Histology - Bone Flashcards

(24 cards)

1
Q

ECM secreted by ____ ?

A

Osteoblasts, ECM consists of organic/osteoid (90% type I collagen) and ground substance

Inorganic ECM - hyroxyapatite (calcium phosphate)

Also osteocytes (although less metabolically active)

How well did you know this?
1
Not at all
2
3
4
5
Perfectly
2
Q

Osteogenesis imperfecta

A

Osteoblast synthesize defective collagen I, forms weak bones

How well did you know this?
1
Not at all
2
3
4
5
Perfectly
3
Q

Osteomalacia

A

Weak bones due to calcium deficiency

How well did you know this?
1
Not at all
2
3
4
5
Perfectly
4
Q

Types of bone formation

A

Intramembranous ossification (flat bones) vs. endhochondral ossification (long bones)

How well did you know this?
1
Not at all
2
3
4
5
Perfectly
5
Q

Intramembranous ossification

A
  1. Mesenchymal aggregate where bone will form
  2. Differentiate into osteoprogenitos and osteoblasts - osteoblast secrete osteoid (non-mineralized ECM)
  3. Osteoid becomes mineralized and embed osteoblasts, becoming osteocytes
  4. Once tissue becomes vascularized, blood brings osteoclasts
How well did you know this?
1
Not at all
2
3
4
5
Perfectly
6
Q
A

Immature woven bone

Bony spicules merge to form trabeculae

How well did you know this?
1
Not at all
2
3
4
5
Perfectly
7
Q

How do osteoblasts initiate mineralization of ECM?

A

By secreting alkaline phosphatase

How well did you know this?
1
Not at all
2
3
4
5
Perfectly
8
Q

Growth of osteocytes

A

Appositional growth only (no interstitial growth), this is due to the density of the matrix

How well did you know this?
1
Not at all
2
3
4
5
Perfectly
9
Q

How do active osteocytes communicate?

A

Through gap junctions in canaliculi

How well did you know this?
1
Not at all
2
3
4
5
Perfectly
10
Q

How are osteoclasts formed?

A

By fusion of monocytes

Osteoclasts resorbs bone and mineralized cartilage

How well did you know this?
1
Not at all
2
3
4
5
Perfectly
11
Q

Osteoclast activity

A

Release hydrolytic enzymes that digests matrix. Osteoclasts secrete HCl to decalcify matrix

How well did you know this?
1
Not at all
2
3
4
5
Perfectly
12
Q
A

Circle - lacunae

Arrow - lamella

Star - Haversian canal

Lamella circumscribe Haversian canals

How well did you know this?
1
Not at all
2
3
4
5
Perfectly
13
Q

What is responsible for the tensile and compression strength of bone?

A

The ECM

Tensile - organic ECM (collagen I)

Compression - Inorganic ECM (Hydroxyapatite, citrate, carbonate, flouride, and magnesium salts)

How well did you know this?
1
Not at all
2
3
4
5
Perfectly
14
Q

Diaphysis

A

Shaft of long bone - compact bone

How well did you know this?
1
Not at all
2
3
4
5
Perfectly
15
Q

Epiphyses

A

Expanded ends of long bones - spongy bone with hyaline cartilage on articular surfaces

How well did you know this?
1
Not at all
2
3
4
5
Perfectly
16
Q
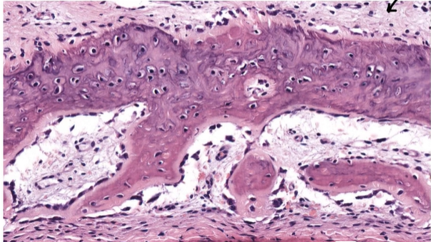
A

Interstitial lamellae - results from remodeling

17
Q

Structural unit of bone

18
Q
A

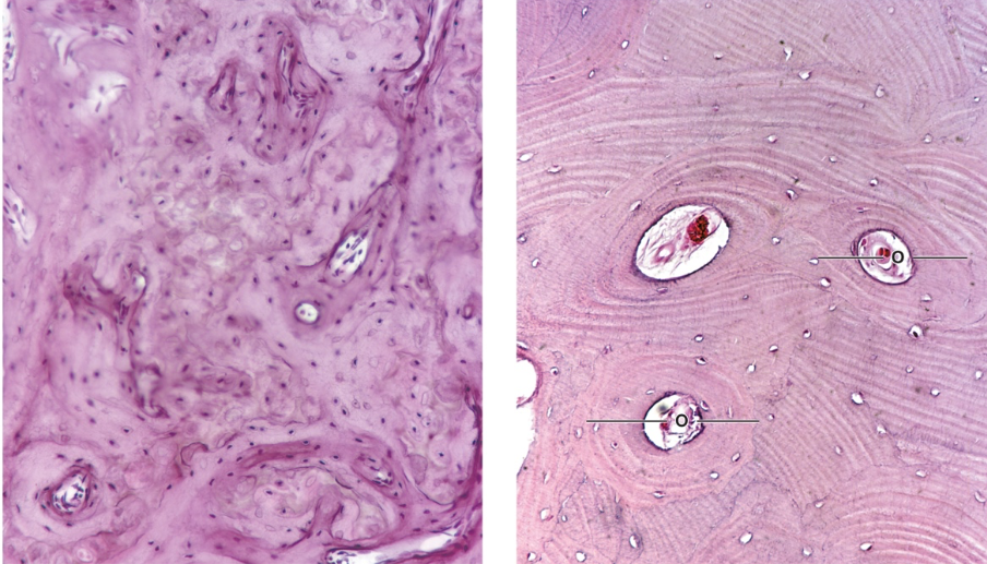
Left - immature (bundle) bone

Right - mature bone

19
Q

What canals run paralell with the long axis of a bone?

A

Haversian canals

20
Q

What cells secrete bone ECM?

A

Osteoblasts and osteocytes

21
Q

What cells are located at the peri/endosteum?

A

Osteoblasts

Periosteum - periosteal cells

Endosteum - Endosteal cells

Both are osteablast lineage

22
Q

Secondary ossification centers

A

Become the growth (epiphyseal) plates

23
Q

Remnant of osteon

A

Interstitial lamellae

Evidence of bone remodeling