
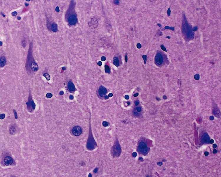
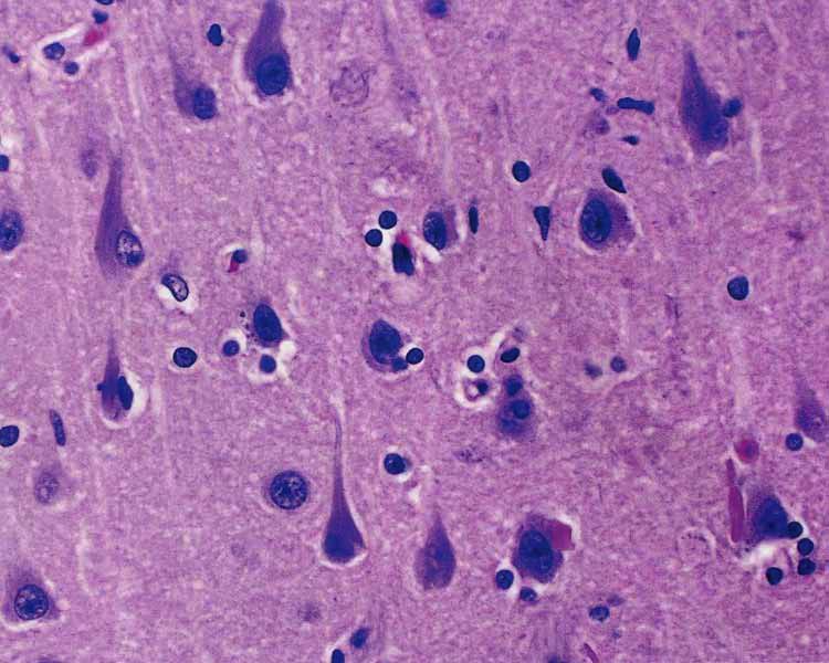
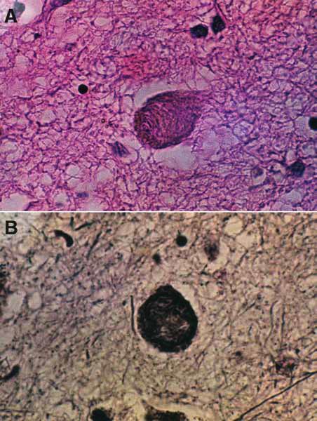
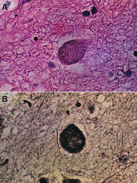
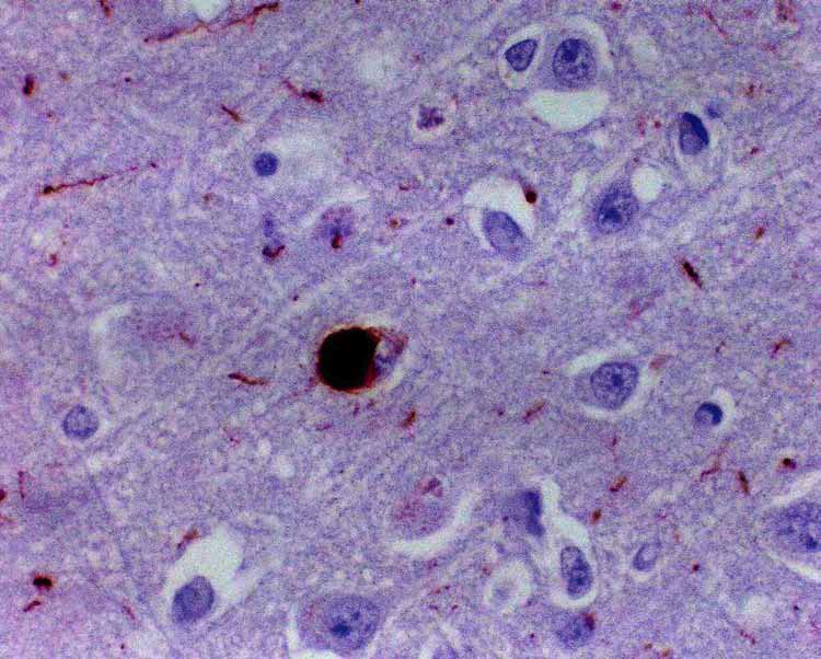
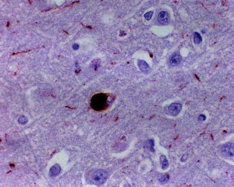
Alzheimer’s Disease
Granulovacuolar degeneration, neurofibrillary tangle, hirano body


