Cell Pathology Flashcards

(51 cards)

1
Q

Concentric hypertrophy

A

Sarcomeres proliferate in parallel

Pressure overload on the heart, such as with hypertension or aortic stenosis results in concentric hypertrophy - increases the thickness of the left ventricular wall

How well did you know this?
1
Not at all
2
3
4
5
Perfectly
2
Q

Eccentric hypertrophy

A

Sarcomeres proliferate in series

Volume overload on the heart, such as with aortic regurgitation, results in eccentric hypertrophy - dilate the lumen of the left ventricle

How well did you know this?
1
Not at all
2
3
4
5
Perfectly
3
Q

What cellular change results in hypertrophy

A

Increased cellular protein production from the action of growth factors

How well did you know this?
1
Not at all
2
3
4
5
Perfectly
4
Q

Atrophy

A

May result from decreased blood supply

Other causes: disuse, denervation, endocrine insufficiencies

Atrophy results from decreased protein synthesis and increased protein degradation in cells, which occurs mainly by the ubiquitin-proteasome pathway. Ubiquitin is a protein-tag that marks proteins to be destroyed within proteasomes. This pathway is thought to be responsible for atrophy seen in a variety of catabolic conditions, such as cancer cachexia (starvation).

How well did you know this?
1
Not at all
2
3
4
5
Perfectly
5
Q

Brain with grossly seen small gyri with enlarged sulci

A

Atrophy

How well did you know this?
1
Not at all
2
3
4
5
Perfectly
6
Q

Renal atrophy

A

Can be caused by renal artery stenosis (also a cause of secondary hypertension due to the increased secretion of renin increasing aldosterone secretion)

How well did you know this?
1
Not at all
2
3
4
5
Perfectly
7
Q

What cell lines do not undergo hyperplasia?

A

Permanent cells: muscle and nerve

How well did you know this?
1
Not at all
2
3
4
5
Perfectly
8
Q

Pathologic hyperplasia

Examples

A

Compensatory pathologic hyperplasia: regenerating liver, increased erythrocyte #’s in response to chronic hypoxia, and increased B lymphocytes within nodes in response to infection (follicular hyperplasia).

Note that liver tissue has an amazing ability to regenerate after resection or trauma through replication of remaining hepatocytes from progenitor cells. Histology will show normal hepatic tissue.

How well did you know this?
1
Not at all
2
3
4
5
Perfectly
9
Q

Purely pathologic hyperplasia

Examples

A

Abnormal enlargement of the endometrium (endometrial hyperplasia due to excess estrogen unopposed by progesterone) or the prostate (increase in # of glandular epithelial and stromal cells)

How well did you know this?
1
Not at all
2
3
4
5
Perfectly
10
Q

Hypoplasia

Examples

A

Hypogonadism

Turner syndrome (streak ovaries)

Klinefelter syndrome (small testes)

How well did you know this?
1
Not at all
2
3
4
5
Perfectly
11
Q

Aplasia

A

Failure of cell production, usually due to a failure of multipotential stem cells.

Aplastic anemia - failure of multipotential stem cells (histology of aplastic bone marrow shows mainly fat with very few cells)

How well did you know this?
1
Not at all
2
3
4
5
Perfectly
12
Q

Metaplasia

A

Reversible, non-neoplastic replacement of one normal cell type by another normal type.

Examples of metaplasia that result from chronic inflammation:

  1. Resp. epithelium changing to stratified squamos epithelium (sqaumos metaplasia)
  2. Normal glandular epithelium of the endocervix changing to stratified sqtype mucosa squamous epithelium (squamous metaplasia)
  3. Normal stratified squamous epithelium of the lower esophagus changing to intestinal-type mucosa (Barrett esophagus) in response to gastroesophageal chronic reflux
  4. The normal transitional epithelium of the urinary bladder changing to squamous epithelium (squamous metaplasia) - such as with Schistosoma infection
How well did you know this?
1
Not at all
2
3
4
5
Perfectly
13
Q

Myositis ossificans

A

Metaplasia in which a hard mass develops within skeletal muscle after trauma with hemorrahge that duoes not go away (osseous metaplasia)

How well did you know this?
1
Not at all
2
3
4
5
Perfectly
14
Q

Keratomalacia

A

Squamous metaplasia of the conjunctiva - may result from vit A deficiency

How well did you know this?
1
Not at all
2
3
4
5
Perfectly
15
Q

Necros is _____

Passive or physiologic process

A

Necrosis is always a passive process and never a physiologic process

How well did you know this?
1
Not at all
2
3
4
5
Perfectly
16
Q

Dysplasia

A

Premalignant - refers to disorganized cell growth characterized by the presence of atypical or dyplastic cells

In contrast to cancer - dysplasia is characterized by reversibility of changes

How well did you know this?
1
Not at all
2
3
4
5
Perfectly
17
Q

Coagulative necrosis

A

Characterized by coagulation of cellular proteins and preservation of cellular architecture with acidophilic (red/pink color) change of the cytoplasm (due to increased cytoplasmic binding to the eosin stain) and either without cell nuclei or with nuclei still undergoing karyolysis

Usually occurs as a result of ischemia or infarction involving solid organs (such as the heart - myocardial infarct), kidneys, liver, or spleen (NOT THE BRAIN)

How well did you know this?
1
Not at all
2
3
4
5
Perfectly
18
Q

Liquefactive necrosis

A

Necrotic tissue becomes liquefied - results from hydrolytic enzyme-induced tissue digestion from numerous lysosomal enzymes being released from numerous inflammatory cells being present (usually neutrophils)

Classically results from pyrogenic bacterial infections, which caus and acute inflammatory response with influx of numerous neutrophils.

