos - ppt coreia **Benzodaizepínicos** adjuvante em todas as formas de distonia **Antidopaminérgicos** neurolépticos clássicos podem trazer alívio
66
QUAL A CLASSE DE DROGAS DE PRIMEIRA ESCOLHA NA DISTONIA GENERALIZADA
**ANTICOLINÉRGICOS** - **TRIEXIFENIDINA ou BIPERIDENO** Deve-se começar com doses de 1 a 3 mg por dia, divididas em três ingestas, e aumentar de 1 a 2,5 mg por semana, até atingir melhora clínica satisfatória ou efeitos colaterais indesejáveis. Os efeitos centrais da triexifenidina incluem dificuldade de concentração, confusão mental, alucinação e letargia.
67
A TOXÍNICA BOTULÍNICA SÓ É UTILIZADA PARA DISTONIA FOCAL V OU F
FALSO - ESPECIALMENTE PARA DISTONIA FOCAL SIM!! MAS TAMBÉM ADJUVANTE EM DISTONIAS GENERALIZADAS TxB pode ser um importante coadjuvante às terapias oral e cirúrgica.
68
TOXINA BOTULÍNICA PARA DISTONIA EFEITO MÁXIMO É ALCANÇADO EM QUANTO TEMPO? MANTÉM-SE ESTÁVEL POR QUANTO TEMPO?
EFEITO MÁXIMO EM 2 SEMANAS MANTÉM-SE ESTÁVEL POR +- 80 DIAS Os efeitos mais comuns são fraqueza muscular local, desconforto ou dor no local da injeção e hematomas. Deve-se tomar mais cuidado no tratamento de distonia cervical, pois a TxB podem difundir-se e causar disfagia.
69
toxina botulínica - distonia Para evitar a formação de anticorpos, recomenda-se um intervalo de ____ entre as aplicações.
ao menos 3 meses
70
Contraindicações para uso de TXB incluem seja, patologias musculares ou de junção neuromuscular que geram fraqueza muscular. V OU F
VERDADEIRO miopatia, polineuropatia, miastenia gravIs e síndrome de Lambert-Eaton,
71
que TxB é efetiva no tratamento da cãimbra do escrivão V ou F
VERDADEIRO deve-se ter cuidado com a dose pelo risco frequente de fraqueza muscular.
72
Ausência de acantocitos no sangue periférico exclui o diagnóstico de Coreia-acantocitose V OU F
Falso Pode estar ausente
73
A denervação periférica é indicada a pacientes com distonia laringea que não respondem adequadamente ao tratamento medicamentoso e à TxB V ou F
FALSO Distonia Cervical!!
74
BACLOFENO INTRATECAL HÁ INDICAÇÃO?
Reservado às distonias generalizadas refratárias ao tratamento farmacoterápico, porém seu benefício é maior nos casos de distonias secundárias associadas a espasticidade ou dor. Antes de indicar o implante da bomba, deve-se realizar um teste de infusão com cateter intratecal de baclofeno para avaliar a resposta clínica
75
BACLOFENO INTRATECAL HÁ INDICAÇÃO?
**Reservado às distonias generalizadas refratárias ao tratamento farmacoterápico, porém seu benefício é maior nos casos de distonias secundárias associadas a espasticidade ou dor.** Antes de indicar o implante da bomba, deve-se realizar um teste de infusão com cateter intratecal de baclofeno para avaliar a resposta clínica
76
____é a primeira opção cirúrgica no manuseio da distonia generalizada e refratária ao tratamento farmacológico
DBS Contraindica-se ECP a pacientes com antecedentes psiquiátricos, déficit cognitivo ou dificuldades para acompanhamento regular no pós-cirúrgico
77
classificação dos tremores de acordo com sua frequência qual a frequência considerada para: - BAIXA: - MÉDIA: - ALTA:
**BAIXA:** MENOR DO QUE 4 CICLOS/SEGUNDO EX: CEREBELAR **MÉDIA**: 4 - 7 CICLOS/SEGUNDO EX: DP; TREMOR ESSENCIAL **ALTA:** ACIMA DE 7 CICLOS POR SEGUNDO EX: FISIOLÓGICO, ESSENCIAL OU ORTOSTÁTICO (O mais rápido)
78
TREMOR DE AÇÃO: É POSTURAL E MAIS QUAIS?
POSTURAL; CINÉTICO; INTENCIONAL; TAREFA ESPECÍFICA; ISOMÉTRICA.
79
AS 3 PRINCIPAIS CARACTERÍSTICAS DO TREMOR DE REPOUSO?
- Adução-abdução - Pronação-supinação
80
TREMOR FISIOLÓGICO Quais as características (gatilho, frequência, postural ou repouso) ?
**Gatilhos:** fadiga muscular, hipoglicemia, hipertireoidismo, uso de medicamentos, estresse e ansiedade **Frequência:** 8 - 12 Hz (alta) - **Geralmente é um tremor de postura** e denominado tremor fisiológico exacerbado.
81
TREMOR PARKINSONIANO - CARACTERÍSTICAS?
- REPOUSO; - Pode ocorrer tremor de ação ou de postura, sendo comum essa combinação - PERÍODO DE LATÊNCIA (chamado tremor reemergente); - Desaparece durante o sono e piora durante estresse; - Frequência em torno de 4-7 Hz; - Supinação-pronação.
82
TREMOR CEREBELAR QUAIS AS CARACTERÍSTICAS?
TREMOR INTENCIONAL - Frequencia: 2 - 5 Hz - Pode ser uni ou bilateral Outros sinais cerebelares como disartria, nistagmo, dismetria, ataxia e hipotonia costumam estar presentes.
83
TREMOR ORTOSTÁTICO tremor que se localiza nos membros inferiores e no tronco e inicia-se logo após o indivíduo adquirir a posição ortostática. Melhora como?
durante a marcha e o repouso
84
TREMOR DE HOLMES (Rubral ou mesencefálico) O QUE É? QUAIS SUAS CARACTERÍSTICAS?
TREMOR UNILATERAL DE REPOUSO/POSTURAL/AÇÃO BAIXA FREQUÊNCIA AFETA PARTE PROXIMAL E DISTAL DO MEMBRO MUITO INCAPACITANTE PIORA QUANDO SAI DO REPOUSO PARA POSTURA
85
Quando o tremor ocorre no segmento acometido pela distonia é denominado
**tremor distônico** Geralmente possui amplitude irregular e frequência variável e apresenta uma direção predominante. EX: tremor cefálico associado à distonia cervical, que se torna mais evidente quando o paciente faz um movimento contrário ao da distonia e desaparece com o relaxamento da musculatura.
86
QUAIS OS TIPOS DE ''COLLIS''?
ANTERO RETRO TORTI LATERO ''Collis'' há desvio do eixo cervical
87
QUAIS OS TIPOS DE ''CAPUT''?
ANTERO RETRO LATERO TORTI
88
HÁ TREMOR ESPECÍFICO! EXEMPLIFIQUE
- O tremor primário da escrita (tipo A) é o mais comum e está presente somente durante o ato de escrever - Câimbra do escrivão também pode vir acompanhada de tremor. - Outros exemplos são os tremores dos músicos e dos atletas. Além desses, o tremor isolado de voz é outra condição relativamente frequente.
89
Tremor associado à neuropatias periféricas o que é isso?
É um tremor de ação e ocorre na manutenção da postura que acomete os membros afetados pela neuropatia. *Na maioriados casos, ocorre em pacientes portadores de neuropatia desmielinizante
90
O QUE PODE LEVANTAR SUSPEITA PARA TREMOR PSICOGÊNICO?
- Início abrupto; - Progressão rápida ao máxima de gravidade; - Mais de 1 membro; - Características complexas e variáveis; - Repouso, ação e postura; - Pode ser induzido com sugestões; - Fenômeno de transbordamento: ao tentar impedir a manifestação do tremor, por exemplo, segura um membro acometido e outra parte do corpo não contida pelo examinador manifesta o tremor, geralmente com amplitude maior ainda do que a anterior. - Múltiplas queixas e sem outros sintomas neurológicos associados; - Sem resposta favorável a qualquer fármaco.
91
Tremor Palatal o que é? qual a área lesada?
