What are the 4 main functions of the cerebellum?
How is it involved in movement?
Functions of the cerebellum:
On what side of the body does the cerebellum act?
the cerebellum acts IPSILATERALLY
How can the superior surface of the cerebellum be identified?
How is it divided into 2 lobes and what forms the most medial part?

How can the inferior surface of the cerebellum be identified?
What structure is visible here?
these are the lowest hanging point of the cerebellum and are in close relationship with the medulla oblongata

How can the ventral surface of the cerebellum be identified?
What key area can only be found here and how can it be identified?

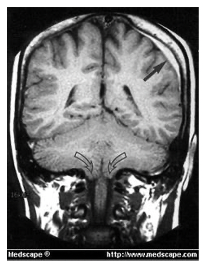
What is meant by tonsillar herniation?

What is the relationship of the cerebellum to the 4th ventricle?
Why is this clinically important and what side effects can be associated with this procedure?

What are the cerebellar peduncles?

What are the afferent and efferent fibres carried by the superior cerebellar peduncle?
Afferent:
Efferent:

What are the afferent and efferent fibres carried by the middle cerebellar peduncle?
Afferents:
MCP carries AFFERENT fibres ONLY

What are the afferent and efferent fibres carried by the inferior cerebellar peduncle?
Afferent:
Efferent:

How can the cerebellum be divided into 3 key functional areas?
Vestibulocerebellum (archi):
Spinocerebellum (paleo):
Pontocerebellum (neo):

What are the 4 central nuclei of the cerebellum?
What is their function?

Which of the central nuclei are associated with the different functional lobes of the cerebellum?
What do they connect to?
Vestibulocerebellum:
Spinocerebellum:
Pontocerebellum:
The VA & VL nuclei are those that deal with information regarding motor function

What is this?


What are the roles of the vestibulocerebellum?

Describe the afferent and efferent pathways to the vestibulocerebellum
Afferent pathway:
Efferent pathway:

How are the vestibulospinal tract and MLF involved in regulating balance and eye movements?
Vestibulospinal tract:
MLF:
What would a lesion to the vestibulocerebellum lead to?
Complete the summary of the vestibulocerebellum


What is the role of the spinocerebellum?

What are the 3 spinocerebellar tracts and what information do they carry?
Dorsal spinocerebellar tract:
Ventral spinocerebellar tract:
Cuneocerebellar tract:

Describe the afferent and efferent pathways of the spinocerebellum
Afferent fibres:
Efferent fibres:
cerebellothalamic fibres (via SCP) travel to the VA / VL nuclei of the thalamus
cerebellorubral fibres (via SCP) travel to the red nucleus of the brainstem

What is significant about how the cerebellothalamic and cerebellorubral fibres travel?