Liquefactive necrosis is the type of necrosis that is produced with ischemic necrosis of the brain since numerous microlgia are present

How well did you know this?
1
Not at all
2
3
4
5
Perfectly
19
Q

Gangrenous necrosis

A

Usually occurs in the extremities or GI tract - occurs secondary to severe ischemia and resuls in a combination of coagulative and liquefactive necrosis

Dry gangrene - coagulative pattern predominates

Wet gangrene - liquefactive pattern predominates (due to superimposed bacterial infection)

How well did you know this?
1
Not at all
2
3
4
5
Perfectly
20
Q

Caseous necrosis

A

Combination of coagulative and liquefactive necrosis, but the necrotic cells are not totally dissolved and remain as amorphic, coarsely granular, eosinophilic debris.

Grossly has the appearance of clumped cheese - classically seen with tuberculous infections.

Histologic section will reveal caseating granulomas, which are composed of an aggregate of activated macrophages (ganuloma) with the center having the amorphic granular debris. This central area of caseous necrosis is absent from non-caseating granulomas.

How well did you know this?
1
Not at all
2
3
4
5
Perfectly
21
Q

Fat Necrosis

A

Results from either of two basic processes, enzymatic fat necrosis or traumatic fat necrosis.

Enzymatic fat necrosis - most commonly results from pancreatitis, either acute or chronic. Release of pancreatic lipase leads to digestion of adipose tissue and the release of fatty acids, which can combine with calcium and form soaps (saponification). This is an example of dystrophic calcification (calcium appears dark blue with H&E stains).

Traumatic fat necrosis - i.e. trauma to the breast. Damage to adipose tissue results in the release of cytoplasmic triglycerides and lipase. Trigs are then broken down by lipase into free FA that bind with Ca to again form calcium salts. Can resemble malignancy on physical examinations or imaging.

22
Q

Fibrinoid necrosis

A

Characterized histologically by the presence of pink material within the wall of blood vessels (fibrinoid means fibrin-like) along with inflammatory cells.

Causes of fibrinoid necrosis include malignant hypertension and vasculitis caused by immune complex deposition (a type III hypersensitivity reaction).

23
Q

Intracellular acummulation of hyaline

A

Hyaline is a nonspecific term that describes the accumulation of proteinaceous material that stains a red (eosinophilic) homogenous color with routine H&E stain.

24
Q

H&E stain

A

Hematoxylin - basic dye that has a positive charge and stains negatively-charged structures such as nucleic acids (ribosomes and the crhomatiin-rich nucleus), a dark blue-purple (basophilic) color

Eosin is an acidic stain and has a negative charge and stains positively-charged structures a pink-red (eosinophilic) color.