**Tremor palatal é definido como um movimento rítmico do palato mole, com frequência de 1 Hz a 3 Hz.** - acompanhado de um clique auditivo causado por contrações do músculo tensor do véu palatino - Pode ser decorrente de lesões focais do tronco cerebral ou cerebelar, **especialmente na área do triângulo de Guillain-Molaret** (núcleo rubro, núcleo denteado e núcleo olivar inferior)
92
há tremor induzido por fármacos?
sim Várias medicações têm sido implicadas em produzir tremores e as características desse tipo de tremor dependem da medicação utilizada EX - carbonato de lítio, valproato de sódio, lamotrigina, simpaticomiméticos e antidepressivos produzem um tremor de postura semelhante ao tremor fisiológico exacerbado. - Quando se utilizam fármacos depletores ou bloqueadores dopaminérgicos e antifúngicos, o tremor de repouso é o característico
93
tremor na doença de wilson TIPOS?
Geralmente é um tremor postural ou de intenção: bater de asas - ocasionalmente de repouso *Associa-se a outros sinais, como distonia, parkinsonismo, sinais cerebelares e alterações cognitivas**
94
tremor essencial quais os critérios secundários?
Não são obrigatórios, mas dão suporte Duração > 3 anos Resposta ao álcool História familiar
95
TREMOR ESSENCIAL SÃO CRITÉRIOS DE EXCLUSÃO TODOS OS SEGUINTES? 1) Outros sinais neurológicos, além do froment 2) Causa conhecida do tremor fisiológico exacerbado 3) História ou evidência de tremor psicogênico 4) Início abrupto ou deterioração lenta 5) Tremor ortostático primário 6) Tremor isolado de voz, mento, função específica
VERDADEIRO
96
TREMOR ESSENCIAL EPIDEMIOLOGIA:
Pode ocorrer em qualquer idade - final da adolescência e após 50 anos são os picos; Sem diferença entre sexos
97
TREMOR ESSENCIAL MANIFESTAÇÕES CLÍNICAS - tipo de tremor - frequência - locais
**TIPO**: AÇÃO ou POSTURAL; desaparece em sono e repouso (tipicamente) **FREQUÊNCIA**: MÉDIA (4-7) E ALTA (7-12) **LOCAIS: ** - MÃOS em 90% (Em flexão-extensão) - início geralmente bilateral - Cabeça: sim-sim ou não-não - voz trêmula *mandibula, mento e MMII são menos comuns*
98
O acometimento da mandíbula, da língua, do tronco e dos membros inferiores é comum no tremor essencial V ou F
FALSO, É INCOMUM.
99
Pessoa com tremor essencial pode apresentar sinal de froment V ou F
VERDADEIRO
100
tremor essencial HF é presente em todos os casos v ou f
FALSO Transmissão genética autossômica dominante, mas com penetrância variável. Pode-se encontrar história familiar positiva em 17% a 100% dos acometidos, dependendo da amostra estudada
101
TRATAMENTO MEDICAMENTOSO PARA TREMOR ESSENCIAL QUAIS AS OPÇÕES?
102
tratamento medicamentoso para tremor essencial é indicado ppt quando o tremor interfere nas atividades V ou F
VERDADEIRO O tratamento não é completamente satisfatório (A melhora ocorre em cerca de 50% dos pacientes tratados) Quando o tremor não interfere nas atividades, na maioria das vezes não necessita de tratamento.
103
A avaliação do tratamento do tremor essencial pode ser feita como?
por meio de: - análise do próprio paciente; - mediante observação clínica; - testes de desempenho e destreza, como escrita, construção e desenho; - desempenho do paciente no trabalho.
104
QUAIS SÃO AS DROGAS DE PRIMEIRA ESCOLHA PARA O TREMOR ESSENCIAL?
PROPRANOLOL (principal) & PRIMIDONA *gaba, topiramato e clonazepam são de 2ª linha*
105
CITE UMA CAUSA DE PARKINSONISMO IRREVERSÍVEL EM PACIENTES CIRRÓTICOS
DEGENERAÇÃO HEPATOCEREBRAL ADQUIRIDA
106
TREMOR ORTOSTÁTICO PRIMÁRIO PRINCIPAIS DROGAS PARA O TRATAMENTO ?
GABAPENTINOIDES? GABA/PREGABALINA, até associados BENZODIAZEPÍNICOS
107
NA SUSPEITA DE TREMOR ORTOSTÁTICO DEVE-SE PEDIR QUAL EXAME?
ELETRONEUROMIOGRAFIA: AVALIAR A FREQUÊNCIA DO TREMOR
108
QUAL (is) o(s) betabloquador (res) de escolha para tremor essencial
PROPRANOLOL o mecanismo de ação exato para reduzir o TE é desconhecido Os efeitos podem ser verificados entre 12 e 24 horas após a administração. Começa com 20 - 40 mg/d e escalona a cada 5 - 10 dias até controle dos sintomas ou até algum efeito colateral impedir aumento. | CI: asma brônquica, insuficiência cardíaca, bloqueio aV, diabetes
109
PRIMIDONA para tremor essencial ASSINALE V OU F 1) A melhora é mais nítida para tremor cefálico 2) Bem tolerado, não necessitando de início com dose baixa 3) Ele e propranolol são igualmente efetivos
1) mais nítida para tremor dos braços (F), assim como para o propranolol 2) Efeitos colaterais levam até 20% dos pacientes a desistirem do tratamento. Deve-se iniciar com 25 - 50 mg/d e titular dose a cada 5 - 10 dias, até obter o efeito desejado (F) 3) Os dois são igualmente efetivos (V)
110
ALÉM DO TRATAMENTO FARMACOLÓGICO CLÁSSICO, QUAIS OUTRAS 2 OPÇÕES DE TRATAMENTO PARA TREMOR ESSENCIAL? quando indica-se cirurgia e toxina?
TOXINA BOTULÍNICA: Uma opção ppt no tremor cefálico refratário - visto que medicações orais apresentam pouca eficácia nessa forma CIRURGIA: Estereotaxia ou DBS - melhora em 50 - 90% dos casos * nos casos de tremor unilateral e grave, incapacidade funcional e quando não há resposta satisfatória às doses máximas toleradas dos medicamentos habitualmente utilizados para TE.
111
Tremor essencial PLUS o que é?
TREMOR COM CARACERÍSTICA DE ESSENCIAL **COM OUTRAS CARACTERÍSTICAS** - Ataxia - Distonia - Alteração cognitiva - Outros sinais neurológicos - Parkinsonismo: exceto roda denteada - TREMOR DE REPOUSO!!
112
tremor essencial com tremor de repouso é TE PLUS?
SIM - Estranho | https://sci-hub.ru/https://pubmed.ncbi.nlm.nih.gov/31767343/
113
TREMOR ESSENCIAL PLUS QUAL A LIMITAÇÃO DESSE TERMO?
MUITO GENÉRICO TE É UMA CONDIÇÃO HETEROGÊNEA!! | PRESTA ATENÇÃO
114
O QUE SÃO DISCINESIAS PAROXÍSTICAS?
DISTÚRBIOS DO MOVIMENTO HIPERCINÉTICOS EPISÓDICOS E RECORRENTES - Tipo coreia, distonia ou ambos - Início súbito e duração segundos - dias, com remissao completa
115
DISCINESIAS PAROXÍSTICAS - São súbitas, recorrem e apresentam remissão completa - V OU F
**VERDADEIRO** COREIA-DISTONIA: Duram de segundos-dias - **pode ser primária (genética) ou secundaria (incluindo lesões estruturais, metabólicas, infecciosas e inflamatórias)**
116
DISCINESIAS PAROXÍSTICAS A CAUSA É SOMENTE PRIMÁRIA V OU F
FALSO TEM AS CAUSAS SECUNDÁRIAS: Infecção, lesão estrutural, metabolica e infecciosa/inflamatória
117
ASSINALE V OU F 1) As discinesias paroxísticas podem ser familiares, com herança autossômica dominante, esporádicas ou secundárias. 2) O diagnóstico é fácil
1) VERDADEIRO 2) FALSO, Com exceção dos estudos genéticos, não há alterações em exames complementares que possam ser úteis para o diagnóstico. Portanto, o diagnóstico das discinesias paroxísticas deve se basear na história clínica, nos sintomas apresentados, na possível presença de história familiar e resposta ao tratamento.
118
DISCINESIA PAROXÍSTICA CINESIOGÊNICA (paroxysmal kinesigenic dyskinesia [PKD]) O QUE É? É A MAIS COMUM? A MAIORIA É ESPORÁDICO?