Pick Disease
Spares the superiortemporal gyrus
Spherical intracellular inclusions


Acute Disseminated Encephalomyelitis
-Inflammatory and demyelinating features shown in the image


Hypertensive intracerebral hemorrhage
Basal ganglionic hemorrhage & rupture into ventricular system


Friedreich Ataxia
Tract degeneration in dorsal spinocerebellar columns and posterior columns


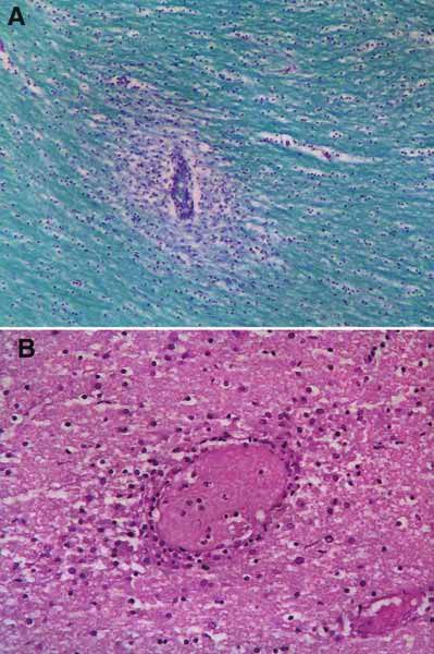
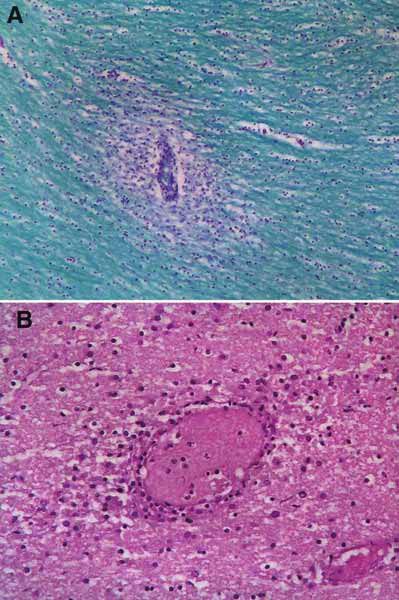
Wernicke Encephalopathy
Mamillary bodies are congested and discolored


Laminar necrosis, due to hypoxic/ischemic injury.


Aspergillosis infection. Septate Hypae branch at acute angles


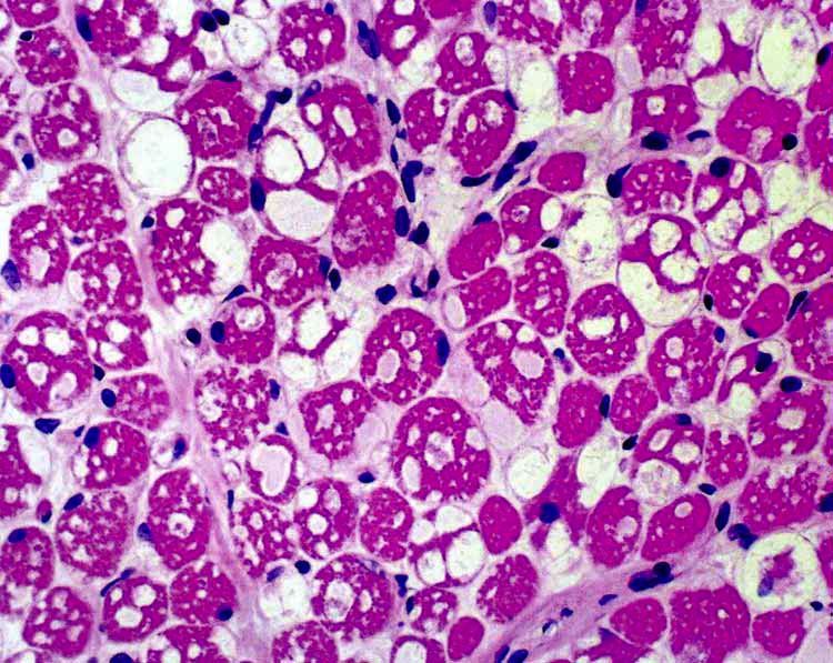
Pompe Disease - severe vacuolar myopathy due to extensive glycogen storage


