Cefaléias Flashcards

(16 cards)

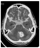
1
Q

O que indica o sinal do Delta vazio?

A

TROMBOSE VENOSA CENTRAL

Clínica:
- Cefaleia nova, progressiva, refratária a analgesia

  • Fatores de risco: tabagismo e ACO
  • Diagnóstico: AngioTC venosa ou AngioRM
  • TTO: anticoagulação pleana por 6 meses
How well did you know this?
1
Not at all
2
3
4
5
Perfectly
2
Q

Sinais de alarme da cefaleia

A

“INSÍPIDA”

I: início súbito

N: déficit neurológico: alteração visual, alteração de força

S: sinais sistêmicos (Febre, rigidez de nuca, HIV, medicações imunossupressoras e câncer)

I: inédito/Intensa (cefaleia em trovoada ou desencadeada por exercício ou por manobra de Valsalva )

P: papiledema

I: idade >50 anos

D: despertar pela dor

A: uso de anticoagulantes

How well did you know this?
1
Not at all
2
3
4
5
Perfectly
3
Q

Em qual sexo a cefaleia em salvas é mais comum?

A

Masculino

How well did you know this?
1
Not at all
2
3
4
5
Perfectly
4
Q

Arterite temporal OU arterite craniana OU arterite de células gigantes

A
  • Vasculite sistemica
  • Inflamação da aorta e seus grandes ramos, especialmente artérias vertebral, subclávia (e artéria axilar) e ramos extracranianos das carótidas, incluindo a artéria temporal.

-> 50 anos de idade
- Mais comum em MULHERES

CLÍNICA:
- Perda VISUAL inicialmente unilateral
- Insiodiosa
- Febre, mal-estar, fadiga, redução de apetite e perda ponderal
- Cefaleia
- Claudicação de mandíbula
- Alteração da espessura da artéria temporal e dor à palpação
- Pode apresentar polimialgia reumática (dor e rigidez de cinturas escapular e pélvica)

LABORATÓRIO:
- Elevação VHS e PCR
- Trombocitose (aumento plaqueta)

DIAGNÓSTICO:
- Biópsia de artéria temporal

TTO:
- Corticoide
- Imunossupressor/ imunomoduladoR (ex: metotrexato) se refratário ao corticoide

How well did you know this?
1
Not at all
2
3
4
5
Perfectly
5
Q

Qual beta bloqueador tem eficácia na profilaxia da enxaqueca?

A

Propranolol e metoprolol

How well did you know this?
1
Not at all
2
3
4
5
Perfectly
6
Q

Medicamentos profiláticos indicados para enxaqueca

A
  • Betabloqueadores: propranolol e metoprolol.
  • Antiepilépticos: ácido valpróico, topiramato (perda de peso).
  • Antidepresivos: amitriptilina (ganho de peso), nortriptilina, duloxetina e venlafaxina.
  • BCC: Flunarizina
How well did you know this?
1
Not at all
2
3
4
5
Perfectly
7
Q

Cefaleia em salvas

A

CLÍNICA
- Unilateral
- Temporal ou periorbitária
- Lacrimejamento
- AGITAÇÃO
- Duração entre 15 a 180 min

TTO CRISE:
- O2 (máscara não-reinalante): 12 a 15 L/min com o paciente sentado.
- Triptanos não enterais: sumatriptano subcutâneo, sumatriptano intranasal

TTO PROFILÁTICO:
- Verapamil, prednisona e lítio.

How well did you know this?
1
Not at all
2
3
4
5
Perfectly
8
Q

Quais os critérios para o diagnóstico de migrânea/enxaqueca?

A

No mínimo 5 crises na vida que durem de 4 a 72 horas e apresentem 2 dos 4 sintomas:
* Unilateral
* Pulsátil
* Intensidade moderada a grave
* Piora com esforço físico.
+ apresentar náuseas e vômitos E/OU foto e fonofobia.

How well did you know this?
1
Not at all
2
3
4
5
Perfectly
9
Q

Hemorragia subaracnóidea

A
  • Tem-se a ruptura de um aneurisma.

CLÍNICA:
- Cefaleia intensa
- Déficit sensitivo motor
- Rigidez de nuca
- Rebaixamento do nível de consciência.
- Pode haver melhora dos sintomas logo após

DIAGNÓSTICO:
- TC sem contraste
- Se após 6h do quadro e TC normal, realizar punção liquórica

TTO:
- Fechamento endovascular ou aberto do aneurisma
- Complicações: vasoespasmo e a isquemia tardia –> por isso, está indicado para TODOS os pacientes NIMODIPINO 60 mg, 4/4h por 21 dias

How well did you know this?
1
Not at all
2
3
4
5
Perfectly
10
Q

Neuralgia do trigêmeo

A
  • Episódios recorrentes de dor intensa, em choque, de curta duração
  • Dor desencadeada pelo toque fino na pele da região afetada, ao escovar os dentes, ao mastigar, etc.
  • Dor unilateral, pontada ou choque, unilateral e incapacitante

TTO:
1ªlinha: Anticonvulsivantes (Carbamazepina e oxcarbazepina)
Outros:
- Gabapentina
- Lamotrigina
- Baclofeno

How well did you know this?
1
Not at all
2
3
4
5
Perfectly
11
Q

Profilaxia para enxaqueca quando indicada?

A

Ao menos 3 episódios ao mês

How well did you know this?
1
Not at all
2
3
4
5
Perfectly
12
Q

FLUOXETINA NÃO É TRATAMENTO PROFILÁTICO PARA ENXAQUECA

A
How well did you know this?
1
Not at all
2
3
4
5
Perfectly
13
Q

Caracterize a HIPERTENSÃO INTRACRANIANA IDIOPÁTICA = PSEUDOTUMOR CEREBRAL

A

Quadro de hipertensão intracraniana (cefaleia, edema de papila, perda visual) e a análise do LCR e a neuroimagem são normais, exceto pela pressão de abertura do LCR com aumento de pressão.

Fatores de risco:
- Mulheres em idade fértil e com sobrepeso
- Uso de GH
- Uso de tetraciclinas.
- Excesso de vitamina A.
- LES; Síndrome de Behçet;
- Anemia severa

How well did you know this?
1
Not at all
2
3
4
5
Perfectly
14
Q

Cefaleia tipo tensional piora com esforço físico?

A

NÃO!!!!

How well did you know this?
1
Not at all
2
3
4
5
Perfectly
15
Q

Os triptanos são úteis no manejo das crises de MIGRÂNEA (ENXAQUECA), não nas de cefaleia tensional!!!!!

A
How well did you know this?
1
Not at all
2
3
4
5
Perfectly
16
Q

Neoplasia do sistema nervoso central em crianças!

A
  • 2º ca mais comum na pediatria
  • Tumor sólido mais comum
  • Localização mais comum: fossa posterior

CLINICA:
- Cefaleia (sintoma mais comum) que piora ao deitar
- Náuseas e vômitos
- Dificuldade de marcha