É UM DOS TIPOS DE DISCINESIA PAROXÍSTICA - ataques de discinesia induzidos por movimentos (cinesiogênica) - é a mais comum - somente 25% são esporádicos, o gene relacionado ao quadro familiar é o PRRT2 (PKD familiar)
119
DISCINESIA PAROXÍSTICA CINESIOGÊNICA [PKD] QUAL A CLÍNICA?
**ATAQUES DE DISCINESIA geralmente de CURTA DURAÇÃO** (segundos-1minuto) - PPT **DISTONIA e também coreia** **INDUZIDOS POR GATILHOS (96% das vezes conhecidos) DE MOVIMENTOS**: levantar, iniciar a deambulação, correr, calçar sapato
120
DISCINESIA PAROXÍSTICA CINESIOGÊNICA [PKD] EM BOA PARTE DAS VEZES O PACIENTE CONSEGUE SUPRIMIR OU REDUZIR O ATAQUE AO SENTIR A AURA V OU F
**há aura em 62% dos casos** como sensação de aperto ou formigamento nas extremidades, incômodo no estômago, um “frio na barriga” ou sensação de “eletricidade na cabeça”.
121
DISCINESIA PAROXÍSTICA CINESIOGÊNICA Ataques costumam ser unilaterais V OU F
FALSO **COSTUMAM SER BILATERAIS** Um ataque de PKD, portanto, começa com um movimento súbito, seguido de aura e, finalmente, de um movimento involuntário.
122
discinesia paroxísitica cinesiogênica (PKD) inicio geralmente na infância/adolescência e há remissão ou redução importante na vida adulta (por volta da 4ªde´cada) V OU F
VERDADEIRO
123
PKD e crises infantis estão presentes concomitantemente em 30% dos casos, especialmente naqueles com história familiar positiva V ou F
VERDADEIRO TENDO EM VISTA QUE O GENE ASSOCIADO *PRRT2* COM A PKD FAMILIAR TAMBÉM CAUSA CRISE CONVULSIVA FEBRIL DA INFÂNCIA * PRRT2 têm ainda mais prevalência de enxaqueca, incluindo enxaqueca com aura e enxaqueca hemiplégica, tanto em casos familiares quanto esporádicos!!*
124
como é feito o diagnóstico e tratamento da discinesia paroxística cinesiogênica (PKD)?
**DIAGNÓSTICO É CLÍNICO!!** Difícil de ser feito pela raridade, não há alteração em exames laboratoriais ou de imagem - levando a erros muitas vezes - **pode ser genético**, principalmente se história familiar (mutação no PRRT2 é a mais comum **TRATAMENTO: BOA RESPOSTA A CARBAMAZEPINA e FENITOÍNA EM DOSES BAIXAS** >> Até 27% dos pacientes têm remissão completa e outros 25%, redução importante dos ataques com o tratamento
125
QUAIS SÃO OS 3 TIPOS DE DISCINESIAS PAROXÍSTICAS?
DISCINESIA PAROXÍSTICA CINESIOGENICA (PKD) DISCINESIA PAROXÍSTICA NÃO CINESIOGENICA (PNKD) DISCINESIA PAROXÍSTICA INDUZIDA POR EXERCÍCIO (PED)
126
discinesia paroxística não cinesiogênica (PNKD) quais as diferenças para a cinesiogenica?
**INÍCIO MAIS PRECOCE**: 4 - 5 anos *causas 2ª são mais tardias* **ALGO MAIS PROLONGADOS**: MINUTOS -1 HORA EM MÉDIA (Até 12 horas) ATAQUES**NÃO tão RELACIONADOS COM MOVIMENTOS**: >> Principalmente associados com consumo de café, alcool, calor, fome, menstruação também podem possuir aura
127
DISCINESIA PAROXÍSTICA NÃO CINESIOGÊNICA (PNKD) QUAIS GATILHOS PRINCIPAIS?
CONSUMO DE ÁLCOOL, CAFÉ, CALOR, ESTRESSE/EXCITAÇÃO, FADIGA E MENSTRUAÇÃO
128
NA DISCINESIA PAROXÍSTICA NÃO CINESIOGENICA OS ATAQUES MELHORAM NA VIDA ADULTA ??
SIM!! COMO NA PKD
129
NA DISCINESIA PAROXÍSTICA NÃO CINESIOGENICA OS ATAQUES MELHORAM NA VIDA ADULTA ??
SIM!! COMO NA PKD
130
DISCINESIA PAROXÍSTICA NÃO CINESIOGÊNICA O TRATAMENTO É DIFERENTE DA CINESIOGÊNICA?
**SIM!!** NÃO RESPONDE BEM A CBZ E PHT **- UTILIZA-SE BENZODIAZEPÍNICO (clonazepam, DZP)** ALSO: orientar os pacientes a evitar fatores desencadeantes, como café e álcool, e a identificar sinais premonitórios a fim de evitar ataques paroxísticos
131
DISCINESIA PAROXÍSTICA INDUZIDA POR EXERCÍCIOS - PODE SER FAMILIAR, IDIOPÁTICA OU SECUNDÁRIA - QUAL A CLÍNICA?
ATAQUES DE DISCINESIA PAROXÍSTICOS INDUZIDOS POR EXERCÍCIOS FÍSICOS PROLONGADOS - Frequencia de 1 - 2 por mês - Início na infância: até os 15 anos - Sintoma típico: distonia no pé inicial, podendo evoluir para hemi-distonia | Há, ainda, relação da PED com crises de enxaqueca e epilepsia
132
DENTRE AS 3 PRINCIPAIS CAUSAS DE DISCINESIA PAROXÍSTICA QUAL A MAIS REFRATÁRIA AO TRATAMENTO?
**DISCINESIA PAROXÍSTICA INDUZIDA POR EXERCÍCIO (PED)** - Refratária aos tratamentos utilizados nas outras (CBZ, PHT, benzodiazepínicos) - **Pode tentar dieta cetogênica**
133
AS DISCINESIAS PAROXÍSTICAS PODEM FAZER PARTE DE SÍNDROMES CLÍNICAS COMPLEXAS V OU F
Além de PRRT2, PNKD, SLC2A1, GCH1 e Parkin, uma série de outras doenças genéticas pode causar episódios paroxísticas de discinesia. Normalmente, nessas outras condições, há também outras características que podem apontar para o diagnóstico genético.
134
discinesia paroxística hipnagógica - é distúrbio do movimento ou síndrome epiléptica?
**Atualmente se inclui como síndrome epiléptica** - pois é achado paroxismos em eletrodos profundos (EEG não convencional) e há melhora com fármacos anticrise -** A clínica é de episódios de distonias durante o sono não REM**
135
MIOCLONIAS NEGATIVAS O QUE SÃO?
PERDA DO TÔNUS DO AGONISTA COM CONTRAÇÃO COMPENSATÓRIO DO ANTAGONISTA - Principalmente notado quando coloca em postura antigravitacional - Lembrar de flapping; suspeitar em idoso com queda sem causa aparente - Pode ser cortical (na síndrome de Lance-Adams, na doença priônica e na panencefalite esclerosante subaguda) ou subcortical (asterixis).