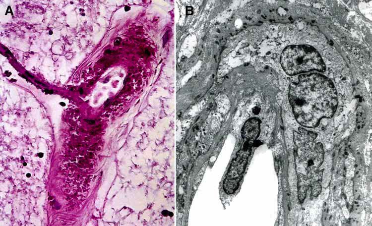
CADASIL - numerous accumulations of granular osmiophilic material (GOM) shown in electron micrograph


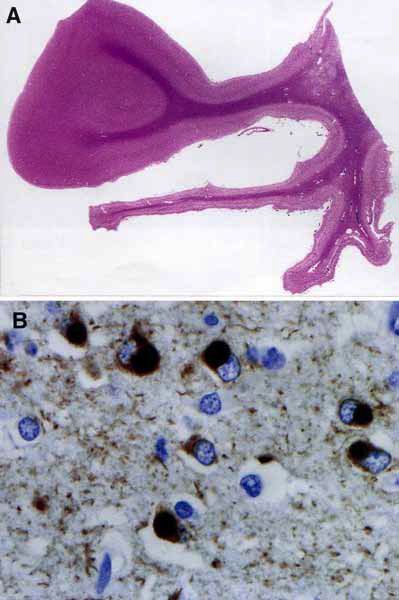
Progressive Supranuclear Palsy - Globose neurofibrillary tangles and positive astrocytic inclusions


Dementia with Lewy Bodies. Notice the Amyloid Plaques


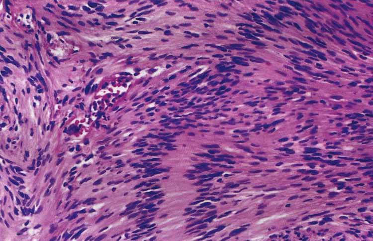
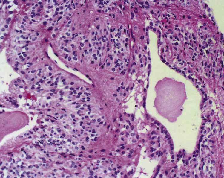
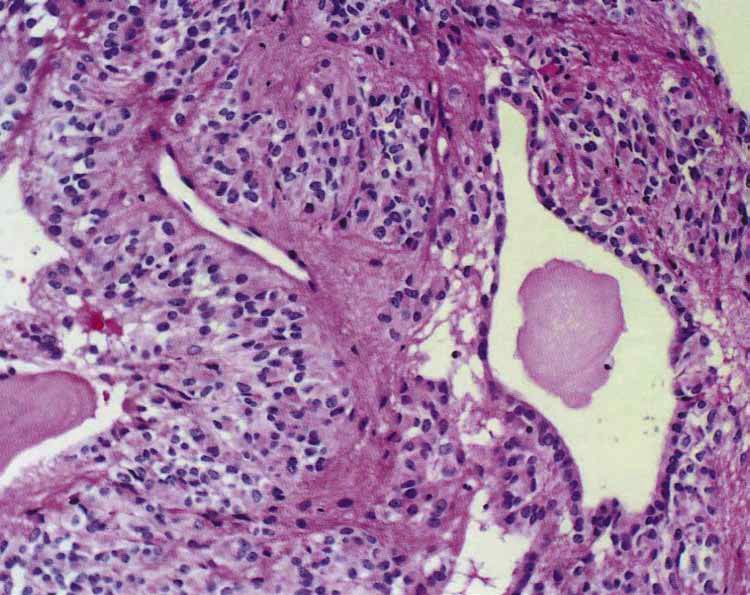
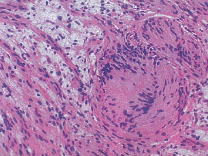
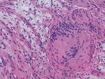
Schwannoma - tumor contains a verocay body


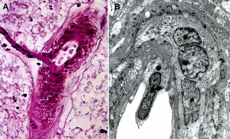
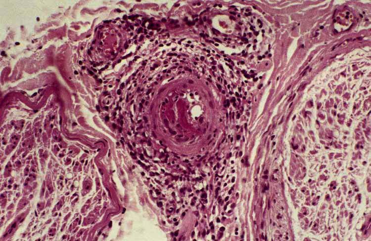
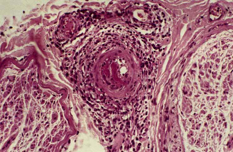
Polyarteritis Nodosa - acute vasculitis involving an epineural artery