Most of the cytoplasm stains eosinophilic while the nucleus stains basophilic

25
Intranuclear eosinophilic inclusions
Are characterisitic of viral infections. For examples the cytopathic effect of herpes includes: 1. Intranuclear eosinophilic inclusions (Cowdry bodies) 2. Multinucleated giant cells 3. Ground-glass nuclei Infection with CMV - characterized by giant cells with intranuclear or intracytoplasmic inclusions
26
Mallory bodies
Aka alcoholic hyaline inclusions Irregular eosinophilic hyaline inclusions that are found within the cytoplasm of hepatocytes Composed of **prekeratin IFs within an amorphous matrix.** Nonspecific finding - several other diseases besides alcoholic hepatitis
27
Extracellular hyaline | Histologic finding
Hyaline found in the walls of arterioles in pateints with benign hyaline arteriosclerosis, which is composed of basement membranes and precipitates plasma proteins
28
Black pigment within the lungs
Carbon Can be seen with anthracosis (asymptomatic deposition of carbon in the lungs) or black lung disease. Lymph nodes within the lungs may appear black due to ingestion of carbon by macrophages in the lymph nodes
29
Golden-brown granules in hepatocytes | H&E Stain
May result from the deposition of hemosiderin, bile, or lipofuscin
30
Special histologic stain for hemosiderin
Prussian blue Hemosiderosis - can result from excessive blood transfusions and familial hemochromatosis (results in excessive iron absorption from the gut)
31
Lipofuscin deposition
Seen with aging, macular degeneration, sever starvation (cachexia), and brown atrophy of the heart (seen grossly as a small, pigmented heart). Lipofuscin is residual pigment from lysosomal digestion, such as may be seen with lipid peroxidation of phospholipid molecules by free radical injury.
32
Dystrophic calcification
Calcification in dystrophic (abnormal) tissue with normal serum calcium levels. Calcification within severe atherosclerosis, calcification of damaged or abnormal heart valves (may produce stenosis), certain CNS lesions, or calcification within tumors.
33
Neonatal periventricular calcification
Associated with certain infections (i.e. congenital CMV infection and toxoplasosis) CNS lesions with dystrophic calcification - mechanism is similar to calcification with fat necrosis
34
Dystrophic calcification within tumors
May form deposits of calcium of different sizes. CNS = large areas of dystrophic calcification (can be seen with x-rays and useful in differential dx of CNS tumors) Calcification of a tumor of the cortex in an adult is suggestive of an oligodendroglioma Calcification of a hypothalamus tumor is suggestive of a craniopharyngioma
35
Psammoma bodies
Small (microscopic) laminated calcification within tumors **Due to single-cell necrosis** May be found in papillary tumors - such as papillary carcinomas of the thyroid and papillary tumors of the ovary (especially papillary serous cystadenocarcinomas), but they can also be found in meningiomas or mesotheliomas
36
Metastatic calcification
Characterized by calcification in normal tissue Serum calcium levels are elevated (hypercalcemia) - Hypercalcemia causes: certain paraneoplastic syndromes secretion of parathyroid hormone-related peptide hyperparathyroidism iatrogenic causes (drugs) immobilization multiple myeloma (a malignancy of plasma cells) excess milk consumption (milk-alkali syndrome) and sarcoidosis (epitheloid cells may secrete vitamin D)
37
Hypertrophic obstructive cardiomyopathy
Characterized by localized thickening of the LV walls that predominantly affects the interventricular septum
38
Adrenal glands during prolonged glucocorticoid therapy
Atrophy
39
Cachexia
Characterized by atrophy of skeletal muscle due to degradation of proteins via the ubiquitin-proteasome pathway
40
Endometrial tissue during estrogen replacement therapy
Hyperplasia unless combined with progesterone therapy
41
In tissues other than the brain, _________ is characterized by numerous acute inflammatory cells being present (usually neutrophils)
Liquefactive necrosis
42
Irreversible ischemic injury to brain tissue
Liquefactive necrosis - tissue digestion by hydrolytic enzymes - microglial cells
43
Malignant hypertension
Causes fibrinoid necrosis and hyperplastic arteriolosclerosis
44
Hyaline arteriosclerosis
Associated with benign hypertension and diabetes mellitus, characterized by homogenous depoisition of eosinophilic hyaline material in the intima and media of small arteries and arterioles
45
Hemosiderosis
Refers to iron deposition in macrophages, such as the Kupffer cells of the liver, due to iron overload
46
Lipid peroxidation of phospholipids | Produces what pigment
Lipofuscin
47
Suppurative inflammation
Lysosomal enzymes released by neutrophils and macrophages are responsible for abscess formation. These enzymes dissolve dead cells and kill bacteria in an acute inflammatory process known as suppurative inflammation, which leads to liquefactive necrosis and abscess formation. ## Footnote Amboss
48
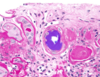
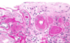
Renal tissue biopsy stain (PAS) ## Footnote Photo and explanation from Amboss
Hyaline arteriolosclerosis Photomicrograph of a renal tissue biopsy specimen (PAS stain, high magnification) An abnormally thickened arteriole is seen near the center of the image. Its wall is thickened due to amorphous deposits of hyaline material (mainly leaked plasma proteins; blue overlay), resulting in luminal narrowing and, consequently, impaired perfusion. These findings are characteristic of hyaline arteriolosclerosis. ## Footnote Photo and explanation from Amboss
49
Meningiomas
Meningiomas arise from arachnoid cells of the arachnoid villi. They are usually benign tumors that manifest as a slow-growing sharply demarcated mass that is composed of spindle-shaped cells arranged in a whorled pattern. The symptoms they cause are due to compression of adjacent structures, e.g., contralateral spastic paresis due to compression of the motor cortex, personality changes due to compression of the frontal lobe, or focal seizures ## Footnote Amboss
50
cancer cachexia
Muscle wasting in the setting of cancer cachexia is associated with the increased release of proinflammatory cytokines such as IL-1, IL-6, and TNF-α from cancer cells. These cytokines activate NF-κB, which stimulates the ubiquitin-proteasome pathway. Ubiquitinated proteins (e.g., myosin chains in skeletal muscle cells) undergo proteasomal degradation, leading to increased muscle catabolism. TNF-α in particular is known to stimulate muscle catabolism via the alteration of hormone levels that regulate muscle growth (i.e., IGF-1, GH). Furthermore, TNF-α-mediated suppression of appetite in the hypothalamus, as well as peripheral activation of lipases, leads to the reduction of body fat. Cachexia occurs not only in the setting of cancer but also in conditions such as AIDS, COPD, heart failure, or end-stage renal disease. ## Footnote Amboss
51