136
3 EXEMPLOS DE MIOCLONIAS FISIOLÓGICAS
- HIPNICA: Abalos musculares no sono - SOLUÇO - SUSTO/STARTLE
137
mioclonia - boa parte é secundária a alterações metabólicas e medicamentos - V OU F
**VERDADEIRO CERCA DE 30%** 8% psicogênico
138
MIOCLONIA DISTRIBUIÇÃO ANATÔMICA, PODE SER: (4)
FOCAL SEGMENTAR: 2 segmentos contiguos MULTIFOCAL: áreas não contíguas GENERALIZADA: também acomete MMII
139
MIOCLONIA: FATORES PRECIPITANTES - ESPONTÂNEA: - REFLEXA: - AÇÃO:
ESPONTÂNEA: Geralmente causada pos distúrbios metabólicos REFLEXA: Desencadeada por estimulos (auditivos, visuais), fadiga AÇÃO: Desencadeada por ato motor -> em geral secundária à hipóxia
140
**MIOCLONIA: ETIOLOGIAS** FISIOLÓGICA ESSENCIAL EPILEPTICA SECUNDÁRIA ou SINTOMÁTICA PSICOGÊNICA exemplifique cada subtipo
141
**MIOCLONIA CORTICAL** É ESPECÍFICA PARA POUCAS CAUSAS V OU F
**FALSO** - MUITAS CAUSAS, **INCLUSIVE ENCEFALOPATIA METABÓLICA** (ppt uremica) E **EPILEPSIAS MIOCLÔNICAS PROGRESSIVAS (EMP)** Causas de EMP:doença de Unverricht-Lundborg, doença de Lafora, lipofuscinose ceroide neuronal, doenças mitocondriais (epilepsia mioclônica com fibra vermelhas rasgadas – myoclonus epilepsy with ragged-red fibers [MERRF]), sialidose, atrofia dentato-rubro -pálido-luisiana, epilepsia mioclônica familiar benigna do adulto e síndrome de Algelman Também pode ser observada: *epilepsia mioclônica juvenil, mioclonia pós-anóxica (síndrome de Lance-Adams), degeneração corticobasal , doença de Alzheimer, atrofia de múltiplos sistema, doença de Creutzfeldt-Jakob (DCJ), encefalopatia metabólica, síndrome Rett e doença celíaca. *
142
MIOCLONIA SUBCORTICAL ONDE FICA O FOCO GERADOR? EXEMPLOS DE MIOCLONIAS SUBCORTICAIS:
ENTRE CÓRTEX E MEDULA - EX: TREMOR/MIOCLONA PALATAL; STARTLE; MIOCLONIA RETICULAR; FLAPPING (origem nn.base)
143
MIOCLONIA SUBCORTICAL ONDE FICA O FOCO GERADOR? EXEMPLOS DE MIOCLONIAS SUBCORTICAIS:
ENTRE CÓRTEX E MEDULA - EX: TREMOR/MIOCLONA PALATAL; STARTLE; MIOCLONIA RETICULAR
144
STARTLE PATOLÓGICO CHAMA-SE:
**HIPEREKPLEXIA** - RESPOSTA EXAGERADA AO ''SUSTO'' QUE NÃO SE INIBE COM ESTIMULAÇÃO REPETITIVA - FORMA FAMILIAR DECORRE DE MUTAÇÃO NA SUBUNIDADE ALFA-1 DO RECEPTOR DA GLICINA E PODE SER DIAGNOSTICADA NO PERÍODO NEONATAL
145
A gente sabe que existe a mioclonia cortical e subcortical. Porém. agora você sabe que existe a MEDULAR E ELA POSSUI 2 TIPOS (SEGMENTAR E PROPRIOESPINHAL) O QUE SÃO?
**SEGMENTAR:** Geralmente secundário a lesões estruturais (tumores, seringomielia) -> manifestações confinadas a poucos miotomos e ocorrem de forma irregular **PROPRIOESPINHAL**: Contração no sentido craniocaudal, com flexao da musculatura axial (poupa face) -> NA MAIORIA DOS CASOS NÃO HÁ ETIOLOGIA DEFINIDA (MUTIOS PSICOGÊNICOS https://www.youtube.com/watch?v=FJ-g5K1AkUk https://www.youtube.com/watch?v=eq6Lb3I8A5Q
146
ELETROFISIOLOGIA POSSUI UM PAPEL MUITO IMPORTANTE NA LOCALIZAÇÃO DA MIOCLONIA (CORTICAL, SUBCORTICAL, MEDULAR, PSICOGÊNICO) V OU F
VERDADEIRO **Principalmente associando ENMG e EEG **mioclonia cortical:**quando apresenta as seguintes características eletrofisiológicas: descargas musculares de curta duração, menores que 70 ms – observadas na EMG, usualmente menores que 50 ms; espícula no EEG rapidamente precedendo a descarga muscular. **Na mioclonia subcortical**, não existem sinais de hiperexcitabilidade cortical no EEG nem nos potenciais evocados somatossensitivos. A mioclonia subcortical, gerada no tronco cerebral, tem padrão típico de ativação muscular. **Mioclonia medular segmentar e proprioespinhal possuem características também: ** - **proprioespinhal**: disparo no EMG geralmente se inicia na musculatura abdominal ou cervical e difunde-se de forma lenta no sentido rostral e caudal, poupando os músculos craniano. - **segmentar:** disparos mioclônicos estão confinados a um ou dois miótomos contíguos e são de curta duração
147
A REALIZAÇÃO DE ELETROMIOGRAFIA DE SUPERFÍCIE É O SUFICIENTE PARA EXCLUIR MIOCLONIA PSICOGÊNICA V OU F
VERDADEIRO
148
**TRATAMENTO DAS MICOCLONIAS** - ALÉM DA RETIRADA DE CONDIÇÃO DESENCADEANTE, COMO DISTÚRBIO METABÓLICO OU EXPOSIÇÃO A TOXINA E DROGAS - QUAIS OS FÁRMACOS MAIS RECOMENDADOS?
**LEVETIRACETAM:** BEM TOLERADO **CLONAZEPAM e outros BZD** **ÁCIDO VALPROICO** outros: piracetam e oxibato de sódio
149
O QUE SÃO TIQUES?
-MOVIMENTOS RECORRENTES E ESTEREOTIPADOS; FÔNICOS OU MOTORES; -PODEM SER SUPRESSOS e ACOMPANHAM URGÊNCIA PARA FAZE--LO *80% HÁ SENSAÇÕES PREMONITORIAS ANTECEDENDO*
150
TIQUES MOTORES PODEM SER SIMPLES OU COMPLEXOS - COMO ASSIM?
TIQUES MOTORES SIMPLES: Um grupo muscular - ex: abalo breve (tique clônico): bruxismo, blefarospasmo (tique distônico), enrijecimento do abdome (tique tônico) TIQUES MOTORES COMPLEXOS: Movimentos coordenados e sequecinados (parecem um gesto/movimento normal) - ex: copropraxia, ecopraxia, bater, pular e chutar
151
**QUAL A DIFERENÇA DA ANGUSTICA DO TIQUE PARA A DO TOC?**
**TIQUE:** NÃO É PARA TER GANHO SECUNDÁRIO, O DESCONFORTO É PARA A URGÊNCIA DE REALIZAR O MOVIMENTO/SOM **COMPULSÃO:** NECESSIDADE DE REALIZAR MOVIMENTO OU SOM, OU ALGO DESASTROSO IRÁ OCORRER
152
**TIQUES FÔNICOS SIMPLES VS COMPLEXOS EXEMPLIFIQUE**
**SIMPLES**: fungar, pigarrear, grunhir, ranger, gritar, tossir e soprar. **COMPLEXOS:** conteúdo linguístico de caráter obsceno (coprolalia), repetição de palavras ou frases ouvidas (ecolalia) e de palavras, frases ou, mais frequentemente, a última sílaba proferida (palilalia) | TIQUES PODE PERMANECE DURANTE O SONO - Diferencia de outros movimentos
153
TIQUES TRANSITORIOS VS SINDROME DE TOURETTE QUAL A DIFERENÇA DO TEMPO DOS TIQUES?
>1 ANO PRA PODER SER SINDROME DE TOURETTE
154
tiques podem ser primários ou secundários V OU F
PRIMÁRIOS: PPT EM CRIANÇAS (Em adultos é mais raro, mas pode ocorrer em casos de distonia primária - tiques distônicos) SECUNDÁRIO: mutiplas causas
155
** SÍNDROME DE TOURETTE** - FAIXA ETÁRIA DE INÍCIO - PRESENÇA DE TIQUES MOTORES/VOCAIS POR MAIS DE QUANTO TEMPO? - QUAIS COMORBIDADES SÃO FREQUENTES?
**Início na infância (96% antes dos 10 anos)** - Presença por mais de 1 ano e deve iniciar antes dos 21 anos - Há desaparecimento ou redução do tique na maioria na fase adulta - TOC e TDAH são comorbidades MUITO frequentes
156
tratamento da síndrome de tourette - Como regra, em primeiro lugar, caracterizar se o sintoma é grave o suficiente para justificar o tratamento. quais são as opções?
**ALFA-2-ADRENÉRGICOS:** CLONIDINA **ANTIDOPAMINÉRGICOS: **HALOPERIDOL E PIMOZINA - neurolépticos atípicos também== outros - Toxina botulínica para alguns tiques mototres ou vocais; - DBS em casos refratários pode ser utilizado
157
ATAXIAS HEREDITÁRIAS - Autossômica dominante - Autossômica recessiva - Congênita - ligadas ao x - mitocondriais o que elas possuem em comum?
