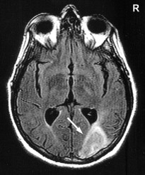
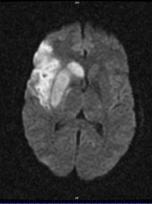
Stroke syndrome:
MCA/PCA borderzone infarct. Affects temporo-occipital portion of distal MCA territory

Stroke syndrome:
MCA/ACA borderzone infarct: affects superficial frontal and parietal parasagittal cortical areas
“Man in a barrel”

List the divisions of the MCA
M1: Main trunk with deep penetrators and lenticulostriate arteries.
M2: In sylvian fissure where two divisions arise
M3: All cortical branches
M4: Over the cortical Surface

Stroke syndrome:
A right handed patient with…
Left MCA stem occlusion.

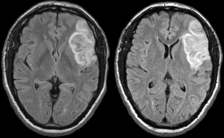
Stroke Syndrome:
In a right handed patient…
Right MCA Stem occlusion
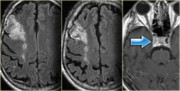
Image on left is SWI
Image on right is DWI

Stroke Syndrome:
In a right-handed patient:
Right superior division MCA

Stroke Syndrome:
In a right-handed patient:
Numbness and weakness of right arm >> leg
Initial global aphasia, then dysarthria
Right facial droop
Left deviation of head and eyes
Consciousness preserved
Left MCA superior division

Stroke Syndrome:
In a right handed patient
Left MCA Inferior division
This is nearly always from a cardiogenic embolus
Stroke Syndrome:
In a right handed patient
Right sided inferior division MCA
Nearly always from a cardiogenic embolus

Stroke Syndrome
Gerstmann’s syndrome
Dominant parietal lobe
Stroke Syndrome:
What is the anatomic location (not the cerebrovascular territory)
Non-dominant parietal lobe lesion
Cortical Syndrome:
What is the eponym and anatomic location, not the cerebrovascular territory
Kluver-Bucy Syndrome: Bilateral anterior poles of temporal lobes

Stroke Syndrome:
ACA stem occlusion proximal to the ACOM (the A1 segment), but only if both arteries arise from one ACA.
Otherwise, the ACOM will allow perfusion of both sides from one ACA and the stroke will be well tolerated.

Stroke Syndrome:
ACA stem occlusion in the A2 segment (distal to the ACOM). In this case, the right A2 is involved.
If the left A2 segment is involved, you might see an alien hand too

Stroke Syndrome:
Transcorticomotor aphasia (halting, one or two word speech, repetition is preserved, writing is impaired)
Heubner’s artery occlusion, a branch of the ACA. This serves the anterior frontal lobe.
Heubner’s artery comes off of the A2 segment just distal to the ACOM

Stroke Syndrome:
In a right handed individual…
Left ACA penetrating branches infarct.
The right causes visuospatial neglect instead of language difficulty
Stroke Syndrome:
In a right handed individual…
Transient hemiparesis Dysarthria Abulia or agitation Visuospatial neglect
Right ACA penetrating branches infarct
Stroke Syndrome:
In a right handed individual…
Transient hemiparesis Dysarthria Abulia or agitation inattentive, abulia, forgetful, agitation, psychosis
Bilateral caudate infarcts - from ACA distribution
Stroke Syndrome:
In a right handed individual…
This syndrome is not uniform. Name the structures involved
Right anterior choroidal artery occlusion; this is a long narrow artery from the ICA just above the PCOM. Supplies the internal globus pallidus, the PLIC, the optic tract, choroid plexus

Variations in PCA anatomy
in 70%, both PCA’s originate from the bifurcation of the basilar artery. In 20-25%, one of the pCA’s comes from the ICA. In everyone else, both PCA’s come from the ICA’s. See diagram

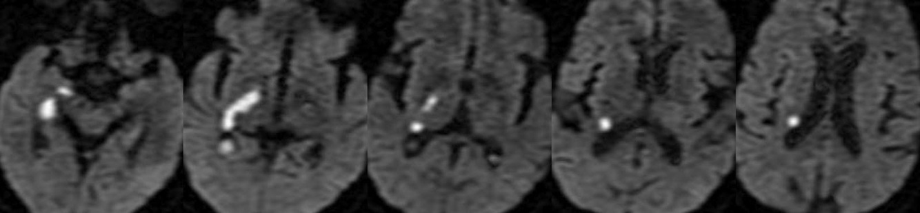
Stroke Syndrome:
“Dejerine and Roussy” Syndrome - Thalamic (on this case on the right). Infarction of sensory relay nucli due to occlusion of thalamogeniculates. These come from the PCA

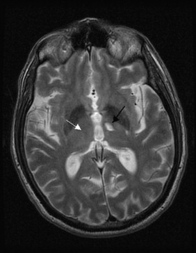
Stroke Syndrome:
Weber Syndrome, aka subthalamic or central midbrain syndrome - in this case on the right
Due to occlusion of interpeduncular branches of the PCA

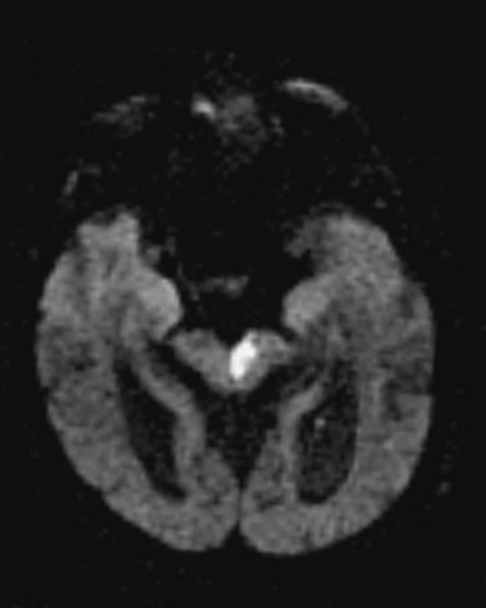
Stroke Syndrome:
Anteromedial-inferior thalamic syndrome: Occlusion of thalamoperforate branches of PCA.
Occlusion of the dominant dorsomedial nucleus gives rise to korsakoff syndrome

Stroke Syndrome:
Occlusion of branches to posterior temporal and occipital lobes from branches of the PCA