Multiple Sclerosis - sharply demarcated plaque of myelin loss and small lesions adjacent to the ventricles


Hypothalamic hamartoma - disorganized hypocellular collection of mature neurons and glia appear as a discrete mass in floor of 3rd ventricle


Duchenne Muscular Dystrophy - degenerating fibers undergoing phagocytosis, hypercontracted fibers, excessive fibrosis, variation in fiber size


Cerebral Amyloid Angiopathy
- note large lobar hemorrhage


Ependymoma - classic perivascular pseudo-rosettes and ependymal canal-like structures


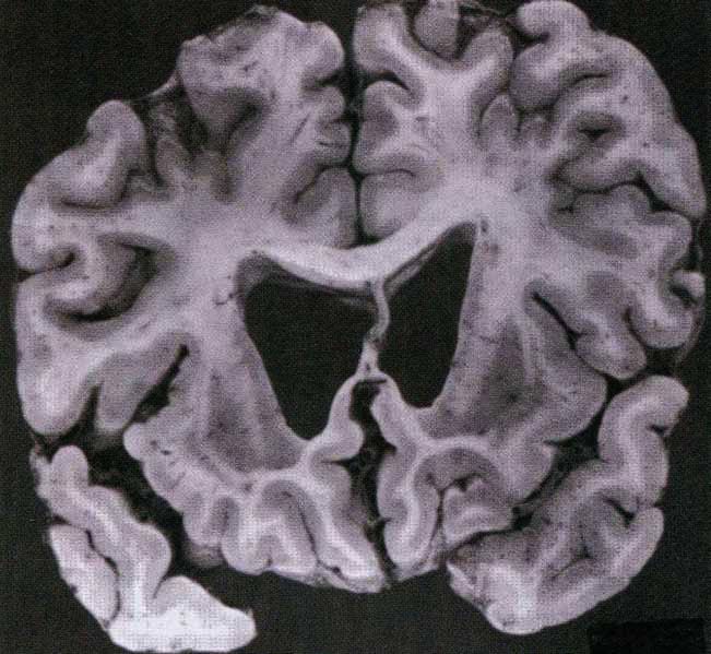
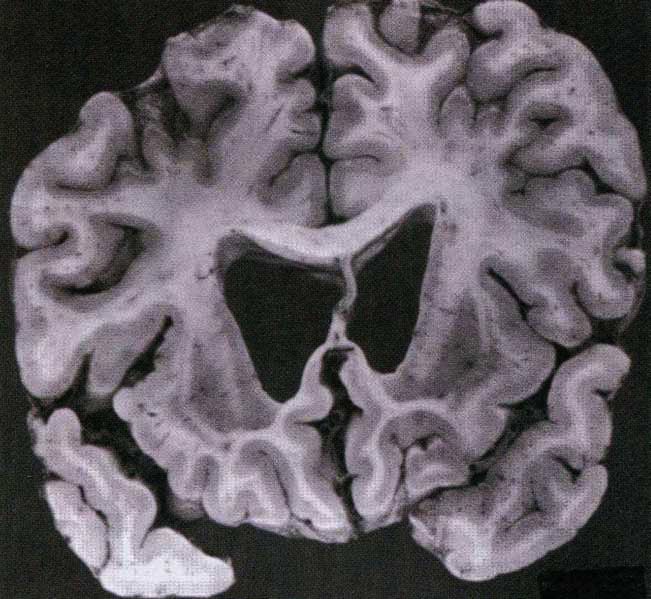
Huntington Disease - Marked Caudate Atrophy

If you see these in a child, what are they and what do you look for further?

These are multiple meningiomas, look for NF2

Hemangioblastoma, note the capillaries

45 year old woman

Cerebellopontine angle tumor, most likely a Schwannoma aka Neurilemoma


Schwannoma: note the Antoni A (more cellular, palisading nuclei with surrounding pink areas with rows of nuclei in parallel array called Verocay bodies) and Antoni B which has looser stroma, fewer cells, and myxoid change