ATAXIA (ÓBVIO) - Herança genética - Processo degenerativo envolvendo o cerebelo e suas conexões - Heterogeneidade fenotípica
158
ATAXIAS HEREDITÁRIAS - Autossômica dominante - Autossômica recessiva - Congênita dê exemplo de cada um desses subtipos
**DOMINANTE:** Ataxia espinocerebelar (SCA) **RECESSIVA:** deficiência de vitamina E; Ataxia de Friedrich; ataxia telangiectasia; ataxia com apraxia ocular; ataxia espástica autossômica recessiva de Chervelevoix-saguenay (ARSACS); ataxia cerebelar precoce com reflexos (EOCARR) **CONGÊNITA:**Malformações de Dandy-Walker (dilatação cística na fossa posterior com comunicação para o 4º ventriculo); as variantes de Dandy-Walker, as malformações de Chiari; as digenesias do vérmis (representadas por várias síndromes, entre elas pela apraxia oculomotora congênita de Cogan e pela doença de Lhermitte-Duelos), as agenesias de vérmis.
159
ATAXIA HEREDITÁRIA AUTOSSÔMICA RECESSIVA - ATAXIA DE FRIEDREICH A mais comum das AH autossomicas recessivas V OU F
VERDADEIRO
160
ATAXIA HEREDITÁRIA AUTOSSÔMICA RECESSIVA - ATAXIA DE FRIEDREICH (Mutação do gene FRDA que codifica fraxatina) QUAL A CLÍNICA CARACTERÍSTICA?
**ATAXIA GLOBAL**: APENDICULAR E MARCHA **HIPORREFLEXIA DE MMII C/ BABINSKI POSITIVO** **ALTERAÇÃO DA SENSIBILIDADE PROFUNDA** **INÍCIO ANTES DOS 20 ANOS** ## Footnote há formas com a presença de reflexos profundos preservados (ataxia de início precoce com preservação de reflexos profundos), de início tardio (entre 26 e 51 anos de idade) e com quadro clínico mais benigno
161
ATAXIA HEREDITÁRIA AUTOSSÔMICA RECESSIVA - ATAXIA DE FRIEDREICH OUTROS ACOMETIMENTOS IMPORTANTES?
- DEFORMIDADES ESQUELÉTICAS COMO ESCOLIOSE E PÉ CAVO - CARDIOMIOPATIA -> ACOMETIMENTO CARDIACO: ECG anormal em 80% - DM
162
ATAXIA HEREDITÁRIA AUTOSSÔMICA RECESSIVA ATAXIA DE FRIEDREICH - PROGNÓSTICO:
Perda da deambulação entre 9 e 16 anos de idade e óbito ocorre geralmente em torno dos 37 anos - geralmente causa cardíaca
163
ATAXIA HEREDITÁRIA AUTOSSÔMICA RECESSIVA - ATAXIA POR DEFICIÊNCIA DE VITAMINA E QUAL A CLÍNICA (MANIFESTAÇÕES, IDADE DE INÍCIO ETC..)
INÍCIO ENTRE 4 - 18 ANOS ATAXIA PROGRESSIVA ARREFLEXIA PROFUNDA COMPROMETIMENTO DA SENSIBILIDADE PROFUNDA SINAIS PIRAMIDAIS (ex: Babinski) DISTONIA e TITUBEAÇÃO DA CABEÇA Até cardiomiopatia e distúrbios visuais (retinopatia) - parece muito a friedreich
164
ATAXIA HEREDITÁRIA AUTOSSÔMICA RECESSIVA - ATAXIA POR DEFICIÊNCIA DE VITAMINA E COMO É O DIAGNÓSTICO E TRATAMENTO?
TESTE GENÉTICO (mutação no TTP1) E/OU DOSAGEM DA VITAMINA E SÉRICA TRATAMENTO É COM REPOSIÇÃO DA VITAMINA (Acima de 1g/d)
165
ATAXIA HEREDITÁRIA AUTOSSÔMICA RECESSIVA **ATAXIA TELANGIECTASIA** (várias mutações - cromossomo 11) segunda mais comum da infância (atrás da AF) - manifestações: idade de início, clínica, associações/comorbidades:
- ataxia cerebelar de início mais precoce que AF (entre 3-6 anos) - arreflexia e alteração de sensibilidade profunda - telangiectasias oculocutâneas - comorbidades: imunodeficiência --> suscetibilidade aumentada a neoplasias (leucoses e linfomas) e infecções --> principal causa de morte
166
ATAXIA HEREDITÁRIA AUTOSSÔMICA RECESSIVA - ATAXIA COM APRAXIA OCULAR (AOA) >> CLÍNICA: >> ACHADOS LABORATORIAIS
CLÍNICA: **ATAXIA CEREBELAR COM APRAXIA OCULAR + ARREFLEXIA **(Neuropatia periférica); pode ter coreia e distonia LAB: hipoalbuminemia e hipercolesterolemia. idade de início varia: - tipo 1: 1 - 20 anos; - tipo 2: 8 - 25 anos
167
ATAXIA HEREDITÁRIA AUTOSSÔMICA RECESSIVA - ataxia espástica autossômica recessiva de charlevoix-saguenay (ARSACS) MUITOS SÃO DIAGNOSTICADOS ERRONEAMENTE COM PARALISIA CEREBRAL, POR QUÊ?
ATAXIA COM ESPASTICIDADE DE INÍCIO NA INFÂNCIA ataxia de início precoce, espasticidade, neuropatia, pés cavos, disartria, nistagmo e hipermielinização da retina. DIAGNÓSTICO GENÉTICO: mutações em homozigose no gene SACS
168
**ATAXIA HEREDITÁRIA AUTOSSÔMICA RECESSIVA XANTOMATOSE CEREBROTENDÍNEA (ctx)** - HÁ REDUÇÃO NO METABOLISMO DO COLESTEROL, LEVANDO AO CÚMULO DE LIPÍDIO EM DIVERSAS REGIÕES, INCLUINDO SISTEMA NERVOSO QUAL A CLINICA neurológica e sistêmica? DIAGNÓSTICO É FEITO COMO? HÁ TRATAMENTO?
NEURO: Ataxia Cerebelar, deficit cognitivo, epilepsia e sinais extrapiramidais EXTRA: diarreia crônica, catarata e xantomas tendíneos DIAGNÓSTICO: dosagem sérica do colestanol, diagnóstico genético (mutações em homozigose no gene CYP27A1) tratamento: ácido quenodesoxicólico
169
ATAXIA HEREDITÁRIA AUTOSSÔMICA RECESSIVA DOENÇA DE REFSUM - Acúmulo de ácido fitânico - RARA - TÍPICO É: Surdez, ictiose e neuropatia com dois principais, QUAIS? - diagnóstico E TRATAMENTO?
ATAXIA CEREBELAR E RETINITE PIGMENTOSA - início dos sintomas é variável, podendo ocorrer na idade adulta - LCR COM PROTEINA > 100 e AUMENTO DO ÁCIDO FITÂNICO SÉRICO - DIAGNÓSTICO GENÉTICO: mutação no gene PHYH ou deficiência de atividade da enzima fitanoil-CoA hidroxilase - TRATAMENTO COM RESTRIÇÃO DIETÉTICA DO ÁCIDO FITÂNICO
170
**ATAXIA HEREDITÁRIA AUTOSSÔMICA RECESSIVA abetalipoproteinemia** - doença ocorre por níveis baixos de apolipoproteína B e colesterol LDL. CLÍNICA: início precoce com DIAGNÓSTICO:
ataxia, retinite pigmentosa, acantocitose, hepatomegalia e síndrome de má absorção (esteatorreia) DIAGNÓSTICO: - análise lipídica, após 12 horas de jejum, realizada nos doentes e em seus pais para determinar LDL (menos de 0,1 g/l), triglicerídeos (menos de 0,2 g/L) e apolipoproteína B (menos de 0, - mutação no gene MTP confirma o diagnóstico
171
**ATAXIA HEREDITÁRIA AUTOSSÔMICA RECESSIVA abetalipoproteinemia** tratamento
**retirada dos ácidos graxos da dieta** (substituindo-os por triglicerídeos de cadeia média) + **suplementação com altas doses de vitaminas lipossolúveis**
172
**ATAXIA HEREDITÁRIA AUTOSSÔMICA RECESSIVA abetalipoproteinemia** tratamento
**retirada dos ácidos graxos da dieta** (substituindo-os por triglicerídeos de cadeia média) + **suplementação com altas doses de vitaminas lipossolúveis**
173
ATAXIA HEREDITÁRIA AUTOSSÔMICA RECESSIVA **ATAXIA CEREBELAR DE INÍCIO PRECOCE COM REFLEXOS MANTIDOS (EOCARR)** - CLÍNICA:
**ATAXIA CEREBELAR PROGRESSIVA**, com início nas primeiras duas décadas de vida, associado a **disartria e sinais piramidais, com hiperreflexia profunda ** - diagnóstico diferencial da AF e de suas variantes, como a ataxia de Friedreich com reflexos mantidos (FARR) - representa a terceira forma mais comum de AHR após AF e AT
174
QUAL A ATAXIA ESPINOCEREBELAR (SCA) MAIS COMUM?
SCA 3 - Machado-Joseph
175
A MAIORIA DAS SCA SÃO CARACTERIZADAS POR MUTAÇÕES QUE LEVAM A REPETIÇÃO TRINUCLEOTÍDEO:
CAG - CODIFICANDO ATAXINA -> FUNÇÃO TÓXICA CEREBELO - POSSUI FENÔMENO DE ANTECIPAÇÃO: Quanto mais repetições, mais grave e precoce será a clínica
176
**SCA-1** - COSTUMA SURGIR APÓS OS 20 ANOS DE IDADE - QUAL A CLÍNICA E ALTERAÇÃO DO MOVIMENTO OCULAR CLÁSSICOS?
**ATAXIA CEREBELAR:** Principalmente de marcha **Nistagmo e Disartria** Hiperreflexia **hipermetria de sácades** outros: oftalmoparesia; paralisia bulbar, distonia, coreia e disfunção cognitiva
177
**SCA-2** - CLÍNICA E ALTERAÇÃO DO MOVIMENTO OCULAR TÍPICO
**ATAXIA CEREBELAR** Hiporreflexia por neuropatia periférica (diferente da SCA-1) **MOVIMENTOS SACÁDICOS LENTOS** (Diferente) Outras manifestações clínicas incluem distonia, coreia, parkinsonismo, mioclonia e demência
178
**SCA-2** - CLÍNICA E ALTERAÇÃO DO MOVIMENTO OCULAR TÍPICO
**ATAXIA CEREBELAR** Hiporreflexia por neuropatia dperiférica (diferente da SCA-1) **MOVIMENTOS SACÁDICOS LENTOS** (Diferente) Outras manifestações clínicas incluem distonia, coreia, parkinsonismo, mioclonia e demência
179
**SCA-3 (Machado-joseph)** CLÍNICA:
**VARIÁVEL** **ATAXIA CEREBELAR c/ outros sinais** - SINAIS PIRAMIDAIS + OFTALMOPARESIA/NISTAGMO + AMIOTROFIA
180
**SCA-3 (Machado-joseph)** há um variável fenótipo clínico ao menos 5 tipos
tipo 1: há presença de síndrome piramidal associada à extrapiramida tipo 2: há associação de sinais piramidais tipo 3: há síndrome cerebelar associada à amiotrofia periférica tipo 4: : síndrome parkinsoniana associada à neuropatia periférica tipo 5: paraplegia espástica predominante
181
**SCA-6** CLÍNICA: IDADE DE INÍCIO E PROGRESSÃO:
**ATAXIA CEREBELAR COM** disartria, nistagmo, disfagia e mesmo perda de sensibilidade profunda e distonia **LENTA PROGRESSÃO - INÍCIO AO REDOR DE 50 ANOS**
182
SCA-7 ATAXIA CEREBELAR + ___
DÉFICIT VISUAL POR DEGENERAÇÃO DA RETINA sinais piramidais, oftalmoplegia, parkinsonismo, coreia e, particularmente, movimentos sacádicos lentos
183
**SCA-10** ATAXIA CEREBELAR +
EPILEPSIA se caracterizou clinicamente pela** presença de ataxia pancerebelar associada à epilepsia** ## Footnote descrita em famílias de origem mexicana expansão ATTCT (diferente das outras)
184
ATAXIAS EPISÓDICAS SÃO DOENÇAS GENÉTICAS AUTOSSÔMICAS DOMINANTES QUE CAUSAM:
EPISÓDIOS DE ATAXIA, DESEQUILÍBRIO DE MARCHA E VERTIGEM, AUTOLIMITADOS >>início geralmente na fase adulta
185
ATAXIAS EPISÓDICAS tipo 1 e 2 - quais as diferenças?
**TIPO 1**: episódios de ataxia têm **curta duração** (segundos a minutos) e podem estar associados a mioquimias e ser induzidos por exercício **TIPO 2:** episódios de ataxia têm **duração mais prolongada**, podendo durar de minutos a horas. *A ataxia episódica tipo 2 é alélica da SCA6 e da enxaqueca hemiplégica familia (CACNA1A)*
186
ataxias mitocondriais causas:
**POLG**: grupo de doenças causadas pela mutação da polimerase gama do DNA mitocondria **MELAS**: miopatia mitocondrial, encefalopatia, acidose lática e episódios de avci **NARP**: neuropatia, ataxia e retinite pigmentar **MERRF:** epilepsia mioclônica associada a fibras vermelho-rasgadas **IOSCA:** ataxia espinocerebelar com início na infância **MIRAS: ** síndrome de ataxia recessiva mitocondrial
187
CANVAS É O QUE?
Cerebelar ataxia com neuropatia e arreflexia vestibular. (Canvas)
188
PATOLOGICAMENTE CANVAS É DEFINIDO POR 3 COISAS:
Atrofia cerebelar Neuronopatia raiz dorsal e craniana Alteração vestibular Hipoacusia e sinais piramidais NAO são componentes de CANVAS
189
Paciente com neuronopatia sensitiva, excluído HIV, sjogren e paraneo. Com relato de tosse crônica Pensar em:
CANVAS
190
CANVAS COSTUMA SE INICIAR :
A PARTIR DA 3 DECADA DE VIDA. NEM SEMPRE A TRIADE ESTA PRESENTE
191
Niemann Pick tipo C: Doença autossômica recessiva com mutação no NPC1 e NPC2 que resulta em falha no transporte de LDL e outras moléculas - sabendo disso, assinale V ou F 1) OS PRIMEIROS SINTOMAS SÃO NEUROLÓGICOS 2) IDADE DE INÍCIO PODE SER AMPLA: INFÂNCIA ATÉ VIDA ADULTA, COM DESENVOLVIMENTO NORMAL ATÉ LÁ.
1) FALSO, ENVOLVIMENTO DO FÍGADO, BAÇO ou PULMÃO TENDE A PRECEDER O NEUROLÓGICO 2) VERDADEIRO, MAS A MAIORIA TEM INÍCIO DOS SINTOMAS NA INFÂNCIA TARDIA, APÓS UM DESENVOLVIMENTO NORMAL. Mas tem a forma neonatal, que é geralmente mais grave
192
NIEMANN PICK TIPO C QUAIS OS SINTOMAS NEUROLÓGICOS CLÁSSICOS: QUAL A DIFERENÇA DA DOENÇA DE INÍCIO NA VIDA ADULTA, PARA A DOENÇA DE INÍCIO NA INFÂNCIA?
ATAXIA e DISTONIA PARESIA SUPRANUCLEAR DO OLHAR VERTICAL DECLÍNIO COGNITIVO: demência DISTÚRBIOS PSIQUIÁTRICOS 2) A VELOCIDADE DE PROGRESSÃO: Início na vida adulta tende a ser bem mais lenta, enquanto a de início na infância é mais rapidamente progressiva. Mas alguns sintomas são mais frequentes na infância. obs: Em alguns casos de NPD-C, sinais ou sintomas premonitórios sutis na infância, como esplenomegalia, hepatomegalia, dificuldade de aprendizado, surdez ou visão vertical prejudicada, podem preceder a deterioração neurológica na idade adulta
193
NIEMANN PICK TIPO C SINAIS CLINICOS DA DOENÇA DA INFÂNCIA:
HEPATOESPLENOMEGALIA ATAXIA, DISTONIA, PARESIA DO OLHAR VERTICAIL CATAPLEXIA GELÁSTICA (cataplexia por emoções fortes) - até 50% CRISES EPILÉPTICAS ATRASO DO DESENVOLVIMENTO MOTOR Bebês podem ter icterícia, ascite, hipotonia e quadro fatal.
194
O DIAGNÓSTICO DE NIEMANN PICK TIPO C É CONFIRMADO ATRAVÉS DE: PARA PACIENTES COM ALTA SUSPEITA CLÍNICA PEDIR UM BIOMARCADOR É IMPORTANTE, QUAL?
TESTE GENÉTICO - principalmente mutação do NPC1 (>90%) - há também mutação do NPC2 OXYSTEROL: - A triagem de biomarcadores para oxisteróis substituiu amplamente a biópsia de pele e a cultura de fibroblastos para triagem e diagnóstico de NPD-C.
195
NIEMANN PICK TIPO C : SABEMOS QUE O MANEJO É PRINCIPALMENTE SUPORTE - MAS HÁ UMA DROGA QUE PODE ATRASAR O DESENVOLVIMENTO DAS MANIFESTAÇÕES NEUROLÓGICAS. QUAL É?
MIGLUSTATE - sugerimos miglustate para pacientes com que apresentam manifestações neurológicas, psiquiátricas ou cognitivas leves a moderadas. O momento ideal para iniciar o tratamento é assim que surgirem quaisquer manifestações neurológicas
196
SÍNDROME DE MEIGE - É CAUSADO EM SUA MAIORIA POR CAUSA PRIMÁRIA OU SECUNDÁRIA (MEDICAÇÃO P.EX)?
CAUSA PRIMÁRIA: Componentes genéticos -> PRINCIPAL CAUSA SECUNDÁRIA: Antidopaminérgicos, por exemplo.
197
SÍNDROME DE MEIGE TIPICAMENTE ENVOLVE QUAIS ÁREAS?
BLEFAROESPASMO COM DISTONIA OROMANDIBULAR - Pode progredir para musculos cervicais, membros superiores e até respiratórios - HÁ TRUQUES SENSITIVOS PARA ALIVIAR!
198
SÍNDROME DE MEIGE - POSSÍVEIS TRATAMENTO FARMACOLÓGICO ORAL: - PRA QUEM É INDICADO TOXINA BOTULÍNICA?
- Anticolinérgicos (triexifenidil); antagonista dopaminérgicos (tetrabenazina); antagonistas gaba (Benzo ou baclofeno); - Indicado para aqueles que respondem pouco ao tratamento oral ou possuem efeitos adversos/contraindicação.
199
ESPASMO HEMIFACIAL - QUASE METADE DOS CASOS SÃO BILATERAIS
FALSO, COMO O NOME DIZ É HEMI facial. Portanto, apenas 5% são bilaterais
200
ESPASMO HEMIFACIAL QUAL A FISIOPATOLOGIA?
IRRITAÇÃO DO NERVO FACIAL E SUA RAÍZ POR ALGUMAS CAUSAS SUBJACENTES - Causa mais comum é o conflito neurovascular
201
ESPASMO HEMIFACIAL QUAIS AS CAUSAS? QUAL A MAIS COMUM?
MAIS COMUM É CONFLITO NEUROVASCULAR OUTRAS: Trauma Paralisia de Bell Lesões do tronco cerebral, como placas desmielinizantes de esclerose múltipla, acidente vascular cerebral Anomalias arteriovenosas, aneurisma arterial intracraniano, fístula arteriovenosa, angiomas Infecções da mastoide e do ouvido (otite média, colesteatoma) Tumores da glândula parótida Malformação de Chiari e outras anomalias estruturais da fossa craniana posterior
202
ESPASMO HEMIFACIAL QUAL A APRESENTAÇÃO CLÍNICA?
CONTRAÇÕES TÔNICO/CLÔNICAS DE UM LADO DA FACE - São indolores - INICIA COM ENVOLVIMENTO DO ORBICULAR DOS OLHOS E PROGRIDE PRO ANDAR INFERIOR (orbicularis oris, mentalis, zygomaticus major, platysma).- Inervados pelo facial
203
ESPASMO HEMIFACIAL (ASSINALE V OU F) - PODE PERSISTIR NO SONO - ESPASMOS SUSTENTADOS PODEM OCORRER COM O AVANÇO DA DOENÇA
1) VERDADEIRO: Ajuda a diferenciar de outras causas 2) VERDADEIRO
204
QUAL ACHADO AJUDA A DIFERENCIAR A CONTRAÇÃO DO ORBICULAR DO ESPASMO HEMIFACIAL DO BLEFAROESPASMO DO BLEFAROESPASMO KK?
OUTRO SINAL DE BABINSKI - “quando o orbicularis oculi se contrai e o olho fecha, a parte interna do frontalis se contrai ao mesmo tempo, a sobrancelha sobe durante a oclusão ocular” ou seja: OLHO FECHA E SOBRANCELHA SOBE!! ISSO AJUDA A DIFERENCIAR ESPASMO HEMIFACIAL DE BLEFAROESPASMO
205
QUAL ACHADO AJUDA A DIFERENCIAR A CONTRAÇÃO DO ORBICULAR DO ESPASMO HEMIFACIAL DO BLEFAROESPASMO DO BLEFAROESPASMO KK?
OUTRO SINAL DE BABINSKI - “quando o orbicularis oculi se contrai e o olho fecha, a parte interna do frontalis se contrai ao mesmo tempo, a sobrancelha sobe durante a oclusão ocular” ou seja: OLHO FECHA E SOBRANCELHA SOBE!! ISSO AJUDA A DIFERENCIAR ESPASMO HEMIFACIAL DE BLEFAROESPASMO
206
TRATAMENTO MEDICAMENTOSO DO ESPASMO HEMIFACIAL QUAL A PRIMEIRA ESCOLHA?
TOXINA BOTULÍNICA Os medicamentos orais podem ser considerados como terapia de primeira linha naqueles que não desejam a terapia com toxina botulínica e não são bons candidatos à cirurgia.
207
ESPASMO HEMIFACIAL QUANDO PENSAR EM TRATAMENTO CIRÚRGICO?
CASOS GRAVES/AVANÇADOS OU REFRATÁRIOS A TOXINA - DESCOMPRESSÃO MICROVASCULAR: Pois a principal causa é conflito neurovascular. A EMG pode ser usada para avaliar a obtenção de uma descompressão bem-sucedida no pós-operatório. Após o primeiro ano após a cirurgia, a taxa média de sucesso da cirurgia de descompressão microvascular é de 80% a 88
208
BLEFAROESPASMO BENIGNO ESSENCIAL QUAL O DISTÚRBIO DE MOVIMENTO ENVOLVIDO?
DISTONIA FOCAL DO ORBICULARIS - Etiologia não é bem clara
209
BLEFAROESPASMO BENIGNO ESSENCIAL - APROXIMADAMENTE 50% DOS PACIENTES APRESENTAM EPISÓDIO AGUDO DE________ ANTES DE COMEÇAR A APRESENTAR A DOENÇA?
ESTRESSE IMPORTANTE! - Cirurgia é bastante relatado entre eles (10%), principalmente de catarata
210
BLEFAROESPASMO BENIGNO ESSENCIAL O ESPASMO TENDE A SER UNI OU BILATERAL?
BILATERAL
211
BLEFAROESPASMO BENIGNO ESSENCIAL Existe um algoritmo de diagnóstico baseado na presença de: ______ . Este algoritmo de diagnóstico demonstrou ter uma sensibilidade de 93% e uma especificidade de 90% na diferenciação de BLEFAROESPASMO BENIGNO de outras condições semelhantes.
com base na presença de movimentos bilaterais, síncronos e estereotipados do músculo orbicular dos olhos, na presença de um truque sensorial ou aumento do piscar.
212
DISCINESIA TARDIA - SE APRESENTA COMO?
movimentos repetitivos e involuntários da região orofacial - aqui pode haver estalar dos lábios, protração da língua ou piscar excessivo dos olhos - Pode envolver musculos não relacionados com o nervo facial
213
SINCINESIA PÓS-PARALISIA FACIAL (meses após) O QUE É?
reinervação muscular aberrante, pode ocorrer sincinesia entre os músculos faciais inferiores e superiores após paralisia facial - há varios padrões, um conhecido é: Ocular-oral synkinesis occurs when voluntary eye movements lead to non-intended movements of the muscles of the mouth
214
blefaroespasmo essencial benigno qual é o tratamento padrão?
TOXINA BOTULÍNICA
215
DISTONIA TAREFA-ESPECÍFICA QUAIS AS MAIS FAMOSAS?
DISTONIA DO ESCRIVÃO e DISTONIA DO MÚSICO ''Writer’s cramp is characterized by involuntary cramping of muscles of the hand, forearm, or upper arm selectively triggered by writing.'' ''Musician’s hand dystonia has been reported with a variety of instruments, including piano, violin, guitar, flute, clarinet, horn and tabla, among others. Dystonia typically occurs in the hand that performs the more demanding tasks, such as the right hand in pianists and the left hand in violinists. FTSD may be exquisitely task specific, triggered by playing one instrument, but sparing the hand when a patient plays a different instrument.''
216
DOENCA DE WILSON QUANDO HÁ DEPLECAO DO COBRE NO TRATAMENTO HA RISCO DE:
Degeneração cordonal posterior - portanto, avaliar sensibilidade profunda...
217
A ____ é a causa mais comum de deficiência intelectual hereditária e transtorno do espectro autista (TEA).
SÍNDROME DO X FRÁGIL
218
QUAL O GENE REALACIONADO A SÍNDROME DO X FRÁGIL?
FMR1 (Localizado no X) -> leva à metilação e subsequente silenciamento do gene. - expansão das repetições de trinucleotídeos CGG (>200) na região promotora do gene - entre 50 e 200 já pode causar sintomas, inclusive FXTAS
219
O QUE É FXTAS?
síndrome de tremor/ataxia associada ao X frágil (FXTAS) - Descrita em 2001 - Ocorre em indivíduos com pré-mutação do FMR1 (expansão entre 50 e 200 do CGC)
220
síndrome de tremor/ataxia associada ao X frágil (FXTAS) EPIDEMIOLOGIA:
tipicamente PACIENTES MAIS VELHOS E SEXO MASCULINO (prevalência aumenta com idade) - PODE HAVER HISTÓRIA FAMILIAR DA SINDROME DE X FRÁGIL - pacientes apresentam pré-mUtação do FMR1
221
síndrome de tremor/ataxia associada ao X frágil (FXTAS) qual a apresentação clínica e idade de início típicas curso de evolução
TREMOR típicamente de AÇÃO ou INTENÇÃO: Geralmente inicia antes da ataxia de marcha ATAXIA CEREBELAR DE MARCHA: IDADE MÉDIA DE INÍCIO SÃO 63 ANOS - Dismetria e disartria são comumente observadas no exame outros: neuropatia periférica (pouco reconhecida pelos pacientes), parkinsonismo (29 - 60%), anormalidades do olhar, comprometimento cognitivo (disfunção executiva principalmente) conforme figura: - A disfunção autonômica é comum em homens com FXTAS. Impotência (56-80%), hipertensão (50-67%) e hipotensão ortostática (16%) geralmente se apresentam antes do início dos sintomas motores.
222
FXTAS achados mais relacionados na neuroimagem: qual o achado patológico?
NEUROIMAGEM: HIPERSINAL em T2 em PEDÚNCULOS CEREBELARES MÉDIOS (MCP SIGN) - Hipersinal T2 periventricular, esplênio do corpo caloso e tronco encefálico também ATROFIA CEREBELAR e CEREBRAL PATOLOGIA: - Inclusões intranucleares eosinofílicas c/ coloração positiva para ubiquitina
223
PACIENTE COM FXTAS TEVE UMA FILHA - SEU NETO TERÁ O FENÓTIPO COMPLETO DA SÍNDROME DO X FRÁGIL?
VERDADEIRO - Normalmente, portanto, o indivíduo afetado será um homem idoso. Se eles tiveram uma filha, então seu neto pode ter um diagnóstico conhecido de X frágil, pois durante a oogênese a mutação terá sofrido mutação, permitindo que o fenótipo completo do X frágil seja expresso
224
FXTAS (SÍNDROME DE TREMOR/ATAXIA ASSOCIADA AO X FRÁGIL) - PARA O DIAGNÓSTICO, REQUER:
DIAGNÓSTICO MOLECULAR DE MUTAÇÃO DO FMR1 (55-200 de expansão) - É importante conhecer o tamanho da repetição CGG, uma vez que se correlaciona negativamente com a idade de início dos sintomas e se correlaciona positivamente com a gravidade dos sinais motores e atrofia cerebral - lógico, antes de solicitar o teste genético, devemos avaliar RNM (padrao de alterações - alteração no tronco/pedunculo), alterações clínicas, história familiar..
225
FXTAS (SÍNDROME DE TREMOR/ATAXIA ASSOCIADA AO X FRÁGIL) - PARA O DIAGNÓSTICO, REQUER:
DIAGNÓSTICO MOLECULAR DE MUTAÇÃO DO FMR1 - É importante conhecer o tamanho da repetição CGG, uma vez que se correlaciona negativamente com a idade de início dos sintomas e se correlaciona positivamente com a gravidade dos sinais motores e atrofia cerebral lógico, antes de solicitar o teste genético, devemos avaliar RNM (padrao de alterações - alteração no tronco/pedunculo), alterações clínicas, história familiar..
226
Coreia genética - Se a pesquisa para doença de huntington vier negativa. Qual devemos procurar? E se a última vier negativa? E se a de cima for negativa?
Huntington like tipo 2 Se negativo: C9ORF e SCA17 e DRPLA
227
Coreia genética - Se a pesquisa para doença de huntington vier negativa. Qual devemos procurar? E se a última vier negativa? E se a de cima for negativa?
Huntington like tipo 2 Se negativo: C9ORF e SCA17 e DRPLA
228
Coreia genética - Se a pesquisa para doença de huntington vier negativa. Qual devemos procurar? E se a última vier negativa? E se a de cima for negativa?
Huntington like tipo 2 Se negativo: C9ORF e SCA17 e DRPLA
229
Quantos segundos deve ser avaliado impersistencia da língua?
10 segundos
230
QUAIS ANTIPSICOTICOS SAO UTILIZADOS NA COREIA?
Risperidona & Haloperidol
231
Paciente com paralisia cerebral chega até você. - possui postura de inversão do pé bilateral - postura de flexão de punho, cotovelo e joelhos - ROT normais, sem babinski É PC DISTONICO, ESPASTICO ou DISCINETICO??
DISTONICO!!
232
MIOCLONIAS GENERALIZADAS (em todo corpo, ex: startle) Topografa córtex ou subcortical?
Topografa principalmente TRONCO (subcortical)
233
MIOCLONIAS MULTIFOCAIS (Axial e apendicular) Topografam?
Cortical e Subcortical
234
Mioclonias medulares se apresentam como?
Segmentar E Proprioespinhal
235
QUAIS AS CARACTERÍSTICAS CLÍNICAS DO SUBTIPO DE MIOCLONIA CORTICAL?
MULTIFOCAL OU GENERALIZADO
236
QUAIS AS CARACTERÍSTICAS CLÍNICAS DO SUBTIPO DE MIOCLONIA SUBCORTICAL?
TRONCO encefálico: - Generalizada ou Síncrona - Axial - Afeta membros proximais - Espontânea ou induzida por estímulos DISTONIA (?)
237
QUAIS AS CARACTERÍSTICAS CLÍNICAS DOS SUBTIPOS DE MIOCLONIA ESPINHAL (Segmentar e proprioespinhal)?
238
QUAIS AS CARACTERÍSTICAS CLÍNICAS DO SUBTIPO DE MIOCLONIA PERIFÉRICA?
FOCAL AFETA DISTAL ESPONTÂNEA ou INDUZIDA POR AÇÃO PODE SER ACOMPANHADA POR FRAQUEZA ou ATROFIA
239
DOENÇA DE SEGAWA É MESMA COISA QUE:
DISTONIA DOPA RESPONSIVA (DDR)
240
Coreia genética - Se a pesquisa para doença de huntington vier negativa. Qual devemos procurar? E se a última vier negativa? E se a de cima for negativa?
Huntington like tipo 2 Se negativo: C9ORF e SCA17 e DRPLA
241
tremor essencial quais os critérios principais para o diagnóstico?
TREMOR DE AÇÃO BILATERAL DAS MÃOS E ANTEBRAÇOS (Sem tremor de repouso) AUSÊNCIA DE OUTROS SINAIS NEUROLÓGICOS, EXCETO FROMENT PODE OCORRER TREMOR ISOLADO DA CABEÇA SEM POSTURA ANORMAL